|
Unter dem Link
Prüfungsstatistik
findet man ab sofort diverse Prüfungen plus die Hunde aus meiner Zucht,
die diese Prüfungen erfolgreich bestanden haben. Haben Sie mit Ihrem "ex
Chelsea" auch eine Prüfung abgelegt und sind noch nicht gelistet, können
Sie mir gerne die entsprechende Urkunde oder Bescheinigung zukommen
lassen.
WICHTIG:
Nächster LCD-Wesenstest-Termin Der
nächste Termin für einen von mir organisierten
LCD-Wesenstest für Hunde aus meiner Zucht steht aktuell
noch nicht fest.
- 15. März 2026:
CACIB Offenburg Torin ex Chelsea
(CH Xanthos ex Chelsea x Juneau ex Chelsea) wurde heute unter Richterin
Ulrike Dunkhase (D) in der Gebrauchshundeklasse mit
V1 bewertet und hat die Anwartschaft für den
Dt.Ch.VDH + DRC-CAC erhalten. Darüber hinaus wurde
Torin BESTER RÜDE und ihm dadurch auch
das FCI-CACIB und der Titel Ortenau-Sieger
zugesprochen. Herzlichen Glückwunsch an Torins Eigentümerin Heike
Kunusch und ihre Tochter, die ihn so schön vorgeführt hat!

- 12. März
2026:
Neues Zuhause für Zanzibar Auch
Zanzibar ex Chelsea
ist nun in ihre neue Familie umgezogen und wohnt jetzt in der Nähe von
Darmstadt. Ich wünsche den neuen Eigentümern von "Zanzi" ganz viel
Freude mit ihrem neuen Hundekind.

- 08. März 2026:
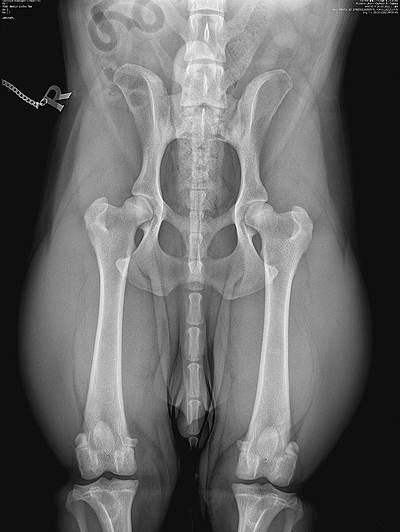
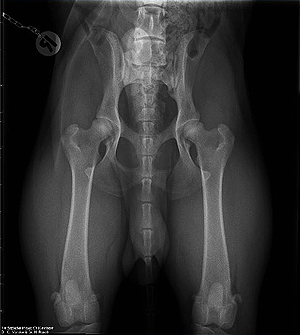
Röntgen-Gutachten X-ll-Wurf Von
meinem X-ll-Wurf (Finale ex Chelsea x
Juneau ex Chelsea) liegen die ersten fünf Röntgen-Gutachten der Hüft-
und Ellenbogengelenke vor. Beurteilt wurden die Röntgenaufnahmen durch
den vom LCD bestellten Gutachter Dr. Tassani-Prell. Ich freue mich sehr
mit den Eigentümern dieser fünf Hunde:
Xabi ex Chelsea: HD: B2/B2 und ED-Grad: 0/0 Xanto ex Chelsea: HD:
A2/A2 und ED-Grad: 0/0 Xello ex Chelsea: HD: B2/B1
und ED-Grad: 0/0 Xiao ex Chelsea: HD:
A2/A2
und ED-Grad: 0/0 Xena ex Chelsea: HD: C1/B1
und ED-Grad: 0/0 Xsara ex Chelsea: HD: A2/B1
und ED-Grad: 0/0. Auch Xenon &
Xiva wurden bereits untersucht, die offizielle Auswertung steht
allerdings noch aus.
-
04. März
2026: Z-ll-Wurf vom 15.10.2025 - R
E S E R V I E R T ! Für
die Hündin Zanzibar suche ich noch das perfekte
Zuhause. Zanzibar ist aktuell 18 Wochen alt,
gesund, komplett grundimmunisiert (geimpft) und stammt aus der
Verpaarung 'Richbourne Living Legend' x 'Juneau ex Chelsea'. Für
Zanzibar besteht eine Krankenvollversicherung bei der Agria, die
problemlos und ohne Wartezeit vom neuen Eigentümer übernommen werden
kann. Bitte lesen
Sie zu Zanzibar auch meine Infos für
Welpeninteressenten. Ernsthaft Interessierte dürfen sich gerne
zwischen 10 und 20 Uhr unter meiner Nr. 06744 - 714 366 telefonisch mit
mir in Verbindung setzen. Ich freue mich auf Ihren Anruf.

Zanzibar ex Chelsea
- 28. Februar + 01.März
2026: SRA Bergstrasse des DRC An
beiden Tagen wurde Torin ex Chelsea (Xanthos ex Chelsea
x Juneau ex Chelsea) in der Gebrauchshundeklasse mit
V1 + Anw.Dt.Ch.VDH + DRC-CAC bewertet. Richterinnen
waren Zsuzsanna Váczi-Balogh (HU) und Ricky Lochs-Romans (NL).
Vorgestellt wurde Torin von Melanie Kunusch. Herzlichen
Glückwunsch!

- 21. Februar
2026: Xiao zieht aus
Xiao ex Chelsea (Finale ex Chelsea x Juneau ex Chelsea) lebte
15 Monate bei mir und durfte nun, nach erfolgter Kastration (aufgrund
einseitig abdominalem Kryptorchismus), durchgeführter
Röntgenuntersuchung auf HD und ED und mit bestandenem LCD-Wesenstest, in
sein neues, jagdliches Zuhause nach Dormagen-Delhoven umziehen. Ich
wünsche den neuen Eigentümern ganz viel Freude mit Xiao.

- 03. Februar
2026: Bereit für den Auszug
Mein junger schwarzer Rüde Xiao ex Chelsea aus der
Verpaarung meiner Hündin Juneau ex Chelsea mit dem aus
meiner Zucht stammenden Rüden Finale ex Chelsea ist
mittlerweile 15 Monate alt und bereit für den Umzug in
ein neues Zuhause. Xiao ist ein sehr freundlicher
junger Rüde mit einem dem Alter entsprechenden Temperament, immer gut
gelaunt und sehr gut ansprechbar und mit gutem Grundgehorsam. Im Auto
fährt er sehr gerne mit. Xiao hat bereits den
LCD-Wesenstest mit einer schönen Beurteilung bestanden.
Am 26.01.2026 wurde er auf HD und ED geröntgt und seine Gelenke mit
HD: A2/A2 und ED-Grad: 0/0 offiziell durch den LCD-Gutachter
ausgewertet.
Xiao wurde, nachdem ein Hoden nicht korrekt ins Skrotum
abgestiegen war, am 12.01.2026 kastriert. Ich suche für
Xiao Menschen mit ausreichend Zeit und Spaß an
retrievergerechter Beschäftigung wie zum Beispiel Mantrailing,
Rettungshundearbeit, Dummyarbeit, Ausbildung zum Jagdgebrauchshund oder
Ähnliches. Selbstverständlich ist Xiao komplett geimpft
und besitzt auch eine Krankenvollversicherung, die von den
zukünftigen Eigentümern idealerweise übernommen wird. Wenn Sie meinen
Xiao kennenlernen möchten, können Sie mich gerne unter
meiner Nummer 06744 - 714 366 kontaktieren.
- 25.
Dezember 2025: Aktuelles zum Z-ll-Wurf
Mittlerweile sind die Welpen meines Wurfes aus 'Juneau ex
Chelsea' nach 'Richbourne Living Legend' 10 Wochen alt, sind
tierärztlich untersucht, geimpft und gechippt und auch die sogenannte
Wurfabnahme durch eine Zuchtwartin des LCD hat stattgefunden. Die ersten
Welpen sind auch bereits in ihr neues Zuhause umgezogen. Neue Fotos gibt
es auf der Fotoseite des
Wurfes.
- 18. November 2025:
Neues vom Z-ll-Wurf Juneaus Welpen sind
mittlerweile knapp 5 Wochen alt und entwickeln sich wunschgemäß. Der
erste Ausflug in den Garten wurde direkt für ein kleines Fotoshooting
genutzt. Hierfür ein großes Dankeschön an Andrea Schenke. Weitere schöne
Fotos finden Sie auf der Fotoseite
zu diesem Wurf

©
Andrea Schenke Photography
- 15. November 2025:
Nachtrag zu Selma ex Chelsea
Nachdem Selma ex Chelsea (CH Xanthos ex Chelsea x Hope
ex Chelsea) bereits am 03.09.2023 erfolgreich den 'Verhaltenstest
(Wesenstest) für Retriever' des Deutschen Retriever Clubs durchlaufen
hat, wurde sie am 29.05.2025 der LCD-Formwert-Richterin Hassi
Assenmacher-Feyel zur Beurteilung vorgestellt und erhielt die höchste
Formwertnote vorzüglich. Darüber hinaus wurden die
Augen von Selma am 08.10.2025 ohne besonderen Befund
auf erbliche Erkrankungen untersucht.
- 07. November 2025: Jagdliche
Brauchbarkeitsprüfung Whoopie ex Chelsea
"Ella" (Faithful Paw's Heartbreaker x Newberry ex Chelsea)
besteht die Brauchbarkeitsprüfung für Jagdhunde
nach §36 LJagdG RLP. Ausgerichtet wurde die Prüfung von der Kreisgruppe
Ludwigshafen des Landesjagdverbandes Rheinland-Pfalz. Geführt wurde die
Hündin von ihrem Eigentümer Stephan Hoffmann. Herzlichen Glückwunsch und
Waidmannsheil!
- 19. Oktober 2025:
LCD-Wesenstest in 55425 Waldalgesheim
Heute fand endlich der lang im Voraus geplante Wesenstest
für Labrador-Retriever aus meiner Zucht statt, den alle neun
vorgestellten Hunde mit Bravour bestanden haben.
Beurteilt wurden die getesteten Hunde von der LCD-Wesensrichterin
Claudia Pelzer, die alle Teilnehmer mit vielen hilfreichen Tipps durch
den Test führte. Ich bedanke mich bei Frau Lipps für die Erlaubnis, dass
wir auch dieses Mal wieder das wunderschöne, für diesen Zweck perfekt
geeignete Grundstück nutzen durften. Ein weiterer Dank geht an Heike
Kunusch für das kurzfristige Einspringen als
Sonderleiterin und natürlich an die Wesensrichterin Claudia Pelzer sowie
alle, teilweise von weit her angereisten, "ex Chelsea"-Besitzer.

Im Einzelnen haben teilgenommen und bestanden: Ravenna ex
Chelsea "Rosie" (Richbourne Living Legend x Downey ex
Chelsea) Aus dem V-ll-Wurf (Richbourne Living
Legend x Downey ex Chelsea): Valentino ex Chelsea
"Taco" Vino ex Chelsea "Bobby" Vivaldi ex
Chelsea "Toni" Aus dem W-ll-Wurf
(Faithful Paw's Heartbreaker x Newberry ex Chelsea): Wotan ex
Chelsea Whoopie ex Chelsea "Ella" Aus dem
X-ll-Wurf (Finale ex Chelsea x Juneau ex Chelsea):
Xabi ex Chelsea "Wallace" Xsara ex Chelsea
& mein Xiao ex Chelsea, der
folgende Wesensbeurteilung erhielt:
"Der 11,5 Monate alte Rüde mit gutem Temperament zeigte
eine schöne vertrauensvolle Bindung zu seiner Besitzerin. Fremden
Menschen begegnet er freundlich und aufgeschlossen, die Kreisprobe
genießt er. Seine jagdlichen Anlagen sind bestens ausgeprägt. Auf die
optischen und akustischen Reize des Parcours reagiert er sehr neugierig
interessiert, ist teilweise etwas auf Hilfe angewiesen, untersucht dann
jedoch selbstständig. Der sehr freundliche und aufmerksame Rüde ist
schusssicher."
- 15. Oktober 2025: Der Z-ll-Wurf ist
geboren Meine Hündin Juneau brachte am 15.
Oktober 2025 während eines komplikationslosen
Geburtsverlaufs 7 gesunde Welpen zur Welt. Ich freue
mich über 3 Rüden und 4 Hündinnen.

- 12. Oktober 2025:
BLP des DRC in St. Leon-Rot
Torin ex Chelsea (CH
Xanthos ex Chelsea x Juneau ex Chelsea) besteht die
Bringleistungsprüfung für Retriever (BLP/R) des DRC in
St. Leon-Rot unter den Richtern Claudia Breitgoff, Günter Walkemeyer und
Peter Eichhorn. Geführt wurde Torin von Robert Kunusch.
Herzlichen Glückwunsch und Waidmannsheil an das erfolgreiche Team.
Damit ist Torin ab sofort tauglich für die 'Jagdliche
Leistungszucht' im LCD und im DRC.

- 15./16. August 2025:
Neue Wurfplanung Meine Hündin
Juneau ex Chelsea wurde am 15. und 16.08.2025 von
Richbourne Living Legend "Brian" gedeckt. Wenn alles nach Plan verläuft, erwarte ich
Juneaus voraussichtlich letzten Wurf um den 15. Oktober 2025.
Richbourne Living Legend "Brian" habe ich zuvor bereits 2x mit
meiner Downey verpaart und daraus mit meinem
R-ll-Wurf und dem
V-ll-Wurf zwei schöne und vor
allem gesunde Würfe grossziehen können. Nun hoffe ich auf einen ebenso
schönen und gesunden Wurf nach Brian aus Juneau.
- 12. August 2025:
Gelenk-Gutachten Von Wichita ex Chelsea
"Ruby" liegt mir seit heute das HD/ED-Gutachten durch Dr. Tassani-Prell
vor. Rubys Gelenke wurden mit:
HD: B1/B2
und ED-Grad: 0/0
ausgewertet. Ich freue mich für Ruby und sende liebe Grüße zu ihrer
Eigentümerin nach Österreich.
- 02. August 2025:
Auszüge Meine drei Welpen aus dem
Y-ll-Wurf nach CH Xanthos ex Chelsea
aus Hope ex Chelsea sind gut in ihrem neuen Zuhause
angekommen. Yellowstone wird zum Rettungshund
ausgebildet, Yucatán darf mit ins Jagdrevier und
Yosemite wird bei entsprechender Eignung später zum
Assistenzhund ausgebildet. Mit einem lachenden und einem weinenden Auge
lasse ich die Kleinen ziehen. Ich wünsche den neuen Eigentümern viel
Freude mit meinen drei Jungs.

Yellowstone "Silas"
- 26. Mai 2025:
Der Y-ll-Wurf ist geboren
Pünklich am 60. Tag hat Hope ihren letzten Wurf zur
Welt gebracht. Ganz nach dem Motto "Klein aber fein" freue ich mich über
3 gelbe Rüden. Vater der Welpen ist mein
Xanthos.
Hope und ihren 3 Welpen geht es sehr
gut.

Yucatán, Yosemite & Yellowstone
- 18. April 2025: Auszug
Heute ist meine Hündin Venice ex Chelsea in ihr
neues Zuhause im Norden von München umgezogen. Ich wünsche Tanja & Frank
Kuypers ganz viel Freude mit "meiner" Venice. :-)

- 09. April 2025:
DRC-Formwertbeurteilung Unique ex Chelsea
wurde heute der erfahrenen Formwert-Richterin Hassi Assenmacher-Feyel
vorgestellt und erhielt die höchste Formwertnote vorzüglich
mit folgender Gesamtbeurteilung:
"Ideale Größe; femininer
Kopf; braune Augen; vorzüglich getragener Behang; viel typische
Ausstrahlung. Vorzüglich gebaut, korrekt in allen Teilen. Bewegt sich
frei + flüssig."
- 26. März 2025:
Neue Wurfplanung Um den 26. Mai 2025
erwarte ich den letzten Wurf meiner Hündin Hope ex
Chelsea nach meinem Rüden
CH Xanthos ex Chelsea.
-
25. März 2025: Gesunde Gelenke
Die erste offizielle Auswertung der Röntgenbilder der Hüft- und
Ellenbogengelenke eines Hundes aus meinem
W-ll-Wurf liegt seit heute vor: Wellington ex Chelsea:
HD: A2/A2, ED: 0/0 (Faithful Paw's Heartbreaker x Newberry
ex Chelsea) Ich freue mich sehr mit Wellis
Eigentümern Miriam, Alex und Eric Kirchberger und wünsche weiterhin viel
Spaß bei der weiteren Ausbildung in der Rettungshundestaffel. :-)

- 20. März 2025: Prüfung
bestanden Unit ex Chelsea "Juni" (CH Xanthos
ex Chelsea x Colby ex Chelsea) hat zusammen mit seiner Eigentümerin den
BHV-Hundeführerschein sowie die Prüfung zum
Einrichtungsbegleithund erfolgreich bestanden und wird
zukünftig in zwei Grundschulen eingesetzt werden. Ganz herzlichen
Glückwunsch!

-
16. März 2025: CACIB Offenburg
Torin ex Chelsea (CH Xanthos ex Chelsea x Juneau
ex Chelsea) wurde in der 'Offenen Klasse' unter Richterin Rosa Agostini
(IT) ausgestellt und mit einem schönen Bericht und
V2+ Res.Anw.Dt.Ch.VDH+DRC auf den 2. Platz
gesetzt.

-
26. Dezember 2024: Neues vom X-ll-Wurf
Heute wird der X-ll-Wurf bereits 8 Wochen alt.
Die Kleinen haben sich bislang sehr schön entwickelt und ich freue mich
unter den zukünftigen neuen Eigentümern mehrere Familien zu haben, die
bereits einen ex-Chelsea hatten oder haben. Für den
schwarzen
Rüden XIAO suche ich zu einem späteren Zeitpunkt (nach
dem Zahnwechsel) noch das passende neue
Zuhause. Ernsthaft Interessierte dürfen sich gerne
telefonisch unter 06744 - 714 366 zwischen
10 und 20 Uhr mit mir in Verbindung setzen. Fotos und
Videos finden Sie auf meiner Labradors ex Chelsea-Facebook-Seite.
-
21. November 2024: Neues Besuchshunde-Team
Urban ex Chelsea (CH Xanthos ex Chelsea x Colby
ex Chelsea) hat zusammen mit seiner Eigentümerin Martina Kinzig die
Prüfung zum Besuchshunde-Team mit einer sehr guten
Beurteilung erfolgreich bestanden. Das sagt seine
Eigentümerin über Urban:"Er hat zu jeder Zeit während seiner
Ausbildung sein liebevolles und zurückhaltendes Wesen und seine tolle
Führigkeit gezeigt und somit immer die Herzen der besuchten Personen im
Sturm erobert." Herzlichen Glückwunsch!
-
20. November 2024: Gentest-Ergebnisse
Torin ex Chelsea (Xanthos ex Chelsea x Juneau ex
Chelsea): Stargardt-Syndrom: Genotyp: N/N
= frei (Laboklin)
Laurino ex
Chelsea (Loretta Costa Retrievers Xiao x Downey ex Chelsea):
Stargardt-Syndrom: Genotyp: N/N
= frei (Generatio) D-Locus: Genotyp: D/D
= frei (Generatio)
-
17. November 2024: BHP des DRC in St.
Leon-Rot Torin ex Chelsea hat die
Begleithundeprüfung des DRC in St. Leon-Rot unter Richter
Achim Beringer mit Bravour bestanden. Geführt wurde
Torin von seiner Eigentümerin Heike Kunusch. Herzlichen
Glückwunsch!
-
03. November 2024: Brauchbarer Jagdhund
Selleck ex Chelsea (Xanthos ex Chelsea x Hope ex
Chelsea) besteht die Jagdliche Brauchbarkeitsprüfung
des Bayerischen Jagdverbandes. Geführt wurde Selleck
von seinem Eigentümer Dr. F. Weinschrod. Waidmannsheil zu diesem Erfolg!
-
31. Oktober 2024: Der X-ll-Wurf ist
geboren In einer normal verlaufenden Geburt hat meine Hündin
Juneau ex Chelsea 5 Rüden und 3 Hündinnen zur
Welt gebracht. Vater der Welpen ist Finale ex
Chelsea, ein wunderschöner Rüde aus meiner Zucht, der von
seiner Eigentümerin zum Begleithund für tiergestützte Therapie und
Pädagogik ausgebildet wurde. Da Juneau reinerbig für
die schwarze Fellfarbe ist, sind erwartungsgemäß auch alle ihre
Nachkommen in der Farbe des klassischen Labrador-Retrievers -
wunderschön schwarz. :-)
Interessenten an einem
Welpen aus diesem Wurf, insbesondere jene, welche bereits Kontakt mit
mir aufgenommen haben, dürfen sich gerne bei mir melden, um einen ersten
Kennenlerntermin zu vereinbaren: Tel. 06744 - 714 366
(zwischen 10 und 20 Uhr). Weitere Infos zu dieser Verpaarung finden Sie
unter
Wurfplanung

- 30. Oktober 2024: Korrektes
Gangwerk Nach langer Zeit des Wartens liegt uns nun endlich
auch die gutachterliche Auswertung der Röntgenbilder der Hüft- und
Ellenbogengelenke von Savannah (CH Xanthos ex Chelsea x
Hope ex Chelea) vor: Savannah ex Chelsea:
HD: B1/B1, ED: 0/0 Dazu verfügt die Hündin über ein
korrektes, vollzahniges Scherengebiss. Mein Dank geht an die
Eigentümer von Savannah für die gute Aufzucht und die
Bereitschaft, ihre Hündin nach Vollendung des ersten Lebensjahres
entsprechend der Vereinbarung untersuchen zu lassen. Bis auf
Sawyer ex Chelsea (*wink nach Trier*) ist damit der gesamte
S-ll-Wurf auf HD und ED untersucht und
gutachterlich ausgewertet.
-
11. Oktober 2024: Juneau-Welpen zu Ende
Oktober erwartet Vor 5 Wochen wurde Juneau von
Finale gedeckt und mittlerweile bin ich mir sehr
sicher, dass dieses Zusammentreffen erfolgreich war. Juneau
zeigt deutliche Anzeichen einer Trächtigkeit und so erwarte ich voller
Vorfreude rassetypische Welpen aus dieser sehr vielversprechenden
Verpaarung um den 31. Oktober 2024.

Finale & Juneau
- 21. September 2024: Brauchbarer Jagdhund
Laurino ex Chelsea "Dozer" (Loretta Costa
Retrievers Xiao x Downey ex Chelsea) besteht die Jagdliche
Brauchbarkeitsprüfung in den Revieren um Betzdorf/RLP.
Geführt wurde "Dozer" von seiner Eigentümerin Gillian Gudauski.
Waidmannsheil und herzlichen Glückwunsch an das erfolgreiche Team.
"Dozer" besitzt die Zuchtzulassung im 'Deutschen Retriever Club'
und ist durch seine abgelegten Prüfungen tauglich für die
'Jagdliche Leistungszucht'.
-
03./04. September 2024: Neue Wurfplanung
Meine Hündin Juneau ex Chelsea hatte heute Besuch von
Finale ex Chelsea, einem ausgesprochen schönen, freundlichen
und gesunden Rüden aus meiner Zucht. Instinktsicher waren sich beide
Hunde schnell einig und Juneau wurde von Finale
gedeckt Weitere Infos zu dieser
vielversprechenden Verpaarung finden Sie unter
- 17./18. August 2024:
CACIB Ludwigshafen Samstags habe ich Scott ex Chelsea
(CH Xanthos ex Chelsea x Hope ex Chelsea) in der Offenen Klasse
der Rüden der Richterin Birgit Pfeifer (D) vorgestellt und freue mich,
dass Scott seine Klasse mit V1 + Anw. Dt.Ch.VDH + LCD-CAC-Res. +
Res. CACIB gewinnen konnte.
"2,5 Jahre
alter, ausgewogener Rüde; viel Farbe; vorzügliches Pigment; kräftiger,
ausreichend trockener Hals von vorzüglicher Länge; vorzüglicher Körper,
Knochenstärke und Pfoten. Der Rüde besticht durch sein ausgewogenes
Gesamtbild und schwungvolles Gangwerk."

Tamaris ex Chelsea (CH Xanthos ex Chelsea x Juneau ex
Chelsea) wurde, trotz das sie stark abgehaart war, in der mit 5
Hündinnen gut besetzten Offenen Klasse mit V2 +
Res. Anw. Dt.Ch.VDH und einem schönen Richterbericht platziert.
Sonntags startete Laurino ex Chelsea (Loretta
Costa Retrievers Xiao x Downey ex Chelsea) in der
Gebrauchshundeklasse und erhielt die Bewertung V2 +
Res. Anw. Dt.Ch. VDH von Richter Enrico Drudi (RSM).
- 03. August 2024:
Wunstorfer Workingtest (DRC) Richmond ex Chelsea
"Richie" startete heute beim Wunstorfer Workingtest-A
des DRC und konnte alle fünf Aufgaben mit insgesamt sehr guten
84 von 100 Punkten meistern. Geführt wurde "Richie" von seiner
Eigentümerin Renate Hilgert. Herzlichen Glückwunsch an das erfolgreiche
Team!
- 26. Juni 2024:
Wellington ex Chelsea
Update 20. Juli 2024:
Es hat sich einmal mehr gelohnt auf die
Richtigen zu warten. Wellington ist
zwischenzeitlich gut in seinem neuen Zuhause in der Pfalz angekommen.
Lieben Dank an Miriam, Alex und Eric für euer erneutes Vertrauen in mich
und meine Hunde. :-)
Für den am 22.02.2024 geborenen,
schwarzen Rüden Wellington suche ich noch ein
geeignetes Zuhause. Wellington ist gesund, komplett
geimpft und und besitzt eine Tier-Krankenvollversicherung! Weitere Infos gerne telefonisch unter 06744 - 714
366.

Wellington ex Chelsea
- 24. Juni
2024: Brauchbarer Jagdhund
Torin ex Chelsea (Ch. Xanthos ex Chelsea x Juneau ex
Chelsea) hat heute die Jagdliche Brauchbarkeitsprüfung
(Nachsuche in Schalenwildrevieren und in Feld und Wald), ausgerichtet
vom Landesjagdverband Baden-Württemberg, erfolgreich bestanden.
Herzlichen Glückwunsch und Waidmannsheil!

- 20. Juni 2024: Gesunde
Gelenke Alle 4 Hunde aus meinem
V-ll-Wurf (Richbourne Living Legend x Downey ex Chelsea) sind
mittlerweile auf HD und ED geröntgt und gutachterlich ausgewertet:
Valentino ex Chelsea: HD; A2/A1, ED: 0/0 Vino ex Chelsea:
HD: A2/A1, ED: 0/0 Vivaldi ex Chelsea: HD; A2/B1, ED: 0/0 Venice
ex Chelsea: HD: A1/A2, ED: 0/0
Ich freue mich sehr für
die Hunde und ihre Eigentümer und bedanke mich ganz herzlich für die
Bereitschft, die Hunde untersuchen zu lassen.
- 18. Juni 2024: Passende
Menschen für Venice gesucht Meine 14 Monate
junge
Hündin Venice (Richbourne Living Legend x Downey ex
Chelsea) hat sich zu einer tollen Vertreterin ihrer Rasse entwickelt, so
dass ich sie für einen möglichen späteren Zuchteinsatz nicht ganz
verlieren möchte. Idealerweise könnte Venice zu
Menschen ziehen welche ich schon kenne, weil sie bereits einen "ex
Chelsea" haben oder hatten. Wichtig ist mir vor Allem ein beiderseitiges
uneingeschränktes Vertrauensverhältnis. Venice könnte
in ihr neues Zuhause umziehen und würde für einen Wurf zu einem späteren
Zeitpunkt nochmal zu mir zurück kommen. Weitere Informationen
gerne telefonisch!
Venice ist eine gesunde, unterordnungsbereite, freundliche Hündin, die
gerne im Team mit ihrem Menschen durch's Leben gehen möchte. Für
Venice besteht eine Tier-Krankenvollversicherung. Am 19.04.2024 hatte
Venice ihren Vorsorge-Röntgentermin zur Untersuchung
auf HD und ED in der Vet.-Med.-Uniklinik in Gießen. Die
offizielle Auswertung durch den LCD-Gutachter lautet HD: A1/A2,
ED: 0/0 = perfekte Gelenke.
Venice ist sehr sozial und könnte auch als Zweithund zu
einer bereits vorhandenen Hündin ziehen. Zu unkastrierten Rüden wird sie
nicht abgegeben.

Venice ex Chelsea
Um für meine "ex Chelseas" in Frage zu kommen
sollten Sie über ausreichend Zeit verfügen und Interesse an
rassegerechter Ausbildung/Beschäftigung haben.
Interessenten für einen Hund aus meiner Zucht können sich unter der
Nr.:
06744 - 714 366
gerne
bei mir melden, um gegebenenfalls einen Besuchstermin zu vereinbaren. Anfragen bitte
ausschließlich telefonisch zwischen 10 und 20 Uhr. Ich
freue mich auf Ihren Anruf. Bitte lesen Sie vorab meine
Infos für Welpeninteressenten
- 09. Juni 2024:
Begleithundeprüfung Während
Urban
bereits vor 4 Wochen seine BHP absolviert hat, zog Wurfschwester Unique
ex Chelsea (CH Xanthos ex Chelsea x Colby ex Chelsea) heute
nach und hat die Begleithundeprüfung (dhv)
ebenfalls erfolgreich
bestanden. Geführt wurde Unique von
ihrer Eigentümerin Sandy Richter-Hetzer, Richter der Prüfung war Egon
Üffing. Herzlichen
Glückwunsch!

- 02. Juni 2024:
LCD-Clubschau in Nassau/RLP Heute besuchte ich mit
Tamaris ex Chelsea (CH Xanthos ex Chelsea x Juneau ex Chelsea)
die LCD-Clubschau in Nassau, wo sie von Mrs. Heather Wiles-Fone in der
Offenen Klasse mit V2 + Res. Anw. Dt.Ch.VDH
und folgender Beurteilung bewertet wurde:
"Beautiful
constructed black, made in one piece. Esspecially lovely shaped head,
good fore chest, stands four square on the best of legs and feet. Ultra
short coupled body. Excellent rear angulation; floated round the
ring when moving. Presented in excellent coat and condition. Super
breed type."

Tamaris ex Chelsea
Sehr gefreut
habe ich mich auch über Laurino ex Chelsea "Dozer"
(Loretta Costa Retrievers Xiao x Downey ex Chelsea), der in der
Gebrauchshundeklasse mit V1 + Anw. Dt.Ch.VDH
bewertet wurde. Am Ende konnte sich "Dozer" noch gegen
die mit V1 platzierte Hündin der Gebrauchshundeklasse
durchsetzen und wurde Best Working.
Dozers 1. Anwartschaft auf dem Weg zum VDH-Champion!
:-)
- 02.
Juni 2024:
LCD-Formwert in Nassau/RLP
Montclair ex Chelsea
"Maira" (CH Xanthos ex Chelsea x Colby ex Chelsea)
wurde bei der heutigen Formwertbeurteilung des LCD mit
vorzüglich bewertet: "... insgesamt korrekt aufgebaut
mit harmonischem Erscheinungsbild, frei und fließend in der Bewegung."
Vorgestellt wurde "Maira" von ihrer Eigentümerin Birgit Lonz. 15. Mai 2024:
Perfektes Gangwerk Die Auswertung der Röntgenbilder der Hüft-
und Ellenbogengelenke von Venice ex Chelsea (Richbourne
Living Legend x Downey ex Chelsea) durch den vom LCD bestellten
Gutachter liegen seit heute vor. Ich freue mich sehr für Venice
über HD: A1/A2, ED-Grad: 0/0 und
LS-Übergangswirbel: 0.
Perfekte
Röntgenbilder wurden auch für Venice einmal mehr in der
Vet.-Med.-Uniklinik in Giessen angefertigt. Venice' drei
Wurfgeschwister wurden ebenfalls bereits geröntgt und erhielten sehr
gute Vorab-Prognosen durch die röntgenden Tierärzte, die offiziellen
Beurteilungen stehen hier allerdings noch aus.
- 09. Mai 2024:
LCD-Formwertbeurteilung in Hasselroth Mit
Finale, Torin, Tamaris
und
Umeå wurden heute vier "ex Chelseas" der Zuchtrichterin
Hassi Assenmacher-Feyel zur Beurteilung vorgestellt und alle mit
vorzüglich bewertet.
Ein großer Dank an die Sonderleitung für den reibungslosen Ablauf und an
die erfahrene Richterin für das kompetente Richten im Sinne der Rasse.
Tamaris ex Chelseea (CH Xanthos
ex Chelsea x Juneau ex Chelsea): "Kleine Hündin mit vorzüglichem
femininen Kopf, dunklen Augen, vorzüglich getragenem Behang, sehr
typisches vorzügliches Gebäude, korrekt in allen Teilen. Gepflegtes
Haarkleid, gutes Wesen. Bewegt sich sehr gut und raumgreifend."
- 09. Mai 2024:
Begleithundeprüfung Während
Umeå
zur Formwertbeurteilung vorgestellt wurde, hat Wurfbruder Urban
ex Chelsea die Begleithundeprüfung (dhv)
bestanden. Geführt wurde Urban von
seiner Eigentümerin Martina Kinzig. Toll gemacht, herzlichen
Glückwunsch!
- 09. April 2024:
APD/R des DRC in Willich/NRW
Unique ex Chelsea (Xanthos ex Chelsea x Colby ex Chelsea)
besteht, geführt von ihrer Eigentümerin Sandy Richter-Hetzer, die
Arbeitsprüfung mit Dummys des DRC in der Anfängerklasse mit sehr guten
73 von 80 Punkten unter Richter T. Helmrath. Herzlichen Glückwunsch an
das erfolgreiche Team, toll gemacht!
- 14. März 2024:
Romeo ex Chelsea erhält die ZZL
Romeo ex Chelsea (Richbourne Living Legend x Downey ex Chelsea)
erfüllt alle Voraussetzungen für die LCD-Zuchtzulassung
und steht ab sofort geeigneten Hündinnen als Deckpartner zur Verfügung.
Romeo ist geprüfter Therapie(begleit)hund und lebt in
55411 Bingen/Rhein.

HD: A2/A1, ED: 0/0 korrektes, vollzahniges Scherengebiss
LCD-Wesenstest bestanden LCD-Formwert: vorzüglich Augen komplett
frei (27.12.2023) prcd-PRA: N/N, EIC: N/N, HNPK: N/N D-Lokus D1:
D/D, Longcoat: L/L
- 22. Februar 2024:
Der W-ll-Wurf wurde geboren Müde aber
glücklich und zufrieden liegt "Rachel" in der Wurfkiste und versorgt instinktsicher ihre 5
Welpen (3 schwarze Rüden, 2 schwarze Hündinnen).

W-ll-Wurf - 1 Tag alt
- 24./25. Dezember 2023:
Neue Wurfplanung Meine Hündin
Newberry ex Chelsea "Rachel" wurde an den
Weihnachtsfeiertagen von dem Rüden Faithful Paws Heartbreaker gedeckt. Es wird ein rein schwarzer Wurf
werden.

Newberry ex Chelsea "Rachel"
- 13. November 2023:
Eine Kerze für...
Maxima ex Chelsea

(Beechcroft's
American Style x Diva ex Chelsea)
In meine Hand geboren, in meiner Hand gestorben.
Ich bin dankbar, Maxima nahezu 15 Jahre an meienr Seite gehabt
zu haben. Ein Teil von ihr lebt in ihren Kindern, Enkeln und Urenkeln
weiter...

*
16.11.2008
t
13.11.2023
- 12. November 2023: BLP des DRC
Laurino ex Chelsea "Dozer" (Loretta Costa
Retrievers Xiao x Downey ex Chelsea) besteht die
Bringleistungsprüfung für Retriever des DRC in Oberlahr unter
den Richtern Gabi Elfers, Britta Näpel und Georg Isphording. "Dozer" hat
die Zulassung zur Zucht im DRC und ist mit dieser bestandenen Prüfung
tauglich für die 'Jagdliche Leistungszucht'. Geführt
wurde der Rüde von seiner Eigentümerin Gillian Gudauski. Herzlichen
Glückwunsch und Waidmannsheil!

- 11./12. November 2023:
IRAS Karlsruhe Mit einem V1 + Vet.-CAC VDH + DRC
auf der Internationalen Rassehunde-Ausstellung in Karlsruhe 2023 beendet
CH Xanthos ex Chelsea seine Showkarriere. Dafür, dass
Xanthos das Ausstellen eigentlich eher langweilig fand, haben
wir dennoch so manchen Erfolg für uns verbuchen können. Xanthos
wurde im Laufe der letzten Jahre VDH + DRC-Champion
DRC-Clubsieger 2017 DRC-Veteranen-Clubsieger 2023 Veteranensieger
Baden-Württemberg 2021 + 2023 Alpen-Veteranensieger 2021
Veteranensieger Wendener Land 2023 LCD + VDH-Veteranen-Champion
und mit dem heutigen Erfolg und der letzten noch fehlenden Anwartschaft
auch DRC-Veteranen-Champion. Im Showring wird
Xanthos zwar ab sofort nicht mehr zu sehen sein, steht
aber ausgewählten Hündinnen weiterhin als Deckrüde via
Frischsamenübertragung und TG-Sperma (Versand durch Dr. Blendinger,
www.hsb-blendivet.de) zur Verfügung.

CH Xanthos ex Chelsea
Auch Scott ex Chelsea (CH
Xanthos ex Chelsea x Hope ex Chelsea) wurde in Karlsruhe ausgestellt,
von Zuchtschau-Richter Josef Fertig in der Zwischenklasse mit V3
platziert und erhielt eine schöne Beurteilung. Am zweiten Tag stand
Torin ex Chelsea (CH Xanthos ex Chelsea x Juneau ex
Chelsea) das erste Mal im Ausstellungsring, wurde von der
Zuchtschau-Richterin Christiane Lohmann in der Zwischenklasse mit
vorzüglich 2 platziert und erhielt die
Reserve-Anwartschaft auf den Titel Dt. Ch. VDH + DRC. :-)
- 04. November 2023:
LCD-Wesenstest Unesco ex Chelsea "Nesco" (CH
Xanthos ex Chelsea x Colby ex Chelsea) hat heute, vorgestellt von seiner
Eigentümerin Eliana Hölscher, den LCD-Wesenstest im
hessischen Hasselroth unter Richterin Simone Metz erfolgreich bestanden.
Herzlichen Glückwunsch!
- 24. Oktober 2023:
Genetik Nachdem ich vergangene Woche Blut zu Laboklin
eingesandt hatte, kamen nach wenigen Tagen bereits die Ergebnisse der
an- bzw. nachgeforderten Genteste: Xanthos ex Chelsea:
D-Lokus D1: Genotyp: N/N = frei
Romeo ex Chelsea:
D-Lokus D1: Genotyp: N/N = frei
Haarlänge: L/L (reinerbig Kurzhaar)
Newberry ex
Chelsea:
EIC: Genotyp: N/N = frei Zusätzlich
wurden von Romeo und Newberry auch
DNA-Profile erstellt, so dass den Zuchtzulassungen für
die beiden Hunde nichts mehr entgegen steht.
- 21. Oktober 2023:
Candee-Workingtest Nachdem die Hündin Unique ex
Chelsea, geführt von ihrer Eigentümerin Sandy Richter-Hetzer,
am 07. Oktober das erste Mal Workingtest-Luft schnupperte und unter den
Richtern Glyn Coupar, Paul Hasney und Karel van Loo direkt einen tollen
4. Platz beim internen RTT-Workingtest erreichen konnte, war das Team
zwei Wochen später erneut erfolgreich und erarbeitete sich mit 89 von
100 Punkten den 1. Platz beim
Candee-Workingtest in der Schnupperklasse. Unique
ist eine Tochter von 'Colby ex Chelsea' nach 'Xanthos ex Chelsea'.
Herzlichen Glückwunsch!

- 13. Oktober 2023:
LCD-Formwert in der Pfalz Die beiden Rüden Romeo ex
Chelsea (Richbourne Living Legend x Downey ex Chelsea) und
Scott ex Chelsea (CH Xanthos ex Chelsea x Hope ex
Chelsea) wurden heute der Formwertrichterin Hassi Assenmacher-Feyel zur
Beurteilung vorgestellt und erhielten beide die höchste Formwertnote *vorzüglich*.
Bewertung Romeo: "Großer Rüde mit
rüdenhaftem Kopf, dunklen Augen, vorzüglich getragenem Behang, viel
typischem Ausdruck. Vorzüglich gebaut, korrekt in allen Teilen. Bewegt
sich vorzüglich."
Bewertung Scott:
"Vorzüglicher Rüde mit maskulinem Kopf, dunklen Augen, vorzüglich
getragenem Behang, viel typischem Ausdruck. Vorzügliches Gebäude,
korrekt in allen Teilen. Bewegt sich mit viel Raumgriff."

Scott ex Chelsea
- 16. September 2023:
Brauchbarer Jagdhund Orlando ex Chelsea "Leo"
(Blacksugar Luis x Hope ex Chelsea) besteht die
Brauchbarkeitsprüfung für Jagdhunde bei der Jägerschaft Celle
in Niedersachsen mit Schweiss und lebender Ente. Geführt wurde "Leo" von
seinem Eigentümer Andreas Filler. Herzlichen
Glückwunsch und Waidmannsheil!

- 13. September 2023:
Perfekte Gelenke Seit heute liegen mir auch die letzten beiden
Röntgengutachten von Hunden aus meinem U-ll-Wurf
vor: Urban ex Chelsea: A 1 / A 1, ED: 0 / 0 Uvalde ex Chelsea: A 1 / A 1, ED: 0 / 0
Damit ist auch dieser Wurf komplett auf HD und ED untersucht
und gutachterlich ausgewertet worden. Dafür ein großes Dankeschön an
meine Welpenkäufer.
- 09./10. September 2023:
DRC-Clubschau + SRA Wendener Land Auf der Clubschau des DRC
wurde mein Xanthos von Richter Hans
Stigt (NL) mit vorzüglich 1 bewertet und dadurch ***
Clubveteranensieger 2023 ***
Am selben Tag wurde
Laurino ex Chelsea "Dozer" in der mit 6 Rüden gut
besetzten
'Offenen Klasse' ausgestellt und mit vorzüglich 3
platziert. Gut gemacht, Gillian & Dozer! :-)

Laurino & Xanthos
Am nächsten Tag fand die
Spezial-Rassehunde-Ausstellung des DRC "Sieger Wendener Land" statt, bei
der ich Xanthos in der Veteranenklasse
der Richterin Torunn Sorbye aus Norwegen vorgestellt habe. Trotz der
heißen Temperaturen, die Xanthos so gar nicht mag, konnte er überzeugen
und wurde nicht nur mit V1 bewertet, sondern erhielt am
Ende noch die Auszeichnung *Best Veteran* und den
Tagestitel *** Veteranensieger Wendener Land ***

Xanthos mit seiner Ausbeute vom Wochenende :-)
- 10. September 2023: APD/R-A des
DRC in Frankfurt Während Xanthos den Tag auf
der SRA in Wenden verbrachte, hat sein Sohn Powell ex Chelsea
"Monty", geführt von seiner Eigentümerin Tatjana Pietsch, unter
Richterin Petra Beringer die Arbeitsprüfung mit Dummys
in der Anfängerklasse erfolgreich bestanden.
Herzlichen Glückwunsch!
- 20. August 2023: Passende Menschen
für Tyler gesucht... und gefunden!
Aus meinem Wurf vom 30.05.2022 ist noch ein schwarzer Rüde
an geeignete Menschen abzugeben. Tyler ist jetzt
14 Monate alt, gesund
und hat zum jetzigen Zeitpunkt keine zuchtausschließenden
Fehler. Er ist
vollzahnig. Am 14.06.2023 wurde Tyler in der
Vet.-Med.-Uniklinik in Giessen auf HD und ED geröntgt und die
Röntgenbilder durch den vom LCD bestellten Gutachter mit HD:
A2/A2 und ED-Grad 0/0 ausgewertet.
Des Weiteren hat Tyler bereits den
LCD-Wesenstest unter Richter Klaus Karrenberg erfolgreich bestanden. Für Tyler ist eine
Tierkrankenversicherung bei der Agria abgeschlossen,
die von den neuen Eigentümern übernommen werden kann. Ich suche für ihn ein Zuhause, in dem er seinen Anlagen
entsprechend gefordert und gefördert wird. Tyler hat
sehr viel Potenzial und ist kein Hund für
Langweiler. Ich suche für ihn Menschen
mit Erfahrung in der Retrieverausbildung, die Spaß daran haben, im Team
mit ihrem Hund durchs Leben zu gehen (Dummyarbeit, Ausbildung zum
Jagdgebrauchshund, Ausbildung zum Rettungshund, Mantrailing, Obedience,
Fährtenarbeit...).
Dass Tyler noch bei mir ist
liegt definitiv nicht am Hund, sondern an den bislang nicht passenden
Anfragen. Tyler ist weder ein Hund für eine
Stadt-/Mietwohnung im Mehrfamilienhaus in der x-ten Etage, noch ein Hund
für Vollzeit arbeitende Menschen, wenn sie den Hund nicht in ihren Job
integrieren können. Alters- und kräftemäßig sollte man einem jungen
Rüden mit einer im besten Fall Lebenserwartung von 14 bis 15 Jahren
gewachsen sein, das heißt Tylers zukünftige Eigentümer sollten nicht
wesentlich Älter als 65 Jahre und körperlich fit sein. Tyler ist ja auch
fit und möchte in den kommenden Jahren viel erleben zusammen mit seinen
Menschen. Tyler ist sehr sozialverträglich mit
Artgenossen, weshalb er auch als Zweithund zu einem älteren
Rüden abgegeben werden könnte. Da Tyler nicht kastriert
ist, wird er nicht zu intakten Hündinnen vermittelt!

Tyler ex Chelsea
- 19. August 2023:
LCD-Wesenstest in Leopoldshöhe (NRW)
Redwood ex Chelsea "Conrad" (Richbourne Living Legend x
Downey ex Chelsea) hat heute
unter der Richterin Simone Metz den LCD-Wesenstest in
Leopoldshöhe erfolgreich bestanden. Geführt wurde "Conrad"
von seiner Eigentümerin Herike Krumme. Herzlichen Glückwunsch!
- 10. August 2023: Gesundes Gangwerk
Ich freue mich sehr über die Röntgenauswertungen von Texas
und Tracy, denn damit sind nun alle 8 Hunde aus meinem
T-ll-Wurf auf HD und ED
untersucht und gutachterlich ausgewertet. Dazu haben alle Labradore ein
korrektes, vollzahniges Scherengebiss und den LCD-Wesenstest mit schönen
Beurteilungen bestanden. Texas ex Chelsea: A 1 / A 1, ED: 0 / 0 Tracy ex Chelsea: A 1 / A 1, ED: 0 / 0
Ein riesen Dank an meine Hundekäufer, die ihre Labradore so
toll aufgezogen haben und mit den Nachzuchtergebnissen dazu beitragen,
dass wir auch weiterhin gesunde, wesensfeste Labradore züchten können.
Übrigens waren 7 der 8 Hunde des Wurfs in der Radiologie der
Vet.-Med.-Uniklinik in Giessen zur Anfertigung der Röntgenbilder und
alle Aufnahmen sind bezüglich Lagerung und technischer Qualität absolut
perfekt = nach wie vor beste Adresse!
- 30. Juli 2023: LCD-Wesenstest
in 55425 Waldalgesheim Am heutigen Tag wurden 10 Hunde aus
meiner Zucht der LCD-Wesensrichterin Claudia Pelzer
zur Beurteilung vorgestellt und ich freue mich sehr, dass alle Hunde mit
schönen Beurteilungen bestanden haben: Aus dem
Q-ll-Wurf (Francolino ex Chelsea x Colby
ex Chelsea): Quincy ex Chelsea, aus dem
R-ll-Wurf (Richbourne Living Legend x
Downey ex Chelsea): Reno ex Chelsea &
Riva ex Chelsea, aus dem S-ll-Wurf
(Xanthos ex Chelsea x Hope ex Chelsea): Scott ex
Chelsea & Spencer ex Chelsea,
aus dem T-ll-Wurf
(Xanthos ex Chelsea x Juneau ex Chelsea): Texas ex
Chelsea & Tamaris ex Chelsea,
sowie aus dem U-ll-Wurf (Xanthos
ex Chelsea x Colby ex Chelsea): Unit ex Chelsea Urban ex
Chelsea &
Umeå ex Chelsea
Ich bedanke mich ganz herzlich bei der Wesensrichterin
Claudia Pelzer für über 10 Jahre kompetentes Beurteilen
unzähliger Hunde aus meiner Zucht. Dabei immer pro Hund und mit
vielen hilfreichen Tipps für die Hundeführer/Eigentümer. Danke dafür!
Ich hoffe auf ein "niemals geht man so ganz!" :-)
Weiterhin bedanke ich mich bei meinen Welpenkäufern,
die teilweise sehr lange Anfahrten in Kauf genommen haben, um an diesem
Wesenstest-Tag mit ihrem Hund dabei sein zu können. Zum guten Schluß
natürlich auch mein Dank an Heike Kunusch für die Übernahme der
Sonderleitung, so dass auch ich meine Hunde über die Prüfung führen
konnte, und an Familie Lipps, die uns zum wiederholten Mal ihr
wunderschönes Grundstück für diese Veranstaltung zur Verfügung gestellt
hat.
- 30. Juli 2023:
Geprüftes Besuchshundeteam Ruby ex Chelsea
(Richbourne Living Legend x Downey ex Chelsea) hat die Ausbildung zum
Besuchshund bei den Maltesern mit der
Abschlussprüfung erfolgreich beendet und darf sich nun
zusammen mit ihrer Eigentümerin geprüftes
Malteser-Besuchshundeteam nennen. Ruby wird
zukünftig als Besuchshund in Seniorenheimen eingesetzt werden.

- 15. Juli 2023: Vielseitig
einsetzbare "ex Chelseas" Romeo ex Chelsea
"Max" (Richbourne Living Legend x Downey ex Chelsea) hat zusammen mit
seiner Eigentümerin Carola Rink die Prüfung zum
Therapie(begleit)hunde-Team erfolgreich bestanden.
"Max" begleitet seine als Allgemeinmedizinerin arbeitende Eigentümerin
täglich in die Praxis.

- 12. Juli 2023: Gesunde Gelenke
Von den ersten 13 untersuchten Hunden aus meinen beiden Würfen aus 2022
liegen bereits die offiziellen Röntgen-Gutachten vor. Alle Hunde sind
Nachkommen meines Rüden CH Xanthos ex
Chelsea nach Juneau ex Chelsea (T-ll-Wurf) und
Colby ex Chelsea (U-ll-Wurf). Auch die noch fehlenden
Labradore beider Würfe wurden bereits untersucht, jetzt warten wir nur noch
auf die gutachterlichen Auswertungen der Röntgenbilder.
Torin ex Chelsea: B 1 / A 2, ED: 0 / 0 Tyler ex Chelsea:
A 2 / A 2, ED: 0 / 0 Tamaris ex Chelsea: A 2 / A 1, ED: 0 / 0
Tacoma ex Chelsea: B 2 / B 1, ED: 0 / 0 Tennessee ex Chelsea: A 1 / A
2, ED: 0 / 0
Trinity ex Chelsea: A 1 / A 1, ED: 0 / 0
Unesco ex Chelsea: A 1 / A 1, ED: 0 / 0 Unit ex Chelsea: B 1 / A 2,
ED: 0 / 0 Uno ex Chelsea: B 1 / B 1, ED: 0 / 2
Umeå ex Chelsea: A 2
/ A 2, ED: 0 / 0 Una ex Chelsea: A 1 / A 1, ED: 0 / 0 Unique ex Chelsea: A 2 / A 1, ED: 0 /
0 Utah ex Chelsea: A 2 / A 1, ED: 0 / 0
-
05. Juli 2023: APD/R-A des DRC +
Zuchtzulassung
Laurino ex Chelsea "Dozer" (Loretta Costa Retrievers
Xiao x Downey ex Chelsea) besteht die
Arbeitsprüfung mit Dummies in der Anfängerklasse mit
sehr guten 75 von 80 Punkten unter Richter T. Helmrath.
Geführt wurde der Rüde von seiner Eigentümerin Gillian
Gudauski.
Darüber hinaus hat Laurino ex
Chelsea nun seine Zuchtzulassung im
DRC mit vorzüglichem Formwert und
exzellenten Gesundheitsergebnissen erhalten: HD: A1/A1,
ED-Grad: 0/0, kardiologische Untersuchung ohne Befund, Augen ohne
Befund, PRA-, CNM-, EIC-, SD-2- und HNPK-frei. Neben der
DRC-Wesensbeurteilung, der JAS, der
APD/R-A und der BHP (DVG) hat er auch die
Langschleppenprüfung (800/1200/1500 m)
bestanden. Geeigneten Hündinnen steht er als Deckrüde
zur Verfügung. Liebe Gillian, ich wünsche Dir viel Erfolg mit "Dozer".
- 17. Juni 2023: LCD-Wesenstest in
Waldalgesheim Heute fand der von mir organisierte
LCD-Wesenstest auf dem wunderschönen Grundstück am 'Genheimer Weiher'
in Waldalgesheim statt, den alle 8 gemeldeten Labradore mit
wirklich sehr schönen Beurteilungen bestanden haben. Es war mir eine Freude
zu sehen, dass alle Hunde mit ihren Menschen zu harmonischen Teams
zusammengewachsen sind. Der sehr erfahrenen Richterin Claudia Pelzer
wurden folgende Hunde zur Beurteilung vorgestellt: Aus der Verpaarung
'Richbourne Living Legend x Downey ex Chelsea':
Romeo ex Chelsea
aus der Verpaarung 'Xanthos ex Chelsea x Juneau ex Chelsea':
Torin ex Chelsea
Tacoma ex Chelsea
Tennessee ex Chelsea Tracy ex Chelsea
Trinity ex Chelsea und aus der Verpaarung 'Xanthos ex
Chelsea x Colby ex Chelsea': Unique ex Chelsea und
Utah ex Chelsea Ich bedanke mich an dieser Stelle ganz
herzlich bei der LCD-Wesensrichterin Claudia Pelzer für das abermals
faire und kompetente Beurteilen der vorgestellten Hunde, bei Familie
Lipps für das Bereitstellen ihres traumhaft schönen Grundstücks, bei
allen Teilnehmern, die ihre "ex Chelseas" so souverän durch
den Test geführt haben, und nicht zu vergessen
beim Wettergott, der
mit bestem Sommerwetter den Tag perfekt abrundete. Zum Gruppenfoto geht
es hier :-)
-
11. Juni 2023: LCD-Wesenstest in
Oberursel Mein Rüde Tyler ex Chelsea (CH
Xanthos ex Chelsea x Juneau ex Chelsea) hat heute den
LCD-Wesenstest unter dem erfahrenen Richter Klaus Karrenberg
mit der folgenden schönen Beurteilung bestanden:
"Der 12 Monate alte Labrador-Rüde zeigte ein ausgeglichenes
Bewegungsverhalten. Er reagierte temperamentvoll. Der
Rüde ist aufmerksam. Ausdauernd ist er im Verfolgen seiner Ziele
(Beute). Die Bindung ist gut. Im Umgang mit Fremdpersonen verhielt er
sich freundlich und sicher. In der Seitenlage und in der Gasse sicher
und unbeeindruckt, ebenso im optischen und akustischn Bereich. Er ist
schusssicher."
- 20. Mai 2023: APD/R-A in Trebbin der
DRC-BZG Berlin-Brandenburg Richmond ex Chelsea
"Richie" (Richbourne Living Legend x Downey ex Chelsea) war
heute erneut erfolgreich und konnte mit seinem Besitzer unter der
Richterin Annette Präkelt die Arbeitsprüfung mit Dummies
in der Anfängerklasse mit einem guten Ergebnis
bestehen. Eine tolle Leistung für den noch keine 2
Jahre alten "Richie", bedenkt man, dass bei der letztjährigen APD/R-A in
Trebbin von 9 Startern nur ein einziger Hund die Prüfung bestehen
konnte. "Anfängerklasse" klingt einfacher als es tatsächlich ist und
schlussendlich gehört natürlich auch immer eine Portion Suchenglück mit
dazu. Daher ganz herzlichen Glückwunsch vom gesamten "ex Chelsea"-Team
zu diesem schönen Erfolg! - 15. Mai 2023:
V-ll-Wurf-Fotoseite ist online
Die Fotoseite für den
V-ll-Wurf ist online und wird nach und nach
mit weiteren Bildern erweitert
-
01. Mai 2023: Begleithundeprüfung
Laurino ex Chelsea "Dozer" (Loretta Costa Retrievers
Xiao x Downey ex Chelsea) besteht, geführt von seiner
Eigentümerin Gillian Gudauski, die Begleithundeprüfung des VDH
beim 'Verein für Gebrauchshunde Bornheim-Sechtem und Umgebung e.V.'.
Herzlichen Glückwunsch an das erfolgreiche Team!

-
14. April 2023: Der V-ll-Wurf wurde
geboren
In der Ruhe liegt die Kraft: In einer langen aber
letztendlich komplikationslosen Geburt, vom ersten Fruchtwasser bis zur
Geburt des letzten Welpen vergingen 13 Stunden, hat meine Hündin Downey
6 kräftige Welpen geboren. Einer davon kam leider tot zur Welt, ein
weiterer verstarb nach knapp 2 Tagen, aber es
verbleiben 3 gesunde Rüden und eine ebenso gesunde Hündin, auf deren
Aufzucht ich mich nun sehr freue. Die Namen stehen auch bereits fest:
Die Rüden heißen Valentino, Vino &
Vivaldi, die Hündin heißt Venice.
-
01. April 2023: LCD-Wesenstest in
L-Grevenmacher
Mit Uno ex Chelsea (CH Xanthos ex Chelsea x
Colby ex Chelsea) hat heute der erste Hund meines U-ll-Wurfes im
luxemburgischen Grevenmacher den LCD-Wesenstest unter
Richter Bernhard Straub mit einer ausgezeichneten Beurteilung bestanden. Zum Wesenstest vorgestellt wurde
der Rüde von seiner Eigentümerin Nathalie Burg-Schmit.
"Der 10
Monate alte gelassene Rüde mit ausgeglichenem Temperament zeigte heute
eine gute Bindung zu seiner Führerin. Der Kontakt mit fremden Menschen
bereitete ihm Freude. Sämtliche Umweltreize untersuchte er mit Neugierde
und guter Sicherheit. Seine jagdlichen Anlagen sind alle gut vorhanden.
Seinen Beutetrieb zeigte er mit Ausdauer. Der Rüde war beim Schuss
sicher und unerschrocken. Es war schön anzusehen, wie lässig und cool er
diesen Test absolviert hat."
- 27. März 2023: Downey ist tragend
Nachdem Downey ex Chelsea vor 6 Wochen von
'Richbourne Living Legend' gedeckt wurde, sieht man mittlerweile
deutliche Anzeichen einer Trächtigkeit. Ich freue mich sehr auf diesen
Wiederholungswurf und nehme freundliche Anfragen für einen Welpen aus
dieser Verpaarung unter 06744 - 714366 gerne entgegen.

Downey ex Chelsea
- 25. März 2023:
Downey-Nachwuchs @work
Während Laurino ex Chelsea (Loretta Costa
Retrievers Xiao x Downey ex Chelsea) seine hervorragende Nasenarbeit auf
der 1500 m Langschleppe beim JGV Euskirchen-Bonn e.V.
unter Beweis stellen konnte, schnupperte Richmond ex Chelsea
(Richbourne Living Legend x Downey ex Chelsea) beim First
Step-Cup der DRC-Bezirksgruppe Berlin-Brandenburg erste
Workingtest-Luft und erreichte mit 85 Punkten den 4. Platz
unter 25 Startern. Herzlichen Glückwunsch, toll gemacht!
-
18. März 2023:
LCD-Formwert-Beurteilung und
DRC-Begleithundeprüfung
Patton ex Chelsea "Michel" (CH Xanthos ex
Chelsea x Juneau ex Chelsea) wurde heute von seinem Eigentümer Peter
Hilbert in Neukirchen der Formwert-Richterin Eva Ebeling zur Beurteilung
vorgestellt und erhielt die höchste Formwertnote *vorzüglich*.
Damit erfüllt "Michel" nun alle Voraussetzungen für die Zuchtzulassung.

Gleichzeitig hat Richmond ex Chelsea "Richie"
(Richbourne Living Legend x Downey ex Chelsea) mit seinem Eigentümer die
DRC-Begleithundeprüfung im brandenburgischen Jüterbog
erfolgreich bestanden. Beiden Hundeführern mit ihren
"ex Chelseas" meine herzlichen Glückwünsche!
-
18. Februar 2023: Welcome home
Heute kam Newberry ex Chelsea "Rachel" aufgrund
beruflicher Veränderungen ihrer bisherigen Eigentümerin zu mir zurück.
"Rachel" wird nächste Woche 3 Jahre alt und stammt aus der Verpaarung
Ginostra's Handsome Wallace x Vesta ex Chelsea. Sie ist
top gesund (HD: A1/A2, ED: 0/0), hat eine sehr schöne
Wesenstest-Beurteilung erhalten und wurde mit der höchsten Formwertnote
*vorzüglich* bewertet. Willkommen zurück im "ex-Chelsea"-Rudel.

-
13. Februar 2023:
Neue Wurfplanung
Gestern und heute wurde meine Hündin Downey ex Chelsea
von dem liebenswerten englischen Rüden Richbourne Living Legend
"Brian" gedeckt und so freue ich mich auf einen rein gelben Wurf
typvoller Labrador-Retriever um den 14. April 2023.
Dieser Wurf ist eine
Wiederholung von meinem
R-ll-Wurf vom 22.07.2021.
Da der komplette Erstwurf mit sehr
guten Ergebnissen auf HD und ED geröntgt und gutachterlich ausgewertet
wurde und auch die Rückmeldungen der Eigentümer der Hunde des
R-ll-Wurfs durchweg positiv waren, fiel
mir die Entscheidung, "Brian" erneut in meiner Zucht einzusetzen, sehr
leicht.
Bei
ernsthaftem Interesse an einem Welpen aus meiner Zucht dürfen Sie mich
gerne unter meiner Tel.-Nr. 06744 - 714 366
zwischen 10 und 20 Uhr
kontaktieren. Ich freue mich auf Ihren Anruf!
Bitte lesen Sie vorab meine
Infos für Welpeninteressenten
-
05. Februar 2023: Röntgenbefunde
Mittlerweile liegen von 5 der 7 Hunde aus meinem S-ll-Wurf
(CH Xanthos ex Chelsea x Hope ex Chelsea) die offiziellen
HD/ED-Röntgen-Gutachten
vor:
Selleck ex Chelsea:
HD: A 2 / A 2, ED: 0/0
Scott ex Chelsea:
HD: A 2 / C 1, ED: 0/0
Spencer ex Chelsea: HD: B 1 / B 1, ED: 0/0 Selma ex Chelsea:
HD: A 1 / A 2, ED: 0/0
Seven ex Chelsea:
HD: A 2 / A 2, ED: 0/0
Ich freue mich sehr, dass
alle bislang untersuchten Hunde dieses Wurfes Auswertungen im
zuchttauglichen Bereich vorweisen können. Savannah hat ihren
Untersuchungstermin Mitte Februar und auch Sawyer wird
demnächst noch untersucht werden.
-
10. Januar 2023: Freud und Leid...
Zum Jahreswechsel erreichte mich das erste Röntgen-Gutachten eines
Hundes aus meinem S-ll-Wurf:
Selma ex Chelsea:
HD: A 1 / A 2, ED: 0/0 Ich freue mich sehr mit der
Eigentümerin der Hündin, Dr. Melanie Georg, über das nahezu perfekte
Röntgen-Ergebnis.
Leider erhielt ich aber auch vier sehr traurige
Nachrichten: Bereits am 22.12.2022 hat Kratos ex Chelsea
seine letzte Reise angetreten. Am 27.02.2023 wäre Kratos
15 Jahre alt gewordem. Am 01.01.2023 ist mit Magna ex Chelsea
"India" eine Schwester meiner Maxima
im Alter von gut 14 Jahren gestorben. Einen Tag später folgte ihr
Remus ex Chelsea, der nach kurzer schwerer Krankheit
von seinem Leiden erlöst wurde. Remus durfte 12,5 Jahre alt werden.
Hector ex Chelsea ist am 10.01.2023 in seinem 16.
Lebensjahr für immer eingeschlafen. Hector war nicht
nur geprüfter Rettungshund, sondern gehörte als
Studienteilnehmer zu den besonderen Hunden die bewiesen haben, dass
Hunde Lungenkrebs erschnüffeln können.
Den Eigentümern von Kratos, India,
Remus
und Hector
danke ich von Herzen für alles, was sie all die Jahre für ihre Hunde
getan haben. Es tut gut zu wissen, dass Kratos, India, Remus und Hector Zeit ihres
Lebens geliebt und bestens gepflegt wurden. Gute Reise...
-
25. November 2022: Der S-ll-Wurf hat
Geburtstag
Vor genau einem Jahr brachte meine Hündin Hope ex Chelsea ihren
Wurf nach dem ebenfalls aus meiner Zucht stammenden und bei mir lebenden
Rüden
Xanthos ex Chelsea, meinen zweiten
S-Wurf, auf die Welt. Ich
grüße alle
Eigentümer der Hunde aus dem S-Wurf auf diesem Wege
ganz herzlich und wünsche allen
Hunden einen schönen ersten Geburtstag
mit vielen extra Leckerlis bei schönem Herbstwetter. Als Wichtigstes steht nun erst mal die
offizielle Röntgenuntersuchung der Hüft- und Ellenbogengelenke an, für die
ich allen ganz feste die Daumen drücke für gute Ergebnisse. Bei der
Auswahl eines für diese Untersuchung geeigneten Tierarztes ist es von
größter Bedeutung, dass der Tierarzt die dafür notwendige
Qualifikation besitzt.
Bitte sprechen Sie daher (falls noch nicht geschehen!) den
Röntgen-Tierarzt mit mir ab, sollten Sie keinen Termin in der Vet.-Med.-Uniklinik in Giessen,
Tel.-Nr.: 0641
- 99 313 80, wahrnehmen => beste Adresse. Bei Fragen
zu der Röntgenuntersuchung stehe ich Ihnen
natürlich gerne mit Rat und Tat zur Seite. Der Wesenstest für die
S-ll-Wurf-Kinder findet dann am 17.
bzw. 18. Juni 2023 in
55425 Waldalgesheim statt. Ich freue mich sehr darauf, an diesem
Wochenende viele ex Chelseas mit ihren Eigentümern
wiederzusehen. Verbindliche Anmeldungen nehme ich ab Junuar 2023
entgegen.
-
16. November 2022: Der M-Wurf wird 14
Jahre alt Heute feiert mein erster M-Wurf
(Beechcroft's American Style x Diva ex Chelsea) den 14.
Geburtstag. Aus diesem Wurf habe ich damals meine Hündin
Maxima ex Chelsea behalten. Vier wunderschöne und
gesunde Würfe hat sie mir geboren und genießt heute ihren wohlverdienten
Ruhestand in meinem Rudel. Ich grüße auf diesem Wege alle noch
lebenden Wurfgeschwister meiner Maxima mit ihren Eigentümern und denke
auch an jene M's, welche bereits ihre letzte Reise angetreten haben.

-
13. November 2022: DRC-Wesenstest in 47877
Willich Nachdem Laurino ex Chelsea (Loretta
Costa Retrievers Xiao x Downey ex Chelsea) bereits am 12.10.2022 der
Zuchtrichterin Hassi Assenmacher-Feyel zur
DRC-Formwert-Beurteilung vorgestellt und mit vorzüglich
bewertet wurde, konnte er heute auch den DRC-Wesenstest
unter Richterin Birgit Muhr bestehen. Vorgestellt wurde
Laurino von seiner Eigentümerin Gillian Gudauski.
Herzlichen Glückwunsch und viel Erfolg bei euren weiteren Plänen. :-)
"Groß, maskuliner Kopf, viel Ausstrahlung, braune Augen,
vorzüglich getragener Behang, vorzügliches Gebäude, korrekt in allen
Details, raumgreifende Bewegung." (H. Assenmacher-Feyel)
23. Oktober 2022:
LCD-Wesenstest in Oberursel
Heute hat Laconi ex Chelsea
"Paula" (Loretta Costa Retrievers Xiao x Downey ex Chelsea) unter
Richter Klaus Karrenberg den LCD-Wesenstest in
Oberursel-Oberstedten mit einer sehr schönen Beurteilung bestanden. Geführt wurde
die Hündin
von ihrer Eigentümerin Sonja Einig-Brum. Ganz herzlichen Glückwunsch und
weiterhin viel Freude mit "Paula". :-)
"Die 3 Jahre
alte Labradorhündin zeigte ein ausgeglichenes Temperament und ein
starkes Bewegungs- und Betätigungsverhalten. Das Spielverhalten ist in
stark ausgeprägter Form sichtbar. Im Umgang mit Fremdpersonen absolut
sicher. In der Seitenlage und in der Gasse völlig sicher und
unbeeindruckt. Im optischen und akustischen Bereich sicher. Beim Schuss
sicher."
- 13. Oktober 2022: Röntgen-Auswertungen
R-ll-Wurf Mittlerweile liegen von allen Hunden aus meinem
R-ll-Wurf (Richbourne Living
Legend x Downey ex Chelsea) die Gutachten zu
den Röntgenbildern der Hüft- und Ellenbogengelenke vor:
Redwood ex Chelsea: HD: B 1 / B 1, ED: 0/0
Reno ex Chelsea: HD: A 1 / A 1, ED: 0/0, LS-Ü: 0
Richmond ex Chelsea: HD: B 1 / A 2, ED: 0/0, LS-Ü: 0
Romeo ex Chelsea: HD: A 1 / A 2, ED: 0/0, LS-Ü: 0
Ravenna ex Chelsea: HD: B 1 / A 1, ED: 0/0
LS-Ü: 0
Riva ex Chelsea: HD: A 1 / A 1, ED: 0/0, LS-Ü: 0 Ruby ex Chelsea: HD:
B 1 / B 2, ED: 0/0, LS-Ü: 0
(LS-Ü = Lumbosakraler Übergangswirbel)
Ich freue mich sehr mit den Eigentümern der
sieben Hunde über die wirklich
guten Befunde. Einmal mehr ganz herzlichen Dank an alle
R-ll-Wurf-Hundebesitzer für 100 %
untersuchte Nachzucht dieser Verpaarung.
- 10. September 2022:
Begleithundeprüfung
Powell ex Chelsea "Monty" besteht
heute, geführt von seiner Eigentümerin Tatjana Pietsch, die
Begleithundeprüfung des DRC in Raunheim unter Richter Joachim
Beringer. Ganz herzlichen Glückwunsch an das erfolgreiche Team.
>> Urkunde
<<
-
06. September 2022: Abschied Im
Alter von 6 Monaten zog Gratia ex Chelsea "Gracy"
damals als letzter Hund ihres Wurfes in ihr neues Zuhause. Ihr gesamtes
Leben wurde Gracy von Familie von Pückler geliebt und
gepflegt. Als Urlaubsgast war sie regelmäßig bei mir in Oberwesel und
konnte jedes Mal völlig problemlos in mein Rudel integriert werden.
Gracy war ihrer Oma, meiner allerersten Labrador-Hündin
Chelsea, in jeder Hinsicht sehr ähnlich. Vor allem war
sie genauso wunderbar unkompliziert. Fast 16,5 Jahre
durfte Gracy alt werden. Nun hat sie ihre letzte Reise
angetreten... Mein Dank geht an Familie von Pückler nach Wiesbaden, die
sich all die Jahre so liebevoll um Gracy gekümmert hat.

Gratia ex Chelsea 01.04.2006
- 06.09.2022 (Mallorn's
Diesel x Bella ex Chelsea)
-
06. August 2022: Happy Families
Sowohl aus dem T-ll-Wurf, als auch aus dem
U-ll-Wurf sind die ersten Hundekinder in ihr
neues Zuhause umgezogen. Ich freue mich sehr, wieder so tolle Familien
für meine Welpen gefunden zu haben.


Für wunderschöne Welpen aus meinen beiden Würfen suche ich noch
geeignete Menschen mit viel Zeit und Spaß an rassegerechter
Beschäftigung.
-
01. August 2022:
Foto-Welpen-Update Hier geht es
zu den aktuellen Bildern:
Fotoseite T-ll-Wurf
Fotoseite U-ll-Wurf

-
23. Juli 2022:
LCD-Wesenstest in Bochum Am
Vortag ein Jahr alt geworden besteht Ruby ex Chelsea
unter Richterin Claudia Pelzer den LCD-Wesenstest in
Bochum mit einer hervorragenden Beurteilung. Geführt wurde Ruby
von ihrer Eigentümerin Petra Böllert. Ganz herzlichen Glückwunsch!
"Die 12 Monate alte Hündin mit gutem Temperament zeigte eine
sehr schöne Bindung zu ihrer Besitzerin. Fremden Menschen begegnet sie
freundlich und sicher. Ihre jagdlichen Anlagen sind bestens ausgeprägt,
Beute- und Bringtrieb sind sehr ausgeprägt. Auf die Gegenstände des
Parcours reagiert sie sehr neugierig, interessiert, zeigt uns ihren
schönen Beutetrieb und verhält sich sowohl optisch, als auch akustisch
sicher und unerschrocken. Die aufmerksame und führige Hündin ist
schusssicher."
 - 18. Juli 2022:
Perfekte Gelenke Der gesamte Q-ll-Wurf
ist mittlerweile auf Hüftgelenksdysplasie (HD) und
Ellenbogengelenksdysplasie (ED) untersucht und mit besten Werten
gutachterlich ausgewertet. Das beweist einmal mehr die guten
Gene meiner Hunde, die verantwortungsbewußte Aufzucht der Welpen anfangs
durch mich, und im Anschluß durch die sorgfältig für meine jungen Hunde
ausgewählten Welpenkäufer. Also alles in Allem: Alle alles richtig
gemacht. Ich freue mich sehr. :-)
Q ex Chelsea: HD: A 2 / B 2 ED: 0/0, LÜW: 0
Quantico ex Chelsea:
HD: A2 / A1, ED-Grad: 0 / 0, LÜW: 0
Quincy ex Chelsea: HD: A1 / A1,
ED-Grad: 0 / 0, LÜW: 0 Quintus ex Chelsea:
HD: A2 / A1, ED-Grad: 0 / 0, LÜW: 0 Quitman ex Chelsea: HD: A2 / A2,
ED-Grad: 0 / 0, LÜW: 0
Quito ex Chelsea: HD: A1 / A1, ED-Grad: 0 / 0
Quadriga ex Chelsea:
HD: A1/A1,
ED: 0/0, LÜW: 0 Quinoa ex Chelsea:
HD: A2 / A1, ED-Grad: 0 / 0, LÜW: 0
(LÜW = Lumbosakraler Übergangswirbel)
-
29. Juni 2022:
Foto-Welpen-Update Der
T-ll-Wurf und der
U-ll-Wurf haben eigene Fotoseiten
Fotos T-ll-Wurf
Fotos U-ll-Wurf, die nach und
nach mit aktuellen Bildern ergänzt werden. Viel Spaß beim Ansehen.

- 27. Juni 2022:
Gesundes Gangwerk Nach Q,
Quincy & Quitman liegen jetzt auch die
offiziellen Röntgen-Gutachten für Quantico, Quintus &
Quito vor: Quantico ex Chelsea:
HD: A2 / A1, ED-Grad: 0 / 0 Quintus ex Chelsea:
HD: A2 / A1, ED-Grad: 0 / 0
Quito ex Chelsea: HD: A1 / A1, ED-Grad: 0 / 0
Von Xanthos'
Nachzucht in der LCD-Zuchtstätte "von Salinamonte" gibt es ebenfalls
neue Röntgenauswertungen: Django von Salinamonte: HD: A2 / A2,
ED-Grad: 0 / 0 Diana von Salinamonte: HD: B1 / B2,
ED-Grad: 0 / 0 Dunja von Salinamonte: HD:
B1 / B1,
ED-Grad: 0 / 0
Beste Voraussetzungen für ein
beschwerdefreies Laufen bis ins hohe Alter. Ich freue mich sehr!
- 30./31
Mai 2022:
Die Welpen sind da :-) In völlig
komplikationslosen Geburten brachten Juneau und
Colby ihre Würfe nach
CH Xanthos ex Chelsea auf die Welt. Den Anfang machte Juneau.
Sie scheint tatsächlich reinerbig schwarz zu sein, das bedeutet, kein
Gen für die gelbe (oder braune) Fellfarbe in sich zu tragen, denn auch
dieses Mal sind nur schwarze Welpen von ihr geboren
worden. Ich freue mich sehr über 3 Rüden und 5
Hündinnen. Planmäßig folgte die Geburt von Colbys
Welpen nur einen Tag später. Völlig instinktsicher kamen in
einer schnellen Geburt 9 gesunde Welpen mit folgender
Farb- und Geschlechterverteilung auf die Erde: 4 schwarze
und 1 gelber Rüde, sowie 1 schwarze
und 3 gelbe Hündinnen. Fotos folgen. Ich
freue mich sehr darauf, die Hundekinder in den kommenden Wochen
begleiten zu dürfen.
- 26.
Mai 2022:
Zion ex Chelsea "Chicco" bleibt in der
großen "ex Chelsea"-Familie
Nach seinem knapp 4-wöchigen Aufenthalt bei mir ist Zion
ex Chelsea "Chicco" heute in sein neues Zuhause ins
nordrhein-westfälische Werne umgezogen. Bei seinen neuen Eigentümern
lebte bis September vergangenen Jahres Hilaria ex Chelsea
"Cita". Ich freue mich sehr, dass sie nun Chicco ein
schönes neues Zuhause geben. Es ist nicht selbstverständlich, dass sich
eine Familie für einen bereits 8-jährigen Rüden entscheidet. Umso
dankbarer bin ich, so schnell wieder nette Menschen für Chicco
gefunden zu haben. Seiner Vorbesitzerin danke ich dafür, dass sie mich
kontaktiert und die Neuvermittlung von Chicco in meine
Hände gegeben hat.

Chicco mit seiner neuen Familie
- 01.
Mai 2022:
LCD-Wesenstest in 55425 Waldalgesheim Bei
angenehmen Temperaturen stand heute der LCD-Wesenstest für
9 "ex Chelseas" aus 5 verschiedenen Würfen auf dem Plan. Auch dieses Mal
ist zur Beurteilung der Hunde die erfahrene
LCD-Wesensrichterin Claudia Pelzer extra aus Witten angereist. Aufgrund
eines kurzfristig freigewordenen Startplatzes durfte der 8-jährige Rüde
Zion ex Chelsea "Chicco" teilnehmen, ein Hund, den ich
am Vortag aufgrund des Todes des vorherigen Besitzers zu mir
zurückgeholt habe. Einen nahezu fremden Hund mal eben nach nicht einmal
24 Stunden über den LCD-Wesenstest führen... das kann man sicherlich
nicht mit jedem Hund machen - mit Chicco schon! Da ich selber als
Sonderleiterin keinen Hund auf der Prüfung führen durfte, übernahm
diesen Part Heike Kunusch. Hierfür ganz herzlichen Dank, liebe Heike.
Das hast Du super gemacht. "Chicco" wurde wie folgt von Wesensrichterin
Claudia Pelzer beurteilt:
"Der bereits 8 Jahre alte Rüde lebt
erst seit 2 Tagen wieder bei seiner Züchterin und wird von einer ihm
fremden Person über den Wesenstest geführt. Er zeigt eine sehr schöne
Unterordnungsbereitschaft, schließt sich der Führerin schnell an und
läßt sich völlig problemlos durch alle Stationen des Wesenstests führen.
Weder optisch noch akustisch zeigt er sich beeindruckt. Seine jagdlichen
Anlagen hat er uns heute nicht sehr ausgeprägt gezeigt. Der Rüde ist
schusssicher. Ein netter älterer Rüde, der sich als bestens
ansprechbarer Begleithund gezeigt hat."
Auch die anderen 8
"ex Chelseas" haben mit sehr schönen Beurteilungen den
Wesenstest bestanden und ich habe mich sehr gefreut sehen zu
können, dass alle Hunde mit ihren Menschen zu schönen, vertrauensvollen
Teams zusammengewachsen sind. Folgende Hunde haben teilgenommen:
Aus dem
L-ll-Wurf
(Loretta Costa Retrievers Xiao x Downey ex Chelsea)
Lucino ex Chelsea "Henry"
Aus dem
O-ll-Wurf (Blacksugar Luis x Hope ex
Chelsea) Othello ex Chelsea
Aus dem
P-ll-Wurf (Xanthos ex Chelsea x Juneau ex
Chelsea)
Patton ex Chelsea "Michel"
Aus dem
Q-ll-Wurf (Francolino ex Chelsea x
Colby ex
Chelsea) Q ex Chelsea
Quantico ex Chelsea "Picasso" Quitman ex
Chelsea "Faustus"
Quito ex Chelsea Quinoa ex Chelsea "Gloria" und
zu guter Letzt aus dem Z-Wurf (Cosadolce Signed
And Sealed x Quieta ex Chelsea) Zion ex Chelsea
"Chicco"

Quito & Quitman
Ich
bedanke mich ganz herzlich bei allen "ex Chelsea"-Besitzern für ihr
Kommen, bei der Wesensrichterin Claudia Pelzer für das wie immer
kompetente und faire Beurteilen der Hunde sowie die vielen hilfreichen
Tipps für die Hundeführer, und schlussendlich natürlich bei Familie
Lipps, die uns auch dieses Mal wieder ihr wunderschönes Gelände am
Genheimer Weiher zur Verfügung gestellt hat.
- 30.
April 2022:
Zion ex Chelsea "Chicco" ist zurück
Im vergangenen Dezember verstarb Chiccos Eigentümer im betagten
Alter von 85 Jahren und so kam es, dass ich den 8-jährigen Rüden
Chicco zu mir zurückgeholt habe. Chicco ist ein äußerst
freundlicher, unkastrierter Rüde mit sehr gutem Grundgehorsam. Er stammt
aus meinem Z-Wurf aus
der Hündin 'Quieta ex Chelsea' nach 'Cosadolce Signed And Sealed'. Mit
gut einem Jahr wurde er in der Vet.-Med.-Uniklinik in Giessen auf HD und
ED untersucht und im zuchttauglichen Bereich mit HD: A2/A2 und ED: l/0
gutachterlich ausgewertet. Chicco ist frisch geimpft,
ein aktuelles großes Blutbild zeigt keinerlei Auffälligkeiten. Auch ansonsten ist
Chicco gesund und wird
sicherlich noch viele schöne Jahre vor sich haben. Aufgrund
seiner Sozialverträglichkeit kann er auch sehr gut als Zweithund
vermittelt werden. Chicco hatte ein schönes Zuhause wo er sehr geliebt
wurde. Ein ebensolches Zuhause suche ich jetzt wieder für ihn. Weitere
Infos gerne telefonisch unter: 06744 - 714 366. Wer sich vorstellen
kann, einem extrem freundlichen und sehr gut erzogenen 8-jährigen Rüden
ein neues Zuhause zu geben, darf sich gerne bei mir melden.

Huhu, ich bin's: Der Chicco :-)
- 26.
April 2022:
Gesundes Gangwerk
Die ersten drei Röntgenergebnisse von
Hunden aus meinem Q-ll-Wurf liegen vor:
Q ex Chelsea: HD: A 2 / B 2 ED: 0/0, LÜW: 0
Quincy ex Chelsea: HD: A1 / A1,
ED-Grad: 0 / 0, LÜW: 0 Quitman ex Chelsea: HD: A2 / A2,
ED-Grad: 0 / 0, LÜW: 0
(Francolino ex Chelsea x Colby ex Chelsea)
Geröntgt wurden die Hunde in den Vet.-Med.-Unikliniken in
Giessen und Leipzig: Wie immer perfekt angefertigte Röntgenaufnahmen =
beste Adressen!

HD-Rö.-Aufnahme: Quitman ex Chelsea
- 24.
April 2022:
Welpen-Update
Die meisten Hundekinder aus meinem S-ll-Wurf
sind zwischenzeitlich gut in ihrem neuen Zuhause angekommen und
ich freue mich über die vielen positiven Rückmeldungen. Für
zwei
wunderschöne gelbe
Rüden, 5 Monate alt, gesund und ohne zuchtausschliessende Fehler, suche ich noch geeignete Menschen, vorzugsweise mit
Hundeerfahrung und ohne (zu) kleine Kinder. Scott (RESERVIERT) &
Selleck (RESERVIERT) sind noch bei mir, weil bei den bisherigen
Anfragen für die Beiden noch nicht die passenden Menschen dabei waren.
Bei mir ziehen Hunde grundsätzlich nur dann aus, wenn alle Gegebenheiten
perfekt passen. Nicht der schnelle Verkauf, sondern die Suche nach dem
optimalen neuen Zuhause steht bei mir im Vordergrund.
 Scott ex Chelsea
- 01.
April 2022:
Ein ganz besonderer Tag
Nachdem am 24. März bereits Ferox ex
Chelsea "Noah" (Rosefair For Pleasure x Bonitas ex Chelsea)
16 Jahre alt wurde, durften am 01. April
auch Galba ex Chelsea "Lütte" und Gratia ex
Chelsea "Gracy" (Mallorn's Diesel x Bella ex Chelsea)
ihren 16. Geburtstag feiern. Ein wahrlich biblisches
Alter für Labradore. "Lütte" und "Gracy" sind damals mit gut 5 Monaten
als letzte Hunde ihres Wurfes in ihr neues Zuhause umgezogen. Ich
bedanke mich ganz herzlich bei den Familien von "Noah", "Lütte" &
"Gracy" für die gute Pflege über all die Jahre und wünsche allen noch
viele schöne gemeinsame Tage. In Gedanken bin ich auch bei den
Wurfgeschwistern, die diesen besonderen Tag leider nicht mehr im Kreise
ihrer Familien erleben können.

Galba ex Chelsea "Lütte" * 16
Jahre alt
- 26.
März 2022:
Langschleppen-Prüfung
Laurino ex Chelsea (Loretta Costa Retrievers
Xiao x Downey ex Chelsea) hat erneut seine gute Nase unter Beweis
gestellt und die Langschleppen-Prüfung über
1200 m beim JGV Euskirchen-Bonn e.V. erfolgreich
bestanden. Geführt wurde Laurino von seiner
Eigentümerin Gillian Gudauski. Herzlichen Glückwunsch und Waidmannsheil!
>>
Urkunde
<<
- 26.
März 2022:
Der Q-ll-Wurf wird ein Jahr alt
Vor einem Jahr brachte meine Hündin Colby ex Chelsea ihren
Wurf nach dem ebenfalls aus meiner Zucht stammenden Rüden
Francolino ex Chelsea, meinen zweiten
Q-Wurf, auf die Welt. Ich
grüße die
Eigentümer der Q's ganz herzlich und wünsche allen
Hunden einen schönen ersten Geburtstag
mit vielen extra Leckerlis bei wunderschönem Frühlingswetter. Als Wichtigstes steht nun erst mal die
Röntgenuntersuchung der Hüft- und Ellenbogengelenke an, für die
ich allen ganz feste die Daumen drücke für gute Ergebnisse. Bei der
Auswahl eines für diese Untersuchung geeigneten Tierarztes ist es von
größter Bedeutung, dass der Tierarzt die dafür notwendige
Qualifikation besitzt. Daher wählen Sie bitte einen Tierarzt
(Zertifizierung HD und ED) aus der sich auf der Mitgliederliste der
GRSK e.V. befindet, oder fragen Sie mich nach einem qualifizierten
Tierarzt in Ihrer Nähe. Wenn irgendwie machbar vereinbaren Sie einen
Untersuchungstermin in der Röntgenabteilung der
Vet.-Med.-Uniklinik in
Giessen unter der Tel.-Nr.: 0641
- 99 313 80. Sollten Sie Fragen hierzu haben, stehe ich Ihnen
natürlich gerne mit Rat und Tat zur Seite. Der Wesenstest für die
Q-ll-Wurf-Kinder findet am 01. Mai 2022 in
55425 Waldalgesheim statt. Sprechen Sie mich wegen noch freier Plätze
an. Ich freue mich auf das Wiedersehen! :-)
- 18.
Februar 2022:
Gesunde Nachkommen
In den vergangenen Tagen erreichten mich 3
HD/ED-Röntgengutachten von Nachkommen meines Rüden
CH Xanthos ex Chelsea: Preston ex Chelsea: HD: A2 / A1,
ED-Grad: 0 / 0 Darwin von Salinamonte: HD: A1 / A1,
ED-Grad: 0 / 0 Dobby von Salinamonte: HD: A1 / A1,
ED-Grad: 0 / 0

HD-Röntgenbild: Preston ex Chelsea
Dobby von Salinamonte
"Dexter" konnte in den vergangenen Monaten zusätzlich auf Ausstellungen
überzeugen, so dass ihm der Titel Deutscher Jugend-Champion VDH
zuerkannt wurde. Ich freue mich sehr über die tollen Ergebnisse von
Xanthos' Nachkommen. :-)
- 09.
Februar 2022:
Welpen-Update
Die Hundekinder aus meinem S-ll-Wurf
sind inzwischen 11 Wochen alt und entwickeln sich sehr schön. Die
meisten Welpen sind bereits gut in ihrem neuen Zuhause angekommen und
ich freue mich über die vielen positiven Rückmeldungen.

Spencer ex Chelsea
-
08.
Februar 2022:
Röntgenbefunde
Nach langem Warten erreichten mich heute zwei HD/ED-Gutachten.
Ich freue mich sehr mit den Eigentümern der beiden Hunde über die super
Ergebnisse. :-)
Philippo ex Chelsea: HD:
B1 / B1,
ED-Grad: 0 / 0 (CH Xanthos ex Chelsea x Juneau ex Chelsea) Oregon ex Chelsea:
HD: A1 / A1,
ED-Grad: 0 / 0
(CH Blacksugar Luis x Hope ex
Chelsea)
-
14.
Januar 2022:
Neuer Titel für Xanthos
Nun ist es offiziell: Mein Rüde
CH Xanthos ex Chelsea ist jetzt auch
* * * D e u t s c h e r V e t e r a n e n C h a m p i o n
VDH * * *

Urkunde: klick
Nicht nur Xanthos war im vergangenen Jahr
erfolgreich auf Shows. Seinem Sohn Dobby von Salinamonte
"Dexter" wurde aufgrund seiner Erfolge in 2021 der Titel
Deutscher Jugend-Champion (VDH) zuerkannt. Herzliche
Glückwünsche an seine Besitzer und die Züchterin Angelika von der Ehe.
- 04.
Januar 2022:
Abschied von Luna

Luna ex Chelsea
05.05.2008
-
04.01.2022
(Tapeatom Born A Star x Alflasker I Have A Dream)
Das Jahr 2022 beginnt mit dem Abschied von
meiner kleinen Luna. Sie hatte es nicht immer ganz
einfach in ihrem Leben, wurde
Luna
doch mit einem knappen halben Jahr bereits an einer Sprunggelenks-OCD
operiert. Da ich nicht weiß wie sich die Gelenkknorpelerkrankung ohne OP
entwickelt hätte, weiß ich auch nicht ob es vielleicht besser gewesen
wäre, man hätte damals nicht operiert. Somit hatte Luna
zwar ein Handicap, lernte aber gut damit zu leben und führte
größtenteils ein beschwerdefreies Leben. Mit einem Jahr wurde
Luna kastriert. Eine gute Entscheidung, denn Zucht war mit dem
Sprunggelenksbefund sowieso ausgeschlossen. In den letzten Monaten baute
Luna langsam ab, ihr Appetit war aber bis vor wenigen
Tagen ungebrochen groß. Zum Jahreswechsel erbrach sie jedoch ihr Futter
und verweigerte es zuletzt fast ganz. Die Schleimhäute verfärbten sich
gelblich und das gestern angefertigte große Blutbild war
niederschmetternd. Genaugenommen glich es bis auf minimale Abweichungen
exakt dem Blutbild ihrer Mutter Honey kurz vor deren Tod. Das Labor
sagt: "Das mikroskopische Bild ist verdächtig für das Vorliegen einer
chronisch lymphatischen Leukämie/Lymphom Grad V." Luna durfte 13
Jahre und 8 Monate alt werden. Mach's gut, kleine Luna.
In meinen Gedanken wirst Du unvergessen bleiben. <3
- 31.
Dezember 2021:
Rückblick 2021 & Ausblick 2022
Das Jahr begann mit dem Abschied von Diva, einer
liebenswerten Hundepersönlichkeit und wichtigsten Säule meiner Zucht.
Mutter von 5 Würfen mit insgesamt 38 wundervollen Welpen. Eine
herausragende Vererberin, auf die alle meine aktuellen Zuchthunde
zurückgehen. Die beste Welpen-Oma, die man sich nur vorstellen konnte.
In ihrem 16. Lebensjahr verließen sie immer mehr die Kräfte. Ein großer
Verlust für mich und mein Rudel.
Aus züchterischer Sicht war das
Jahr 2021 durchaus erfolgreich für die "ex Chelsea's". Im März brachte
meine Colby instinktsicher ihren Wurf mit 8 gesunden
Welpen nach Francolino ex Chelsea zur Welt, gefolgt von
Downeys Wurf im Juli mit 7 gesunden Welpen nach
'Richbourne Living Legend'. Und da aller guten Dinge 3 sind, hat auch
Hope völlig komplikationslos ihre Welpen nach meinem
CH Xanthos ex Chelsea am 25. November geboren. Hopes
Welpen entwickeln sich bislang wunschgemäß und ab Anfang Januar werden
dann die ersten Welpenbesuche coronakonform im Freien und mit Abstand
stattfinden.
Erfreulicherweise sind bereits 27 der 28 Hunde aus
meinen Würfen aus dem Jahr 2020 auf HD und ED untersucht worden. Die
Auswertungen durch den vom LCD bestellten Gutachter lassen leider (viel
zu!) lange auf sich warten, weshalb von vielen geröntgten Hunden die
offizielle Begutachtung auch nach Monaten noch nicht vorliegt. Hier
erwarte ich in 2022 vom LCD, endlich die Reißleine zu ziehen und
schnellstmöglich einen Gutachterwechsel anzustreben.
Da sich die
Hunde aus meinem
M-ll-Wurf aus dem Jahr 2020 in jeder
Hinsicht toll entwickelt haben, werde ich diesen Wurf (CH
Xanthos ex Chelsea x Colby ex Chelsea) im
Frühjahr mit Colbys nächster Läufigkeit wiederholen.
Ich freue mich darauf, nach 3,5 Jahren dann evtl. auch selbst mal
wieder einen Welpen aus einem meiner Würfe behalten zu können.
Meinen
Xanthos habe ich in 2021 sechs mal ausgestellt. Durch seine Erfolge
konnten ihm die Titel LCD-Veteranen-Champion und
VDH-Veteranen-Champion zuerkannt, und die Tagestitel
Alpen-Veteranensieger 2021 und Veteranensieger
Baden-Württemberg 2021 verliehen werden.
Weiterhin habe
ich von
Xanthos Samen bei HSB-Blendivet, Dr. K. Blendinger in
Hofheim-Wallau, einlagern lassen. Damit habe ich mir das hervorragende
Erbgut von Xanthos für die Zukunft gesichert, auch wenn
ich hoffe, dass Xanthos noch viele Jahre gesund an
meiner Seite verbringen wird. Zum jetzigen Zeitpunkt deckt
Xanthos aber natürlich auch im Natursprung weiterhin
zuverlässig und instinktsicher. :-)
Trotz der Corona-Pandemie
konnte ich im Frühjahr und im Herbst je einen Wesenstest
mit der erfahrenen LCD-Wesensrichterin Claudia Pelzer anbieten, den
insgesamt 16 "ex Chelseas" mit schönen Beurteilungen bestanden haben.
Leider mußten wir uns in 2021 von einigen ex Chelseas
verabschieden. In Gedanken bin ich bei diesen Hunden und ihren
Eigentümern. Gleichzeitig freue ich mich aber auch darüber, dass
Ferox ex Chelsea "Noah", Galba ex Chelsea
"Lütte" (Fotos) und Gratia ex Chelsea "Gracy" als
älteste mir bekannte ex Chelseas in ihrem 16.
Lebensjahr sind und mit etwas Glück im kommenden März bzw.
April ihren 16. Geburtstag feiern dürfen.

Nun bin ich gespannt, was das neue Jahr 2022 für
uns bereithalten wird. Neue Wurfplanungen werde ich rechtzeitig unter
Wurfplanung auf dieser Homepage bekannt
geben.
LABRADORS EX CHELSEA steht auch in
2022 für transparente Zucht qualitätvoller
Labrador-Retriever. So wird man auch zukünftig, unabhängig von
den Veröffentlichungen auf der Homepage des 'Labrador Club Deutschland
e.V.', ausnahmslos alle Verpaarungen und Nachzuchtergebnisse auf meiner
Homepage nachlesen können.
Ich danke allen Welpenkäufern für das
mir und meinen Hunden entgegengebrachte Vertrauen und freue mich auf
(hoffentlich) viele positive Rückmeldungen im neuen Jahr.
Ihre/Eure Sylvia & Rudel

- 21.
Dezember 2021:
Foto-Update
Neue Fotos vom
S-ll-Wurf gibt es hier
:-)
- 14.
Dezember 2021:
Kleines Welpen-Update
Meine Welpen aus der Verpaarung meines Rüden
CH Xanthos ex Chelsea mit meiner Hündin Hope ex
Chelsea sind mittlerweile 20 Tage alt und entwickeln
sich bestens. Auch die Namen stehen bereits fest: Die Rüden werden
Sawyer, Scott, Selleck
& Spencer heißen, die Hündinnen haben die Namen
Savannah, Selma & Seven
bekommen. Erste Fotos gibt es hier

Anrufer, welche sich vorab mit der Rasse auseinandergesetzt und eine
klare Vortsellung davon haben, wie sie ihren zukünftigen Hund
beschäftigen möchten, sind bei mir herzlich willkommen. Sie sollten auch nach der Corona-Pandemie
ausreichend Zeit haben, einen Hund betreuen zu können. Wenn alles gut läuft,
sprechen wir von einer Lebenserwartung von 12 bis 15 Jahren bei einem
Labrador-Retriever.
Interessenten an einem Welpen aus meiner
Zucht können sich unter der Nr.: 06744 - 714 366
bei mir melden. Welpenanfragen bitte
ausschließlich telefonisch zwischen 10 und 20 Uhr.
- 25.
November 2021:
Der S-ll-Wurf ist geboren
In einer komplikationslosen Geburt brachte meine Hündin Hope
heute 7 gesunde Welpen zur Welt. Ich freue mich sehr
über 4 Rüden und 3 Hündinnen. Vater der Welpen ist mein
CH Xanthos ex Chelsea.

- 24.
November 2021:
Röntgen-Gutachten P-ll-Wurf
Nach langem Warten nun endlich die ersten drei
HD-/ED-Gutachten zu Hunden aus meinem
P-ll-Wurf (CH Xanthos ex Chelsea x Juneau ex
Chelsea):
Parker ex Chelsea: HD: B1 / B1,
ED-Grad: 0 / 0 Patton ex Chelsea: HD: A2 / A2,
ED-Grad: 0 / 0
Perry ex Chelsea: HD:
B1 / B2,
ED-Grad: 0 / 0
Powell ex Chelsea: HD:
B1 / B1,
ED-Grad: 0 / 0 Page ex Chelsea: HD: A1 / A1,
ED-Grad: 0 / 0
- 13./14.
November 2021:
Doppel-CACIB Karlsruhe
An diesem Wochenende habe ich meinen Rüden
CH Xanthos ex Chelsea auf der CACIB in Karlsruhe in der
Veteranenklasse ausgestellt und freue mich, dass er an
beiden Tagen mit VORZÜGLICH 1 bewertet wurde. Am Ende
konnte er sich auch gegen die jeweils erstplatzierte Hündin seiner
Klasse durchsetzen und wurde unter den Richtern Mrs. Margaret Brown (GB)
und Mr. Frank Gilroy (GB) an beiden Tagen BEST VETERAN.
Mit diesen Erfolgen hat Xanthos nun alle erforderlichen
Anwartschaften für den Deutschen-Veteranen-Champion VDH
zusammen und erhielt zusätzlich die Tagestitel
*** Veteranensieger Baden-Württemberg 2021 ***
*** Alpen-Veteranensieger 2021 ***
Ganz
besonders haben mich die Worte der englischen Richterin Margaret Brown
am Ende der gestrigen Show gefreut. Sie kam zu mir und sagte, dass wenn
sie sich einen Hund hätte aussuchen dürfen, sie meinen Xanthos
mit nach England genommen hätte. Er erinnerte sie an ihre früheren Rüden
aus Poolstead-Linien. Ich empfand die Worte als große Ehre. Vor einigen
Jahren hätte ich gerne den von Mrs. Brown gezüchteten und leider viel zu
früh verstorbenen Rüden 'Ramsayville Route Sixty Six' in meiner Zucht
eingesetzt. Wir scheinen beide den gleichen Typ Labrador zu lieben...
:-)

-
28. Oktober 2021:
Melrose ex Chelsea - HD: B1/B1, ED: 0/0
Mit Melrose ex Chelsea (CH Xanthos ex Chelsea
x Colby ex Chelsea) habe ich nun auch die letzte Röntgenauswertung des
Wurfes vom 03.02.2020 vorliegen. Da die Hündin leider nur "inoffiziell"
geröntgt wurde, das heißt die Röntgenbilder durch den röntgenden
Tierarzt nicht ordnungsgemäß beschriftet wurden, war eine gutachterliche
Auswertung durch den vom LCD bestellten Gutachter leider nicht möglich.
Aus diesem Grund habe ich die vorhandenen Röntgenbilder per
Privatgutachten von Dr. Bernd Tellhelm beurteilen lassen, der für
mich *die* Koryphäe für die Erstellung von Röntgen-Gutachten in
Deutschland ist. Damit kommt die Auswertung zwar nicht in die
LCD-Datenbank, allerdings habe ich so nun den gesamten
M-ll-Wurf komplett untersucht und kann die
Verpaarung Xanthos x Colby im kommenden Frühjahr guten
Gewissens wiederholen. :-)
- 17. Oktober 2021:
LCD-Wesenstest in 55425 Waldalgesheim
Bei perfektem Wetter stand heute der geplante Wesenstest für
Hunde aus meiner Zucht auf dem wunderschönen Gelände der Familie Lipps
an. Neun "ex-Chelseas" wurden von ihren Besitzern der sehr erfahrenen
LCD-Wesensrichterin Claudia Pelzer zur Beurteilung vorgestellt. Ich habe
mich sehr gefreut sehen zu können, dass alle Hunde mit ihren Menschen zu
schönen, vertrauensvollen Teams zusammengewachsen sind. Hier und da
waren noch kleine Baustellen erkennbar, für die es hilfreiche Tipps von
der Wesensrichterin gab. Letztendlich haben aber alle 9 Hunde mit
schönen Beurteilungen den LCD-Wesenstest
bestanden und konnten mit glücklichen Eigentümern die teils
recht weite Heimreise antreten:
Aus dem
J-ll-Wurf
(Ginostra's Handsome Wallace x Colby ex Chelsea)
Joplin ex Chelsea "Joia"
Aus dem
M-ll-Wurf (Xanthos ex Chelsea x Colby ex
Chelsea) Monterey ex Chelsea "Monti"
Aus dem
O-ll-Wurf (Blacksugar Luis x Hope ex
Chelsea) Oregon ex Chelsea
Ontario ex Chelsea "Marley" & Olympia ex Chelsea
"Chili"
Aus dem
P-ll-Wurf (Xanthos ex Chelsea x Juneau ex
Chelsea) Parker ex Chelsea "Beppo"
Philippo ex Chelsea "Kalle" Portland ex Chelsea
"Jack" & Powell ex Chelsea "Monty"
Ich bedanke mich ganz herzlich bei allen "ex Chelsea"-Besitzern
für ihr Kommen, bei der Wesensrichterin Claudia Pelzer für das
kompetente und faire Beurteilen der Hunde sowie die vielen hilfreichen
Tipps für die Hundeführer, und schlussendlich natürlich bei Familie
Lipps, die uns auch dieses Mal wieder das wunderschöne Gelände am
Genheimer Weiher zur Verfügung gestellt hat. Am Schluss kamen auch meine
eigenen Hunde noch ein bisschen auf ihre Kosten und drehten ein paar
Runden im See. :-)

- 12. Oktober 2021:
LCD-Veteranen-Champion
Nun ist es offiziell: Mein Rüde
CH Xanthos ex Chelsea ist
* * * L C D - V e t e r a n e n C h a m p i o n
* * *

Damit tritt er in die großen Pfotenabdrücke
seiner Mutter CH Phila ex Chelsea,
der diese Auszeichnung bereits in 2019 verliehen wurde.
Ich bedanke mich ganz herzlich bei den international
anerkannten Zuchtschau-Richtern Manolo Queijeiro (MX), Kaca Kacian (CRO) und
Matija Ficko (CRO), die mit ihrer hohen Meinung zu meinem
Xanthos diesen Erfolg ermöglicht haben.
:-)
- 02./03. Oktober 2021:
LCD-Doppel-Spezial-Rassehunde-Ausstellung in
Burgbrohl
(RLP)
An diesem Wochenende besuchte ich mit meinem
Xanthos (CH
Creekwater Surf Scoter x CH Phila ex Chelsea)
die Doppel-SRA des LCD in
Burgbrohl. Xanthos bekam an beiden Tagen ein vorzüglich 1
in der Veteranenklasse (Hunde älter als 8
Jahre) und konnte sich im Anschluß noch gegen die erstplatzierten
Veteranen-Hündinnen durchsetzen. Dadurch wurde er an beiden Tagen auch
Best Veteran. Am Samstag erhielt
Xanthos
von der Richterin Kaca Kacian (CRO)
folgende Beurteilung:
"8 years old yellow beautiful
male. Lovely head with kind expression. Beautiful dark eyes. Strong neck
and excellent topline for the age. Very good tailset. Excellent bones
and feet. Good coat-quality and undercoat. A good angulation in front
and rear. Very nice and sound movement. Excellent temperament." Bewertung:
Vorzüglich 1 + Anw. Dt. Vet.-Ch. VDH + LCD-Vet.-CAC + Best
Veteran
Am Sonntag wurde Xanthos von
Matija Ficko (CRO) wie folgt beurteilt:
"8 years, good size, good
bones and balance. Very nice head and expression, good earset, nice top-
and underline. Good ribcage, excellent rear- and front angulations. Nice
tailset and tail-carriage. Very nice side movement for age. Nice
presentation. Dog with full quality." Bewertung:
Vorzüglich 1 + Anw. Dt. Vet.-Ch. VDH + LCD-Vet.-CAC + Best
Veteran
Mit diesen Erfolgen hat mein Xanthos
alle nötigen Anwartschaften für den LCD-Veteranenchampion.
:-)

- 26./27. September 2021:
Neue Wurfplanung Meine Hündin
Hope ex Chelsea wurde am 26. und 27. September
instinktsicher von meinem Rüden CH Xanthos ex
Chelsea gedeckt. Wenn
alles planmäßig verläuft, erwarte ich gelbe Welpen
aus dieser sehr vielversprechenden Verpaarung, Linienzucht auf meine
Hündin CH Phila ex Chelsea,
Ende November
2021.
Bitte kontaktieren Sie mich bei Interesse an einem Welpen aus meiner
Zucht ausschließlich telefonisch unter
06744 - 714 366 (bitte nicht nach 20 Uhr anrufen!).
  Hope
ex Chelsea
CH Xanthos ex Chelsea
- 23. September 2021:
Aktuelles vom R-ll-Wurf
Mittlerweile sind die R-ll-Wurf-Hundekinder 9
Wochen alt, wurden tierärztlich untersucht, haben einen Microchip unter
die Haut implantiert bekommen und natürlich ihre erste Impfung erhalten.
Auch die sogenannte Wurfabnahme durch eine Zuchtwartin des Labrador Club
Deutschland e.V. hat stattgefunden, so dass die ersten Welpen in den
kommenden Tagen in ihr neues Zuhause umziehen werden. Aktuelle Fotos
von allen Welpen gibt es hier

Romeo ex Chelsea - 8,5 Wochen alt
- 07. September 2021:
Auch der P-ll-Wurf wird bereits ein Jahr alt
Vor einem Jahr brachte meine Hündin Juneau ex Chelsea ihren
ersten Wurf nach meinem Rüden
Xanthos auf die Welt. Ich
grüße die
Eigentümer der P's ganz herzlich und wünsche allen
Hunden einen schönen, sonnigen ersten Geburtstag
mit vielen extra Leckerlis. Als Wichtigstes steht nun erst mal die
Röntgenuntersuchung der Hüft- und Ellenbogengelenke an, für die
ich allen ganz feste die Daumen drücke für gute Ergebnisse. Bitte
sprechen Sie mich an, damit wir einen geeigneten Tierarzt in
erreichbarer Nähe zu Ihrem Wohnort heraussuchen können. Bei der
Auswahl eines für diese Untersuchung geeigneten Tierarztes ist es von
größter Bedeutung, dass der Tierarzt die dafür notwendige
Qualifikation besitzt. Wenn irgendwie machbar vereinbaren Sie einen
Untersuchungstermin in der Röntgenabteilung der
Vet.-Med.-Uniklinik in
Giessen unter der Tel.-Nr.: 0641
- 99 313 80. Sollten Sie Fragen hierzu haben, stehe ich Ihnen
natürlich gerne mit Rat und Tat zur Seite. Der Wesenstest für die
P-ll-Wurf-Kinder ist für den 17. Oktober 2021 in
55425 Waldalgesheim geplant. :-)
- 05. September 2021:
LCD-Spezial-Rassehunde-Ausstellung in
Hasselroth
Heute besuchte ich mit meinem Rüden
CH Xanthos ex Chelsea (CH
Creekwater Surf Scoter x CH Phila ex Chelsea)
bei sonnigem Wetter die SRA des LCD im hessischen Hasselroth.
Xanthos bekam von dem extra aus Mexiko angereisten Richter
Manolo Queijeiro in der Veteranenklasse
folgende Beurteilung:
"Very nice
breed type. Beautiful head, with good front and rear angulation. Very
good topline and tailset, with good movement and very good coat."
Bewertung:
Vorzüglich 1. Platz + Anw. Dt. Vet.-Ch. VDH + LCD-Vet.-CAC
- 01. September 2021:
Der O-ll-Wurf wird ein Jahr alt
Vor genau einem Jahr brachte meine Hündin Hope ex Chelsea ihren
ersten Wurf nach dem Rüden CH Blacksugar Luis, meinen zweiten
O-Wurf, auf die Welt. Ich
grüße die
Eigentümer der O's ganz herzlich und wünsche allen
Hunden einen schönen ersten Geburtstag
mit vielen extra Leckerlis. Als Wichtigstes steht nun erst mal die
Röntgenuntersuchung der Hüft- und Ellenbogengelenke an, für die
ich allen ganz feste die Daumen drücke für gute Ergebnisse. Bei der
Auswahl eines für diese Untersuchung geeigneten Tierarztes ist es von
größter Bedeutung, dass der Tierarzt die dafür notwendige
Qualifikation besitzt. Daher wählen Sie bitte einen Tierarzt
(Zertifizierung HD und ED) aus der sich auf der Mitgliederliste der
GRSK e.V. befindet, oder fragen Sie mich nach einem qualifizierten
Tierarzt in Ihrer Nähe. Wenn irgendwie machbar vereinbaren Sie einen
Untersuchungstermin in der Röntgenabteilung der
Vet.-Med.-Uniklinik in
Giessen unter der Tel.-Nr.: 0641
- 99 313 80. Sollten Sie Fragen hierzu haben, stehe ich Ihnen
natürlich gerne mit Rat und Tat zur Seite. Der Wesenstest für die
O-ll-Wurf-Kinder ist für den 17. Oktober 2021 in
55425 Waldalgesheim geplant. Für diesen Tag liegen mir momentan bereits
ausreichend Anmeldungen vor und ich freue mich auf das Wiedersehen!
- 22. August 2021:
LCD-Formwertbeurteilung in
Kelkheim-Fischbach Heute habe ich die knapp 1,5 Jahre alte
Newberry ex Chelsea "Rachel" (Ginostra's Handsome
Wallace x Vesta ex Chelsea) dem Zuchtrichter Herrn Josef Fertig zur
Formwertbeurteilung vorgestellt und freue mich über
eine vorzügliche Bewertung dieser wirklich schönen
Hündin.
"Rachel" lebt bei Ch. Gröger in Neu-Isenburg

Newberry ex Chelsea - 1,5 Jahre alt
- 14. August 2021:
CACIB Ludwigshafen Auf der Internationalen Rassehunde-Ausstellung
in Ludwigshafen erhielt mein Rüde
CH Xanthos ex Chelsea, den
ich erstmals in der Veteranenklasse
vorgestellt habe, von der Richterin Linda Voláriková (SK) einen
vorzüglichen 2. Platz + Res. Anw. Dt. Vet.-Ch. VDH + Res.
LCD-Vet.-CAC (Die Reserve-Anwartschaft auf den VDH-Vet.-Ch.
bringt uns leider nicht weiter, aber zumindest auf dem Weg zum
LCD-Vet.-Champion ist der erste kleine Schritt gemacht. :-)
- 22. Juli 2021:
Der R-ll-Wurf ist geboren
In einer unkomplizierten Geburt hat meine Hündin Downey
sieben gesunden Welpen das Leben geschenkt. Ich freue mich sehr über
4 gelbe Rüden und 3 gelbe Hündinnen.
Fotos gibt es hier

- 10. Juli 2021:
BHP-A des LCD in Schwelm
Needles ex Chelsea "Bubbles" (Ginostra's Handsome
Wallace x Vesta ex Chelsea) hat heute im Alter von gerade mal 16,5
Monaten mit vorzüglichen 65 von 70 Punkten die
Begleithundeprüfung Teil A des LCD erfolgreich
bestanden. Geführt wurde "Bubbles" von ihrem Eigentümer Helmut
Konjetzky. In Pandemiezeiten, in denen Hunde- und insbesondere
Gruppentraining nur sehr eingeschränkt möglich war, sind solche kleinen
Erfolge umso wertvoller. Meine herzlichen Glückwünsche nach Bochum. :-)

- 09. Juli 2021:
Der Geburts-Countdown läuft...
Downeys Trächtigkeit neigt sich so langsam dem Ende zu.
Ihr Bauchumfang wächst täglich, der Appetit ist größer denn je und alle
Streicheleinheiten werden dankend angenommen. Ich rechne mit einem
durchschnittlich großen Wurf vielversprechender gelber Welpen in ca. 14
Tagen. :-)
- 13. Juni 2021:
Wesenstest in 55425 Waldalgesheim
Sieben "ex Chelseas" konnten heute den aufgrund der
Corona-Pandemie leicht dem COVID-19-Hygienekonzept angepaßten
LCD-Wesenstest mit sehr schönen Beurteilungen bestehen.
Alle Hunde wurden wie immer fair und kompetent von der erfahrenen
Richterin für Wesensteste im LCD, Claudia Pelzer, beurteilt. Bedingt
durch die COVID-19-Pandemie war für alle Teilnehmer im vergangenen Jahr
wenig Training in Gruppen oder mit vielen fremden Menschen möglich.
Viele Hundeführer haben aber auf Einzeltraining umgestellt oder während
der letzten Monate in Kleinstgruppen mit ihren Hunden gearbeitet,
wodurch letztendlich alle "ex Chelseas" mit ihren Eigentümern zu schönen
Teams zusammengewachsen sind. Es war mir eine Freude, alle Hunde mit
ihren wirklich sehr netten Eigentümern nach gut einem Jahr bei blauem
Himmel und Sonnenschein wiederzusehen.
Den Wesenstest haben
bestanden: Aus dem
M-ll-Wurf:
(CH Xanthos ex Chelsea x Colby ex Chelsea)
Madison ex Chelsea
"Friday" Mabel ex Chelsea "Perry"
Missouri ex Chelsea "Abby"
Montclair ex Chelsea
"Maira"
Zusammenfassende Wesensbeurteilung Montclair ex Chelsea
"Maira":
"Die 15 Monate alte, temperamentvolle Hündin
zeigte eine sehr schöne, vertrauensvolle Bindung zu ihrer Besitzerin.
Fremden Menschen begegnet sie spielfreudig und sicher, die
Corona-bedingt gestellte Gasse durchläuft sie in allen 3 Distanzen
problemlos. Ihre jagdlichen Anlagen sind bestens ausgeprägt, Beute- und
Bringtrieb sind sehr ausgeprägt. Auf die Reize des Parcours reagiert sie
neugierig und setzt sich sicher und unerschrocken mit allen Reizen
auseinander. Die unterordnungsbereite Hündin mit sehr guten
Wesenseigenschaften ist schusssicher."
Aus dem N-ll-Wurf
haben bestanden: (Ginostra's Handsome Wallace x
Vesta ex Chelsea)
Nelson ex Chelsea
"Nelson"
Needles ex Chelsea
"Bubbles"
Newberry ex Chelsea
"Rachel"
- 09. Juni 2021:
Gesundes Gangwerk Mit der
gutachterlichen Beurteilung der Hüft- und Ellenbogengelenke von
Nelson ist nun auch mein N-ll-Wurf
(Ginostra's Handsome Wallace x Vesta ex Chelsea) komplett ausgewertet:
Nelson ex Chelsea: HD: A2 / A2,
ED-Grad: 0 / 0
Needles ex Chelsea: HD: A2 / A2,
ED-Grad: 0 / 0
Newberry ex Chelsea: HD: A1 / A2,
ED-Grad: 0 / 0

Vesta wird heute 9 Jahre alt und ist altersbedingt
natürlich nicht mehr in der Zucht. Insgesamt gebar sie 4 Würfe. Ihre
28 Welpen im röntgenfähigen Alter sind alle auf HD und
ED untersucht: 18 x HD-A, 8 x HD-B, 2 x HD-C. Alle 28
geröntgten Nachkommen von Vesta haben mit ED-Grad: 0/0
beurteilte Ellenbogengelenke. Mit Vestas Tochter Hope
werde ich auf diese gesunden Linien weiter aufbauen und freue mich auf
ihren 2. Wurf irgendwann im Herbst/Winter 2021.
- 24. Mai 2021:
Neue Wurfplanung Meine
Hündin
Downey ex Chelsea wurde am 23. + 24.05.2021 von dem
englischen Rüden
Richbourne Living Legend
gedeckt.
- 21. Mai 2021:
Welpen-Update
Heute sind die Q-ll-Wurf-Welpen
(Francolino ex Chelsea x Colby ex Chelsea) bereits 8 Wochen alt
und neben der Untersuchung durch meine Tierärztin stand das Impfen und
Chippen auf dem Programm. Alle waren sehr tapfer und ich freue mich über
einen gesunden, fehlerfreien Wurf wunderschöner Welpen mit guten
Gewichten. Ab ca. Donnerstag nächster Woche können dann die ersten
Hundekinder in ihr neues Zuhause umziehen.

- 21. Mai 2021:
Röntgen: 7 von 8 und 2 von 3
Marlow
ex Chelsea: HD: A1 / A1, ED-Grad: 0 / l
(CH Xanthos ex
Chelsea x Colby ex Chelsea)
Needles ex Chelsea: HD: A2 / A2,
ED-Grad: 0 / 0 (CH Ginostra's Handsome Wallace x Vesta ex
Chelsea)
Nelson
wurde auch bereits untersucht, die gutachterliche Auswertung folgt
in Kürze. Fehlt jetzt nur noch Melrose aus dem M-ll-Wurf
Ich freue
mich sehr über die bisherigen top Ergebnisse der Hüft-
und Ellenbogengelenke der Hunde beider Würfe. Ganz besonders freue ich
mich natürlich einmal mehr über die top Vererberqualitäten meines Rüden
CH Xanthos ex Chelsea :-)
- 28. April 2021:
Kleines Foto-Update Quitman
ex Chelsea
- Können Hunde lachen? Nein. Aber man kann beim Fotografieren den
richtigen Moment erwischen, der es so aussehen läßt, als könnten sie es.
:-) Weitere Fotos vom Q-ll-Wurf
gibt es hier

- 28. April 2021:
Neues von der Röntgenfront
Vom M-ll-Wurf
(CH Xanthos ex Chelsea x Colby ex Chelsea) liegen bereits 6 (von 8)
offizielle Gutachten vor:
Madison ex Chelsea
"Friday": HD: A2 / A1, ED-Grad: 0 / 0, ZS: vollzahnig
Milton ex Chelsea
"Milton": HD: A2 / A2, ED-Grad: 0 / 0, ZS: vollzahnig
Monterey ex Chelsea
"Monti": HD: A1 / A2, ED-Grad: 0 / 0
Mabel ex Chelsea
"Perry":
HD: A2 / A2, ED-Grad: 0 / 0
Missouri ex Chelsea
"Abby": HD: A1 / A1, ED-Grad: 0 / 0, ZS: vollzahnig
Montclair ex Chelsea
"Maira": HD: A1 / A1, ED-Grad: 0 / 0, ZS: vollzahnig
Marlow
wurde auch bereits untersucht, die gutachterliche Auswertung folgt
in Kürze. Aus diesem Wurf fehlt dann nur noch Melrose...
Auch der N-ll-Wurf aus
Vesta ex Chelsea
ist komplett untersucht. Von
Needles
und
Nelson
fehlen noch die offiziellen Gutachten durch Dr. Tassani-Prell, die
Vorab-Prognose des erfahrenen röntgenden Tierarztes ist aber bei beiden
Hunden schon mal sehr gut.
Newberry ex
Chelsea
"Rachel": HD: A1 / A2, ED-Grad: 0 / 0
(CH Ginostra's Handsome Wallace x Vesta ex Chelsea)
Mittlerweile sind auch alle 8 Hunde aus meinem L-ll-Wurf
(Loretta Costa Retrievers Xiao x Downey ex
Chelsea) geröntgt, und die Röntgenbilder offiziell durch den
Gutachter des LCD ausgewertet worden:
Laurino ex Chelsea: HD:
A1 /
A1, ED-Grad: 0 / 0, ZS: vollzahnig Livorno ex Chelsea: HD:
A2 / A1, ED-Grad: 0 / 0, ZS: vollzahnig Loreo ex Chelsea: HD:
D1 / B2, ED-Grad: l / 0, ZS: vollzahnig
Lucca ex Chelsea: HD: A2 / A2,
ED-Grad: 0 / 0, ZS: vollzahnig Lucino ex Chelsea: HD:
B1 / C1, ED-Grad: 0 / 0, ZS: vollzahnig
Laconi ex Chelsea: HD:
A1 /
A1, ED-Grad: 0 / 0, ZS: vollzahnig Leni ex Chelsea:
HD:
A1 /
A1, ED-Grad: 0 / 0, ZS: vollzahnig
Lusiana ex Chelsea: HD: B1 /
B1, ED-Grad: 0 / 0, ZS: vollzahnig
Insgesamt bin ich sehr zufrieden mit den Ergebnissen der
Röntgenuntersuchungen dieses Wurfes. Sieben von acht Auswertungen liegen
im zuchttauglichen Bereich und auch Loreo
sollte mit diesem Befund bis ins hohe Alter bezüglich der Hüft- und
Ellenbogengelenke beschwerdefrei laufen können. Zusätzlich haben alle
Hunde dieses Wurfes ein korrektes, vollzahniges Scherengebiss.
Nun hoffe ich, viele "ex Chelsea"-Besitzer mit ihren Hunden zum
Wesenstest im Juni oder Herbst 2021 wiederzusehen. :-)
- 09. April 2021:
Kleines Welpen-Update Heute war
"Wiegetag" und alle Welpen wurden einer kleinen Untersuchung unterzogen.
Gwichtsmäßig entwickeln sich alle sehr gleichmäßig und wiegen aktuell
zwischen 880 g und 952 g. Bei allen Rüden sind bereits beide Hoden
komplett ins Skrotum abgestiegen und die Kiefer sind so angelegt, dass
ich bei allen Welpen mit korrekten Scherengebissen rechne. Die Augen hat
allerdings erst ein einziger Welpe geöffnet, nämlich der Fünftgeborene.
:-) Erste Fotos gibt es hier
- 01. April 2021:
Der G-Wurf wird 15 Jahre alt Mein
erster G-Wurf vom 01. April 2006
wird heute 15 Jahre alt. Ich gratuliere
Gratia
"Gracy" und Galba
"Lütte" ganz herzlich zu diesem Ehrentag und bin in Gedanken natürlich
auch bei den vier Wurfgeschwistern, die leider diesen Tag heute nicht
mehr bei ihren Menschen verbringen können.
- 31. März 2021:
JAS der DRC-Regionalgruppe Weser-Ems
Laurino ex Chelsea
(Loretta Costa Retrievers Xiao x Downey ex Chelsea) hat heute die
'Jagdliche Anlagensichtung der Retriever' des DRC in Bockstedt
erfolgreich bestanden. Geführt wurde Laurino
von seiner Eigentümerin Gillian Gudauski. Herzlichen Glückwunsch!
- 26. März 2021:
Der Q-ll-Wurf ist geboren Colby
hat heute instinktsicher in einer absolut
komplikationslosen Geburt 8 gesunden, kräftigen Welpen das Leben
geschenkt. Ich freue mich sehr über 6 Rüden
(4 x schwarz, 2 x gelb) und 2 Hündinnen
(1 x schwarz, 1 x gelb). Vater der Welpen ist der aus meiner Zucht
stammende, jagdlich geführte Rüde Francolino ex Chelsea
'Fred'.

- 24. März 2021:
Auszug 'Oregon ex Chelsea' Mein
Oregon
(Blacksugar Luis x Hope ex Chelsea) ist heute in seine neue Familie an
den Niederrhein gezogen. Damit hat nun auch der letzte Welpe aus meinen
beiden September-Würfen einen neuen Wirkungskreis gefunden. Ich wünsche
seiner neuen Familie ganz viel Freude mit "meinem" Ori. :-)
- 20. März 2021:
Langschleppenprüfung Im Alter
von 17 Monaten hat der junge Rüde Laurino ex Chelsea
Spursicherheit und Finderwillen bewiesen und die Langschleppenprüfung
über 800 m erfolgreich bestanden. Geführt wurde Laurino
von seiner Eigentümerin Gillian Gudauski, ausgerichtet wurde die
Prüfung vom JGV Euskirchen-Bonn. Waidmannsheil an das erfolgreiche Team.
:-)
- 09. März 2021:
Röntgen-Gutachten M-ll-Wurf: Nr. 1 +
2 von 8 Die ersten beiden offiziellen
HD-/ED-Röntgenauswertungen von Hunden aus meinem M-ll-Wurf (CH Xanthos ex
Chelsea x Colby ex Chelsea) liegen seit heute vor:
Missouri ex Chelsea
"Abby": HD: A1 / A1, ED-Grad: 0 / 0, ZS: vollzahnig Montclair ex Chelsea
"Maira": HD: A1 / A1, ED-Grad: 0 / 0, ZS: vollzahnig
Beide Hunde wurden vor genau 4 Wochen in der Vet.-Med.-Uniklinik
in Giessen untersucht. Ich freue mich sehr mit den Eigentümern von
"Abby" und "Maira" über die perfekten Gelenke. Durch die sehr
gute Vorab-Prognose
durch Dr. B. Tellhelm am Untersuchungstag in Giessen hatten wir auch mit
nichts anderem gerechnet. :-).
Jetzt hoffe ich auf ähnlich gute
Untersuchungsergebnisse bei den 6 Wurfgeschwistern von "Abby" und
"Maira"...

- 22. Februar 2021: A dog is for life, not
just for the Lockdown! - V E R M I T T E L T ! Bis auf Oregon sind
alle meine Welpen aus dem
O-ll-Wurf und
dem
P-ll-Wurf
mittlerweile in ihr neues Zuhause umgezogen und ich freue mich über die
vielen positiven Rückmeldungen. Für Oregon suche ich allerdings
noch ein geeignetes Zuhause. Ich bekomme zwar täglich sehr viele
Anfragen für meine Hundekinder, jedoch sind die meisten Interessenten
aus unterschiedlichen Gründen in meinen Augen nicht wirklich geeignet,
einem Labrador-Retriever dauerhaft ein artgerechtes Zuhause bieten zu
können. Viele sind derzeit, bedingt durch die Corona-Pandemie, im
Home-Office tätig. Das wird sich aber in absehbarer Zeit bei den meisten
Arbeitnehmern wieder ändern, aber auch nach Corona wird der Hund viel
Zeit in Anspruch nehmen. Leider sind auch sehr viele Anrufer extrem
wenig informiert über die Rasse. Der Labrador-Retriever gehört zur
FCI-Gruppe 8 der Apportier- und Stöberhunde, gehört somit zu den
Jagdhunderassen. Er bringt gute Familienhunde-Eigenschaften mit, will
aber auch rassetypisch beschäftigt werden. Als reine Familienhunde ohne
weitere Aufgaben/ Beschäftigung/ Ausbildung langweilen sich meine Hunde
und sind daher als solche ungeeignet!
Oregon ex Chelsea wurde am 01.09.2020 geboren. Er ist
ein wunderschöner, menschenbezogener, gelber Rüde mit
Ausstellungspotenzial und rassetypischen Arbeitsanlagen. Zum jetzigen
Zeitpunkt besitzt er keinerlei zuchtausschließende Fehler. Sollte er
sich weiterhin so vielversprechend entwickeln wäre es schön, wenn
Oregon neben retrievergerechter Ausbildung später auch
auf Ausstellungen vorgestellt würde. Bitte keine Anfragen für
Oregon, wenn Sie ausschließlich einen "Familienhund" suchen.

- 04. Februar 2021:
Neue Wurfplanung Meine Hündin
Colby ex Chelsea wurde am 26. Januar 2021 von dem
aus meiner Zucht stammenden, jagdlich geführten Rüden
Francolino ex Chelsea gedeckt. Wenn
alles nach Plan verläuft erwarte ich schwarze
und gelbe Welpen
aus dieser sehr vielversprechenden Verpaarung Ende März
2021. Erste Anzeichen weisen darauf hin, dass die Verpaarung
erfolgreich war. :-)
- 03. Februar 2021:
Der M-ll-Wurf hat Geburtstag
Vor einem Jahr brachte meine Hündin
Colby ex Chelsea ihren zweiten Wurf nach meinem selbstgezüchteten Rüden
Xanthos, meinen zweiten
M-Wurf, auf die Welt. Ich
grüße die
Eigentümer der M's ganz herzlich und wünsche allen
Hunden einen schönen ersten Geburtstag
mit vielen extra Leckerlis. Als Wichtigstes steht nun erst mal die
Röntgenuntersuchung der Hüft- und Ellenbogengelenke an, für die
ich allen ganz feste die Daumen drücke für gute Ergebnisse. Bei der
Auswahl eines für diese Untersuchung geeigneten Tierarztes ist es von
größter Bedeutung, dass der Tierarzt die dafür notwendige
Qualifikation besitzt. Daher wählen Sie bitte einen Tierarzt
(Zertifizierung HD und ED) aus der sich auf der Mitgliederliste der
GRSK e.V. befindet, oder fragen Sie mich nach einem qualifizierten
Tierarzt in Ihrer Nähe. Wenn irgendwie machbar vereinbaren Sie einen
Untersuchungstermin in der Röntgenabteilung der
Vet.-Med.-Uniklinik in
Giessen unter der Tel.-Nr.: 0641
- 99 313 80. Der in Leipzig wohnende Yukon
wird am besten in der
Kleintierklinik der Uni Leipzig geröntgt. Sollten Sie Fragen hierzu haben, stehe ich Ihnen
natürlich gerne mit Rat und Tat zur Seite. Der Wesenstest für die
M-ll-Wurf-Kinder ist für den 13. Juni 2021 in
55425 Waldalgesheim geplant. Es könnte allerdings sein, dass
der Termin Corona zum Opfer fällt. Die Entscheidungen werden
vermutlich kurzfristig fallen.
- 08. Januar 2021:
Wenn die Kraft zu Ende geht, ist der Tod die
Erlösung
Diva ex Chelsea
(Melicmark Louis T Duck
x Bonitas ex Chelsea)
*
19.07.2005
t
08.01.2021

Das Jahr 2021 beginnt mit dem Abschied von Diva,
einer liebenswerten Hundepersönlichkeit und der wichtigsten Säule meiner
Zucht. Mutter von fünf Würfen mit insgesamt 38 wundervollen Welpen. Eine
herausragende Vererberin, auf die alle meine aktuellen Zuchthunde
zurückgehen. Die beste Welpen-Oma, die man sich nur vorstellen konnte.
In ihrem 16. Lebensjahr verließen sie immer mehr die Kräfte. Ein großer
Verlust für mein Rudel. Ruhe in Frieden! <3
- 28. Dezember 2020:
Viel Licht und große Schatten - ein Rückblick auf
2020
Eigentlichhat das Jahr 2020 gut begonnen. Am 03. Februar und am
27. Februar wurden die Würfe von Colby
und Vesta geboren.
Abgesehen von einigen leider tot geborenen Welpen, insbesondere bei
Vestas Wurf, verliefen die Geburten komplikationslos. Am 08. März traten
dann 8 "ex Chelseas" aus dem J-ll-
und
K-ll-Wurf
zum
LCD-Wesenstest
an
und bestanden ihn mit sehr schönen Beurteilungen. Darunter auch meine
Nachwuchshündin
Juneau.
Dieser
LCD-Wesenstest sollte für einige Monate der Letzte sein, denn das
Corona-Virus breitete sich immer weiter aus und ganz Deutschland
ging in den ersten Lockdown. Für meine Welpenaufzucht und die
Welpeninteressenten hatte dies kaum
Auswirkungen. Alle Besuche wurden in
den Garten verlegtund das lang anhaltende schöne Wetter während des
gesamten Frühlings bis in den Sommer hinein machte
es uns einfach. Für
alle Welpen aus dem M-ll-Wurf und dem
N-ll-Wurf habe ich geeignete Menschen
gefunden, welche die Hunde zukünftig in den unterschiedlichsten
Bereichen einsetzen möchten.
Anfang Juli wurden dann Hope
und Juneau erstmals belegt und brachten Anfang
September instinktsicher ihre Welpen zur Welt. Während Hope
6 Welpen nach 'Blacksugar Luis' gebar, überraschte mich Juneau
mit einem großen Wurf von 11 schwarzen Welpen nach meinem Rüden
CH Xanthos ex Chelsea. Ein Großteil
der Hundekinder ist bereits gut im neuen Zuhause angekommen, für ein
paar Welpen suche ich aber auch noch geeignete Menschen. Die Suche
gestaltet sich leider aufgrund des sich unter den Menschen immer
rasanter ausbreitenden Corona-Virus und den damit verbundenen
Vorsichtsmaßnahmen immer schwieriger. Dazu kommt, dass die Nachfrage
nach Welpen so groß wie nie zuvor ist, jedoch die Vorstellungen von einem
Großteil der Interessenten weit von dem abweicht, was ich mir für meine
Hundekinder wünsche. Ich bleibe mir in dieser Beziehung treu und gebe
meine Welpen nur dann ab, wenn ich absolut überzeugt bin, das perfekte
Zuhause gefunden zu haben.
In Kürze werde ich einzelne
Beschreibungen zu den vier noch bei mir lebenden Welpen hier
veröffentlichen und bin mir sicher, in naher Zukunft auch für diese
kleinen Rohdiamanten die passenden Menschen zu finden.
Aufgrund
der Corona-Pandemie fanden in diesem Jahr kaum Ausstellungen und
Prüfungen statt, so dass es diesbezüglich nichts Nennenswertes an dieser
Stelle zu berichten gibt.
Leider gab es in 2020 viele
traurige Momente: Einige "ex Chelseas" haben uns für immer verlassen,
darunter Geminus ex Chelsea "Henry" (14 Jahre),
Gemina ex Chelsea "Alba" (14,5 Jahre),
Flavius "Sunny", Flavia & Fides ex
Chelsea "Frida" (14 Jahre), Iuventa ex
Chelsea "Isa" (13,5 Jahre), Katerina ex Chelsea
"Lina" & Kronos ex Chelsea "Lucca" (12 Jahre),
Lavinius ex Chelsea "Vino" (12 Jahre), Marina ex
Chelsea "Mable" (12 Jahre), Severa ex Chelsea
"Bonnie" (9 Jahre, 11 Monate) und Themis ex Chelsea
"Lilly" (9 Jahre). Alle haben bei ihren Menschen große Lücken
hinterlassen, die so schnell nicht wieder zu schließen sind.
Aktuell
befinden wir uns in Deutschland im zweiten Lockdown. Die Zahl der mit
dem Corona-Virus infizierten Menschen ist ungebrochen hoch. Daher ist es
zum jetzigen Zeitpunkt schwierig einen Ausblick auf das Jahr 2021 zu
wagen. Ich werde an dieser Stelle rechtzeitig bekannt geben, ob der
Wesenstest für die L-ll-, M-ll- und
N-ll-Wurf-Hunde am 21. März 2021 wie
geplant durchgeführt werden kann. Des Weiteren steht natürlich das
Röntgen der Hüft- und Ellenbogengelenke bei den gerade
genannten Würfen an, wofür ich feste die Daumen drücke für gute
Ergebnisse. Auch für 2021 sind Würfe geplant, die konkreten Verpaarungen
stehen aber zum jetzigen Zeitpunkt noch nicht fest.
Zum Schluss
möchte ich mich bei allen "ex-Chelsea"-Besitzern für das mir und meinen
Hunden entgegen gebrachte Vertrauen bedanken. Mein Wunsch für das
kommende Jahr: Bleiben Sie und Ihre Hunde gesund!
Ihre/Eure
Sylvia & Rudel
- 18. Dezember 2020:
Röntgenbefund L-ll-Wurf Nr. 3 von 8
Ich freue mich sehr über die Röntgenauswertung des dritten
untersuchten Hundes aus meinem L-ll-Wurf: Lusiana ex Chelsea
"Lilli": HD: B1 /
B1, ED-Grad: 0 / 0 Nun warten wir gespannt auf die 5 noch
fehlenden Untersuchungsergebnisse...
- 11. Dezember 2020:
Röntgenbefunde
Heute trudelten die ersten beiden HD/ED-Röntgenbefunde von Hunden
aus meinem L-ll-Wurf nach 'Loretta Costa Retrievers
Xiao'ein:
Livorno ex Chelsea:
HD: A2 /
A1, ED-Grad: 0 / 0 Loreo ex Chelsea: HD: D1 /
B2, ED-Grad: l / 0
Livornos Gelenke sind nahezu perfekt.
Bei Loreo hatte man sich natürlich bei der Hüfte ein
etwas besseres Ergebnis erhofft, aber auch wenn der Befund nicht ganz
optimal ist, sollte er damit problemlos alt werden können. Loreo
zeigt klinisch keinerlei Symptome. Wäre er nicht prophylaktisch
untersucht worden, wäre der Befund wohl nie ans Licht gekommen. Dieses
Beispiel unterstreicht einmal mehr die Wichtigkeit des HD/ED-Röntgens
mit Vollendung des ersten Lebensjahres. Nun, wo man diesen Befund kennt,
kann man entsprechend vorbeugen, so dass Loreo
hoffentlich bis ins hohe Alter beschwerdefrei bleibt. :-)

Livorno ex Chelsea
- 02. Dezember 2020:
Kronos ex Chelsea - unser 304-Punkte-'Lucca'
Völlig unerwartet und ohne irgendwelche Vorzeichen hat sich LUCCA
gestern auf seine letzte Reise begeben. LUCCA war durchaus hartnäckig in
der Verfolgung seiner eigenen Ziele, aber wenn es darauf ankam, konnte
man sich zu 100 % auf ihn verlassen. Auf einigen Prüfungen wurde er
erfolgreich geführt und war im Alltag der ständige Schatten von KD. Er
hat natürlich den Wesenstest bestanden, die JP/R des DRC mit 244 Pkt.,
die Jagdeignungsprüfung (Hessen), die BLP des LCD mit 304 von 310
Punkten => wer hätte das zu diesem Zeitpunkt gedacht, daher unser *
304-Punkte-LUCCA *, die BHP Teil A des LCD mit 68/70 Pkt., die APD-R-A
des LCD, die VPS und die Langschleppe (800m).
Liebe Karin, lieber
KD, ich danke Euch ganz herzlich dafür, dass LUCCA ein so schönes und
erfülltes Retrieverleben bei Euch leben durfte. Mach's gut LUCCA, Du
hast den Zeitpunkt Deines Abschieds selbst bestimmt. Für Dich sehr
schön, für Deine Menschen sehr hart... Gute Reise.

Kronos ex Chelsea
(Dual's Hope Xerox x Bella ex Chelsea)
*
27.02.2008
t
02.12.2020
- 10. November 2020:
Vaterfreuden
In der LCD-Zuchtstätte 'von Salinamonte' von
Angelika von der Ehe sind heute in einer komplikationslosen Geburt 3 gelbe
Rüden, sowie 1 schwarze und 1 gelbe Hündin geboren worden. Stolzer Vater der
Welpen ist mein Rüde Xanthos ex Chelsea. Ich freue mich sehr über diese gute Nachricht und wünsche
der Züchterin eine schöne Aufzuchtzeit und den Welpen alles Gute für die
Zukunft.
- 05. November 2020:
Welpen-Update
Am vergangenen Dienstag wurden alle
Welpen des O-ll- und P-ll-Wurfs
tierärztlich untersucht, geimpft und gechippt, so
dass die ersten Welpen am kommenden Wochenende in ihr neues Zuhause
umziehen können. Ich bitte alle neuen Welpenbesitzer jedoch um Geduld,
da die Übergabe der Hundekinder, bedingt durch die Corona-Pandemie, nur
in Einzelterminen und unter Einhaltung aller notwendigen
Hygienemaßnahmen stattfinden kann. Ein paar Welpen des P-ll-Wurfs sind
auch vom Gewicht her noch etwas leicht, so dass die Abgabe der
betreffenden Welpen frühestens am Wochenende 14./15. November
stattfinden wird. Bezüglich der Einzelheiten setzen Sie sich bitte
telefonisch mit mir in Verbindung. Aktuelle Fotos der Welpen gibt es
hier: Fotoseite O-ll-Wurf
Fotoseite P-ll-Wurf

- 15. Oktober 2020:
Röntgenauswertungen J-ll-Wurf
Nun ist auch mein gesamter J-ll-Wurf
(Ginostra's Handsome Wallace x Colby ex Chelsea) auf HD und ED untersucht
und gutachterlich ausgewertet. Ich freue mich sehr über die perfekten
Ergebnisse:
Jackson ex Chelsea: HD: A2 / A2,
ED-Grad: 0 / 0 Jasper ex
Chelsea: HD: A2 /
A1, ED-Grad: 0 / 0 Jordan ex
Chelsea:
HD: A 1 /A 1, ED-Grad: 0 / 0
Jena ex
Chelsea: HD:
A 1 /A 1, ED-Grad: 0 / 0 Joplin ex Chelsea: HD:
A 2 /A 2, ED-Grad: 0 / 0 Juneau ex
Chelsea: HD:
A 1 /A 1, ED-Grad: 0 / 0
- 13. Oktober 2020:
Der L-ll-Wurf hat Geburtstag
Vor genau einem Jahr brachte meine Hündin
Downey ex Chelsea ihren ersten Wurf nach dem in Mexico
gezüchteten Rüden Loretta Costa Retrievers Xiao, meinen zweiten
L-Wurf, auf die Welt. Ich
grüße die
Eigentümer der L's ganz herzlich und wünsche allen
Hunden einen schönen ersten Geburtstag
mit vielen extra Leckerlis. Als Wichtigstes steht nun erst mal die
Röntgenuntersuchung der Hüft- und Ellenbogengelenke an, für die
ich allen ganz feste die Daumen drücke für gute Ergebnisse. Bei der
Auswahl eines für diese Untersuchung geeigneten Tierarztes ist es von
großer Bedeutung, dass der Tierarzt die dafür notwendige
Qualifikation besitzt. Daher wählen Sie bitte einen Tierarzt
aus der sich auf der Mitgliederliste der
GRSK e.V. befindet, oder fragen Sie mich nach einem qualifizierten
Tierarzt in Ihrer Nähe. Am besten vereinbaren Sie einen
Untersuchungstermin in der Röntgenabteilung der
Vet.-Med.-Uniklinik in
Giessen unter der Tel.-Nr.: 0641
- 99 313 80. Sollten Sie Fragen hierzu haben, stehe ich Ihnen
natürlich gerne mit Rat und Tat zur Seite. Der Wesenstest für die
L-Wurf-Kinder wird dann am 21. März 2021
bzw. am 09. Mai 2021 in
55425 Waldalgesheim stattfinden. Das Anmelden ist ab
sofort bei mir möglich. Achtung: Der Wesenstest ist auf 9
Teilnehmer pro Tag begrenzt!
- 12. Oktober 2020: Kleines Welpen-Update
Hopes und Juneaus Welpen geht es
prima. Mittlerweile verbringen sie einen Großteil des Tages draußen im
Garten und erkunden ihre Umwelt. Die
ersten Welpeninteressenten haben die Kleinen besucht und auch die ersten
festen Zusagen für einen kleinen "ex Chelsea" wurden gegeben. Leider
fehlt mir momentan die Zeit zum Fotografieren, so dass die Fotoseiten
derzeit etwas vernachlässigt werden. Ich bitte das zu entschuldigen,
aber meine Prioritäten liegen im Augenblick ganz bei den Hundekindern,
den vielen Besuchern und natürlich dem restlichen Hunderudel. Ich gelobe
aber Besserung. :-)

- 20. September 2020: Freibad St.
Goar-Werlau Mittlerweile ist es eine schöne
Tradition geworden, dass am letzten Tag vor der Schließung der Freibäder
Hunde ihre Runden in den schönen Schwimmbecken drehen dürfen. Diese
Gelegenheit haben wir uns natürlich auch in diesem Jahr nicht entgehen
lassen und so entstanden ein paar schöne
Fotos

- 12. September 2020: Landesmeisterschaft
Rally-Obedience in NRW
Nachdem sich
Jasper ex Chelsea
zuvor entsprechend qualifizieren konnte, trat er heute im Team mit
seiner Eigentümerin Ans Geibel bei der Landesmeisterschaft im
Rally-Obedience an. Mit tollen 99 von 100 Punkten
konnten beide zusammen einen hervorragenden 6. Platz
von 25 Startern erreichen!
Herzlichen Glückwunsch!

- 07. September 2020: Black is
beautiful...
oder: Der
P-ll-Wurf
ist geboren.
Juneau überraschte mich
mit stolzen
11 Welpen, 7 schwarzen Rüden
und
4 schwarzen Hündinnen, die sie völlig problemlos und
instinktsicher innerhalb von gut 8 Stunden zur Welt brachte. Die Eltern
von Juneau sind beide schwarz, tragen
aber das gelbe Farbgen. Offensichtlich haben sie dieses Gen für die
gelbe Fellfarbe aber nicht an Juneau weitervererbt.
Nachdem auch Welpe Nummer 11 schwarz geboren wurde, gehe ich davon aus,
dass Juneau reinerbig schwarz ist.
:-)

- 01. September 2020: Der O-ll-Wurf ist
geboren
Vergangene Nacht hat meine Hündin
Hope ex Chelsea
völlig instinktsicher ihre Welpen nach
Blacksugar Luis
zur Welt gebracht. Ich freue mich sehr
über 6 gesunde Welpen (drei gelbe Rüden, ein schwarzer
Rüde, eine gelbe und eine schwarze Hündin).
Jetzt ist erstmal Erholung angesagt. :-)

- 01. August 2020:
Mein erstes
Saal-Digital-Fotobuch
Heute möchte ich gerne mal das Ergebnis meines ersten
Fotobuchs von
Saal-Digital-Fotoservice vorstellen: Exzellente Druckqualität der
einzelnen Seiten auf hochwertigem, festen Papier. Es hat sehr viel Spaß
gemacht, dieses Fotobuch in HighEnd-Qualität zu
gestalten.
Weitere Bilder gibt es hier
- 19. Juli 2020:
Der D-Wurf wird 15 Jahre alt Heute vor
genau 15 Jahren erblickte in einer Bilderbuch-Geburt mein erster D-Wurf
aus Bonitas ex Chelsea nach 'Melicmark
Louis T Duck' das Licht der Welt. Meine weltbeste Diva
habe ich aus diesem Wurf behalten. 15 Jahre, in denen meine Diva, außer
einer Pyometra vor ein paar Jahren, niemals krank war. Auch heute, im
betagten Alter, benötigt sie keinerlei Medikamente. Insgesamt hat sie in
unkomplizierten Geburten 38 tollen Welpen das Leben geschenkt, darunter
so wundervolle Hunde wie meine Hündin CH Phila ex Chelsea.
Ich weiß, dass wir keine lange gemeinsame Zeit mehr auf der Erde haben
werden. Vielleicht sind es noch wenige Wochen, vielleicht auch nur noch
wenige Tage. Egal... ich werde versuchen, Diva den
letzten Abschnitt ihres Lebens so schön wie möglich zu gestalten.
<3

- 09./10. Juli 2020:
Neue Wurfplanung II Meine Hündin
Juneau ex Chelsea wurde am 09. und 10. Juli
instinktsicher von meinem CH Xanthos ex
Chelsea gedeckt. Wenn
alles planmäßig verläuft erwarte ich schwarze und gelbe Welpen
aus dieser sehr vielversprechenden Verpaarung Anfang September
2020.
Bitte kontaktieren Sie mich bei Interesse an einem Welpen aus einem
meiner beiden erwarteten Würfe ausschließlich telefonisch unter
06744 - 714 366 (bitte nicht nach 20 Uhr anrufen!).
Bitte keine Welpenanfragen per E-Mail!
Es fehlt mir die Zeit, die vielen E-Mail-Anfragen zu beantworten.
 -
01./02. Juli 2020:
Neue Wurfplanung I Meine Hündin
Hope ex Chelsea wurde am 01. und 02. Juli von dem
schwarzen Rüden Multi CH. Blacksugar Luis gedeckt. Wenn
alles nach Plan verläuft erwarte ich schwarze und gelbe Welpen
aus dieser sehr vielversprechenden Verpaarung Anfang September
2020.
- 01. Juli 2020:
Röntgenauswertungen K-ll-Wurf
Mittlerweile ist mein gesamter K-ll-Wurf
(Richbourne Star Of Night x Vesta ex Chelsea) auf HD und ED untersucht
und gutachterlich ausgewertet:
Kane ex Chelsea: HD: A1 / A2,
ED-Grad: 0 / 0
Kansas ex
Chelsea: HD: A1 /
A1, ED-Grad: 0 / 0 Keystone ex
Chelsea:
HD: B1 /
C1, ED-Grad: 0 / 0
Knoxville ex
Chelsea: HD: B2 /
B2, ED-Grad: 0 / 0
Kamiah ex Chelsea: HD: B2 /
C1, ED-Grad: 0 / 0 Kentucky ex
Chelsea: HD: B1 /
A2, ED-Grad: 0 / 0 Kirby ex
Chelsea: HD: A2 /
B2, ED-Grad: 0 / 0
Damit
liegen alle Auswertungen im zuchtfähigen Bereich und die Hunde können
bezüglich der untersuchten Gelenke problemlos alt werden. Ich bedanke
mich ganz herzlich bei den Eigentümern der K's, dass alle ihre Hunde
haben untersuchen lassen. :-)
- 01. Juli 2020:
DOK-Augenuntersuchung Meine
Hunde CH Xanthos ex Chelsea und Juneau ex
Chelsea wurden heute dem Tierarzt Dr. Stefan Kindler in
Wiesbaden zur routinemäßigen Untersuchung auf erbliche Augenerkrankungen
vorgestellt. Ich freue mich sehr, dass die Augen meiner beiden Hunde
gesund sind und somit einem Zuchteinsatz nichts mehr im Weg steht.
- 14. Juni 2020:
LCD-Formwertbeurteilung in
Ensdorf/Saarland Bei der heutigen Formwertbeurteilung im
Saarland wurde meine Hündin Juneau ex Chelsea von
Zuchtrichterin Hassi Assenmacher-Feyel mit der höchsten
Formwertnote vorzüglich bewertet. Vielen Dank an die Richterin
und die Organisatoren für den reibungslosen Ablauf trotz Corona.
Ich freue mich jetzt sehr darauf, Juneau demnächst mit
meinem Xanthos zu verpaaren.

- 16. Mai 2020:
Geeignetes Zuhause für Kanny gesucht...
UND G E F U N D E N !
Für den gelben Rüden Kane ex Chelsea "Kanny" suche ich geeignete Menschen die bereit sind, dem
Jungrüden ein schönes,
retrievergerechtes Zuhause zu bieten. Für Kanny
wünsche ich mir Menschen die Spaß an längeren Wandertouren haben, durch
seine hervorragende Nase eignet er sich sicherlich auch gut für die
Fährtenarbeit (Mantrailing etc.). Kanny ist sehr
bewegungsfreudig und besitzt einen guten Grundgehorsam, aber natürlich
muss er auch noch einiges lernen. Im Auto
fährt er problemlos mit.

Kane ex Chelsea "Kanny"
wurde am 18.12.2018 geboren, ist also aktuell 16 Monate alt. Kanny ist extrem liebenswert und freundlich,
aber natürlich auch altersentsprechend temperamentvoll. Da er sich
gerade mitten in der Pubertät befindet und eine liebevolle aber
auch sehr konsequente Führung verlangt, suche ich für ihn Menschen, die
über ausreichend Zeit und Erfahrung im Umgang mit jungen Hunden
verfügen. Kinder, falls vorhanden, sollten mindestens im Teenageralter sein.
In einer Mietwohnung eines Mehrfamilienhauses sehe ich Kanny
ebenso wenig, wie irgendwo in der Innenstadt in einer dicht bebauten
Umgebung. Kanny ist Zeit seines bisherigen Lebens bei
mir sehr ländlich aufgewachsen.
Am 20.12.2019 war ich mit
Kanny in der Vet.-Med.-Uniklinik in Giessen zum
HD/ED-Röntgen. Die offiziellen Auswertungen
lauten: HD: A1 / A2,
ED-Grad: 0 / 0 Außerdem hat er ein korrektes, vollzahniges
Scherengebiss. Kanny besitzt seit
Juni 2019 eine OP-Kosten-Versicherung bei der Agila,
die bei Eigentumswechsel problemlos übernommen werden kann.
Des
Weiteren hat Kanny am 08.03.2020 den
LCD-Wesenstest mit einer sehr schönen Beurteilung
bestanden: "Der 15 Monate alte Rüde mit gutem Temperament
zeigte eine sehr schöne Bindung und eine gute Unterordnungsbereitschaft.
Fremden Menschen begegnet er freundlich und sicher. Seine jagdlichen
Anlagen sind bestens ausgeprägt, sein Beutetrieb ist sehr ausgeprägt.
Auf die Gegenstände des Parcours reagiert er sehr neugierig,
interessiert und setzt sich sicher mit den Reizen auseinander, zeigt
auch hier seinen schön ausgeprägten Beutetrieb. Der aufmerksame Rüde mit
guten Wesenseigenschaften ist schusssicher."
- 05. Mai 2020: Gesundes Gangwerk
Auch von Jena ex Chelsea liegt mir seit heute die
offizielle Auswertung der Röntgenbilder durch den vom LCD bestellten
Gutachter Dr. Tassani-Prell vor:
HD: A1 /
A1, ED-Grad: 0 / 0 :-)
Damit sind
mittlerweile 5 der 6 Hunde aus meinem J-ll-Wurf
auf HD und ED untersucht und die Röntgenbilder offiziell begutachtet
worden.
- 29. April 2020: Zuchtzulassung
Die Zuchtzulassung für meine Hündin Hope ex Chelsea (Ginostra's Handsome Wallace x Vesta ex Chelsea)
war heute in der Post. Ich freue mich sehr, mit ihr in eine neue
Generation "ex Chelsea's" starten zu können. Hope geht
mütterlicherseits über Vesta, Phila,
Diva und Bonitas bis auf meine
allererste Labrador-Hündin Chelsea zurück.
Jetzt warte ich auf ihre kurz bevorstehende Läufigkeit und werde
Hope dann - voraussichtlich mit einem schwarzen Rüden -
verpaaren.

- 28. April 2020: Welpen
Nach Needles sind einen Tag später auch Nelson
und Newberry in ihr neues Zuhause umgezogen.
Ich wünsche dem N-ll-Wurf-Trio
ein langes, gesundes und schönes Retrieverleben in ihren neuen Familien.
Es war eine unkomplizierte Aufzucht der drei Hundekinder in einer
außergewöhnlichen Zeit, die ich bestimmt nie vergessen werde. Das
Auffälligste während der Aufzucht der Welpen zu Zeiten der
Corona-Pandemie war wohl die unfaßbar große Nachfrage nach Welpen. Ich
möchte nicht wissen wie viele Hundekinder zu den Züchtern zurück gegeben
oder in Tierheimen landen werden, wenn bei vielen die Home-Office-Zeit
beendet ist oder das Geld durch die anhaltende Krise knapper wird. Meine
neuen Welpeneltern wurden (wie immer) sehr sorgfältig ausgewählt und da
bei Zweien schon "ex Chelsea's" leben, fielen mir die Entscheidungen
nicht schwer.

- 11. April 2020: Perfekte Gelenke
Eine weitere sehr
gute Auswertung der
Röntgenbilder eines Hundes aus meinem
K-ll-Wurf liegt vor:
Kansas ex
Chelsea: HD: A1 /
A1, ED-Grad: 0 / 0 :-) Wurfschwester
Kamiahs Untersuchung folgt in Kürze... damit ist dann
der gesamte Wurf untersucht und offiziell ausgewertet. Ein großes
Dankeschön dafür an meine lieben Welpenküfer.
- 10. April 2020: Umzüge Seit dem
03. April ist jeden Tag ein Welpe aus meinem
M-ll-Wurf zu seinen neuen Menschen gezogen, so dass seit heute alle
Welpen gut in ihrem neuen Wirkungskreis angekommen sind. Ich freue mich
sehr über die durchweg positiven ersten Rückmeldungen der neuen "ex
Chelsea"-Besitzer und würde mich weiterhin sehr freuen, wenn ich von
jedem ab und an ein kleines Update über die weitere Entwicklung der
Hundekinder bekommen würde. Nun wünsche ich allen erstmal ganz viel Spaß
mit ihrem Welpen und passen Sie alle gut auf die Kleinen auf. :-)

- 20. März 2020: M-ll-Wurf- und N-ll-Wurf-Fotos
Neue Bilder vom
M-ll-Wurf
gibt es hier,
vom N-ll-Wurf
hier
- 19. März 2020:
Röntgen-Auswertungen
Eine weitere sehr gute Auswertung
der Röntgenbilder eines Hundes aus meinem
K-ll-Wurf liegt vor:
Knoxville ex
Chelsea: HD: B2 /
B2, ED-Grad: 0 / 0 :-)
Gute Neuigkeiten gibt es auch von
Xanthos' Nachzucht Aus dem Wurf
von Xanthos mit der Hündin
'Ginostra's Quip Frieda' wurden alle drei Hunde untersucht, wobei bei
einem Rüden die HD-Röntgenaufnahme leider aufgrund zu schlechter
Qualität vom Gutachter nicht ausgewertet werden konnte. Aber ich freue
mich sehr über: Ginostra's Tipp Topp: HD: ? /
?, ED-Grad: 0 / 0 Ginostra's Toffy: HD: A1 /
A2, ED-Grad: 0 / 0 Ginostra's Tara: HD: A1 /
A1, ED-Grad: 0 / 0 Damit hat Xanthos erneut
seine hervorragenden Vererberqualitäten unter Beweis
stellen können.
- 18. März 2020: Kleines Welpen-Update +
Corona
Sowohl Colbys, als auch
Vestas Welpen geht es sehr gut. Sie entwickeln
sich wunschgemäß und machen viel Freude. Trotz
weltweiter Corona-Krise hoffe ich, dass Colbys Welpen
planmäßig am Osterwochenende in ihre neuen Familien umziehen können. Um
mich vor dem Corona-Virus zu schützen und damit natürlich auch die
Versorgung meiner Hunde sicherzustellen sind Welpenbesuche möglich,
allerdings zur Zeit nur bei gutem Wetter draußen im Garten an der
frischen Luft und unter der Voraussetzung, dass die Besucher keinerlei
Krankheitsanzeichen zeigen. Bitte rufen Sie mich kurz vor den geplanten
Besuchsterminen nochmals an, um abzustimmen, ob der Termin auch wirklich
stattfinden kann. Vielen Dank für Ihr Verständnis in dieser
außergewöhnlichen Zeit.

Madison ex Chelsea * 6 Wochen alt
- 08. März 2020:
LCD-Wesenstest in 55425 Waldalgesheim Heute fand
ein
LCD-Wesenstest in
Waldalgesheim statt, zu dem 8 "ex Chelsea's" angetreten sind
und sich dem Urteil der erfahrenen Richterin Claudia Pelzer gestellt
haben. Im Einzelnen bestanden aus dem J-ll-Wurf (Ginostra's
Handsome Wallace x Colby ex Chelsea): Jasper ex Chelsea
& meine Juneau ex Chelsea sowie
aus dem K-ll-Wurf
(Richbourne Star Of Night x Vesta ex Chelsea)
Kane ex Chelsea "Kanny" Keystone ex Chelsea "Kosmo"
Knoxville ex Chelsea "Knoxi"
Kamiah ex Chelsea Kentucky ex Chelsea
"Kate" & Kirby ex Chelsea
Es
war wieder ein sehr schöner und interessanter Tag und ich habe mich sehr
gefreut zu sehen, dass alle Hunde mit ihren Menschen zu schönen Teams
zusammengewachsen sind. Auch das Wetter spielte mit und entgegen des
angesagten Regens schien zeitweise sogar die Sonne. Ich danke allen
Teilnehmern für ihr Kommen, der Wesensrichterin Claudia Pelzer für das
wie immer kompetente Richten der Hunde, Heike Kunusch für das Übernehmen
der LCD-Sonderleitung und natürlich auch den Eigentümern des
wunderschönen Geländes dafür, dass wir es erneut für diese Veranstaltung
nutzen durften.
Beurteilung
Kane ex Chelsea
"Kanny": "Der 15 Monate alte Rüde mit gutem Temperament zeigte
eine sehr schöne Bindung und eine gute Unterordnungsbereitschaft.
Fremden Menschen begegnet er freundlich und sicher. Seine jagdlichen
Anlagen sind bestens ausgeprägt, sein Beutetrieb ist sehr ausgeprägt.
Auf die Gegenstände des Parcours reagiert er sehr neugierig,
interessiert und setzt sich sicher mit den Reizen auseinander, zeigt
auch hier seinen schön ausgeprägten Beutetrieb. Der aufmerksame Rüde mit
guten Wesenseigenschaften ist schusssicher."
Beurteilung
Juneau ex Chelsea: "Die 17 Monate
alte Hündin mit gutem Temperament zeigte eine schöne Bindung zu ihrer
Besitzerin. Fremden Menschen nähert sie sich freundlich und sicher. Ihre
jagdlichen Anlagen sind bestens ausgeprägt, ihr Beutetrieb ist sehr
ausgeprägt. Auf die Gegenstände des Parcours reagiert sie neugierig,
interessiert, zum Teil etwas vorsichtig, läßt sich aber gut an alle
Reize heranführen. Die unterordnungsbereite Hündin mit guter Ausdauer
und guten Wesenseigenschaften ist schusssicher."
Gleichzeitig
konnte heute Invillino ex Chelsea "Pepe" díe
LCD-Begleithundeprüfung unter Richter Wolfgang Schöning in Schwelm
bestehen. Geführt wurde "Pepe" von seiner Eigentümerin Claudia Kliemt.
Auch hier meine herzlichsten Glückwunsche zur bestandenen Prüfung!
- 27. Februar 2020: Klein aber fein
Heute, am 58. Tag der Trächtigkeit, wurde Vestas letzter Wurf, mein
N-ll-Wurf, geboren. Trotz eines ganz
normalen Geburtsverlaufs kamen leider 5 der 8 Welpen tot zur Welt. Das
ist zwar sehr traurig, aber die Natur hat eben ihre eigenen Gesetze und
mir bleibt nichts weiter als das so hinzunehmen. Vesta
geht es aber sehr gut und mit großer Hingabe versorgt sie nun ihr Trio,
bestehend aus einem schwarzen Rüden,
sowie einer schwarzen und
einer gelben Hündin. Erste Bilder gibt es
hier

- 23. Februar 2020:
LCD-Wesenstest in 53894 Mechernich Als
erster Hund aus meinem J-ll-Wurf konnte
heute Jena ex Chelsea (Ginostra's
Handsome Wallace x Colby ex Chelsea) den LCD-Wesenstest
bestehen. Beurteilt wurde die Hündin von der LCD-Wesensrichterin Claudia
Pelzer. Herzlichen Glückwunsch und mein Dank an die Eigentümerin von
Jena für die gute Aufzucht.
- 13. Februar 2020:
Auszug Lusiana Mit der schönen Lusiana ex Chelsea
ist nun auch der letzte Welpe meines L-ll-Wurfes
in sein neues Zuhause umgezogen. Lusiana wohnt nun in
der Nähe von Köln und ich wünsche ihr ein langes, gesundes und
glückliches Retrieverleben in ihrer neuen Familie. <3

- 12.
Februar 2020: Röntgenauswertungen K-ll-Wurf
Die ersten vier gutachterlichen Auswertungen
der Röntgenbilder von Hunden aus meinem
K-ll-Wurf liegen vor: Kane ex Chelsea: HD: A1 / A2,
ED-Grad: 0 / 0 Keystone ex
Chelsea: HD: B1 /
C1, ED-Grad: 0 / 0
Kentucky ex
Chelsea: HD: B1 /
A2, ED-Grad: 0 / 0 Kirby ex
Chelsea: HD: A2 /
B2, ED-Grad: 0 / 0
Ich freue mich sehr, dass alle bislang untersuchten Hunde im
zuchttauglichen Bereich liegen. Insbesondere freue ich mich über bislang
4 x ED-Grad: 0/0 :-)
Aus dem
J-ll-Wurf wurde auch Jena ex Chelsea geröntgt.
Leider hat der röntgende Tierarzt derart schlechte Röntgenbilder an den
Gutachter übermittelt, dass dieser die gutachterliche Auswertung der
Bilder ablehnen mußte. Ich appelliere an dieser Stelle nochmals an alle
*ex Chelsea*-Besitzer, deren Hunden zukünftig diese Untersuchung auf HD
und ED noch bevorsteht: Wählen Sie bitte einen Tierarzt aus der sich auf
der Mitgliederliste der
GRSK e.V. befindet, oder fragen Sie mich nach einem qualifizierten
Tierarzt in Ihrer Nähe. Am besten vereinbaren Sie einen
Untersuchungstermin in der Röntgenabteilung der
Vet.-Med.-Uniklinik in
Giessen unter der Tel.-Nr.: 0641
- 99 38 547. Sollten Sie Fragen hierzu haben, stehe ich Ihnen
natürlich gerne mit Rat und Tat zur Seite.
- 03. Februar 2020:
Der M-ll-Wurf ist geboren...
Völlig problemlos brachte meine Hündin
Colby ex Chelsea 8 gesunde Welpen auf die
Welt. Ich freue mich sehr über 4 schwarze Rüden,
1 gelbe und 3 schwarze Hündinnen.

- 25. Januar 2020:
Auszug II
Heute war auch für Laurino ex Chelsea
der Tag des Auszugs gekommen. Laurino
wohnt nun südlich von Köln in einem retrievererfahrenen Haushalt und
auch er soll später einmal, wie sein Bruder Loreo, jagdlich ausgebildet
werden. Ich wünsche Laurino in seinem
neuen Zuhause ein schönes, langes, glückliches Retrieverleben. <3

- 17. Januar 2020:
Auszug I
Heute durfte Loreo ex Chelsea in sein
neues Zuhause umziehen und wird als zukünftiger Jagdgebrauchshund seinen
neuen Eigentümern hoffentlich viel Freude bereiten. Seine erste
Autofahrt ins weit entfernte Oranienburg bei Berlin meisterte
Loreo schon mal vorbildlich. Auf die weitere
Entwicklung bin ich sehr gespannt. Mach's gut, mein Kleiner. <3

- 31. Dezember 2019:
Auch VESTA ist gedeckt worden...
Ohne Probleme wurde meine
Hündin Vesta ex Chelsea kurz vor dem
Jahreswechsel von dem Rüden
Ginostra's Handsome Wallace
gedeckt. Sowohl
Wallace,
als auch Vesta haben sich bislang in
jeglicher Hinsicht sehr gut vererbt.
Insbesondere haben
sich die Beiden bereits zusammen hervorragend ergänzt, denn dieser Wurf
ist eine Wurfwiederholung zu meinem
H-ll-Wurf vom 18.12.2017. Wenn alles
planmäßig verläuft, wovon ich ausgehe, erwarte ich gesunde, typvolle,
gelbe und schwarze Welpen
aus dieser sehr vielversprechenden Verpaarung zu Anfang März 2020.
-
20. Dezember 2019: Gute Gelenke
Heute trafen sich mein Rüde Kane ex Chelsea
"Kanny" und seine
Wurfschwester Kentucky ex Chelsea "Kate" in der Vet.-Med.-Uniklinik in Giessen zum
HD/ED-Röntgen.
Bis die offiziellen Gutachten vorliegen wird es noch ein paar Wochen
dauern, aber die Vorab-Prognose durch
den zertifizierten Gutachter vor Ort, Dr. B. Tellhelm, war bei
beiden Hunden schon mal sehr vielversprechend. :-) Für meinen
einjährigen gelben Rüden Kane ex Chelsea "Kanny" ist
damit nun auch die Zeit gekommen, dass er sein Köfferchen packen und zu
hundeerfahrenen, retrieverbegeisterten Menschen in ein schönes neues
Zuhause umziehen darf. Weitere Informationen zu Kanny
folgen in Kürze... :-)
- 19. Dezember 2019:
Der P-Wurf wird 10 Jahre alt
Meine Hündin Phila
und ihre 9 Wurfgeschwister aus der Verpaarung meiner Diva ex
Chelsea x Devonshires Stash feiern heute bereits ihren
10. Geburtstag. Außer der aufgehellten
Fellfarbe im Gesicht sieht man Phila ihr Alter
definitiv nicht an. Sie ist fit und gesund, so dass sie oftmals für
*wesentlich* jünger gehalten wird. Ich hoffe, sie noch ganz lange an
meiner Seite haben zu können. Ganz besonders habe ich mich gefreut, nach
vielen Jahren auch mal wieder Post von Philas Schwester Pales ex
Chelsea "Molly" bekommen zu haben. :-)

Pales ex Chelsea "Molly"
- 18. Dezember 2019:
Der K-ll-Wurf hat Geburtstag
Vor genau einem Jahr brachte meine Hündin
Vesta ex Chelsea ihren Wurf nach dem in England
gezüchteten Rüden
Richbourne Star Of Night, meinen zweiten
K-Wurf, auf die Welt. Ich
grüße die
Eigentümer der K's ganz herzlich und wünsche allen
Hunden einen schönen ersten Geburtstag
mit vielen extra Leckerlis. Als Wichtigstes steht nun erst mal die
Röntgenuntersuchung der Hüft- und Ellenbogengelenke an, für die
ich allen ganz feste die Daumen drücke für gute Ergebnisse. Bei der
Auswahl eines für diese Untersuchung geeigneten Tierarztes ist es von
großer Bedeutung, dass der Tierarzt die dafür notwendige
Qualifikation besitzt. Daher wählen Sie bitte einen Tierarzt
aus der sich auf der Mitgliederliste der
GRSK e.V. befindet, oder fragen Sie mich nach einem qualifizierten
Tierarzt in Ihrer Nähe. Am besten vereinbaren Sie einen
Untersuchungstermin in der Röntgenabteilung der
Vet.-Med.-Uniklinik in
Giessen unter der Tel.-Nr.: 0641
- 99 38 547. Sollten Sie Fragen hierzu haben, stehe ich Ihnen
natürlich gerne mit Rat und Tat zur Seite. Der Wesenstest für die
K-Wurf-Kinder wird dann am 08. März 2020 in
55425 Waldalgesheim stattfinden.
-
14. Dezember 2019: L-ll-Wurf-Update...
Downey's Welpen geht es prima. Zwischenzeitlich wurden
sie tierärztlich untersucht, geimpft und gechippt und die sogenannte
Wurfabnahme durch eine Zuchtwartin des 'Labrador Club Deutschland' hat
stattgefunden. Ich freue mich sehr über einen gesunden Wurf
ohne jegliche zuchtausschließenden Fehler. :-)
Mit
Livorno ex Chelsea ist heute dann bereits das erste Downey-Kind
ausgezogen und wird seinen neuen Wirkungskreis im hessischen Gelnhausen
haben. Ich wünsche seiner Familie ganz viel Freude mit dem kleinen
Hundekind. <3
- 03./04. Dezember 2019:
Erwarteter Wurf
Souverän und völlig instinktsicher wurde meine
Hündin Colby ex Chelsea gestern und
heute von meinem Rüden CH Xanthos
ex Chelsea gedeckt. Sowohl Xanthos,
als auch Colby haben sich bislang in
jeglicher Hinsicht hervorragend vererbt.
Wenn alles
planmäßig verläuft, wovon ich ausgehe, erwarte ich gesunde, typvolle, gelbe und schwarze Welpen
aus dieser sehr vielversprechenden Verpaarung zu Anfang Februar.
- 02. Dezember 2019:
Gesunde Gelenke
Heute trafen die ersten 4 Auswertungen der
Röntgenbilder der Hüft- und Ellenbogengelenke von meinem
J-Wurf
(Ginostra's Handsome
Wallace x Colby ex Chelsea) ein: Jackson ex Chelsea: HD: A2 / A2,
ED-Grad: 0 / 0 Jasper ex Chelsea: HD: A2 / A1,
ED-Grad: 0 / 0 Jordan ex Chelsea: HD: A1 / A1,
ED-Grad: 0 / 0
und meine
Juneau ex Chelsea: HD: A1 / A1,
ED-Grad: 0 / 0 :-)
Auch
Jena
wurde zwischenzeitlich geröntgt, fehlt jetzt nur noch die in Holland
lebende
Joplin.
Außerdem gibt es
auch ein tolles neues Nachzuchtergebnis einer Tochter von meinem Rüden
Xanthos: Valentine vom
Zeppelinpark: HD: A2 / B1,
ED-Grad: 0 / 0
-
27. November 2019: Augenuntersuchung durch Dr.
S. Kindler in Wiesbaden
Xeno
ex Chelsea
ist auch weiterhin frei von den erblichen Augenerkrankungen Katarakt
(HC), Retinadysplasie (RD) und Retinadegeneration (PRA) und steht somit
geeigneten Hündinnen auch zukünftig als Deckrüde zur Verfügung.
-
26. Oktober 2019: DRC-Begleithundeprüfung der
BZG 3 Schwarzwald-Bodensee Vor gut einem Jahr gingen
Dundees ursprüngliche Eigentümer auf Weltreise und Dundee
zog in den schönen Schwarzwald zu Petra mit 'Severa ex Chelsea' (Bonnie)
und 'Katerina ex Chelsea' (Lina). Zwischenzeitlich ist Dundee ex
Chelsea (CH Xanthos ex Chelsea x Quieta ex Chelsea) ganz in
Petras Eigentum übergegangen und heute konnten die beiden bereits
zusammen als Team die Begleithundeprüfung des DRC
bestehen. Richter der Prüfung war Achim Beringer. Toll gemacht,
ganz herzlichen Glückwunsch, liebe Petra. Und danke, dass Dundee bei
Euch sein darf. :-)
-
14. Oktober 2019: Der J-ll-Wurf hat Geburtstag
Vor genau einem Jahr brachte meine Hündin
Colby ex Chelsea ihre ersten Welpen auf die Welt. Ich
grüße alle
Eigentümer der J's ganz herzlich und wünsche allen
einen schönen Spätherbst-Tag mit vielen extra Leckerlis. Der Wesenstest für die
J-Wurf-Kinder wird dann am 08. März 2020 in
55425 Waldalgesheim stattfinden. Das Anmelden ist ab
sofort bei mir möglich. Achtung: Wesenstest auf 9
Teilnehmer begrenzt!
- 13. Oktober 2019:
Sonntagskinder Downeys
Welpen nach 'Loretta Costa Retrievers Xiao' kamen heute auf die Welt.
Ich freue mich sehr über zwei schwarze und drei gelbe Rüden, sowie über
2 schwarze und eine gelbe Hündin. Downey hat ihre
Mutterrolle sofort angenommen und versorgt ihre Welpen vorbildlich. <3

- 05. Oktober 2019:
Der Countdown läuft... Nur noch
ca. 10 Tage bis zur Geburt von Downeys ersten Welpen.
Downey geht es bestens, ihr Hunger ist grenzenlos und
ich rechne mit einem durchschnittlich großen Wurf von 6-8 Welpen... es
wird also langsam spannend... :-)

- 15. September 2019:
LCD-Formwert-Beurteilung in 64823
Groß-Umstadt
Hope ex Chelsea (Ginostra's
Handsome Wallace x
Vesta ex Chelsea) zeigte sich heute von ihrer besten Seite und wurde von Richterin
Gisela Werner mit der höchsten Formwertnote vorzüglich
bewertet. Damit erfüllt mein Youngster nun alle
Grundvoraussetzungen für die Zulassung zur Zucht im LCD. :-)
"Freundliche, lebhafte, gelbe Hündin; gute Größe; vorzügliches Haar und
Knochenstärke; kräftiger Hündinnenkopf mit etwas großen dunklen Augen;
lobenswert sind Knochenstärke und Vorbrust; Rücken noch fest genug, gute
Bewegungen."
- 06. September 2019:
Rohdiamant abzugeben - neues
Zuhause gefunden!
Für einen gelbe Rüden
suche ich noch geeignete Menschen die bereit sind, dem Kleinen ein
retrievergerechtes Zuhause zu bieten.
"Keystone, das
"Schlüsselsteinchen" ist mittlerweile
knapp 9 Monate alt und für dieses Jahr komplett geimpft. Er ist ein ganz toller
Junghund mit viel Potential in jeder Hinsicht. Daher suche ich für ihn Menschen die bereit sind, ihn
dementsprechend zu fordern und zu fördern. Als reiner Familienhund der
irgendwo in der Versenkung verschwindet ist er mir wirklich zu schade.
Melden Sie sich daher bitte nur für Keystone,
wenn Sie sich vorstellen können, Ihren zukünftigen Hund retrievergerecht auszubilden (Rettungshundeausbildung,
Ausbildung zum Jagdgebrauchshund oder ähnliches) und bei entsprechender
weiterer Entwicklung später auch auf Prüfungen zu führen. Zum jetzigen Zeitpunkt
ist Keystone absolut gesund und
ohne zuchtausschließende Fehler.
Er hat ein
vollzahniges, korrektes Scherengebiss und
fährt problemlos im Auto mit. Ganz Labrador ist
Keystone von Wasser begeistert, schwimmt und
apportiert bereits mit viel Passion.
Keystone ist sehr gut sozialisiert und würde
sich auch als Zweithund zu einem etwas älteren Hund bestens eignen.
Bevorzugt natürlich zu einem bereits vorhandenen "ex Chelsea" mit dazu.
:-)
Zur
Fotoseite des Wurfs.
 Keystone ex Chelsea
<3 -
14./15. August 2019:
Downey erwartet Welpen
Meine Hündin Downey ex Chelsea (Xanthos ex
Chelsea x Quieta ex Chelsea) wurde gestern und heute von dem aus Amerika
stammenden Rüden Loretta Costa Retrievers Xiao gedeckt.

-
10. August 2019:
CACIB Ludwigshafen 2019
Heute habe ich meine Hündin Phila ex Chelsea auf
der Internationalen Rassehundeausstellung in
Ludwigshafen in der Veteranenklasse der Richterin Jenny
Dobson (UK) zur Beurteilung vorgestellt. Obwohl Phila
total abgehaart war, erhielt sie eine vorzügliche Beurteilung und den
Tagestitel:
***
Rheinland-Pfalz-Veteranensiegerin 2019 ***

"Yellow bitch; nice type; 9 years 8 months and looking good for her
age. Sweet feminine head, good length of neck, good placed shoulders,
good front angulation, good depth of chest, good topline, well
constructed quarters, very out of coat, moved well."
Bewertung:
Vorzüglich 1 + Anw. Dt. Vet.-Ch. VDH + LCD-Vet.-CAC
Damit fehlt Phila jetzt nur noch eine letzte
Anwartschaft auf den Titel 'VDH-Veteranen-Champion'. Auch
Juneau ex Chelsea, eine Tochter meiner Hündin Colby,
hatte ich heute mit dabei. Juneau ist zur Zeit leider
wie Phila auch ziemlich abgehaart und sie war die mit
Abstand jüngste Hündin im Ring in ihrer Klasse. Bei ihr war es mir
wichtiger, dass Juneau die Atmosphäre auf solch einer
großen Ausstellung mit den vielen fremden Hunden und Menschen
kennenlernt und das hat sie alles sehr schön mitgemacht. Dass
Juneau darüber hinaus noch eine vorzügliche Bewertung
von Mrs. Jenny Dobson bekam, hat mich natürlich sehr gefreut.
"Sweet black puppy of 10 month. pretty feminine head; good neck; good
front angulation; good topline and tailset; a shade long in the line;
moved well."
- 29. Juli
2019:
LCD-Clubzeitung Nr. 154 - August/September 2019
Wie schön: Ein Portrait von meinem ältesten Rudelmitglied, meiner gerade
14 Jahre alt gewordenen Hündin Diva ex Chelsea, ziert
das Titelbild der aktuellen Clubzeitung
des Labrador Club Deutschland e.V. Vielen Dank an Liliane Bywaletz, die
das tolle Foto von Diva zur Veröffentlichung zur Verfügung gestellt hat.

- 10. Juli 2019:
Xanthos' Nachzucht Ich freue mich über
die weiterhin ausgezeichneten Nachzuchtergebnisse meines Rüden CH Xanthos ex Chelsea:
Mitte Juni wurden 8 seiner Nachkommen aus dem C-Wurf der LCD-Zuchtstätte
"Abatir" von Familie Röhrig zum LCD-Wesenstest geführt
und dem Richter Mario Nauke zur Beurteilung vorgestellt. Natürlich haben
alle bestanden. :-)
Außerdem wurden bislang 45
von 60 seiner Kinder auf HD und ED untersucht und ich freue mich riesig,
dass bis auf eine nicht ganz optimale Hüfte alle Nachkommen im
zuchttauglichen Bereich liegen. Insbesondere freue ich mich, dass
Xanthos mit Hündinnen aus
unterschiedlichen Linien bislang nur ED: 0/0 ausgewertete Nachkommen
hat.
Ich hoffe sehr, bald auch wieder selbst
Xanthos-Kinder bei mir in der Wurfkiste liegen zu haben.
Ausgewählten Hündinnen steht Xanthos als Deckrüde
weiterhin zur Verfügung.

- 02. Juni 2019:
BHP A/B des LCD in Grevenmacher/Luxemburg
Charlotte ex Chelsea "Lana" hat heute zusammen mit
ihrer Eigentümerin Fabienne Dondelinger unter Richter Andreas Wolz die
Begleithunde-Prüfung des LCD (Teil A+B) mit 64
von 70 Punkten und dem Prädikat *sehr gut*
erfolgreich bestanden. "Lana" ist eine Tochter meiner
Maxima und Wurfschwester meiner aktuellen Zuchthündin
Colby. Toll gemacht! Meine ganz herzlichen Glückwünsche
nach Luxemburg! :-)

- 23. Mai 2019:
Zweiter Veteranen-Champion-Titel für Phila
Jetzt ist es offiziell: Nach dem Titel 'Luxemburger Veteranen-Champion'
im vergangenen Jahr wurde
Ch.
Phila ex Chelsea nun auch der Titel
* * * L C D - V e t e r a n e n C h a m p i o n
* * *

zuerkannt. Ich bedanke mich ganz herzlich bei den international
anerkannten Zuchtschau-Richtern Sue Merrill (GB), Eva Ebeling (D),
Galina Motor (RUS) und Richard Stafford (GB), die mit ihrer hohen
Meinung zu meiner Phila diesen Erfolg ermöglicht haben.
:-)
- 18. Mai 2019:
Xanthos' Sohn ist Finnischer Show-Champion
Großartige Neuigkeiten erreichten mich heute aus Finnland: NJW'17 'Fiin
Pakkanen' (Pipo), ein Sohn meines Rüden
Xanthos, bekam mit seinem heutigen
Erfolg auf der Ausstellung in Rauma (SF) seine letzte noch fehlende
Anwartschaft zuerkannt und darf damit nun den Titel *** F
I N N I S C H E R C H A M P I O N ***
tragen. Meine allerherzlichsten Glückwünsche nach Finnland an Pipos
Eigentümerin Heli Grönroos und seine Züchterin Outi Lammila. Ich freue
mich sehr das Xanthos' Nachkommen nicht nur gesund sind, sondern auch
international auf Ausstellungen überzeugen können. :-)

- 05. Mai 2019:
Work and Show Während
Havana ex Chelsea
(Ginostra's Handsome Wallace x Vesta ex Chelsea) auf der
Spezial-Rassehunde-Ausstellung
des LCD in Beckum das erste Mal ausgestellt wird und die gut besetzte
Jugendklasse unter Richterin Pauline Mortier (USA) auf
Anhieb mit V1 - CAC (VDH)-J + LCD-CAC-J gewinnt, hat
Beverino ex Chelsea "Lino" (Faithful Paw's Brave Heart
x Phila ex Chelsea) Workingtest-Premiere, startet beim Charity
Working-Test '19 in Wiesbaden und besteht diesen in der
Anfängerklasse mit 69 Punkten. Toll gemacht!
Als Züchter freue ich mich sehr über so viel Engagement! Weiter so! :-)

- 01. Mai 2019:
Noch eine "Mission completed" Alle 14
Hunde aus meinen beiden Würfen vom 18.12.2017 sind jetzt auf HD und ED
geröntgt und durch den Gutachter des LCD, Dr. Tassani-Prell, offiziell
ausgewertet worden:
Aus der Verpaarung 'Ginostra's Handsome Wallace' x Vesta ex Chelsea:
Harper ex
Chelsea:
HD: A2 / A2,
ED-Grad: 0 / 0 Harvey ex Chelsea: HD: A2 / A2,
ED-Grad: 0 / 0 Hunter ex
Chelsea: HD: A2 / A2,
ED-Grad: 0 / 0
Havana ex Chelsea:
HD: A2 / A2,
ED-Grad: 0 / 0 Hayden ex Chelsea: HD: A1 / B1,
ED-Grad: 0 / 0 Hazel ex Chelsea: HD: A2 / A2,
ED-Grad: 0 / 0 Helena ex Chelsea: HD: A1 / B1,
ED-Grad: 0 / 0 Hope ex Chelsea:
HD: A1 / A1,
ED-Grad: 0 / 0
Aus der Verpaarung
'Piccadilly's Roccin' The Shades x Phila ex Chelsea: Imola ex Chelsea: HD:
A1 / A2,
ED-Grad: 0 / 0
Invillino ex Chelsea: HD: B1 / B1,
ED-Grad: 0 / 0 Istrago ex Chelsea: HD: B2 / B1,
ED-Grad: 0 / 0 Imperia ex Chelsea: HD: A1 / A1,
ED-Grad: 0 / 0 Issime ex Chelsea: HD: A2 / A2,
ED-Grad: 0 / 0 Izzalini ex Chelsea: HD: A1 / A1,
ED-Grad: 0 / 0
Ein riesen Dankeschön an meine
Welpenkäufer für 100% untersuchter Hunde dieser beiden Würfe.
Nur
mit den Erkenntnissen aus diesen Untersuchungen kann man daran arbeiten,
die Gelenkgesundheit beim Labrador-Retriever nachhaltig weiter zu
verbessern.
- 28. April 2019:
Knoxi-Knoxville zieht um... Auch Knoxville ex Chelsea
ist nun in sein neues Zuhause umgezogen. Bereits vor über 13 Jahren zog
Dominus "Domi", ein Sohn meiner Bonitas, in diese Familie, nun tritt
"Knoxi-Knoxville" seine Nachfolge an. Ich danke Brigitte und ihrer
Familie ganz herzlich für das mir und meinen Hunden erneut
entgegengebrachte Vertrauen und wünsche nun ganz viel Freude mit dem
neuen Hundekind. Möge "Knoxi" ein würdiger Nachfolger für "Domi" werden.
:-)

- 27. April 2019:
Mission completed Auf der
LCD-Spezial-Rassehunde-Ausstellung im pfälzischen Börsborn erreichte
meine Hündin Phila
unter Richter Mr. Richard Stafford (GB) heute einen vorzüglichen
2. Platz in der Veteranenklasse mit
Res.-Anw. Dt. Vet.-Ch. VDH + LCD-Vet.-CAC-Res.
und hat damit nun alle erforderlichen Anwartschaften für den
LCD-Veteranen-Champion zusammen. Das Wetter ließ heute leider
sehr zu wünschen übrig, es war kalt und regnete fast ununterbrochen,
dennoch war es ein netter Tag an dem ich ein paar wirklich schöne Hunde
gesehen und nette Menschen getroffen habe. :-)
Richard
Stafford über Phila: "Yellow bitch, 9,5 years old. Pleasing head and
expression. Well off for bone; good dept of chest and spring of rib;
strong quarters, level topline and tailset. Moved very well."
- 27. April 2019:
Neues von Hazel ex Chelsea "Elli" Hazel ex Chelsea
"Elli" (Ginostra's Handsome Wallace x Vesta ex Chelsea) konnte
heute unter dem Richter Wolfgang Schöning die
Begleithundeprüfung des LCD bestehen. Geführt
wurde die Hündin von ihrer Eigentümerin Karin Forchheim. Herzlichen
Glückwunsch! :-)
- 12. April 2019:
Fotoshooting mit den "ex Chelsea's" Im
Anschluss an den Wesenstest fand am 07.04.2019 noch ein kleines
Fotoshooting mit einem Teil meiner "ex
Chelsea's" am schönen Genheimer Weiher statt. Dabei sind viele
wunderbare Aufnahmen entstanden, die ich Ihnen nicht vorenthalten
möchte. Ich danke Liliane Bywaletz und ihrem Mann für die einmaligen
Bilder. Viel Spaß beim
Ansehen. :-)
- 09. April 2019:
Röntgenuntersuchung
auf HD und ED Nach langen zwei Monaten Wartezeit liegen nun
endlich zwei weitere offizielle Röntgenauswertungen durch den
LCD-Gutachter aus
der Verpaarung 'Ginostra's Handsome Wallace' x 'Vesta ex Chelsea'
vor: Hunter ex
Chelsea: HD: A2 / A2,
ED-Grad: 0 / 0 Hayden ex Chelsea: HD: A1 / B1,
ED-Grad: 0 / 0
Auch Hazel und Helena wurden zwischenzeitlich geröntgt, auf die offiziellen
Gutachten müssen wir allerdings noch ein paar Tage warten... :-)
- 06./07. April 2019:
LCD-Wesenstest-Wochenende in 55425 Waldalgesheim
Bei besten Wetterverhältnissen trafen sich an diesem Wochenende
14 "ex Chelsea's" aus vier unterschiedlichen Würfen zur
Überprüfung der Hunde auf labradortypisches Wesen. Eine Hündin wurde mit
Verdacht auf ausgeprägte Scheinträchtigkeit und damit verbundener
Wesensveränderung zurückgestellt, alle anderen 13
Hunde haben den Wesenstest
bestanden und sich größtenteils genau so gezeigt, wie wir es
von ihnen erwartet haben. Beurteilt wurden alle Labradore von der sehr
erfahrenen LCD-Wesensrichterin Claudia Pelzer, die alle Hunde wie immer
fair beurteilt hat und den Teilnehmern bei Bedarf gute Tipps für den
zukünftigen Umgang mit dem Hund mit auf den Weg gegeben hat.
Im Einzelnen bestand aus dem
C-ll-Wurf (Mallorn's Silver
Surfer x Maxima ex Chelsea): Carolina ex Chelsea,
aus dem E-ll-Wurf
(Rocheby Frosted Jack x Phila ex Chelsea) meine
Eden ex Chelsea aus dem
H-ll-Wurf (Ginostra's Handsome
Wallace x
Vesta ex Chelsea): Harper ex Chelsea
Harvey ex Chelsea Havana ex Chelsea
Hunter ex Chelsea Hazel ex Chelsea "Elli"
Helena ex Chelsea & meine Hope ex Chelsea
sowie aus dem I-ll-Wurf (Piccadilly's
Roccin' The Shades x Phila ex Chelsea): Imola ex Chelsea
"Baldo" Invillino ex Chelsea "Pepe"
Istrago ex Chelsea "Isi" & Izzalini
ex Chelsea "Abby"
Es war ein sehr schönes Wochenende bei
optimalen Temperaturen für Mensch und Hund auf einem traumhaft schönen
Gelände. Für mich
als Züchter war es erneut sehr interessant, die Wurfgeschwister aus den
verschiedenen Würfen im direkten Vergleich zu sehen. Ich habe mich
natürlich auch sehr gefreut meine Welpenkäufer gut ein Jahr nach
Welpenabgabe wiederzusehen und hatte das Gefühl, dass jeder einzelne
Hund bei seinen Eigentümern sehr gut aufgehoben ist. Ich danke allen Teilnehmern dafür das sie gekommen sind, der
Wesensrichterin Claudia Pelzer für
das kompetente Richten der Hunde und natürlich auch den Eigentümern des
wunderschönen Geländes dafür, dass wir es erneut für diese Veranstaltung
nutzen durften. Hier geht's zum
Gruppenfoto
- 11. März 2019:
Gesundes Gangwerk
Die ersten 10 Auswertungen der Röntgenbilder von Hüften und Ellenbogen
von Hunden aus meinen beiden Würfen vom 18.12.2017 sind beim LCD
eingetroffen:
Aus der Verpaarung 'Ginostra's Handsome Wallace' x Vesta ex Chelsea:
Harper ex
Chelsea:
HD: A2 / A2,
ED-Grad: 0 / 0 Harvey ex Chelsea: HD: A2 / A2,
ED-Grad: 0 / 0 Havana ex Chelsea:
HD: A2 / A2,
ED-Grad: 0 / 0 Hope ex Chelsea:
HD: A1 / A1,
ED-Grad: 0 / 0
Aus der Verpaarung
'Piccadilly's Roccin' The Shades x Phila ex Chelsea: Imola ex Chelsea: HD:
A1 / A2,
ED-Grad: 0 / 0
Invillino ex Chelsea: HD: B1 / B1,
ED-Grad: 0 / 0 Istrago ex Chelsea: HD: B2 / B1,
ED-Grad: 0 / 0 Imperia ex Chelsea: HD: A1 / A1,
ED-Grad: 0 / 0 Issime ex Chelsea: HD: A2 / A2,
ED-Grad: 0 / 0 Izzalini ex Chelsea: HD: A1 / A1,
ED-Grad: 0 / 0
Ich freue mich sehr mit den Eigentümern
der Hunde über diese tollen Ergebnisse, insbesondere aber natürlich auch
für meine Hope und meine Issime. :-)
- 02.
Februar 2019: Havana ex Chelsea...
hat ihre eigene Fotoseite, die
ich heute mal wieder mit einem neuen Bild von ihr aktualisiert habe.
Mein Dank geht an Havanas Eigentümerin
Liliane Bywaletz für die Erlaubnis, die wunderschönen Bilder hier
veröffentlichen zu dürfen. :-)
- 09. Januar 2019:
LCD-Formwertbeurteilung in Vettweiß
Francolino ex Chelsea "Fred" (Creekwater Surf Scoter x
Vesta ex Chelsea) wurde heute von
Formwertrichterin Hassi Assenmacher-Feyel mit der höchsten Formwertnote vorzüglich bewertet.
Vorgeführt wurde "Fred" von Karin von Eichel-Streiber. Vielen Dank
dafür!
"Vorzüglicher Rassevertreter. Sehr maskulin,
viel Ausstrahlung.
Vorzüglicher Kopf + Körper, korrekt in
allen Teilen. Raumgreifende Bewegung."
- 29. Dezember 2018:
Rückblick 2018 & Ausblick 2019
Es ist ja schon eine kleine Tradition
geworden, zum Ende eines Jahres noch einmal zurück zu blicken auf die
vergangenen 12 Monate und voraus zu schauen auf das kommende Jahr.
Begonnen hat alles mit dem Auszug der im Dezember 2017 geborenen Welpen
aus
Phila nach 'Piccadilly's Roccin' The Shades' und aus
Vesta nach 'Ginostra's Handsome Wallace'.
Mittlerweile sind aus den kleinen Welpen stattliche Labradore geworden
und von den insgesamt 14 Hunden beider Würfe wurden bereits 7 mit sehr
guter Vorab-Prognose auf HD und ED untersucht.
Für weitere Hunde stehen bereits Termine fest, die Anderen möchte ich
bitten, sich in naher Zukunft um einen Röntgentermin zu kümmern. Bei der
Auswahl eines geeigneten Tierarztes für diese Untersuchung können Sie
mich jederzeit ansprechen.
Fünf Röntgenauswertungen von in 2016
geborenen Hundem standen in 2018 noch aus. Ich freue mich sehr, dass
zwischenzeitlich auch die Gelenke dieser fünf Hunde mit besten
Ergebnissen begutachtet wurden.
Natürlich konnten auch wieder
einige "ex Chelsea's" auf Prüfungen glänzen: Burano ex Chelsea
"Fiete" sowie
Clinton ex
Chelsea "Pelle" haben die
Rettungshundeprüfung des BRH erfolgreich
bestanden. Finale ex Chelsea darf sich
mit seiner Eigentümerin
Pädagogikbegleithundeteam nennen und Francolino ex Chelsea
sowie Filippa ex Chelsea sind seit Herbst als
geprüfte brauchbare
Jagdhunde
in NRW unterwegs.
Filiano ex Chelsea erhielt beim LCD-Wesenstest
eine sehr schöne Beurteilung und Essex ex Chelsea wurde
ein vorzüglicher Formwert bescheinigt.
Auf Ausstellungen war ich dieses Jahr nur mit meiner
Phila unterwegs. Auch mit
mittlerweile 9 Jahren ist Phila noch top in Form und
konnte den Titel *** Deutscher Champion DRC ***
vervollständigen, sowie den Titel *** Luxemburger
Veteranen-Champion *** unter Penny Carpanini mit nach Hause
nehmen. Den LCD- sowie den VDH-Veteranen-Champion werden wir dann in
2019 vervollständigen. Neben
Phila werde ich in 2019
vielleicht auch meinen Youngster Hope ex Chelsea auf
ein paar Ausstellungen zeigen. Hope,
eine Tochter meiner Vesta, hat sich zu einer traumhaft
schönen Junghündin mit Potential zum Champion entwickelt, die nur noch
ein bisschen Ringtraining braucht. :-)
Mein Rüde Xanthos
hat sich in 2018 erneut als instinktsicherer Deckrüde
beweisen können. Ich freue mich sehr, dass alle vier gedeckten Hündinnen
auch tragend wurden und ihren Eigentümern schöne Würfe schenkten. Ich
bedanke mich bei den Züchtern, welche Xanthos als
Deckpartner für ihre Hündin ausgewählt haben und hoffe auf eine
weiterhin tolle Entwicklung der jungen Hunde.
Kurz vor Jahresende
erreichte mich heute noch die traurige Nachricht, dass Gloria ex
Chelsea "Perry" gestern erlöst werden mußte. "Perry" wäre im
kommenden April 13 Jahre alt geworden. Ich bedanke mich ganz herzlich
bei Familie Bauer für die liebevolle Betreuung von "Perry" über all die
Jahre und dafür, dass sie ihr ein so schönes Retrieverleben als
Jagdgebrauchshund ermöglicht hat. Möglicherweise sind noch weitere "ex
Chelsea's" in 2018 verstorben, jedoch wurde mir darüber keine Mitteilung
gemacht.
2019 steht erst einmal ganz im Zeichen
der Suche nach geeigneten Menschenfamilien für meine aktuellen Welpen.
Am 14. Oktober gebar meine Colby völlig instinktsicher
ihren ersten Wurf, aus dem die ersten Welpen bereits in ihr neues
Zuhause umziehen durften. Genau ein Jahr nach ihrem letzten Wurf kamen
am 18. Dezember dann auch Vestas Welpen nach
'Richbourne Star Of Night" zur Welt - wie von Vesta
gewohnt auch wieder in einer absolut komplikationslosen Geburt. Nachdem
ich am 20. Dezember mit Istrago "Isi", Issime
und Hope in der Vet.-Med.-Uniklinik in Giessen zum
HD/ED-Röntgen war, durfte nun auch Istrago "Isi" kurz
vor Weihnachten zu seiner neuen Menschenfamilie ziehen, die ihn schon
sehnlichst erwartete. Viele Kontakte kommen mittlerweile durch
Mund-zu-Mund-Propaganda zustande, wofür ich sehr dankbar bin.
Auf
ein Wiedersehen freue ich mich am 06./07. April 2019
zum Wesenstest der H's und I's.
Ein Großteil der Hunde ist hierfür auch bereits fest angemeldet. Dann
folgen in 2019 auch die Planungen zum ersten Wurf meiner Xanthos-Tochter
Downey. Es wird also auch in 2019 nicht langweilig
werden bei den ex Chelsea's.
Liebe Grüße an alle
Freunde der "ex Chelsea's" & alles Gute für 2019
Sylvia & Rudel im Dezember 2018
- 18. Dezember 2018:
Vorweihnachtlicher
Welpensegen In einer langen, aber
letztendlich unkomplizierten Geburt brachte meine Hündin
Vesta ex
Chelsea ihre Welpen nach Richbourne Star Of
Night auf die Welt. Ich freue mich sehr über 3
gelbe und 2
schwarze
Rüden, sowie über 1 gelbe und 2
schwarze Hündinnen.
Richbourne Star Of
Night,
genannt Miles, hat
sich in der Vergangenheit schon mit vielen anderen Hündinnen sehr gut
vererbt und so erhoffe ich mir gesunde, arbeitsfreudige und dem
Rassestandard insgesamt in hohem Maße entsprechende Welpen. Erste Fotos
gibt es
hier

-
18. Dezember 2018: Der H-ll-Wurf und der
I-ll-Wurf haben Geburtstag
Vor genau einem Jahr brachten
zeitgleich meine Hündinnen Phila ex
Chelsea und Vesta ex Chelsea ihre Welpen auf die Welt.
Was war das für ein Erlebnis, wenn die Hündinnen absolut
synchron völlig unkompliziert ihre Welpen gebären. Ich
grüße alle
Eigentümer der H's und I's ganz herzlich und wünsche
allen einen schönen Wintertag
mit vielen extra Leckerlis. Als Wichtigstes steht nun erst mal die
Röntgenuntersuchung der Hüft- und Ellenbogengelenke an, für die
ich allen ganz feste die Daumen drücke für gute Ergebnisse. Bei der
Auswahl eines für diese Untersuchung geeigneten Tierarztes ist es von
großer Bedeutung, dass der Tierarzt die dafür notwendige Qualifikation besitzt. Daher wählen Sie bitte einen Tierarzt
aus, der sich auf der Mitgliederliste dess
GRSK e.V. befindet. Am besten vereinbaren Sie einen
Untersuchungstermin in der Röntgenabteilung der
Vet.-Med.-Uniklinik in
Giessen unter der Tel.-Nr.: 0641
- 99 38 547. Sollten Sie Fragen hierzu haben, stehe ich Ihnen
natürlich gerne mit Rat und Tat zur Seite. Der Wesenstest für die
H's und I's wird dann am 06./7. April 2019 in
55425 Waldalgesheim stattfinden.
- 25. November 2018:
Vielseitig einsetzbare Vesta-Kinder
Ich freue mich sehr, dass Labradore aus meiner Zucht so
vielseitig einsetzbar sind. Bereits im September konnte Finale
ex Chelsea (Creekwater Surf Scoter x Vesta ex Chelsea)
mit seiner Eigentümerin Petra Matthies die Ausbildung zum
Pädagogikbegleithundeteam an der 'Steinfurter Akademie für
tiergestützte Therapie' mit Erfolg abschliessen. Ebenfalls im September
schloss Francolino ex Chelsea, ausgebildet und geführt
von Karin v. Eichel-Streiber, seine Ausbildung zum brauchbaren
Jagdhund beim JGV Moers ab. Und auch Wurfschwester
Filippa ex Chelsea hat Anfang Oktober zusammen mit ihrem
Eigentümer Dr. Ludger Kleyboldt, ihre jagdliche Brauchbarkeit unter Beweis stellen können und die Prüfung bei der Kreisjägerschaft
Coesfeld erfolgreich bestanden. Allen drei Teams meine
ganz herzlichen Glückwünsche und für die Zukunft weiterhin viel Erfolg
und Waidmannsheil!!
- 22. Oktober 2018:
Xanthos wurde erneut Vater
In der LCD-Zuchtstätte
Ginostra's von Tamara Büttner sind in einer unkomplizierten Geburt sechs Welpen
nach meinem Rüden Xanthos geboren
worden. Zwei der Welpen kamen leider tot zur Welt, aber wir freuen uns
sehr über zwei gesunde Rüden und zwei ebenso gesunde Hündinnen. Tamara
Büttner ist eine der langjährigsten und erfahrendsten
Labrador-Züchterinnen Deutschlands und es war mir eine Ehre, dass meinn
Xanthos eine ihrer schönen Hündinnen decken durfte. Den
vier kleinen Hundekindern wünsche ich ein gesundes Heranwachsen und
würde mich freuen, viel von ihnen in der Zukunft zu hören. :-))

- 14. Oktober 2018:
Sonntagskinder
Am Sonntagmorgen kam in einer völlig komplikationslosen Geburt
Colbys erster Wurf zur Welt. Ich freue mich sehr über
3 Rüden (2 x schwarz, 1 x gelb) und 3 Hündinnen
(alle 3 schwarz).

- 06. Oktober 2018:
LCD-Spezial-Rassehunde-Ausstellung in
Neuwied-Linkenbach
(RLP)
Heute besuchte ich mit meiner Hündin Phila
ex Chelsea (Devonshires Stash x Diva ex Chelsea)
bei sonnigem Wetter und angenehmen Temperaturen die SRA des LCD in
Neuwied-Linkenbach. Phila
konnte sich gegen die Konkurrenz in ihrer Klasse (Hündinnen
älter als 8 Jahre) durchsetzen, gewann die Veteranenklasse und wurde
dadurch auch
Best Veteran. Von der extra für diese Show aus Russland
angereisten Richterin Galina Motor (RUS) erhielt Phila
folgende Beurteilung:
"Lovely type; yellow near 9 years
old; beautiful head; good earset; clean neck; good bone and feet; good
angulation in front and rear; excellent ottertail and doublecoat; lovely
temperament; showed and moved very well. EXCELLENT" Bewertung:
1. Platz + Anw. Dt. Vet.-Ch. VDH + LCD-Vet.-CAC + Best Veteran

- 19. September 2018:
Zweiter Multi-Champion aus eigener Zucht
Jetzt ist es offiziell: Nach meinem Rüden
Ch. Xanthos ex Chelsea
wurde nun auch seiner Mutter
Ch.
Phila ex Chelsea der Titel
*
*
* D e u t s c h e r C h a m p i o n D
R C
* * *
zuerkannt. Ich bedanke mich ganz herzlich bei den international
anerkannten Zuchtschau-Richtern Marylin
Prior (GB), Birgitte Jørgensen (DK),
Arwyn Ellis (GB) & David Nightingale
(GB) für die hohe Wertschätzung meiner Hündin Phila
und die durchweg positiven Kritiken. :-)
- 16. September 2018:
DRC-Spezial-Rassehunde-Ausstellung in
57482 Wenden
Heute besuchte ich mit meiner Hündin
Ch.
Phila ex Chelsea die SRA des DRC auf dem schönen Gelände des
Sporthotel Wacker in Wenden. Phila bekam von Richter
David Nightingale (GB) in der Gebrauchshundeklasse ein
vorzüglich und
folgende Beurteilung:
"Kind head expression; lovely topline
and tailset; good in front angulation; deep in chest with good bearing
of rib; clean in neck; strong in her quarters; moved okay.
Bewertung: V1 Anw. Dt. Ch. VDH + DRC-CAC
Mit dieser erneuten Anwartschaft erfüllt Phila nun
alle Voraussetzungen, um den Titel * Deutscher Champion DRC
* beantragen zu können. :-)
- 14. September 2018:
Lovely little boy
- V E R M I T T E L T! Für den schwarzen Rüden Istrago
aus dem letzten Wurf meiner Hündin Ch.
Phila ex Chelsea suche ich aktuell noch ein geeignetes Zuhause.
Istrago ist jetzt genau 8 Monate alt und ein
liebenswerter, aufgeweckter kleiner Kerl. Ich suche für ihn Menschen,
die dem Hundekind neben vollem Familienanschluss rassetypische
Beschäftigung bieten möchten. Istrago ist für dieses
Jahr komplett geimpft, ist mehrfach entwurmt und
besitzt eine OP-Versicherung bei der Agila, die gerne vom neuen
Eigentümer mit übernommen werden kann. Auf dem Foto ist Istrago
im Alter von 11 Wochen neben seiner
Mutter Ch. Phila ex Chelsea zu sehen. Weitere Bilder
finden Sie hier: I-ll-Wurf-Fotos.

- 09. September 2018:
...ex Chelsea's im Freibad Heute
besuchten wir mit Summa ex Chelsea, Eden ex
Chelsea & Istrago ex Chelsea das Sprendlinger
Freibad,
das zum Abschluß der diesjährigen Badesaison auch für Hunde die Tore
öffnete. Summa, Eden und
Istrago hatten sehr viel Spaß und ich nutzte die Gelegenheit,
das Trio in dieser schönen Location zu fotografieren. Zu den Bildern
geht es hier

- 08. September 2018:
Jagdliche Brauchbarkeitsprüfung
Francolino
ex Chelsea "Fred" (Creekwater Surf Scoter x Vesta ex Chelsea)
besteht, ausgebildet und geführt von Karin von
Eichel-Streiber, die Jagdliche Brauchbarkeitsprüfung mit
lebender Ente in Nordrhein-Westfalen. Ausgerichtet wurde die
Prüfung vom JGV Moers.
Ich wünsche dem Eigentümer von "Fred",
Herrn Dr. Uwe Tillmann, für die Zukunft viel Waidmannsheil zusammen mit
"Fred" als treuen Jagdbegleiter.
- 15./16.
August 2018:
Aktuelles zum erwarteten Wurf
Pläne sind da um sie spontan zu ändern :-)
So wurde meine
Colby (Mallorn's Silver Surfer x Maxima ex Chelsea)
gestern und heute erfolgreich von Ginostra's
Handsome Wallace gedeckt. Gerne hätte ich für Colbys
ersten Wurf meinen
Xanthos eingesetzt, aber man weiß
bei einer Hündin, welche zum ersten Mal gedeckt werden soll, nie wie sie
sich verhält und ich hätte beim Decken daher gerne noch eine
weitere Person dabei gehabt. Krankheitsbedingt war das leider
aktuell nicht möglich, weshalb ich spontan mit Colby zu
Wallace gefahren bin. Ich denke er ist ein würdiger
Ersatzrüde der sich bislang ganz hervorragend vererbt hat und sehr gut
zu meiner Colby passen sollte. Und aufgeschoben ist
nicht aufgehoben: Die Verpaarung Xanthos x Colby wird
zu einem späteren Zeitpunkt auf jeden Fall nachgeholt! :-)
- 05.
August 2018:
IRA Giessen 2018
Auf der Internationalen Rassehunde-Ausstellung
in Giessen habe ich heute erneut meine Hündin
Phila in der Veteranenklasse
vorgestellt. Von der Richterin Frau Eva Ebeling erhielt sie folgende
Bewertung:
"8,5-jährige Veteranen-Hündin mit gutem
Temperament; hübscher Kopf mit guter Fanglänge; freundlicher Ausdruck;
kräftiger Hals mit korrekter Länge; kräftiger Körperbau mit guter
Brusttiefe; Rückenlinie bereits etwas eingefallen; Rutenansatz und
-linie korrekt; schöne Otterrute; Winkelungen vorne und hinten korrekt;
schwungvolles Gangwerk; Hündin zeigt sich fröhlich und hat Spaß im
Ring."
2. Platz + Res. Anw. Dt. Vet.-Ch. VDH + Res.
LCD-Vet.-CAC (Die Reserve-Anwartschaft auf den VDH-Vet.-Ch.
bringt uns leider nicht weiter, aber zumindest auf dem Weg zum
LCD-Vet.Champion sind wir einen kleinen Schritt vorangekommen. :-)
- 22.
Juli 2018:
Clubshow des RCL-Retriever Club Luxemburg
in Mertert/Luxemburg
Heute besuchte ich mit
Xanthos und
Phila die Clubshow des RCL in
Mertert. Xanthos war nach über einjähriger Showpause
noch nicht im "Showmodus" und dementsprechend eher gelangweilt von dem
Ganzen. Das heiße Wetter tat sein Übriges dazu und so ging
Xanthos nachher lieber eine Runde im Teich des Parks schwimmen.
:-)
Also mußte Phila das Eisen für die
"ex-Chelsea's" aus dem Feuer holen und gab alles. Phila
konnte sich gegen ihre Konkurrentinnen in der Veteranenklasse
durchsetzen, wurde auf den ersten Platz gesetzt und ist dadurch nun
*** L u x e m b u r g e r V e t e r a n e n
C h a m p i o n ***
Richterin
Mrs. Penny Carpanini (UK) sagte über Phila:
"Delightful yellow of
8 years. Very lively mover. Showing strenght and soundness, excellent
topline & tail-carriage. Beautiful head, neck & shoulders. All together
a lovely specimen. Excellent."

Phila ist für mich wirklich eine Ausnahmehündin die
nicht nur in 5 Würfen 37 tolle Welpen geboren hat, sondern eine Hündin
die auch im "Rentenalter" noch viel Klasse und Ausstrahlung besitzt. Ich
freue mich jeden Tag darüber, sie um mich haben zu dürfen. <3
- 03.
Juni 2018:
DRC-Kurpfalz-Winner-Show in
Oberhausen-Rheinhausen
Phila ex Chelsea wurde in der
Gebrauchshundeklasse
mit V 1 bewertet und ihr die Anwartschaft Dt. Ch. VDH + DRC-CAC
zuerkannt. Außerdem erhielt Phila einem schönen Bericht
von Richter Mr. Arwyn Ellis (GB).
Gleichzeitig nutzte ich die Gelegenheit, vor Ort die Augen von
Xanthos und Colby
durch Frau Dr. Köbnick (DOK-Mitglied) untersuchen zu lassen. Beide sind
zum jetzigen Zeitpunkt frei von erblichen Augenerkrankungen
und somit steht einer baldigen Verpaarung der Beiden nun nichts mehr im
Weg. :-)

- 18. Mai 2018:
Happy Birthday X-Wurf
Zuerst möchte ich meinem X-Wurf inklusive
meinem Xanthos zum 5.
Geburtstag gratulieren. Kaum zu glauben, dass mein Bub und
seine Geschwister schon 5 Jahre alt sind... :-O
Passend dazu gibt es auch gute Neuigkeiten von Xanthos'
Nachkommen: Die Welpen in der LCD-Zuchtstätte 'Wheel of Fortune'
entwickeln sich sehr, sehr schön und die Hündin 'Pam vom Zeppelinpark',
welche von Xanthos vor 4 Wochen gedeckt wurde, bekam
heute via Ultraschall die Trächtigkeit bestätigt. :-)

Wheel Of Fortune-Welpe - 5 Wochen alt
<3
- 10. Mai 2018:
LCD-Formwert in Hasselroth-Neuenhaßlau
Essex ex Chelsea
"Ben" (Rocheby Frosted Jack x Phila ex Chelsea) wurde heute der
Richterin Hassi Assenmacher-Feyel zur Formwertbeurteilung
vorgestellt und erhielt die höchste Formwertnote vorzüglich:
"Maskuliner Kopf, dunkle Augen, sehr ausdrucksvoll. Vorzüglich gebaut,
korrekte Linien und Winkelungen, flotte Bewegung." Damit erfüllt
Essex ex Chelsea
alle Grundvoraussetzungen für die Zulassung zur Zucht im LCD. Herzlichen
Glückwunsch an seine Besitzer Jutta und Bertram Huke! :-)
- 29. April 2018:
LCD-Spezial-Rassehunde-Ausstellung in
Börsborn
(RLP)
Heute besuchte ich mit meiner Phila
ex Chelsea
(Devonshires Stash x Diva ex Chelsea)
bei sonnigem Wetter die schöne SRA des LCD in Börsborn. Phila
konnte sich nicht nur gegen die Konkurrenz in ihrer Klasse (Hündinnen
älter als 8 Jahre) durchsetzen, sondern gewann auch gegen den
erstplatzierten Rüden der Veteranenklasse und wurde
Best Veteran. Von der sehr sympathischen Richterin Sue
Merrill (UK) erhielt Phila
folgende Beurteilung:
"Very feminin bitch; expressiv head;
cobby in outline with good angulation; super front and super topline;
tail straight of her back; showed extreme well; moved very well; just a
little over weight; EXCELLENT" Bewertung:
1. Platz + Anw. Dt. Vet.-Ch. VDH + LCD-Vet.-CAC + Best Veteran

- 14. April 2018:
LCD-Wesenstest in Remscheid
Filiano ex Chelsea "Fiano" (Creekwater Surf
Scoter x Vesta ex Chelsea) hat heute unter Richter Ruggiero Calfa den
LCD-Wesenstest mit einer sehr schönen Beurteilung
bestanden. Geführt wurde "Fiano" von seinem Eigentümer
Marian Lücke. Damit ist Fiano nicht nur gesund, sondern hat zusätzlich
auch noch tolle Wesenseigenschaften bescheinigt bekommen. Ich freue mich
sehr mit Familie Lücke. :-)
- 09. April 2018:
Perfect Dates
Gute Neuigkeiten erreichten mich heute von zwei Züchtern, die
meinem Xanthos als Deckrüden für
ihre Hündin das Vertrauen geschenkt haben: In der LCD-Zuchtstätte
'Wheel Of Fortune' von Dorthe Nobis wurden heute in einer
komplikationslosen Geburt 10 gesunde schwarze Welpen (4
Rüden/6 Hündinnen) nach meinem Xanthos geboren.

Weiterhin wurde erneut ein Nachkomme von Xanthos mit
besten Ergebnissen auf HD und ED untersucht: Fiin Pinneus
(Xanthos ex Chelsea x Fiin Kultu Kimallus):
HD: A / A,
ED: 0 / 0
Ich gratuliere den beiden Züchtern Dorthe
Nobis (LCD) und Outi Lammila (Finnland) und bedanke mich ganz herzlich,
dass sie sich für meinen Rüden Xanthos als Deckpartner
entschieden haben. Alle Informationen zu Xanthos'
bisherigen Nachkommen finden Sie auf seiner
Nachzucht-Seite.
- 01. April 2018:
LCD-Clubzeitung Nr. 146 - April/Mai 2018
Was für eine schöne Überraschung am Morgen: Mit Havana ex Chelsea (Ginostra's
Handsome Wallace x Vesta ex Chelsea) ziert zum zweiten Mal
ein "ex Chelsea" die Titelseite der Clubzeitung
des LCD e.V.. Gekonnt in Szene gesetzt wurde "Havana" von dem Fotografen
Joachim Bywaletz, der gleichzeitig auch der Eigentümer des kleinen
Hundekindes ist.
Aber nicht nur einer der jüngsten ex-Chelsea's
hat es in die neue Clubzeitung geschafft, mit der am 01.04.2006
geborenen Gratia ex Chelsea "Gracie" (Mallorn's Diesel
x Bella ex Chelsea) ist mit ihren mittlerweile 12 Jahren auch eine der
älteren ex-Chelsea's mit einem Bild vertreten. Ich freue mich sehr, dass
es Gracie und ihren Wurfgeschwistern noch so gut geht und wünsche allen
noch eine lange gemeinsame Zeit mit ihren lieben Menschen. <3

- 24.
März 2018:
Rettungshundeprüfung des BRH in
Schleswig-Holstein
Burano ex Chelsea "Fiete" hat heute die
Rettungshundeprüfung (Fläche) des BRH in Schleswig-Holstein
erfolgreich bestanden. Geführt wurde "Fiete" von seiner
Eigentümerin Kirsten Siedenburg. Auch Clinton ex Chelsea
"Pelle", der diese Prüfung bereits im vergangenen Jahr schon mit Kirsten
erfolgreich durchlaufen hat, ist heute erneut, dieses Mal geführt von
Dr. Marret Bohn, angetreten. Auch dieses Team konnte die anspruchsvolle
Prüfung bestehen und so sind jetzt beide ex-Chelsea's im Haushalt
Siedenburg/Bohn geprüfte, einsatzbereite Rettungshunde.
Ganz herzlichen Glückwunsch zu dieser großartigen Leistung, liebe
Kirsten und liebe Marret! Ich freue mich sehr mit und für Euch.
:-)

Sowohl
Burano ex Chelsea "Fiete" (Faithful Paw's Brave Heart x Phila
ex Chelsea), als auch Clinton ex Chelsea "Pelle"
(Mallorn's Silver Surfer x Maxima ex Chelsea) erfüllen übrigens
mittlerweile alle Voraussetzungen für die Zulassung zur Zucht und stehen
demnächst geeigneten Hündinnen als Deckpartner zur Verfügung.
- 24.
März 2018:
Neue Welpenbilder online
Neue Fotos von Hope ex Chelsea & ihrer Mutter
Vesta sind auf der
Fotoseite des H-ll-Wurfs online.
- 16.
März 2018:
Jackpot
Seit heute liegt auch die letzte noch fehlende Röntgenauswertung
aus dem F-ll-Wurf vor:
Filiano ex Chelsea "Fiano": HD: A2 / A2,
ED-Grad: 0 / 0 (Creekwater Surf Scoter x Vesta ex Chelsea)
Damit sind alle drei von mir in 2016 gezüchteten Würfe mit
insgesamt 26 Welpen komplett auf HD und ED untersucht worden und alle
Hunde haben gesunde Gelenke. Großartig für die Hunde, die Eigentümer und
letztendlich natürlich auch für mich als Züchter! :-)
D-ll-Wurf : 6 x HD A/A, 1 x HD:
B/B, alle 6 Hunde des Wurfes: ED: 0/0
E-ll-Wurf : 6 x HD:
A/A, 2 x HD: A/B, 1 x HD: B/B, alle 9
Hunde des Wurfes: ED: 0/0
F-ll-Wurf : 7 x HD: A/A, 1 x HD: A/B, 2 x HD: B/B, alle 10
Hunde des Wurfes : ED: 0/0
 |
Perfektes
HD-Röntgenbild mit exzellenten Hüftgelenken von Downey ex
Chelsea, angefertigt in der Vet.-Med.-Uniklinik
in Gießen.
|
Ich bedanke mich ganz herzlich bei den Eigentümern der Hunde, dass
sie alle wie versprochen ihre Hunde haben untersuchen lassen. Damit
stehen den Hunden mit ihren Besitzern alle Möglichkeiten der Ausbildung/
Beschäftigung offen und ich freue mich, in Zukunft noch viel von den
Erfolgen des ein oder anderen zu hören. :-)
- 10.
März 2018:
Xanthos wurde wieder Vater
In der LCD-Zuchtstätte
Abatir von Frank +
Vera Röhrig wurden
heute in einer komplikationslosen Geburt 10 gesunde schwarze Welpen aus 'Capronca
Olivia', genannt Fee, nach
meinem Rüden Xanthos geboren.
Ein 11. Welpe kam leider tot zur Welt. Ich freue mich mit den Züchtern über
diesen schönen Wurf und wünsche den Kleinen ein gesundes Heranwachsen
sowie ein erfülltes Retrieverleben bei netten zukünftigen
Labradorbesitzern.

- 02.
März 2018:
Auszug und Einzug
Bis auf meine Hope ex Chelsea haben mittlerweile
alle H-ll-Wurf-Welpen ihr "Nest" verlassen
und haben die teils weite Reise in ihr neues Zuhause sehr gut
gemeistert. Auch von den I-ll-Wurf-Welpen
sind fast alle Welpen schon gut in ihrem neuen Wirkungskreis angekommen. Ich
wünsche allen neuen ex-Chelsea-Besitzern
ganz viel Freude mit dem Familienzuwachs und würde mich sehr freuen, ab
und an über die Entwicklung der Kleinen auf dem Laufenden
gehalten zu werden.

- 17.
Februar 2018:
Welpen-Check
Gestern stand für meine beiden Würfe vom 18.12.2017 das
Impfen und das Implantieren des
Microchips durch meinen Tierarzt auf dem Programm. Alle Welpen
haben tapfer alles über sich ergehen lassen. Heute erfolgte dann noch die
sogenannte Wurfabnahme durch eine Zuchtwartin des LCD,
bevor jetzt in den kommenden Tagen die ersten Welpen in ihr neues Zuhause
umziehen dürfen.

- 15.
Februar 2018:
Gesunde Gelenke
Forino ex Chelsea "Theo": HD:
B1 /
B1,
ED-Grad: 0 / 0
(Creekwater Surf
Scoter x Vesta ex Chelsea)
- 08. Januar 2018:
Neues von der Röntgenfront
Everest ex Chelsea "Vino": HD: A2 / A2,
ED-Grad: 0 / 0 (Rocheby Frosted Jack x Phila ex Chelsea) Damit ist jetzt auch mein gesamter
E-ll-Wurf mit 9 Hunden auf HD und ED untersucht - und alle Hunde sind gesund!
Ein großes Dankeschön an meine Welpenkäufer für das Vertrauen in mich
und meine Hunde und dass sie alle wie versprochen ihre Hunde haben
untersuchen lassen. Toll!
Auch aus der Verpaarung 'Creekwater Surf Scoter' x 'Vesta ex Chelsea'
erreichten mich heute zwei weitere tolle Ergebnisse der
HD/ED-Röntgenuntersuchung: Faiano ex Chelsea
Finn": HD: A2 / A2,
ED-Grad: 0 / 0 Francolino ex Chelsea "Fred": HD: A2 /
B1,
ED-Grad: 0 / 0 Hier sind mittlerweile 8 von 10 Hunde des
Wurfes auf HD + ED untersucht, fehlen nur noch Filiano
"Fiano" und Forino "Theo".
- 25. Dezember 2017:
Rückblick 2017 & Ausblick 2018
Weil es schon zu einer kleinen Tradition geworden ist, gibt es
auch dieses Jahr eine kleine Zusammenfassung der verganenen 12 Monate
sowie ein Ausblick auf das was kommt.
Das Jahr 2017 hätte ein
super Jahr für uns werden können, wären da nicht die Komplikationen
während der Geburt von Quietas Welpen im vergangenen
Juli gewesen. Quieta war tragend mit 7 ganz normal
entwickelten Welpen, aber aus mir bis heute unerklärlichen Gründen hat
Quieta zum Ende der Trächtigkeit hin Flüssigkeit
eingelagert. In der Bauchhöhle, aber auch in der Gebärmutter war
wesentlich mehr Flüssigkeit, als dort normal hingehört. Ihre Welpen
lebten noch kurz nach dem daraus resultierenden Kaiserschnitt,
verstarben aber alle nach wenigen Stunden noch in der Tierarztpraxis.
Auch Quieta
sollte nie wieder auf die Beine kommen, ich musste sie schweren Herzens
nach einer Woche vergeblicher tierärztlicher Bemühungen gehen lassen.
Ich weiß natürlich das Rückschläge zum Züchten mit dazu gehören, aber
eine Hündin im Alter von 7 Jahren zu verlieren und keine Antwort auf die
Frage nach dem *warum* zu haben, ist ein Alptraum. Ein kleiner Trost und
Lichtblick war dann vor ein paar Tagen die "Doppelgeburt " von
Philas und Vestas Welpen. Absolut zeitgleich
wölfte Phila ihren letztem Wurf nach dem amerikanischen
Rüden 'Piccadilly's Roccin' The Shades', sowie Vesta
ihren zweiten Wurf nach 'Ginostra's Handsome Wallace'.
Gesundheitlich sind wir bezüglich der Hüft- und Ellenbogengelenke auf
einem sehr guten Weg: In 2017 wurden 24 "ex Chelsea's" auf HD
und ED untersucht, von 21 liegen bereits die
offiziellen HD/ED-Auswertungen durch den vom LCD bestellten Gutachter
vor. Alle 21 Hunde liegen bezüglich HD im
A/B-Bereich und sind ED-Grad 0/0 (frei). Das
ist großartig, denn damit sind alle untersuchten Hunde in Bezug auf die
Hüft- und Ellenbogengelenke voll belastbar. Auch
Xanthos hat sich bis heute
hervorragend vererbt. Alle seine 21 bislang untersuchten Nachkommen sind
ebenfalls HD- und ED frei.
Auch auf Prüfungen
waren in 2017 wieder einige "ex Chelsea's" erfolgreich
vertreten: Bannia ex Chelsea & Clinton ex
Chelsea sind nun geprüfte Rettungshunde.
Beverino ex Chelsea, Burano ex Chelsea,
Clinton ex Chelsea & Denver ex Chelsea
wurden erfolgreich über die Begleithundeprüfung
geführt. Sirius ex Chelsea, Vita ex Chelsea
& Yamuna ex Chelsea haben die Arbeitsprüfung
mit Dummys-A mit sehr guten Ergebnissen bestanden.
Ihre jagdliche Brauchbarkeit haben Cedric ex
Chelsea, Derby ex Chelsea & Eureka ex
Chelsea unter Beweis stellen können. Und 'last but not
least'wurden 23 "ex Chelsea's" über den LCD-
bzw. DRC-Wesenstest geführt und auch hier konnten alle Hunde
mit einem labradortypischen Wesen überzeugen.
Auf Ausstellungen waren wir in 2017
nur wenig vertreten, dafür aber umso erfolgreicher:
Xanthos wurde
Dt. Champion
(DRC) und DRC-Clubsieger 2017
Phila wurde Dt. Champion
(VDH) und wird den DRC-Champion dann sicher in 2018
vervollständigen, Maxima
wurde
Rheinland-Pfalz-Veteranensiegerin 2017
Fiin Pakkanen,
ein Sohn meines Rüden Xanthos,
wurde im finnischen Helsinki ***
Nordic Junior Winner 2017 *** und erhielt die
CRUFTS-Qualification.
Dann waren da aber auch
traurige Momente im Jahr 2017, denn einige "ex Chelsea's" haben
neben meiner Quieta ihre letzte große Reise angetreten.
Aus dem B-Wurf vom 05.06.2003 mußten wir uns von
Basileos (Januar), Balux (April),
Basileia (Juli), Bella (Oktober) und
Bonitas (Dezember) verabschieden. Aber alle 5
erreichten mit +- 14 Jahren ein sehr gutes Alter für
einen Labrador-Retriever. Aus dem N-Wurf ging im Juni
Novitas viel zu früh (chronische Niereninsuffizienz).
Alle Hunde wurden vom ersten bis zum letzten Tag von ihren Familien
geliebt und dafür danke ich den Eigentümern von ganzem Herzen.
2018 steht erstmal ganz im Zeichen der Aufzucht meiner
beiden Würfe nach Phila und Vesta und
der Suche nach geeigneten Menschen für die Kleinen. Mit Colby
und Downey stehen dann später im Jahr erste
Wurfplanungen an, nachdem sie alle Voraussetzungen für die
Zuchtzulassung erfüllen. Phila und Xanthos
und vielleicht Finale *wink* möchte ich gerne das ein
oder andere Mal ausstellen und alles andere lassen wir auf uns zu kommen
:-)
Bis dahin liebe Grüße an alle Freunde
der "ex Chelsea's" & alles Gute für 2018
Sylvia & Rudel im Dezember 2017
-
24.
Dezember 2017:
Die Fotoseiten sind online Der
H-ll-Wurf und der I-ll-Wurf haben ihre
eigenen Fotoseiten bekommen:
H-ll-Wurf
I-ll-Wurf In unregelmäßigen Abständen werden
neue Fotos zugefügt. Viel Spaß beim Ansehen. :-)
-
20.
Dezember 2017:
Eine große Hundepersönlichkeit ist nicht
mehr da
Bonitas ex Chelsea "Bonnie"
(Coco Loco's
Porsche
x Ginny vom Alstätter-Moor)
*
05.06.2003
t
20.12.2017

Bonitas war Zeit ihres Lebens ein
Hund mit viel Persönlichkeit, ein toller Charakterhund mit
Durchsetzungsvermögen, Ausdauer und Stärke. Auch züchterisch gesehen war
sie für mich ein Glücksgriff. In durchweg unkomplizierten Geburten hat
Bonitas fünf Würfe mit insgesamt 33 Welpen für mich
aufgezogen. Alle meine heutigen Zuchthunde gehen auf Bonitas
zurück und meine beiden Champions Phila & Xanthos sind Bonitas'
Enkelin bzw. Urenkel. In ihren Nachkommen lebt ein Teil von
Bonitas weiter und so hinterläßt sie Spuren und wird
nicht nur für mich unvergessen bleiben. <3
Leider plagte Bonitas
seit einigen Monaten eine stetig wachsende und mittlerweile faustgroße
Umfangsvermehrung auf Höhe des linken Sprunggelenks. Aufwendige
Diagnostik haben wir nicht mehr betrieben, denn eine OP stand nicht zur
Diskussion. Zum Schluss hin wurde das Leben für Bonitas
immer beschwerlicher. Bevor es für sie zur Qual wurde, habe ich sie
gehen lassen. Bonitas wurde 14,5 Jahre
alt. Ein letzter Dank an mein altes Mädchen für alles, was ich von ihr
lernen durfte. :'(
- 18. Dezember 2017:
Welpenglück im Doppelpack
Völlig instinktsicher brachten Phila und
Vesta absolut zeitgleich ihre Welpen auf die Welt. Ich freue
mich über 8 gesunde Welpen aus der Verpaarung von
Vesta ex Chelsea mit dem Rüden Ginostra's
Handsome Wallace (1 schwarzer und 2 gelbe Rüden, 2 schwarze und
3 gelbe Hündinnen) und ebenso über gesunde 6 Welpen aus
der Verpaarung meiner Hündin CH Phila ex Chelsea mit
dem Rüden Piccadilly's Roccin' The Shades (3 Rüden, 3
Hündinnen - alle schwarz).

Vesta...

und Phila wenige Stunden nach der Geburt <3
- 18. Dezember 2017:
Perfekte Gelenke
Aus der Verpaarung 'Creekwater Surf Scoter' x 'Vesta ex Chelsea'
erreichten mich heute drei weitere tolle Ergebnisse der
HD/ED-Röntgenuntersuchung: Finale ex Chelsea: HD: A1 / A1,
ED-Grad: 0 / 0 Furore ex Chelsea: HD: A1 / A1,
ED-Grad: 0 / 0 Filippa ex Chelsea: HD: A1 / A1,
ED-Grad: 0 / 0
Und auch vom E-ll Wurf
gibt es Neuigkeiten: Elton ex Chelsea: HD: A2 / B1,
ED-Grad: 0 / 0 (Rocheby Frosted Jack x Phila ex Chelsea)
- 17. Dezember 2017:
Neuigkeiten von Phila & Vesta
Der Countdown läuft, die Geburten von Philas und
Vestas Welpen stehen unmittelbar bevor. Jetzt heißt es
geduldig abwarten und Daumen drücken für eine komplikationslose Geburt.

- 09. Dezember 2017:
Nordic Winner Show in Helsinki/Finnland
Fiin Pakkanen "Pipo", ein Sohn von meinem Rüden
CH Xanthos ex Chelsea, wurde heute
in Helsinki (SF) unter Richterin Lene Johansen (DK) ***
Nordic Junior Winner 2017 *** und erhielt die
CRUFTS-Qualification. Herzlichen Glückwunsch an
seine Besitzerin Heli Grönroos und natürlich an seine Züchterin Outi
Lammila vom finnischen Kennel Fiin. Ich freue mich sehr, dass
Xanthos nicht nur seine Gesundheit, sondern auch seine
Schönheit und sein tolles Wesen an seine Nachkommen weitergibt.

- 28. November 2017:
3 x gesunde Gelenke
Denver ex Chelsea: HD: A2 / A1,
ED-Grad: 0 / 0 (Xanthos ex Chelsea x Quieta ex Chelsea)
Damit ist jetzt auch mein gesamter
D-ll-Wurf auf HD und ED untersucht - und alle Hunde sind gesund! Wie
schön. :-)
Essex ex Chelsea: HD: A2 / A2,
ED-Grad: 0 / 0 (Rocheby Frosted Jack x Phila ex Chelsea)
Hier sind mittlerweile auch alle 9 von 9 Hunde des Wurfes untersucht, fehlt
nur noch die gutachterliche Auswertung von Everest "Vino".
Fontane ex Chelsea: HD: A1 / A1,
ED-Grad: 0 / 0 (Creekwater Surf Scoter x Vesta ex Chelsea)
Ich freue mich sehr über die
durchweg positiven Gesundheitsergebnisse und danke den Eigentümern der
Hunde, dass sie ihre Tiere wie vereinbart haben untersuchen lassen.
- 19. November 2017: BHP A
+ B (DRC) in St. Leon-Rot
Beverino ex Chelsea "Lino" (Faithful Paw's Brave
Heart x Phila ex Chelsea) hat heute die
Begleithundeprüfung des DRC unter Richter Joachim Beringer mit
70 von 80 Punkten und dem Prädikat *sehr gut*
bestanden. Geführt wurde "Lino" von seiner Eigentümerin Eliana
Hölscher. Toll gemacht, herzlichen Glückwunsch! :-)

- 12. November 2017:
DRC-Wesenstest in Gundelfingen-Wildtal Diamond ex
Chelsea "Daisy" (Xanthos ex Chelsea x Quieta ex
Chelsea) besteht unter Richterin Brigitte Weber den
DRC-Wesenstest mit einer sehr schönen Beurteilung:
"Die 22 Monate alte Hündin ist
temperamentvoll, sie hat sehr ausgeprägtes Bewegungsverhalten. Sie ist
sehr aufmerksam und hat große Ausdauer. An Beute hat sie großes
Interesse; sie trägt ihre Beute und trägt sie ihrer Besitzerin zu. Die
Beziehung zu ihren Menschen ist sehr gut und vertrauensvoll. Sie ordnet
sich bereitwillig unter. Menschen gegenüber ist sie freundlich und
sicher, im engen Menschenkreis ordnet sie sich unter. Beim 2. Schuss ist
sie kurz beeindruckt, erholt sich sofort und bleibt sicher. Auf dem
Parcours mit den optischen und akustischen Reizen ist sie voll
belastbar. Eine fröhliche, freundliche Hündin."
Damit sind mittlerweile 6 (von 7)
Hunde aus meinem D-ll-Wurf zum Wesenstest
geführt worden. :-) Fehlt nur noch Dean "Obi"!
*wink*
- 07. November 2017: Erste
Röntgenauswertungen vom F-ll-Wurf Nachdem der
F-ll-Wurf Ende August ein Jahr alt wurde,
trudeln nun die ersten offiziellen Auswertungen der HD-/ED-Röntgenbilder
ein: Felina ex Chelsea: HD: B2 /
B2, ED-Grad: 0 / 0
Filadelfia ex Chelsea: HD: A1 / A1, ED-Grad: 0 / 0
Auch Fontane ex Chelsea wurde vor Kurzem
geröntgt, auf die offiziellen Gutachten werden wir aber leider noch ein
paar Wochen warten müssen... Die Eigentümer der noch nicht
untersuchten Hunde aus dem F-ll-Wurf möchte ich bitten,
die Röntgenuntersuchung auf HD und ED
wie vereinbart zeitnah durchführen zu lassen und sage schon vorab
herzlichen Dank. :-)
- 05. November 2017: LCD-BHP Teil
A in Hamminkeln Die Hündin Denver ex Chelsea
(Xanthos ex Chelsea x Quieta ex Chelsea) hat mit 68 Punkten
(von 70) und dem Prädikat *vorzüglich* die
Begleithundeprüfung Teil A des LCD bestanden.
"Denver" ist eine Wurfschwester meiner wunderschönen Hündin
Downey.
- 28. Oktober 2017:
LCD-Wesenstest in
Karlsbad-Spielberg
Bardolino ex Chelsea "Rocky" (Faithful Paw's
Brave Heart x Phila ex Chelsea) aus meinem B-ll-Wurf
wurde heute der Wesensrichterin Brigitte Weber zur
Beurteilung vorgestellt und konnte diese Wesensüberprüfung
mit einer wirklich schönen Beurteilung bestehen: "Ein
sicherer, freundlicher Rüde mit sehr schöner Führerbindung." Geführt
wurde "Rocky" von seinem Eigentümer Nandi Arend. Damit wurden
mittlerweile 9 (von 10) Hunde dieses Wurfes zum Wesenstest geführt,
wofür ich mich als Züchter ganz herzlich bedanke.
-
21.
Oktober 2017:
Jagdlich brauchbarer Labrador
Mit Cedric ex Chelsea (Mallorn's Silver Surfer x
Maxima ex Chelsea) hat heute ein weiterer 'ex Chelsea' die
jagdliche Brauchbarkeit bescheinigt bekommen. Geprüft wurde
Cedric gemäß der Brauchbarkeitsprüfungsordnung für
Jagdhunde des Landesjagdverbandes Hessen e.V. für die Nachsuche auf
Niederwild (außer Schalenwild) mit Leistungsnachweis Wasserarbeit.
Geführt wurde Cedric von seinem Eigentümer Klaus-Dieter
Schüßler. WMH an das erfolgreiche Team! :-)
-
20.
Oktober 2017:
Neue Wurfplanung
Meine Hündin Phila ex Chelsea
wurde heute in Holland von dem amerikanischen Rüden
Piccadilly's Roccin' The Shades "Punch" gedeckt. Wenn alles planmäßig verläuft, erwarte
ich Philas letzten Wurf mit schönen und arbeitsfreudigen
Welpen um den 20. Dezember
2017. Da "Punch" reinerbig schwarz ist, werden alle Welpen
schwarz sein.
-
15.
Oktober 2017:
Jagdliche Brauchbarkeitsprüfung
Derby ex Chelsea "Skadi" (Xanthos ex Chelsea x
Quieta ex Chelsea) hat heute die jagdliche Brauchbarkeitsprüfung
gemäß §6 BPO des Landes Nordrhein-Westfalen beim JGV Euskirchen-Bonn
e.V. erfolgreich bestanden. Geführt wurde "Skadi" von
ihrer Eigentümerin Ines Tröbst. WMH zu diesem Erfolg und hoffentlich
viele schöne gemeinsame Jagderlebnisse in der Zukunft. :-)
-
13.
Oktober 2017:
Erste HD-/ED-Ergebnisse aus Finnland
Nachdem am 23.09.2017 Xanthos'
finnische Kinder (Xanthos ex Chelsea x Fiin Kultu Kimallus) ein Jahr alt
wurden, liegen uns heute bereits die ersten 4 (von 6) offiziellen
Röntgengutachten vor. Ich freue mich mit der Züchterin Outi Lammila
über:
Fiin Päivänsäde: HD: B/B, ED: 0/0 Fiin Päivätär:
HD: A/A, ED: 0/0 Fiin Pakkanen: HD: A/A, ED: 0/0
Fiin Pellonpekko: HD: A/A, ED: 0/0
- 9.
Oktober 2017:
Gutes Gangwerk
Ich freue mich sehr über drei weitere sehr gute
Auswertungen der Röntgenbilder
der Hüft- und Ellenbogengelenke von Hunden aus meinem zweiten
E-Wurf (Rocheby Frosted Jack x Phila ex
Chelsea): Eagle ex Chelsea: HD: B2 / A2, ED-Grad: 0 / 0
Eugene ex Chelsea: HD: A2 / A2, ED-Grad: 0 / 0 Eureka ex Chelsea: HD:
B1
/ B1, ED-Grad: 0 / 0 Ich bedanke mich bei den Besitzern der
Hunde für die gute Aufzucht und hoffe, dass die Gelenke von
Essex "Ben", Elton "Mika" und Everest
"Vino" ähnlich gut aussehen werden. :-)
- 08. Oktober 2017:
LCD-Wesenstest in 55425
Waldalgesheim
Heute fand
erneut ein LCD-Wesenstest in
Waldalgesheim statt, zu dem 10 "ex Chelsea's" angetreten sind
und sich dem Urteil der erfahrenen Richterin Claudia Pelzer gestellt
haben. Im Einzelnen bestand aus dem
C-ll-Wurf (Mallorn's Silver
Surfer x Maxima ex Chelsea): Chester ex Chelsea,
aus dem E-ll-Wurf
(Rocheby Frosted Jack x Phila ex Chelsea) Elton ex Chelsea
Essex ex Chelsea "Ben" Everest ex Chelsea
"Vino" & Eugene ex Chelsea "Ginny", sowie aus dem
F-ll-Wurf (Creekwater
Surf Scoter x
Vesta ex Chelsea): Finale ex Chelsea
Francolino ex Chelsea "Fred"
Furore ex
Chelsea "Paul" Felina ex Chelsea
"Nala" & Filadelfia ex Chelsea "Fiby"
Es war ein sehr schöner Tag bei
optimalen Temperaturen für Mensch und Hund auf einem traumhaft schönen
Gelände. Ich danke allen Teilnehmern dafür das sie gekommen sind, der
Wesensrichterin Claudia Pelzer für
das kompetente Richten der Hunde und natürlich auch den Eigentümern des
wunderschönen Geländes dafür, dass wir es erneut für diese Veranstaltung
nutzen durften. Hier
geht's zum
Gruppenfoto
- 07. Oktober 2017:
LCD-Wesenstest in Alpen/NRW
Als erster Hund aus meinem F-ll-Wurf
wurde Fontane ex Chelsea "Henry" (Creekwater Surf
Scoter x Vesta ex Chelsea) am heutigen Tag dem
LCD-Wesensrichter Bernhard Straub zur
Beurteilung vorgestellt und konnte diese Wesensüberprüfung
mit einer schönen Beurteilung bestehen. Geführt
wurde "Henry" von seiner Eigentümerin Eva Haasler.
- 04.
Oktober 2017:
Ein letzter Gruß von Bella
Bella ex Chelsea
(Coco Loco's
Porsche
x Ginny vom Alstätter-Moor)
*
05.06.2003
t
04.10.2017

Nach 14
Jahren und 4 Monaten hat sich meine Bella heute still
und heimlich im Kreise ihrer Rudelfreunde Diva, Luna, Phila und Vesta
auf ihre letzte Reise begeben. Bella ist friedlich eingeschlafen. Ihr
Herz hörte einfach auf zu schlagen...
Mach's gut,
altes Mädchen. Du warst einzigartig und bleibst allen Freunden die Dich
kannten ewig in liebevoller Erinnerung. :'(
- 03.
Oktober 2017:
Brauchbarer Jagdhund
Eureka ex Chelsea "Maya" (Rocheby
Frosted Jack x Phila ex Chelsea) besteht heute im Alter von
gerade mal 14 Monaten die Brauchbarkeit für Jagdhunde
des Bayerischen Jagdverbandes. Geführt wurde "Maya" von ihrem Eigentümer
Dr. Ralph Bitter. Waidmannsheil dem erfolgreichen Team!
- 29. September 2017:
Neues Zuhause für Ellis
Nachdem Anfang vergangener Woche die Röntgengutachten von
Ellis ex Chelsea im Briefkasten waren, konnte die Kleine nun in
ihr neues Zuhause nach Wuppertal umziehen. Ich bin sehr froh, solch ein
tolles neues "Rudel" für meine Ellis gefunden zu haben und wünsche der Familie
viel Freude - und Geduld ;-) - mit ihr.

- 27. September 2017:
Gesunde Gelenke
Ich freue mich sehr über die ersten drei Röntgengutachten
der Hüft- und Ellenbogengelenke von Hunden aus meinem zweiten
E-Wurf (Rocheby Frosted Jack x Phila ex
Chelsea): Emmett ex Chelsea: HD: A2 / A2, ED-Grad: 0 / 0
Eden ex Chelsea: HD: A2 / A2, ED-Grad: 0 / 0 Ellis ex Chelsea: HD: A2
/ A2, ED-Grad: 0 / 0
- 03. September 2017:
DRC-Spezial-Rassehunde-Ausstellung in Lich
(Hessen)
Heute besuchte ich mit Maxima und Phila
bei optimalem Wetter für Mensch + Hund die SRA des DRC im schönen
Schlosspark zu Lich. Phila
konnte sich erneut gegen die Konkurrenz in ihrer Klasse durchsetzen und
erhielt von der freundlichen Richterin Birgitte Jørgensen aus Dänemark
folgende Beurteilung:
"Nearly 8 years old; very nice
type with a classical head. Nice proportions all through; good size;
medium dark yellow; well bodied; strong loin; good bones and angulation; really
excellent mover; well presented!" Bewertung: V1 Anw. Dt. Ch. VDH + DRC-CAC
(Gebrauchshundeklasse - Hündinnen)

Maxima erhielt
ebenfalls eine vorzügliche Bewertung von der Richterin
Birgitte Jørgensen und belegte den 2. Platz in der
Veteranenklasse. Da Maxima allerdings bedingt durch
ihre 4 großgezogenen Würfe und die Kastration im vergangenen Frühjahr
eine nicht mehr ganz so schöne "untere Line" hat und auch das Fell sich
etwas veränderte, werde ich sie zukünftig nicht nehr ausstellen.
Mit dieser super organisierten und
schönen Ausstellung schliesse ich die Showsaison für 2017 für uns ab.
Ich habe mit meinen ex-Chelsea's auf nur wenigen
Ausstellungen viel mehr erreicht, als ich mir je erhofft hatte:
Xanthos wurde Dt. Champion
(DRC) und DRC-Clubsieger 2017
Phila wurde Dt. Champion
(VDH) und wird den DRC-Champion dann sicher in 2018
vervollständigen, Maxima wurde
Rheinland-Pfalz-Veteranensiegerin 2017 :-)
- 30. August 2017:
Neues Zuhause für Ellis gesucht...
und G E F U N D E N !
Aus meinem E-ll-Wurf vom 04.08.2016
hatte ich zwei Hündinnen behalten, um zu einem späteren Zeitpunkt die
für mich für die Zucht geeignetere Hündin von den Beiden auszuwählen.
Meine Entscheidung fiel nun auf Eden, so dass ich für
Ellis ein geeignetes neues Zuhause suche. Ellis
ist eine sensible, kleine Hündin, die aber durchaus auch Temperament
hat. Ich suche für sie Menschen mit ausreichend Zeit
und Hundeerfahrung. Hundeerfahrung heißt für mich nicht
schonmal einen Hund besessen, sondern selbst einen Hund erfolgreich
ausgebildet zu haben. Ellis braucht Menschen an ihrer
Seite, die mit ihr im Team zusammen durch's Leben gehen wollen, die ein
sehr gutes Timing bei der Ausbildung mit ihr besitzen und ihr Sicherheit
in Momenten geben, wo sie vielleicht etwas Hilfe durch ihre Menschen
benötigen wird. Vom Ausbildungsstand her ist Ellis noch relativ roh,
sprich: Man kann ihr noch in jede Richtung alles beibringen. Ein
ruhiger, etwas älterer Zweithund an ihrer Seite wäre durchaus ok, Kinder
unter 12 Jahren braucht sie aufgrund ihrer Sensibilität eher nicht.
Ellis ist in der Vet.-Med-Uniklinik in Giessen am
14.08.2017 auf HD und ED untersucht und die Gelenke von
der dortigen Gutachterin Frau Dr. Ondreka mit HD: A/A und ED:
0/0 beurteilt worden. Das offizielle HD/ED-Gutachten durch den
Gutachter des LCD steht natürlich noch aus, sollte aber kein gravierend
abweichendes Ergebnis ergeben. Darüber hinaus besitzt Ellis seit dem
01.12.2016 eine OP-Kosten-Versicherung bei der Agila,
die mit übernommen werden kann/sollte! Bevor
Ellis hier auszieht erwarte ich von den neuen Besitzern, dass
sie vorab mehrfach hier waren um die Hündin richtig kennen zu lernen.
Ellis zieht hier nur aus, wenn ich für sie die nach meinen Maßstäben
perfekten Menschen gefunden habe. Weitere aktuellere Fotos folgen in den
kommenden Tagen.

Ellis mit 10 Monaten
Ellis mit 5 Monaten
- 30. August 2017:
Der F-ll-Wurf hat Geburtstag
Vor genau einem Jahr brachte meine Hündin
Vesta ex Chelsea ihren ersten Wurf nach dem in Holland
gezüchteten Rüden
Creekwater Surf Scoter, meinen zweiten
F-Wurf, auf die Welt. Ich
grüße alle
Eigentümer der F's ganz herzlich und wünsche
Faiano,
Filiano,
Finale,
Fontane,
Forino,
Francolino,
Furore,
Felina "Nala",
Filadelfia und Filippa "Olga" einen schönen Sommertag
mit vielen extra Leckerlis. Als Wichtigstes steht nun erst mal die
Röntgenuntersuchung der Hüft- und Ellenbogengelenke an, für die
ich allen ganz feste die Daumen drücke für gute Ergebnisse. Bei der
Auswahl eines für diese Untersuchung geeigneten Tierarztes ist es von
großer Bedeutung, dass der Tierarzt die dafür notwendige
Qualifikation besitzt. Daher wählen Sie bitte einen Tierarzt
aus, der sich auf der Mitgliederliste des
GRSK e.V. befindet. Sollten Sie Fragen hierzu haben, stehe ich Ihnen
natürlich gerne mit Rat und Tat zur Seite.
- 27. August 2017:
LCD-Formwertbeurteilung in Kelkheim
Colby ex Chelsea (Mallorn's Silver Surfer x
Maxima ex Chelsea) und
Downey ex
Chelsea (Xanthos ex Chelsea x Quieta ex Chelsea)
zeigten sich heute von ihrer besten Seite und wurden beide von Richter
Josef Fertig mit der höchsten Formwertnote vorzüglich
bewertet. Damit erfüllen meine beiden Youngster nun alle
Grundvoraussetzungen für die Zulassung zur Zucht im LCD. :-)
Gleichzeitig wurde
heute auch Essex ex Chelsea (Rocheby Frosted Jack x
Phila ex Chelsea) dem Richter Josef Fertig im Rahmen der sog.
"Pfostenschau" vorgestellt. In der Jugendklasse erhielt er einen
vorzüglichen Bericht und wurde auf den 1. Platz
gesetzt.
"Vorzüglich in Typ
und Ausdruck. Weitgehend fertig in der körperlichen Entwicklung. Schöner
Rüdenkopf; dunkle Augen; vorzüglich pigmentierte Augen und Lefzen. Hals
trocken; fester Rücken; Vorhand korrekt; Hinterhand einwandfrei
gewinkelt. Vorzügliche Rutenhaltung. Hartes Grannenhaar mit viel
Unterwolle im dunklen Feld. Zeigt sich aufmerksam im Ring und wurde
bestens vorgeführt. Hund zeigt sich mit viel Energie und Ausstrahlung.
Vorzüglich im Gangwerk. Großes Lob für die perfekte Vorführung!"

Downey ex
Chelsea * 19,5 Monate alt
- 26. August 2017:
DRC-Wesenstest in Meinerzhagen
Als erster Hund aus meinem E-ll-Wurf
wurde Eagle ex Chelsea (Rocheby Frosted Jack x Phila ex Chelsea)
am heutigen Tag der DRC-Wesensrichterin Birgit Muhr zur
Beurteilung vorgestellt und konnte diese Wesensüberprüfung
mit einer sehr schönen Beurteilung bestehen. Geführt
wurde Eagle von seinem Eigentümer Jörg Hamann.
"Ein freundlicher Rüde der sich
heute sicher und selbständig durch den Test bewegt."
- 12. August 2017:
CACIB Ludwigshafen 2017
Maxima ex Chelsea's Sohn 'Cedric ex Chelsea' hat
es vergangenes Jahr vorgemacht und wurde 'Rheinland-Pfalz-Jugendsieger
2016', Maxima hat ihn heute gut vertreten und wurde mit
ihren mittlerweile knapp 9 Jahren
***
Rheinland-Pfalz-Veteranensiegerin 2017 ***
und erhielt die dazugehörigen
Anwartschaften auf den LCD- und VDH-Veteranenchampion.

- 04. August 2017:
Der E-ll-Wurf hat Geburtstag
Vor genau einem Jahr brachte meine Hündin
Phila ihren Wurf nach dem in England
gezüchteten Rüden
Rocheby Frosted Jack, meinen zweiten
E-Wurf, auf die Welt. Ich
grüße alle
Eigentümer der E's ganz herzlich und wünsche
Eagle, Elton, Emmett,
Essex, Everest, Eugene, Eureka
und natürlich meinen beiden Hündinnen Eden und
Ellis einen schönen Sommertag
mit vielen extra Leckerlis. Als Wichtigstes steht nun erst mal die
Röntgenuntersuchung der Hüft- und Ellenbogengelenke an, für die
ich allen ganz feste die Daumen drücke für gute Ergebnisse. Bei der
Auswahl eines für diese Untersuchung geeigneten Tierarztes ist es von
großer Bedeutung, dass der Tierarzt die dafür notwendige
Qualifikation besitzt. Daher wählen Sie bitte einen Tierarzt
aus, der sich auf der Mitgliederliste des
GRSK e.V. befindet. Sollten Sie Fragen hierzu haben, stehe ich Ihnen
natürlich gerne mit Rat und Tat zur Seite. Der Wesenstest
für de E's wird am 08. Oktober in
55425 Waldalgesheim stattfinden. Hierfür müssen Sie sich für einen
garantierten Startplatz möglichst zeitnah mit dem offiziellen Meldeformular des LCD bei
mir anmelden. Weitere Infos zum Wesenstest finden Sie
hier
- 30. Juli 2017:
Deckrüden-Collage für Xanthos
Das junge Startup-Unternehmen
www.marke-tier.de hat für meinen Xanthos eine
wunderschöne Collage gebastelt. Vielen Dank dafür!
- 21.
Juli 2017:
'Phila ex Chelsea' ist Dt. Champion VDH
Nun ist es offiziell: Meine tolle Hündin
Phila ex Chelsea darf als zweiter
"ex Chelsea" neben ihrem Sohn
Xanthos den Titel
* * * D e u t s c h e r C h a m p i o n V D H
* * *

tragen. Ab der ersten Anwartschaft auf den Titel Dt.
Champion VDH wurde Phila nur noch sieben Mal
ausgestellt. Davon konnte sie vier Mal ihre Klasse mit V1
gewinnen. Showerfolge sind für mich nicht das Maß aller Dinge, aber ich
konnte sowohl mit Xanthos, als auch jetzt mit seiner
Mutter Phila ohne Probleme diese Auszeichnung erreichen
und das zeigt mir, das ich mit meinen Hunden in Bezug auf das Exterieur
auf einem sehr guten Weg bin. Bedanken möchte ich mich bei Gerda
Groeneweg (NL), Vanessa Malkmus (D), Marilyn Prior (GB), Yvonne Jaussi
(CH) und Christian Jouanchicot (F), die mit ihren tollen Bewertungen
meiner Phila diesen Erfolg ermöglicht haben.
- 16. Juli 2017:
DRC-Clubschau 2017 in
Oberhausen-Rheinhausen
Unter Richterin Ann Britton (GB) erhielt mein
Xanthos erneut ein V1
in der Gebrauchshundeklasse und damit sein letztes noch
fehlendes Ticket für den Titel
*
* D e u t s c h e r C h a m p i o n D
R C
* * *

Am Ende
konnte er sich auch noch gegen die Erstplatzierten der Zwischen-,
Offenen- und Championklasse durchsetzen und bekam den Titel
* *
* D R C - C L U B S I E G E R 2017 * * *

zuerkannt.
Über die lobenden Worte von Mrs. Ann Britton über meinen Xanthos
habe ich mich wirklich sehr gefreut und möchte mich dafür ganz herzlich
bedanken.
-
10. Juli 2017:
Es hat nicht sollen sein... Mein
traurigster Moment in 16 Jahren Zucht dieser wundervollen Hunde: Der
G-ll-Wurf Für die vielen netten
Interessenten die ich für diesen Wurf hatte tut es mir sehr leid. Ich
plane dieses Jahr noch ein oder zwei Würfe. Wer gerne auf einen "ex
Chelsea" warten möchte, darf sich natürlich gerne bei mir melden.

- 02. Juli 2017:
LCD-Wesenstest in Kiel/Schleswig-Holstein
Mit 9 Monaten zog Clinton ex Chelsea "Pelle" (Mallorn's
Silver Surfer x Maxima ex Chelsea) vor gut einem Jahr in sein neues
Zuhause nach Schleswig-Holstein. Seit dem hat er nicht nur mit seinen
beiden Eigentümerinnen Kirsten Siedenburg und Dr. Marret Bohn jeweils
die Begleithundeprüfung bestanden und ist mit Bestnote geprüfter
Rettungshund für die Flächensuche im BRH, sondern besteht
heute auch noch den LCD-Wesenstest unter der Wesensrichterin Simone Metz.
Mehr geht nicht... Ich bin begeistert, ein ganz großes Dankeschön
für so viel Engagement! :-)

Foto: Tanja Wiegand
-
17. Juni 2017:
Geprüfter Rettungshund
Nachdem Clinton ex Chelsea "Pelle" am 25.05.2017
bereits die Vorprüfung zum Rettungshund abgelegt hat,
stand heute die Hauptprüfung (Fläche) des BRH
Schleswig-Holstein auf dem Programm. Zu meiner großen Freude konnte
"Pelle" im Team mit seiner Eigentümerin Kirsten Siedenburg die Prüfung
unter BRH-Leistungsrichter Volker Marx mit dem höchsten Prädikat *vorzüglich*
bestehen. "Pelle" zog im Juni 2016 im Alter von 9 Monaten in sein neues
Zuhause. Eine wirklich tolle Leistung, so viel in nur einem Jahr mit
"Pelle" erreicht zu haben. :-)

-
17. Juni 2017:
APD/R-A des LCD in
Rivenich/Rheinland-Pfalz
Vita ex Chelsea "Vesta" (Devonshires
Not Your Average Joe x Phila ex Chelsea) besteht die
Arbeitsprüfung mit
Dummies des LCD in Rivenich/RLP unter den Richtern
Iris und Michael Renner mit 58 von 80 Punkten und dem Prädikat
gut. Geführt wurde die Hündin von ihrer
Eigentümerin Almuth Gasper. Auch hier herzlichen Glückwunsch an das erfolgreiche
Team. :-)
-
10. Juni 2017:
LCD-Wesenstest in 55425 Waldalgesheim
Heute fand ein LCD-Wesenstest in
Waldalgesheim statt, zu dem auch sechs "ex Chelsea's" angetreten sind.
Der erfahrenen Richterin Claudia Pelzer zur Beurteilung vorgestellt
wurden aus dem C-ll-Wurf (Mallorn's Silver
Surfer x Maxima ex Chelsea): Charlotte ex Chelsea
"Lana" Chelsea ex Chelsea "Chelsea" &
Colby ex Chelsea "Colby", sowie aus dem
D-ll-Wurf (Xanthos ex Chelsea x
Quieta ex Chelsea): Dillon ex Chelsea "Buddy"
Derby ex Chelsea "Skadi" & meine Downey ex
Chelsea "Downey" Alle haben
bestanden. :-)
-
05. Juni 2017:
14 Jahre und kein bisschen leise...
Vor 14 Jahren erblickte mein erster B-Wurf
das Licht der Welt. Bella und Bonitas
sind damals bei mir geblieben und bildeten die wichtigsten Eckpfeiler
meiner heutigen Zucht. Bis heute leben die Beiden bei mir und abgesehen
von ein paar altersbedingten Wehwehchen geht es Bella
und Bonitas noch verhältnismäßig gut. Auch wenn das
Zusammenleben mit alten Hunden zuweilen sehr anstrengend sein kann, so
erfreue ich mich dennoch jeden Tag an ihnen und bin froh, dass es meinen
beiden Oldies noch so gut geht.
In Gedanken bin ich auch bei Bellinus
"Paul", Basileos "Buddy" und Balux
"Balu", die uns leider schon verlassen haben.

vo.li.n.re.: Bonitas' Tochter Diva, Bonitas &
Bella
-
05. Juni 2017:
Nat. Rassehunde-Ausstellung Neunkirchen 2017
Erneut wurdre Phila heute in
der Gebrauchshundeklasse mit V 1
+ Anw. Dt. Ch. VDH bewertet. Richter war Christian Jouanchicot
aus Frankreich. Mit diesem Erfolg hat Phila nun alle
Anwartschaften für den Titel * * * D e u t s c h e r C h a m p i o n V D H
* * *
Ich danke den Richtern Gerda
Groeneweg (NL), Vanessa Malkmus (D), Marylin Prior (GB), Yvonne Jaussi
(CH) und Christian Jouanchicot (F) für die schönen Bewertungen meiner
Phila.

-
04. Juni 2017:
CACIB Neunkirchen 2017
Phila ex Chelsea (Devonshires Stash x Diva ex
Chelsea) wurde heute auf der Internationalen Rassehunde-Ausstellung in
Neunkirchen von Richterin Yvonne Jaussi (CH) in der
Gebrauchshundeklasse mit V 1
+ Anw. Dt. Ch. VDH bewertet. Im Anschluß konnte sich
Phila auch gegen den V1-platzierten Rüden der
Gebrauchshundeklasse durchsetzen und wurde *Bester
Gebrauchshund*.
Richterin Yvonne Jaussi sagte
über Phila: "Sehr harmonische, kräftige, knapp 8 Jahre alte
Hündin; femininer Kopf; vorzügliches Pigment; dunkle Augen mit
aufmerksamem Ausdruck; kurzer, kräftiger Hals mit etwas loser Kehlhaut;
vorzüglich gewinkelte Vorhand; vorzügliche Brusttiefe; korrekt
angesetzte, ständig wedelnde Rute; bewegt sich fließend mit sehr viel
Schub; sehr gut vorgeführt."
- 27. Mai 2017:
LCD-Nightshow in Erftstadt-Gymnich
Heute war ich nur mit meinem
Xanthos unterwegs. Es war ein
schönerTag bei heißen Temperaturen im idyllischen Kräutergarten der
Gymnicher Mühle. In der Gebrauchshundeklasse wurde
Xanthos von Richter Sergio Scarpellini aus Italien mit
V 1 + Anw. Dt. Ch. VDH bewertet. Das war sein siebtes V
1 mit Anwartschaft auf den Dt. Ch. VDH unter 7 verschiedenen
Zuchtrichtern aus 5 unterschiedlichen Nationen in Folge :-)

"Masculin and lovely head; good size; good neck,
topline and tail; well balanced; very nice angulation; good bone and
feet; moves very well."
- 20. Mai 2017:
BHP + VT in Kiel (Schleswig-Holstein)
Clinton ex Chelsea "Pelle"
(Mallorn's Silver Surfer x Maxima ex Chelsea)
hat heute die Begleithundeprüfung mit
Verkehrsteil (DVG) unter Richter Burkhard Welske bestanden
und damit, ebenso wie sein Wegbegleiter Burano ex Chelsea
"Fiete" schon ein Jahr zuvor, den ersten Schritt zum geprüften
Rettungshund perfekt gemeistert. Geführt wurde "Pelle" von seiner
Eigentümerin Kirsten Siedenburg. Burano ex Chelsea "Fiete" (Faithful Paw's Brave
Heart x Phila ex Chelsea) hat die BHP + VT zwar
bereits im Juli 2016 schon erfolgreich abgelegt, hat sie heute aber
erneut, dieses Mal im Team mit Dr. Marret Bohn, souverän
bestanden. Für mich als Züchter kann ich sagen: Alles richtig
gemacht. Pelle & Fiete haben bei Kirsten & Marret das für sie perfekte
Zuhause und dürfen mit den Beiden nun auch ganz offiziell als geprüfte
Begleithunde durchs Leben gehen. :-)

- 11. Mai 2017:
Warum in die Ferne reisen, wenn das Gute
ist so nah...
Nachdem ich mit den Nachkommen aus der Verpaarung meiner
Hündin Quieta mit meinem Rüden
Ch. Xanthos ex Chelsea bislang
super zufrieden bin, habe ich die Beiden heute erneut zusammengeführt.
- 17. April 2017:
Gute Neuigkeiten von der Röntgenfront
Auch das Untersuchungsgutachten von dem sechsten
Hund aus meinem
D-ll-Wurf (Xanthos ex
Chelsea x Quieta ex Chelsea) ist da: Diamond ex Chelsea: HD: A 1 / A 1 und ED-Grad: 0/0
Game And
Work Brave Bijou, eine Tochter meines Rüden
Xanthos und der Hündin 'Rebecca aus
Lühlsbusch', wurde ebenfalls mit HD: A 1 / A 1 und
ED-Grad: 0 / 0 ausgewertet. Besser geht es nicht! Ich
freue mich sehr mit der Züchterin Heike Lober.
- 08. April 2017:
DRC-Wesenstest in Blaubeuren
(Baden-Württemberg)
Als erster Hund aus meinem D-ll-Wurf
hat die Hündin Dundee ex Chelsea (Ch. Xanthos ex
Chelsea x Quieta ex Chelsea) heute ihren Wesenstest
beim DRC unter Richterin Brigitte Weber bestanden. Ich
freue mich sehr über das schöne Ergebnis und sende viele Grüße an
Dundees Eigentümerin Petra Rodenberg nach Ulm.
:-)
- 02. April 2017:
APD/R-A in Irmtraut/Hessen
Sirius ex Chelsea (Fameflair
XXL x Diva ex Chelsea) besteht heute die Arbeitsprüfung mit
Dummies des DRC im hessischen Irmtraut unter dem Richter
Stephan Steidl mit 70 von 80 Punkten und der Gesamtnote
sehr gut. Geführt wurde Sirius von
seinem Eigentümer Klaus-Dieter Schüßler. Herzlichen Glückwunsch zu
dieser Leistung!
- 01. April 2017:
APD/R-A in Otterbach/Pfalz
Yamuna ex Chelsea "Greta" (Dancing Dreamweaver
v/d Weeward x Maxima ex Chelsea) besteht die Arbeitsprüfung mit
Dummies des DRC im pfälzischen Otterbach unter der Richterin
Petra Beringer mit 65 von 80 Punkten und der Gesamtnote
sehr gut. Geführt wurde die Hündin von ihrer
Eigentümerin Karin Spohr. Herzlichen Glückwunsch an das erfolgreiche
Team. Toll gemacht!
- 25. März 2017:
Geprüfter Rettungshund
Bannia ex Chelsea (Faithful Paw's Brave Heart x
Phila ex Chelsea) hat die Flächenprüfung 1 der
Rettungshundestaffel Ahrtal e.V. erfolgreich bestanden. Ich gratuliere
der Hundeführerin und Besitzerin von Bannia, Verena
Heller, ganz herzlich zum einsatzbereiten Rettungshund.

- 23. März 2017:
Klarer Gang
Die Röntgengutachten von vier weiteren
Hunden aus meinem D-ll-Wurf (Xanthos ex Chelsea x Quieta ex Chelsea)
sind da: Dean ex Chelsea: HD: A 1 / A 1 und ED-Grad: 0/0 Dillon ex
Chelsea: HD: A 1 / A 2 und ED-Grad: 0/0 Derby ex
Chelsea: HD: B 1 / B 1
und ED-Grad: 0/0 Dundee ex
Chelsea: HD: A 2 / A 1
und ED-Grad: 0/0 Ich freue mich sehr! Jetzt heißt es
weiter warten auf die Auswertungen von Diamond und
Denver... :-)
- 28. Februar 2017:
Was lange währt wird endlich gut
Im Alter von 9 Monaten zog
Clinton ex
Chelsea "Pelle" vergangenes Jahr in sein neues Zuhause nach
Schleswig-Holstein und wird seit dem, wie sein Hundekumpel
Burano ex
Chelsea "Fiete", von seinen Eigentümern Kirsten Siedenburg &
Marret Bohn zum Rettungshund ausgebildet. Nachdem nun das endgültige
Obergutachten, ausgestellt durch Prof. Dr. Mark Flückinger (Schweiz),
eingetroffen ist, freuen wir uns sehr über HD: A 1 / A 1
und vor allem über ED-Grad: 0/0. Damit steht "Pelles"
weiterer Ausbildung zum Rettungshund nichts mehr im Weg. :-)
- 14. Februar 2017:
Perfekte Gelenke
Die Hüft- und Ellenbogengelenke meiner Nachwuchshündin
Downey ex
Chelsea (Xanthos ex Chelsea x Quieta ex Chelsea) wurden von dem
Gutachter des LCD, Dr. Tassani-Prell, mit HD: A 1 / A 1
und ED-Grad: 0/0 ausgewertet. Besser geht es nicht, ich
freue mich sehr! :-)

Und auch noch ein
weiteres Röntgengutachten von einem Nachkommen meines Rüden
Xanthos ist da: Fernajacks Enchante
Mademoiselle:
HD: A 1 / A 2 und ED-Grad: 0/0 *freu*
- 19. Januar 2017:
Klares Gangwerk
Mit Charlotte ex Chelsea
ist mittlerweile der siebte und damit letzte Hund aus meinem
C-ll-Wurf geröntgt und die Röntgenbilder
durch den vom LCD bestellten Gutachter mit
HD: B 1 / B 1 und ED-Grad: 0/0
offiziell ausgewertet worden.
Ich freue mich sehr darüber, denn mit diesen Befunden wird
auch
Charlotte bezüglich der Gelenke problemlos alt werden
können.
Auch von meinem
Rüden
Xanthos liegen zwei weitere
Röntgenergebnisse seiner Nachzucht vor. Hier freue ich mich mit den
Züchtern der Hunde über Fernajacks Edge Of Heaven:
HD: A 1 / A 1 und ED-Grad: 0/0 sowie
Ikarus vom Wallhäuser Weg: HD: A 1 / A 2
und ebenfalls ED-Grad: 0/0 und sage Danke an die
Besitzer, dass sie ihre Hunde haben untersuchen lassen.
- 12. Januar 2017:
Der D-ll-Wurf hat Geburtstag
Vor genau einem Jahr brachte meine Hündin
Quieta ihren zweiten Wurf nach meinem Rüden
Ch. Xanthos ex Chelsea, meinen zweiten
D-Wurf, auf die Welt. Ich
grüße alle
Eigentümer der D's ganz herzlich und wünsche
Dean, Dillon, Denver,
Derby, Diamond, Dundee und
natürlich meiner Downey einen schönen Wintertag
mit vielen extra Leckerlis. Als Wichtigstes steht nun erst mal die
Röntgenuntersuchung der Hüft- und Ellenbogengelenke an, für die
ich allen ganz feste die Daumen drücke für gute Ergebnisse. Bei der
Auswahl eines für diese Untersuchung geeigneten Tierarztes ist es von
großer Bedeutung, dass der Tierarzt die dafür notwendige
Qualifikation besitzt. Daher wählen Sie bitte einen Tierarzt
aus, der sich auf der Mitgliederliste des
GRSK e.V. befindet. Sollten Sie Fragen hierzu haben, stehe ich Ihnen
natürlich gerne mit Rat und Tat zur Verfügung.

Perfektes
HD-Röntgenbild mit exzellenten Hüftgelenken von Downey ex
Chelsea, angefertigt am 19.01.2017 in der Vet.-Med.-Uniklinik
in Gießen.
- 27. Dezember 2016:
Rückblick 2016 & Ausblick 2017
Mit ein paar Höhen und Tiefen die zum Züchten einfach dazu
gehören, war 2016 insgesamt gesehen ein gutes und erfolgreiches Jahr für
die ex Chelsea's. Der Januar begann mit der
komplikationslosen Geburt meines zweiten
D-Wurfes, einer für mich sehr spannenden Verpaarung, da ich erstmals
meine Hündin Quieta mit meinem Rüden
Xanthos verpaart habe. Aus diesem
Wurf durfte Downey bei mir bleiben und wird, wenn alles
gut geht, irgendwann meine Zucht bereichern. Für diesen Wurf steht aber
jetzt erstmal die wichtige Röntgenuntersuchung der Hüft- und
Ellenbogengelenke an, für die ich allen D's und ihren
Besitzern feste die Daumen drücke für gute Ergebnisse.
Phila hat dann am 04. August
problemlos ihren vierten Wurf mit 9 gesunden Welpen nach Rocheby
Frosted Jack auf die Welt gebracht. Wunderschöne Welpen, auf
deren weitere Entwicklung ich sehr gespannt bin. Zu guter Letzt
überraschte mich dann noch meine Vesta mit einem
überdurchschnittlich großen Wurf mit 10 gesunden Welpen nach
Creekwater Surf Scoter.
Verabschieden mußten wir uns am
20. Oktober von Canis ex Chelsea 'Dusty'.
Er lebte gute 12 Jahre und 4 Monate als geliebter Begleiter an der Seite
von Annemie und Axel Demmer sowie seinen Hundekumpels Flavius ex Chelsea
"Sunny" und Yellow ex Chelsea "Yellow". "Dusty" hat aufgrund
gesundheitlicher Probleme seine letzte Reise angetreten und ist bestimmt
schon - wo auch immer - von seiner Mutter, meiner Stammhündin Chelsea,
in Empfang genommen worden.
Mehrere ex Chelsea's
wurden in 2016 auf den unterschiedlichsten Prüfungen
geführt. Hier möchte ich stellvertretend nur einige erwähnen:
Zephyrus ex Chelsea "Jakob"
(Cosadolce Signed And Sealed x Quieta ex Chelsea) ist nun geprüfter
BRH-Rettungshund. Auf jagdlichen Prüfungen waren
Aurelio ex Chelsea (VPS m.l.E.), Briona ex
Chelsea (BLP + JEP/S) und Cedric ex Chelsea
(JP/R) erfolgreich. Ein großes Dankescchön an alle
ex-Chelsea-Besitzer die ihre Hunde so toll rassegerecht ausbilden,
fordern und fördern und sich nicht scheuen, mit ihren Hunden auch
Prüfungen zu absolvieren.
Erstmals waren dieses Jahr mit
Phila ex Chelsea, Xanthos ex Chelsea &
Cedric ex Chelsea drei Hunde aus meiner Zucht
regelmäßig auf Ausstellungen anzutreffen und ich würde sagen, wir waren
nicht ganz unerfolgreich. Xanthos
habe ich 6 x ausgestellt und 6 x hintereinander konnte er seine Klasse
mit V1 und den entsprechenden Anwartschaften gewinnen.
Darunter unter anderem die Clubschau des DRC
& des LCD. Schlussendlich trugen diese Erfolge dazu
bei, dass Xanthos als erster
ex Chelsea den Titel Deutscher Champion VDH
tragen darf. Xanthos' Mutter Phila
war nicht weniger erfolgreich, konnte jedoch aufgrund der Welpenpause
nicht so oft ausgestellt werden. Ihr fehlen noch zwei Anwartschaften auf
den Titel Dt.Ch.VDH, ich bin mir aber sicher, das komplettieren wir dann
in 2017. :-) Als Youngster begleitete uns Cedric ex
Chelsea auf einigen Ausstellungen und neben dem Tagestitel
Rheinland-Pfalz-Jugendsieger 2016 konnte Cedric
auch den Titel LCD-Clubjugendsieger 2016 mit
nach Hause nehmen. Mit diesen Erfolgen unter verschiedenen namhaften
internationalen Zuchtschaurichtern haben die ex Chelsea's
bewiesen, optiscch dem Rassestandard sehr nahe zu kommen und unter
internationaler Konkurrenz sehr gut mithalten zu können. An dieser
Stelle ein großes Dankeschön an die Richter für die tollen Bewertungen
unserer Hunde. Die ein oder andere Ausstellung ist auch für 2017 schon
in den Kalender eingetragen.
Ein großes Dankeschön möchte ich
auch allen Züchtern aussprechen, die meinem Xanthos ihr
Vertrauen gegeben haben und ihn als Deckpartner für ihre Hündin
auswählten. So gibt es neben 6 Würfen in Deutschland auch erste
Xanthos-Nachkommen in Finnland. Xanthos' erste Nachkommen sind
bereits ein gutes Jahr alt und mit den ersten
HD/ED-Röntgenauswertungen bin ich sehr zufrieden (6 x HD: A/A,
2 x HD: B/B, 8 x ED: 0/0). Auch Xanthos' Bruder Xeno ex Chelsea
wurde erstnals in der Zucht eingesetzt. Hier bin ich sehr gespannt auf
die weitere Entwicklung der 5 Hundekinder, die in der jagdlich
orientierten LCD-Zuchtstätte "vom Hülser Bruch" geboren wurden.
Mit 2017 liegt
wieder ein spannendes Jahr vor uns, beginnend mit den
Röntgenuntersuchungen der Hunde meines D-ll-Wurfes.
Am 10.Juni steht dann der Wesenstest
für die Hunde aus dem C-ll-Wurf und dem
D-ll-Wurf an.
Über die geplanten Würfe in 2017 werde ich an dieser Stelle informieren,
sobald die Planungen konkretere Formen angenommen haben.
Bis dahin liebe Grüße an alle
Freunde der "ex Chelsea's" & alles Gute für 2017
Sylvia & Rudel im Dezember 2016
- 23. Dezember 2016:
Röntgenauswertung C-ll-Wurf
Kurz vor Weihnachten erreichten mich nun auch die Auswertungen
der Röntgenbilder von
Chester ex Chelsea:
HD: A 2 / A 2 und ED-Grad: 0/0 Ich
freue mich sehr darüber, denn mit diesen Ergebnissen wird auch
Chester bezüglich der Gelenke problemlos durchs Leben gehen
können.
- 10. Dezember 2016:
Gesundes Gangwerk
Erfreuliche Nachrichten erreichten mich heute von Chelsea
ex Chelsea
(Mallorn's Silver Surfer x Maxima ex Chelsea): Ihre Hüft- und
Ellenbogengelenke wurden vom Gutachter des LCD mit
HD: A 2 / A 1 und ED-Grad: 0/0
beurteilt. Damit hat Chelsea beste Voraussetzungen,
bezüglich ihrer Gelenke niemals Probleme zu bekommen. Ich bedanke mich
ganz herzlich bei Familie Graf dafür, das sie Chelsea
haben untersuchen lassen und sende beste Grüße in die Oberpfalz.
- 27. November 2016:
LCD-Wesenstest in Hasselroth-Neuenhaßlau
Cedric ex Chelsea
(Mallorn's Silver Surfer x Maxima ex Chelsea)
besteht heute, geführt von seinen Eigentümern Karin & KD Schüßler, den
LCD-Wesenstest unter Richterin Claudia Pelzer mit einer
hervorragenden Beurteilung:
"Der 14 Monate alte,
temperamentvolle Rüde zeigte trotz großem Radius eine schöne Bindung zu
seinen Besitzern. Fremden Menschen begegnet er freundlich und sicher,
die Kreisprobe genießt er. Seine jagdlichen Anlagen sind bestens
ausgeprägt, Beute- und Bringtrieb sind sehr ausgeprägt. Auf Umweltreize
reagiert er neugierig, interessiert, untersucht die Reize
eingehend, demonstriert an den Gegenständen auch seinen sehr schönen
Beutetrieb und verhält sich völlig sicher und unerschrocken. Der
aufmerksame und führige Rüde mit sehr guten Wesenseigenschaften ist
sicher beim Schuß."
- 13. November 2016:
Nat. Rassehundeausstellung in Karlsruhe
Heute besuchten wir mit Cedric ex Chelsea und
Phila ex Chelsea die Nationale Rassehundeausstellung in
Karlsruhe. Cedric hat sich schön gezeigt und konnte
unter Richterin Becci Hodge (GB) in einer gut besetzten
Jugendklasse den 4. Platz mit der höchsten
Formwertnote vorzüglich für sich verbuchen.
Phila erreichte, trotz das sie komplett abgehaart war, nur 3
Monate nach der Geburt und Aufzucht ihrer 9 Welpen einen
vorzüglichen 3. Platz in der Gebrauchshundeklasse
unter Richter Richard Bott (GB) mit folgender Bewertung:
"6
years and 10 months old yellow bitch; feminine head with lovely dark
eye, good ears, correct reach of neck, balanced angulation front and
back, good ribs, correct topline, true mover, very out of coat."
- 11. November 2016:
Nachzucht-Ergebnisse
Vor gut 7 Wochen wurden die Hüft- und Ellenbogengelenke von
Cedric, Carolina & Colby
aus meinem C-ll-Wurf (Mallorn's Silver
Surfer x Maxima ex Chelsea) in der Vet.-Uniklinik in Giessen auf HD und
ED untersucht. Heute kamen die Auswertungen vom Gutachter des LCD zurück
mit folgenden Befunden:
Cedric ex Chelsea:
HD: A 1 / A 2 und ED-Grad: ll/0
Carolina ex Chelsea:
HD: A 2 / B 1 und ED-Grad: 0/0
Colby ex Chelsea:
HD: A 2 / B 1 und ED-Grad: 0/0
Bei Cedric handelt es
sich um einen rein röntgenologischen Befund, klinisch ist er völlig
gesund und außer das er mit dieser Bewertung des linken Ellenbogens
nicht in die Zucht gehen wird, ändert sich für ihn nichts. Seine
hervorragenden jagdlichen Anlagen werden weiterhin gefördert und
Cedric wird auch in Zukunft von uns ausgestellt werden, weil er
einfach ein extrem schöner Vertreter seiner Rasse ist. Carolina
wird, wenn alles wie geplant verläuft, in Kürze in ihr neues Zuhause
umziehen und Colby wird mein Rudel verstärken und in
die Fußstapfen ihrer tollen Mutter Maxima treten, die
diesen Monat 8 Jahre alt wird und damit altersmäßig und nach 4 Würfen
aus der Zucht ausscheidet.
Auch von
Xanthos' Nachzucht liegt die erste
Röntgenauswertung vor. Ich freue mich mit der Züchterin Ferny Herkes
über
HD: A 1 / A 1 und ED-Grad: 0/0 ihrer
Hündin Fernajacks Euphoria (Xanthos ex Chelsea x
Fernajacks Belle Blonde From Celtic Dale). :-)
- 23. Oktober 2016:
Rettungshundeprüfung
Fläche des BRH
Zephyrus ex Chelsea
'Jakob' (Cosadolce Signed And Sealed x Quieta
ex Chelsea) besteht die
Rettungshunde-Flächenprüfung des BRH.
Geführt wurde 'Jakob' von seiner Eigentümerin Theresia Luxemburger von der
BRH-Rettungshundestaffel Saar e.V.
Damit ist
'Jakob' neben Helva ex Chelsea 'Johanna' und Marius ex
Chelsea 'Samuel' der dritte geprüfte
Rettungshund aus meiner Zucht im Saarland. Tolle Leistung, ganz herzlichen
Glückwunsch, liebe Theresia!

- 21. Oktober 2016:
JP/R des DRC in Montabaur/Staudt
Cedric ex Chelsea (Mallorn's Silver Surfer x
Maxima ex Chelsea), 13 Monate alt, hat heute die 'Jagdliche
Jugendprüfung für Retriever' des DRC unter Prüfungsleiterin
Claudia Schaper mit sehr guten 242 Punkten bestanden.
Geführt wurde Cedric von seinem Eigentümer KD Schüßler.
Insgesamt sind wir mit Cedrics Leistung sehr zufrieden,
hat er doch bis auf die 'Freie Verlorensuche' (7 Punkte), dem 'Spurwille
auf der Schleppspur' (9 Punkte) und dem 'Merken im Feld' (9 Punkte) in
allen weiteren Prüfungsfächern ein glattes 'sehr gut' (10 Punkte)
erhalten. :-)
- 20. Oktober 2016:
Abschied
Canis ex Chelsea
"Dusty"
(Dual's Hope Xerox
x Ginny vom Alstätter-Moor)

*
05.06.2004
t
20.10.2016
Canis
ex Chelsea "Dusty" lebte gute 12 Jahre und 4 Monate als
geliebter Begleiter an der Seite von Annemie und Axel Demmer sowie
seinen Hundekumpels Flavius ex Chelsea "Sunny" und Yellow ex Chelsea
"Yellow". Nun hat er aufgrund gesundheitlicher Probleme seine letzte
Reise angetreten und ist bestimmt schon - wo auch immer - von seiner
Mutter, meiner Stammhündin Chelsea, in Empfang genommen worden. Liebe
Annemie, lieber Axel, ich danke Euch ganz herzlich dafür, dass Dusty ein
so schönes und erfülltes Retrieverleben bei Euch führen durfte.
Mach's gut, alter Junge!
- 10. Oktober 2016:
Update zu Vestas Welpen
Die Vesta-Kinder sind mittlerweile 6
Wochen alt und entwickeln sich wunschgemäß.

- 09. Oktober 2016:
Verbandsprüfung nach dem Schuss in Wietze
(Niedersachsen) Aurelio ex Chelsea "Louis"
(Paulus ex Duria x Maxima ex Chelsea) hat mit der VPS mit
lebender Ente, ausgerichtet vom 'Jagdgebrauchshundverein
Hannover-Celle e.V.', seine erste jagdliche Prüfung erfolgreich
bestanden. Geführt wurde "Louis" von seinem Eigentümer Andreas
Filler. Waidmannsheil! Gut gemacht!

- 08./09. Oktober 2016:
Auszug der Phila-Kinder
An diesem Wochenende stand der Auszug der Welpen von Phila in die
neuen Familien an. Sieben Hundekinder haben sich auf die Reise gemacht
und ich wünsche den Kleinen mit ihren Familien nur das Beste für die
Zukunft! Eden & Ellis bleiben vorerst
bei mir bis ich mich entschieden habe, welche der beiden Hündinnen
letztendlich mein Rudel in Zukunft verstärken wird. :-)

Elton ex Chelsea mit den neuen Menschen an seiner
Seite.
- 02. Oktober 2016:
LCD-Wesenstest in Ansbach/Bayern
Barolo
ex Chelsea (Faithful Paw's Brave Heart x Phila ex Chelsea)
wurde am heutigen Tag dem LCD-Wesensrichter Bernhard Straub zur
Beurteilung vorgestellt und konnte diese Wesensüberprüfung
mit einer sehr schönen Beurteilung bestehen. Geführt
wurde Barolo von seiner Eigentümerin Dr. Eva-Maria
Rüth, der ich ganz herzlich für die Bereitschaft danke, ihren Hund zum
Wesenstest zu führen. Nur so ist es mir als Züchter möglich die
wichtigen Rückmeldungen über die von mir gezüchteten Hunde zu erhalten,
die ich benötige, um auch zukünftig wesensfeste Labradore züchten zu
können. Vielen Dank!
- 23./24. September 2016:
Jagdliches Prüfungswochenende für Briona
ex Chelsea
Briona ex Chelsea "Anna" (Faithful Paw's Brave
Heart x Phila ex Chelsea) bestand an diesem Wochenende im Alter von
gerade mal 18 Monaten zuerst die Brauchbarkeit für Jagdhunde
nach § 36 des LJagdG RLP und dann auch noch die
Bringleistungsprüfung für Retriever (BLP/R) des DRC mit
hervorragenden 336 Punkten als zweitbester Hund des Tages.
Prüfungsleiterin war Traute Burose, ausgebildet und geführt wurde "Anna"
von ihrem Eigentümer Stephan Hoffmann. Waidmannsheil zu dieser Leistung!
Ganz toll!

- 21. September 2016:
'Xanthos ex Chelsea' ist Dt. Champion VDH
Nun ist es offiziell: Mein Rüde
Xanthos ex Chelsea darf als erster
"ex Chelsea" den Titel
* * * D e u t s c h e r C h a m p i o n V D H
* * *

tragen. Ich habe mir das
Erreichen dieses Titels viel schwieriger vorgestellt, aber
Xanthos ist einfach toll und hat es mir wirklich sehr leicht
gemacht. Bei den an diesem Titel beteiligten Richtern Gisela Werner (D),
Agneta Cardell (GB), Vanessa Malkmus (D), Marilyn Prior (GB) und Josef
Fertig (D) möchte ich mich ganz herzlich für die tollen Bewertungen zu
meinem Rüden bedanken. Mal schauen, ob man uns auch zukünftig öfters auf
Shows antreffen wird. :-)
- 20. September 2016:
Der C-ll-Wurf hat Geburtstag
Vor genau einem Jahr brachte meine Hündin
Maxima ihren letzten Wurf nach
Mallorn's Silver Surfer, meinen zweiten
C-Wurf, per Kaiserschnitt auf die Welt. Ich
grüße alle
Eigentümer der C's ganz herzlich und wünsche
Cedric,
Chester,
Clinton "Pelle",
Carolina, Charlotte, Chelsea
& Colby einen schönen Herbsttag
mit vielen extra Leckerlis. Als Wichtigstes steht nun erst mal die
Röntgenuntersuchung der Hüft- und Ellenbogengelenke an, für die
ich allen ganz feste die Daumen drücke für gute Ergebnisse. Bei der
Auswahl eines für diese Untersuchung geeigneten Tierarztes bin ich sehr
gerne behilflich.
- 19. September 2016:
Perfektes Gangwerk
Nach langem Warten sind nun endlich auch die offiziellen
Röntgen-Auswertungen der Hüft- und Ellenbogengelenke von Barberi
ex Chelsea "Ziva" (Faithful Paw's Brave Heart x Phila ex
Chelsea) eingetroffen: Ich freue mich mit den Besitzern von Ziva über
HD: A 1 / A 1 und ED-Grad: 0/0.
Damit sind nun 9 von 10 Hunde meines
B-ll-Wurfes auf HD und ED untersucht und durch den vom LCD
bestellten Gutachter Dr. Tassani-Prell ausgewertet worden. Fehlt nur
noch Bruno ex Chelsea, der hoffentlich bald seinen
Wurfgeschwistern noch folgen wird.
- 11. September 2016:
LCD-Clubschau 2016
Heute sind wir bei hochsommerlichen Temperaturen mit
Xanthos und Cedric ex
Chelsea zur Clubschau des LCD nach Ronneburg
(Hessen) gereist. Zuerst trat Cedric in der mit 7
Hunden gut besetzten Jugendklasse an und wurde von dem
extra aus Mexiko eingeflogenen Richter Manuel Queijeiro mit V2 + Anw. Dt.Jgd.Ch.VDH-Res. + LCD-Jgd.CAC-Res.
platziert. Da der Besitzer des erstplatzierten Hundes kein LCD-Mitglied
war, rückte Cedric nach und ihm wurde zu unserer großen
Freude zusätzlich der Titel LCD-Clubjugendsieger 2016
zuerkannt!

Xanthos wurde in der
Gebrauchshundeklasse vorgestellt, konnte diese erneut mit V1
+ Anw. Dt. Ch. VDH
für sich entscheiden und wurde im Anschluß auch noch Best Working.
In 2016 wurde Xanthos insgesamt 6 x
ausgestellt und erhielt 6 x in Folge die Bewertung V 1 mit den
entsprechenden Anwartschaften. Ich bin sehr stolz darauf diesen tollen
Hund nicht nur selbst gezüchtet, sondern ihn auch nach wie vor bei mir
im Rudel zu haben.

Mit diesen Erfolgen von Cedric
und Xanthos bin ich mehr als zufrieden und bedanke mich
bei dem LCD-Team rund um Nicole Visel für den reibungslosen Ablauf an
diesem Tag und dem freundlichen Richter Manuel Queijeiro für die schönen
Bewertungen unserer Hunde.
- 03. September 2016:
CACIB Giessen
Heute waren die ex-Chelsea's in kleiner
Besetzung unterwegs und so wurde nur Cedric ex Chelsea
ausgestellt. Er erhielt von der Richterin Bolette Heering (DK) in der
Jugendklasse Rüden einen vorzüglichen Bericht und die
Bewertung
V2 Anw. Dt.Jgd.Ch.VDH-Res. + LCD-Jgd.CAC-Res.
- 30. August 2016:
Vestas erster Wurf ist geboren
Ein paar Tage früher als erwartet überraschte mich meine Hündin
Vesta ex Chelsea heute mit einem wunderschönen Wurf mit
10 gesunden gelben & schwarzen Welpen. Völlig entspannt
und souverän brachte Vesta 7 Rüden (6 x gelb, 1 x
schwarz) und 3 Hündinnen (1 x gelb, 2 x schwarz) zur Welt. Vater der
Welpen ist 'Creekwater Surf Scoter'. Alle weiteren Infos finden Sie
hier, Fotos
hier
- 29. August 2016:
Gelenk-Check
Nach 14 Wochen kam nun endlich das lang ersehnte Röntgengutachten
von Bardolino ex Chelsea "Rocky": Ich freue mich sehr
über
HD: B 1 / B 1 und ED-Grad: 0/0
- 28. August 2016:
DRC-Spezial-Rassehunde-Ausstellung in Lich
(Hessen)
Heute haben wir bei hochsommerlichen Temperaturen die SRA im
Schlosspark in Lich besucht. Xanthos
erhielt von der freundlichen Richterin Sigrid Holzer aus Österreich
folgende Beurteilung:
"3-jähriger Gelber von ausgezeichnetem
Typ. Sehr schöne Kopfproportionen; korrektes Gebiss; gut eingesetztes,
dunkles Auge; korrekte obere und untere Linie; ausreichende
Brustkörperwölbung; korrekte Winkelungen; raumgreifende, korrekte
Bewegung; liebes Wesen." Bewertung: V1 Anw. Dt. Ch. VDH + DRC-CAC
(Gebrauchshundeklasse - Rüden)
Cedric ex Chelsea (Mallorn's Silver Surfer x
Maxima ex Chelsea): "11 Monate alter Schwarzer; guter Typ;
ansprechender Kopf + sanfter Ausdruck; gute obere und untere Linie; gute
Brustkörperwölbung; kurzer, kompakter Körper; Winkelungen in Ordnung;
raumgreifende Bewegung; Gelenke müssen sich noch festigen; angenehmes
Wesen." Bewertung:
V1 Anw. Dt.Jgd.Ch.VDH + DRC-Jgd.CAC (Jugendklasse - Rüden)
- 16. August 2016:
Neue Welpenbilder online
Neue Fotos von meinem E-ll-Wurf finden Sie
hier
Viel Spaß beim Anschauen!
- 14. August 2016:
DRC-Workingtest "Mainschleife"
Bei ihrem ersten offiziellen Workingtest-A
erreichte die Hündin Xyris ex Chelsea "Mia" (Schwester
von meinem Rüden Xanthos), geführt
von ihrer Eigentümerin Stefanie Damrau, auf Anhieb 79 (von 100) Punkte.
Herzlichen Glückwunsch zu dem schönen Erfolg. :-)
- 06. August 2016:
CACIB Ludwigshafen 2016
Heute besuchten wir mit Cedric und
Xanthos die CACIB in
Ludwigshafen. Beide konnten zu unserer großen Freude unter
Richter Josef Fertig ihre Klasse gewinnen und wurden wie folgt bewertet:
Cedric ex Chelsea (Mallorn's Silver Surfer x
Maxima ex Chelsea) "55 cm; schwarz; glänzend; mittelgroßer Rüde mit
viel Substanz und guter Knochenstärke; sehr gutes
Höhen-Längen-Verhältnis; hochtypischer Kopf mit korrektem Ausdruck;
dunkelbraune Augen, korrekte Behänge; sehr guter Hals, kräftiger
Widerrist; fester Rücken; sehr gut gelagerte Kruppe; Rute nach Standard;
Brust mit sehr guter Tiefe und Breite; vorzügliche Vorbrust; erstklassig
gewinkelt; freundliches, angenehmes Wesen; das Haarkleid sollte mehr
Unterwolle haben; Gangwerk sehr gut; vorbildlich präsentiert." Bewertung:
V1 Anw. Dt.Jgd.Ch.VDH + LCD-Jgd.CAC *Rheinland-Pfalz-Jugendsieger 2016*

Xanthos ex Chelsea
(Creekwater Surf Scoter x Phila ex Chelsea) "57
cm gemessen; gelber Rüde; substanzvoll mit kräftigen Knochen;
rassetypischer Kopf; tiefdunkle Augen; korrekte Behänge; gute Vorbrust;
sehr gute Tiefe; Vor- und Hinterhand sehr gut gewinkelt; sehr gute
Hals-Rücken-Linie; im Lendenbereich ein wenig gewölbt; erstklassige
Otterrute; pigmentstarker Hund mit dunklem gelb; zeigt sich gut im Ring;
einwandfreies Wesen; Haarkleid hart, üppig mit viel Unterwolle; Gangwerk
einwandfrei." Bewertung: V1 Anw. Dt. Ch. VDH +
Best Working
(Gebrauchshundeklasse)

Xanthos konnte
mit diesem Erfolg zum 5. Mal in Folge seine Klasse gewinnen und hat nun
alle erforderlichen Anwartschaften zusammen, so dass wir für ihn den
Titel Deutscher Champion VDH beantragen können. :-)
- 04. August 2016:
Philas Welpen sind geboren
Instinktsicher hat meine Hündin
Phila heute 9 gesunde Welpen nach Rocheby
Frosted Jack auf die Welt gebracht. Ich freue mich sehr über
5 Rüden und 4 Hündinnen und hoffe nun
auf eine problemlose Aufzucht der Kleinen.

- 23./24. Juli 2016:
Besuch aus der Ferne für Xanthos
Nach knapp 2000 km Anreise hat
Xanthos gestern und heute die schöne Hündin Fiin Kultu
Kimallus gedeckt. Ich danke Outi Lammila vom finnischen
Kennel Fiin für ihr Vertrauen in meinen Rüden und so hoffen wir
nun nach zwei perfekten Deckakten auf Xanthos' erste
Welpen in Finnland. :-)

- 23. Juli 2016:
BHP (DVG) in Wapelfeld/Schleswig-Holstein
Burano ex Cherlsea "Fiete" (Faithful Paw's Brave
Heart x Phila ex Chelsea) hat heute die
Begleithundeprüfung (DVG) unter Richter Rudolf Jürgens
bestanden und damit den ersten Schritt zum geprüften
Rettungshund souverän gemeistert. Geführt wurde "Fiete" von seiner
Eigentümerin Kirsten Siedenburg. Meine herzlichen Glückwünsche in den
hohen Norden an das erfolgreiche Team :-)
- 27. Juni 2016:
Gesundes Gangwerk Auch von
Bannia und Bidoni sind nun die
Röntgenaufnahmen durch den Gutachter des LCD offiziell ausgewertet. Ich
freue mich sehr über:
Bannia ex Chelsea:
HD: A 2 / A 2 und ED-Grad: 0/0
& Bidoni ex Chelsea:
HD: A 2 / A 1 und ED-Grad: 0/0
:-)
Beide stammen aus der Verpaarung 'Faithful Paw's Brave Heart' x
'Phila ex Chelsea'
Damit sind nun die Gelenke von 7
(von 10) Hunden meines B-(ll)-Wurfs offiziell begutachtet worden. Auch
Bardolino und Barberi wurden bereits
geröntgt, die Auswertung durch den Gutachter wird aber sicher noch ein
paar Wochen auf sich warten lassen...
- 13. Juni 2016:
Röntgen-Halbzeit Lange mussten
wir darauf warten, doch nun liegt auch von dem 5. geröntgten Hund aus
meinem
B-(ll)-Wurf (Faithful Paw's Brave Heart
x Phila ex Chelsea) die offizielle Röntgenauswertung durch den vom
LCD bestellten Gutachter vor: Barolo ex Chelsea:
HD: B 1 / B 1 und ED-Grad: 0/0
Barolo wird für das kleine Mädchen der Familie zum
Diabetiker-Warnhund ausgebildet und hat damit in Zukunft einen sehr
verantwortungvollen Job.
- 07. Juni 2016:
Neue Wurfplanung online
Meine Hündin Phila ex Chelsea
wurde heute in den Niederlanden von dem schönen Rüden Rocheby
Frosted Jack gedeckt. Wenn alles planmäßig verläuft, erwarte
ich schöne und arbeitsfreudige gelbe Welpen um den 04. August
2016.
- 29. Mai 2016:
DRC-Clubschau 2016 in
Oberhausen-Rheinhausen
Phila ex Chelsea und ihr Sohn
Xanthos ex Chelsea konnten, wie
schon zwei Wochen zuvor in Saarbrücken, die Gebrauchshundeklasse
mit V 1 + Anw. Dt. Ch. VDH + DRC-CAC für sich
entscheiden. Richterin war Mrs. Marilyn Prior (GB).

Xanthos:
"Beautiful head and expression; excellent in neck and shoulder; deep
through the brisket; correct ribcage; correct doublecoat; movement for
square. Really showed his kind temperament."

Phila: "Nice
expression; nicely balanced throughout; in good coat; excellent ribcage"
- 19. Mai 2016:
Röntgenauswertung B-Wurf die 3. + 4.
Von Burano ex Chelsea "Fiete" liegt seit heute
die offizielle Beurteilung der Hüft- und Ellenbogengelenke durch den
Gutachter des LCD vor:
HD: B 1 / A 2 und ED-Grad: 0/0
Damit steht Fietes weiterer
Ausbildung zum Rettungshund in der BRH-Staffel Holstein
e.V. nichts im Wege. :-)
Auch von Briona ex
Chelsea "Anna" erreichte uns heute das Ergebnis der offiziellen
Auswertung der Röntgenbilder: HD: B 2 / C 1 und
ED-Grad: 0/0. "Anna" wird zum Jagdgebrauchshund
ausgebildet und anschließend im eigenen Revier ihres Besitzers
in der Pfalz eingesetzt.
- 15. Mai 2016:
CACIB Saarbrücken
Heute sind wir mit Cedric, Xanthos
und Phila nach Saarbrücken gefahren, um die "ex
Chelsea's auf der dortigen Ausstellung der Richterin Vanessa Malkmus (D)
vorzustellen. Alle drei wurden mit der für ihre Klasse höchsten
Formwertnote bewertet und mit folgenden Beurteilungen auf den ersten
Platz gesetzt:

Cedric ex Chelsea (Mallorn's Silver Surfer x
Maxima ex Chelsea): 7,5 Monate junger Rüde, der sich sehr
vielversprechend im Ring zeigt. Klassisch geschnittener Kopf mit
vorzüglicher Proportion; fließende Hals-Nacken-Rückenlinie; bereits
vorzügliche Vorbrust + Brusttiefe; korrekte Hinterhandwinkelung;
momentan Rutenansatz ein Tick tief; korrektes, labradortypisches Fell;
bewegt sich fließend mit schönem Schwung und präsentiert sich wie ein
kleiner "Show-Man" Bewertung: vielversprechend 1 (Jüngstenklasse - Rüden)
Xanthos ex Chelsea
(Creekwater Surf Scoter x Phila ex Chelsea)
3-jähriger Rüde von vorzüglichem Typ. Korrekt geschnittener Kopf mit
korrekter Fanglänge; korrekte Hals-Nacken-Rückenlinie mit vorzüglichem
Rutenansatz; vorzügliche Vor- und Hinterhandwinkelung; korrekte
Brusttiefe. Ein insgesamt typvoller Rüde, der sich fließend bewegt. Bewertung: V1 Anw. Dt. Ch. VDH +
Res.-LCD-CAC + Res. CACIB
(Gebrauchshundeklasse)
Phila ex Chelsea
(Devonshires Stash x Diva ex Chelsea) 6,5 Jahre
alte Hündin, die sich absolut labradortypisch im Ring präsentiert.
Korrekt geschnittener Kopf mit typvollem Ausdruck. Noch ausreichend
Halslänge; super Brusttiefe; vorzügliche Vor- und Hinterhandwinkelung;
korrektes Haarkleid. Bewegt sich fließend mit viel Vortritt. Bewertung:
V1 Anw. Dt. Ch. VDH (Gebrauchshundeklasse)
Im Anschluß
trat Phila gegen ihren Sohn Xanthos um
die Auszeichnung *Bester Gebrauchshund* an: Phila war
hochmotiviert (ich sag nur "wedel-wedel" ;-) und konnte sich gegen
Xanthos durchsetzen.
Aus der Jüngstenklasse trat ebenfalls
der erstplatzierte Rüde gegen die erstplatzierte Hündin an: Hier lag die
Hündin Fernajacks Euphoria "Rose" in der Gunst der
Richterin einen Tick vor Cedric, aber Rose ist eine
Tochter von Xanthos und so bleibt die Auszeichnung *Best Puppy*
doch irgendwie in der Familie. :-)
Ich freue mich sehr über die schönen
Bewertungen und bedanke mich ganz herzlich bei Vanessa Malkmus als
Richterin und dem Oranisationsteam im Hintergrund!
- 09. Mai 2016:
Was lange währt wird endlich gut...
Sieben Wochen mussten wir auf die Röntgengutachten warten, doch
nun liegen die ersten Untersuchungsergebnisse von Hunden aus meinem
B-(ll)-Wurf (Faithful Paw's Brave Heart
x Phila ex Chelsea) vor: Beverino ex Chelsea
"Lino":
HD: A 1 / A 1 und ED-Grad: 0/0
Bari ex Chelsea "Malu":
HD: A 2 / B 1 und ED-Grad: 0/0
(Beide geröntgt in der Vet.-Uniklinik in Giessen und
ausgewertet durch Dr. Tassani-Prell, Hofheim)
Ich freue mich mit
den Eigentümern von Lino und Malu und hoffe auf ähnlich gute
Untersuchungsergebnisse bei den 8 Wurfgeschwistern!
- 24. April 2016:
LCD-Spezial-Rassehunde-Ausstellung in Bad
Soden
Nachdem Cedric ex Chelsea gestern schon in der Jüngstenklasse
in Friedberg mit vv1 bewertet wurde, konnte er auch heute in Bad Soden
in der Jüngstenklasse überzeugen und wurde von Richter
Néstor Ruiz-Rivas (E) mit vv1 nicht nur auf den ersten
Platz gesetzt, sondern wurde im Anschluß auch noch *Best Puppy*.
Außerdem hat Cedrics Eigentümerin dem Höchster
Kreisblatt noch ein schönes Interview gegeben, welches man
hier nachlesen kann. :-)

Foto by Mo Weigel
- 23. April 2016:
DRC-Spezial-Rassehunde-Ausstellung in
Friedberg (Hessen) Heute habe ich mit Cedric,
Xanthos & Phila drei "ex Chelsea's"
auf der SRA des DRC in Friedberg vorgestellt. Unter der sehr
freundlichen Richterin Agneta Cardell (GB) erhielten sie folgende
Bewertungen: Cedric ex Chelsea
(das erste Mal im Showring): "Lovely 7 month old puppy
with lots of quality & type. Lovely head and expression. Excellent
topline, excellent front, good hindquarters. He is a lovely puppy, still
a little bit soft in his coat. Moves well. Good luck in the future."
Bewertung: very promissing 1
(Jüngstenklasse - Rüden)
Xanthos ex Chelsea:
"Strong dog with lovely head and expression. Excellent pigmentation;
well angulated front and rear; excellent body and ribcage; excellent
colour + coat "hanging loose". Moves well and well presented.

Bewertung: V1 Anw. Dt. Ch. VDH + DRC-CAC
(Gebrauchshundeklasse - Rüden)
Phila ex Chelsea:
"Powerful bitch with a strong but still feminine head. Very rounded
ribcage; short coupled. A little bit heavy over her shoulders. Nicely
angulated hind-quarters. Excellent coat; good mover.
Bewertung: Vorzüglich 3 (Gebrauchshundeklasse
- Hündinnen)
- 20. April 2016:
Vorprüfung zum Rettungshund des BRH
Nachdem Zephyrus ex Chelsea "Jakob" (Cosadolce Signed
And Sealed x Quieta ex Chelsea) am 09. April 2016 bereits
die Begleithundeprüfung des BRH mit einer sehr guten
Beurteilung durch Leistungsrichter Dirk Schuler bestanden
hat, folgte am 17. April die Gerätevorprüfung und am
20. April die Flächenprüfung. Damit hat "Jakob" die
wichtigsten Hürden auf dem Weg zum einsatzbereiten Rettungshund
souverän gemeistert. Ich gratuliere dem Team Magret Koch & "Jakob" von
der BRH-Rettungshundestaffel Saar ganz herzlich zu diesem Erfolg!
- 10. April 2016:
Welpen nach 'Xanthos ex Chelsea'
In der LCD-Zuchtstätte "vom Sandköppchen" wurden heute 5
Welpen (3/2) nach meinem
Xanthos und der Hündin 'Juwel-Mudbud vom Sandköppchen' geboren. Ich
gratuliere der Züchterin Sabine Kalb zu diesem schönen Wurf und wünsche
der Mutterhündin und ihren Welpen alles Gute für die Zukunft!
- 10. April 2016:
LCD-Wesenstest in Kiel Nachdem
gestern schon 6 Wurfgeschwister erfolgreich an einem
LCD-Wesenstest teilgenommen haben, wurde heute Burano
ex Chelsea "Fiete" (Faithful Paw's Brave Heart x Phila ex
Chelsea) der Wesensrichterin Simone Metz zu Beurteilung vorgestellt.
Auch er konnte diese Wesensüberprüfung mit einer sehr schönen
Beurteilung bestehen.
- 09. April 2016:
LCD-Wesenstest in 55425 Waldalgesheim
Alle neun zum Wesenstest des 'Labrador Club
Deutschland' angetretenen Hunde aus meiner Zucht konnten die Prüfung
heute mit sehr guten Beurteilungen bestehen. Aus dem
B-(ll)-Wurf
(Faithful Paw's Brave Heart x Phila ex Chelsea):
Bannia ex Chelsea Bari ex Chelsea "Malu" Beverino
ex Chelsea "Lino" Briona ex Chelsea "Anna"
Bidoni ex Chelsea & Barberi ex Chelsea
"Ziva" Aus dem
A-(ll)-Wurf
(Paulus ex Duria x Maxima ex Chelsea): Aversa ex
Chelsea "Selma" und aus dem
Y-Wurf
(Dancing Dreamweaver v/d Weeward x Maxima ex Chelsea):
Yellow ex Chelsea & Ypsilon ex Chelsea
"Lasco" Bei angenehmen Temperaturen war es ein sehr schöner
und interessanter Tag für mich und ich denke, dass auch die
Hundebesitzer dank der lehrreichen Tipps der Wesensrichterin Claudia
Pelzer noch das ein oder andere über den eigenen Hund lernen konnten.
Ich danke der LCD-Wesensrichterin Claudia Pelzer und allen
ex-Chelsea-Besitzern für ihr Kommen und bedanke mich auch bei Familie
Lipps ganz herzlich, die uns zum wiederholten Mal ihr tolles Grundstück
für diesen Tag zur Verfügung gestellt hat!
- 01. April 2016:
LCD-Clubzeitung Nr. 134 - April/Mai 2016
Mit Vitalis ex Chelsea "Pablo" (Devonshires Not
Your Average Joe x Phila ex Chelsea) schmückt zum ersten Mal
ein "ex Chelsea" die Titelseite der Clubzeitung
des LCD e.V.

- 30. März 2016:
C-(ll)-Wurf-Update
Der C-(ll)-Wurf ist jetzt gute 6 Monate alt und so war es an der
Zeit, dass die 3 Geschwister Clinton, Cedric
und Colby das erste Mal ans Wasser durften. Alle 3
haben mit Begeisterung das Wasser angenommen und erste Dummys aus dem
See apportiert.

Clinton ex Chelsea
- 29. März 2016:
D-(ll)-Wurf-Update
Mittlerweile sind 6 der 7 Xanthos-Quieta-Welpen
in ihr neues Zuhause umgezogen und ich freue mich über die vielen
positiven Rückmeldungen. Downey ex Chelsea darf als
Hoffnung für die Zukunft bei mir bleiben und ich bin sehr gespannt, wie
sie sich weiter entwickeln wird...
Die
Fotoseite für den D-(ll)-Wurf wird
weiterhin ab und an mit neuen Bildern aktualisiert.

- 17. März 2016:
Der B-ll-Wurf wird ein Jahr alt
Heute vor genau einem Jahr brachte meine Hündin
Phila ihren Wurf nach
Faithful Paw's Brave Heart, meinen zweiten
B-Wurf, in einer komplikationslosen Geburt auf die Welt. Ich
grüße alle
Eigentümer der B's ganz herzlich und wünsche
Bardolino, Barolo, Beverino "Lino",
Bruno, Burano "Fiete", Bannia,
Barberi "Ziva", Bari
"Malu", Bidoni und Briona
"Anna" einen schönen Frühlingstag
mit vielen extra Leckerlis. Als Wichtigstes steht nun erst mal die
Röntgenuntersuchung der Hüft- und Ellenbogengelenke an, für die
ich allen ganz feste die Daumen drücke für gute Ergebnisse. Bei der
Auswahl eines für diese Untersuchung geeigneten Tierarztes bin ich sehr
gerne behilflich. Einen Großteil der B's sehe ich dann in Kürze zum
Wesenstest wieder und freue mich schon darauf. :-)
- 10. März 2016:
Xanthos wurde wieder Vater
In der LCD-Zuchtstätte 'Game And Work' von Heike Lober wurden
zwei gesunde Welpen aus 'Rebecca aus Lühlsbusch', genannt Rina, nach
meinem Rüden Xanthos geboren.
Leider hat 'Rina' fünf der ursprünglich sieben beim
Trächtigkeitsultraschall gesehenen Fruchtanlagen resorbiert. Umso mehr
freue ich mich aber jetzt mit der Züchterin über einen gelben Rüden
und eine gelbe Hündin und wünsche den beiden Kleinen
ein gesundes Heranwachsen sowie ein erfülltes Retrieverleben und der
Mutterhündin, dass sie sich schnell von den Strapazen der Geburt erholt!
- 03. März 2016:
D-(ll)-Wurf-Update
Quietas Welpen entwickeln sich sehr, sehr schön.
Bislang zeigen sie keinerlei zuchtausschließende Fehler, das heißt die
Gebisse sind bei allen Welpen korrekte Scherengebisse und bei den beiden
Rüden sind beide Hoden bereits komplett abgestiegen. Bei gutem Wetter
machen die Welpen erste Ausflüge in den Garten und sammeln neue
Umwelteindrücke.
- 09. Februar 2016:
LCD-Formwertbeurteilung in Vettweiß
Xeno ex Chelsea (Creekwater Surf Scoter x
Phila ex Chelsea) wurde heute von
Formwertrichterin Hassi Assenmacher-Feyel mit der höchsten Formwertnote
vorzüglich bewertet und erfüllt damit nun alle
Voraussetzungen für die Zulassung zur Zucht.

- 27. Januar 2016:
Röntgenauswertung
Im Alter von 6 Monaten zog Aurelio ex Chelsea
"Louis" (Paulus ex Duria x Maxima ex Chelsea) vergangenes Jahr als
letzter seines Wurfes in sein neues Zuhause und wohnt seit dem in
Niedersachsen. Nachdem Aurelio im Oktober 2015 seinen
Wesenstest erfolgreich absolviert und sein Besitzer den Jagdschein
bestanden hat, trudelten heute die Ergebnisse der Röntgenuntersuchung
ein. Ich freue mich sehr mit Aurelios Besitzern über
HD: A 2 / A 2 und ED-Grad: 0/0
Damit steht seiner weiteren Ausbildung zum Jagdgebrauchshund
nichts mehr im Weg! :-)

Aurelio vor genau
einem Jahr am 27.01.2015
- 12. Januar 2016:
Die Xanthos x Quieta-Welpen sind geboren
Meine Hündin Quieta brachte
heute meinen zweiten D-Wurf auf die Welt. Ich freue
mich über 2 schwarzen Rüden, 2 schwarzen
Hündinnen und 3 gelben Hündinnen, die Gott sei
Dank trotz einer langen und anstrengenden Geburt alle auf natürlichem
Wege das Licht der Welt erblicken konnten. Quieta und
ihre Welpen sind wohlauf und nun bin ich sehr gespannt auf die ersten
Xanthos-Kinder in meinem Kennel.
Seine schöne dunkel-gelbe Fellfarbe hat er auf jeden Fall schon mal an
seine 3 Töchter weitergegeben. :-)

- 01. Januar 2016:
Rückblick 2015 & Ausblick 2016
Insgesamt gesehen war das Jahr 2015 ein gutes Jahr für uns. Meine
Phila hat im März meinen (2.)
B-Wurf mit 10 Welpen komplikationslos auf
die Welt gebracht. Die jungen Hunde dieses Wurfes werden wieder in den
unterschiedlichsten Bereichen trainiert (Rettungshunde, Jagdhunde,
Dummysport) und dieses Mal wird ein Rüde auch zum Diabetiker-Warnhund
für ein junges Mädchen ausgebildet werden. Auf die weitere Entwicklung
der aktuell 9,5 Monate alten B's bin ich weiterhin sehr
gespannt. Im September wurde dann der zweite Wurf in 2015 geboren:
Maxima brachte per Kaiserschnitt (der
Erste in meiner Zucht nach gut 7 Jahren und 16 Würfen)
9 Welpen nach 'Mallorn's Silver Surfer' auf die Welt, von denen
es zwei jedoch leider nicht geschafft haben und kurz nach der Geburt
verstarben. So verblieben 3 Rüden und 4 Hündinnen. Zwei Hündinnen
werden erst mal bei mir bleiben in der Hoffnung, dass ich mit ihnen
später die Zuchtlinie meiner Maxima weiterführen kann.
Erfreuliche Nachrichten erhielt ich in
2015 vor allem von meinen Z-Wurf-Hunden, also
den ersten Nachkommen meiner Hündin
Quieta, denn alle 8 Hunde dieses Wurfes liegen mit den
gutachterlichen Auswertungen der geröntgten Hüft- und Ellenbogengelenke
im zuchttauglichen Bereich. Sieben der acht Hunde dieses Wurfes haben
auch bereits den Wesenstest mit sehr schönen Beurteilungen bestanden.
Ich denke, mit diesen Ergebnissen kann man als Züchter sehr zufrieden
sein. Der im vergangenen September ein Jahr alt gewordene (2.) A-Wurf
ist größtenteils auch schon geröntgt, allerdings fehlen hier noch ein
paar Auswertungen durch den Gutachter.
Auch auf Prüfungen
waren in 2015 einige ex Chelsea's erfolgreich vertreten. Hervorzuheben
ist hier wohl der X-Wurf: Mein
Xanthos und sein Wurfbruder
Xeno haben die jagdliche Jugendprüfung (JP/R) des DRC
erfolgreich bestanden. Stephan war mit Xeno darüber
hinaus auch auf den Langschleppen (800 m, 1200 m & 1500 m) erfolgreich
und der Rüde wurde zur 'Jagdlichen Brauchbarkeitsprüfung mit Schweiss'
und der Vereinsschweissprüfung des LCD geführt. Xanta
und Xyris bestanden beide die Arbeitsprüfung mit Dummys
(APD/R-A) des DRC.
Aus dem S-Wurf
habe ich mich sehr über die bestandene VPS von
Sirius und die erfolgreich
absolvierte jagdliche Brauchbarkeitsprüfung von
Silva gefreut.
Hier geht mein Dank an KD und Dietmar dafür, dass sie auch mit ihren gut
4 Jahre alten Hunden noch so toll arbeiten.
Apropos
Sirius:
Nachdem alle Hunde aus Sirius' erstem Wurf auf HD und
ED untersucht wurden, habe ich die Ergebnisse alle auf seiner
Seite veröffentlicht. Schade das eine
einseitige mittlere HD dabei ist, aber umso mehr freuen wir uns über 6 x
Hüftgelenke im zuchttauglichen Bereich und noch dazu, und das ist noch
viel wichtiger, alle 7 Nachkommen aus dieser Verpaarung mit unserem
Sirius sind ED-frei! Zusätzlich wurden bei 5 von 7
Hunden aus dem Wurf auch die Augen auf erbliche Erkrankungen untersucht
und auch hier sind alle Hunde komplett gesund. Den schweizer Wesenstest
absolvierten zwei Hunde mit 97 bzw. 99 von 99 Punkten.
Ich denke, wir können mit den ersten Nachzuchtergebnissen von unserem
Sirius insgesamt wirklich sehr zufrieden sein. :-) Ein
herzliches Dankeschön in die Schweiz an die Züchterin Erika Geiser für
100% HD/ED-geröntgte Hunde dieses Wurfes und natürlich auch ein großes
Danke an die Eigentümer der 7 Sirius-Kinder und weiterhin viel Spaß und
Erfolg mit den tollen Hunden!
Auch von meinem
Xanthos gibt es erste
Nachkommen und ich danke den Züchtern für ihr Vertrauen in
meinen Rüden. Ich bin sehr gespannt auf die weitere Entwicklung der
Xanthos-Kinder und würde mich sehr über "Updates" zu
den jungen Hunden freuen.
Nach vielen Jahren habe ich erstmals
in 2015 auch wieder ein paar Ausstellungen besucht. Mit
Phila und ihrem Sohn
Xanthos habe ich zwei Hunde die auf
jeden Fall Showpotenzial besitzen und dies spiegelte sich dann auch in
den Bewertungen der Richter wieder. Sowohl Phila als
auch Xanthos haben ihre erste Anwartschaft auf
den Dt. Champion VDH erhalten. Nun heißt es dran bleiben. Mal
sehen wie weit wir in 2016 kommen. Ausstellungen werden aber definitiv
auch weiterhin nur eine untergeordnete Rolle bei meinen Aktivitäten mit
meinen Hunden spielen.
Verabschieden mussten wir uns in 2015
von Ursa aus meinem U-Wurf.
Laut Angaben der Besitzer starb sie an einer Vergiftung. Da Ursa
jedoch nicht abschließend untersucht wurde, ist leider alles nur eine
ungesicherte Vermutung.
Ursa
durfte nur 3 Jahre und 4 Monate alt werden. Ruhe in Frieden, mein
Mädchen.
Auf das gerade begonnene Jahr 2016 bin
ich sehr gespannt. Richtig los geht es mit
Quietas Wurf, den ich Mitte Januar erwarte.
Erstmals ist mit meinem selbstgezüchteten Rüden
Xanthos ein ex Chelsea
der Vater meiner Welpen. Das macht diese Verpaarung für mich nochmal
spannender und interessanter und ich freue mich schon sehr sie
aufwachsen zu sehen. Für das Röntgen der B (ll)-Wurf-Hunde im März und
der C-(ll)-Wurf-Hunde im September drücke ich allen feste die Daumen für
gute Ergebnisse und sehe einige bestimmt schon am 09. April zum
geplanten Wesenstest wieder. Nähere Einzelheiten zum Wesenstest gebe ich
in Kürze bekannt.
Bis dahin liebe Grüße an alle Freunde
der "ex Chelsea's"
Sylvia & Rudel im Januar 2016
- 25. Dezember 2015:
Update zu meinen Junghunden aus dem
B-ll-Wurf
Nachdem die gelbe Hündin Barberi vor einigen
Wochen, ebenso wie ihr Bruder Beverino, in ihr neues
Zuhause umgezogen ist, hat nun auch Bidoni ihren Platz
gefunden. :-)
- 14. Dezember 2015:
Gesunde Gelenke
Ich freue mich sehr über die ersten offiziellen
HD/ED-Röntgenergebnisse von Hunden aus meinem 2.
A-Wurf:
Aventino ex Chelsea:
HD: A 1 / A 2 und ED-Grad: 0/0
Arona ex
Chelsea:
HD: A 1 / A 1 und ED-Grad: 0/0
Aversa ex Chelsea: HD: B 1 / A 2 und ED-Grad: 0/0
Alle 3 Hunde sind zusätzlich vollzahnig und haben ein korrektes
Scherengebiss.
Weitere Hunde aus diesem Wurf sind
bereits geröntgt, auf die offizielle Auswertung müssen wir jedoch noch
etwas warten.
- 14. November 2015:
Neue Wurfplanung
Mein Rüde Xanthos hat
gestern und heute instinktsicher meine Hündin
Quieta
gedeckt. Wenn alles planmäßig verläuft, erwarte ich gelbe und schwarze
Welpen zu Mitte Januar 2016.
Maximas Welpen
sind nun 8 Wochen alt und werden in Kürze geimpft und
gechippt, und wenn dann die Wurfabnahme durch einen Zuchtwart des LCD
stattgefunden hat, dürfen die ersten Welpen in ihr neues Zuhause
umziehen.
Vergangenen Sonntag, mit einem Alter
der Welpen von 7 Wochen, war es Zeit für einen Welpentest,
um jeden einzelnen Welpen entsprechend seiner individuellen
Charaktereigenschaften und Wesens-/Arbeitsanlagen besser seinen
zukünftigen Menschen zuordnen zu können. Hierbei wurde jeder einzelne
Welpe getrennt von seinen Wurfgeschwistern mit vielen verschiedenen
optischen und akustischen Reizen konfrontiert und beobachtet, wie er
sich dabei verhielt. Ausnahmslos alle Welpen zeigen sich zum jetzigen
Zeitpunkt frei, fröhlich, neugierig und somit absolut labradortypisch.
Für die Zukunft kommt es jetzt darauf an, was die neuen EX
CHELSEA-Besitzer aus ihren Rohdiamanten machen. Das Fundament, auf das
man aufbauen kann, ist auf jeden Fall vorhanden. Eine Hündin aus diesem
Wurf wird zukünftig auch mein Rudel als Nachwuchshoffnung verstärken.
:-)
- 14. November 2015:
IRAS Karlsruhe 2015
Heute habe ich mit meiner Hündin
Phila und meinem Rüden Xanthos
mal wieder eine Ausstellung besucht. Auf der Internationalen
Rassehundeausstellung in Karlsruhe konnte Xanthos die
Gebrauchshundeklasse mit V1 gewinnen,
Phila erreichte in einer gut besetzten
Gebrauchshundeklasse ein V4. Richter waren
Robin Pollock (Rüden) und Agnes Pollock (Hündinnen) aus England.
Richterbericht Xanthos:
"Balanced head; good front & shoulders; well angulated rear; good
level topline, strong bones, deep through the body. Moved very well."
(Robin Pollock, UK)
Richterbericht Phila:
"Lovely balanced throughout. Good head with pleasing expression.
Well placed shoulders, good depth and forechest. Good bones & feet.
Excellent topline & tailset. Good quarters. Moved okay." (Agnes
Pollock)
- 07. November 2015:
Arbeitsprüfung mit Dummies für Retriever
(APD/R)
Die Hündin Xyris ex Chelsea "Mia" (Creekwater
Surf Scoter x Phila ex Chelsea) besteht in St. Leon-Rot
die Arbeitsprüfung mit Dummies in der Anfängerklasse - APD/R-A
des DRC mit 69 von 80 Punkten und dem Prädikat *sehr
gut*. Geführt wurde Mia von ihrer Eigentümerin Stefanie Damrau.
Ganz herzlichen Glückwunsch zu diesem schönen Erfolg!
- 04. November 2015:
DRC-Formwertbeurteilung in Essen
Bei der heutigen Formwertbeurteilung des DRC
erhielt die Hündin Xanta ex Chelsea "Nuria"(Creekwater
Surf Scoter x Phila ex Chelsea) von der Richterin Hassi
Assenmacher-Feyel die höchste Formwertnote *vorzüglich*.
Ich freue mich mit Nurias Eigentümerin Noel Joppien über den schönen
Bericht:
"Ideale Größe, vorzüglicher Kopf,
sehr feminin, viel Ausstrahlung, dunkle Augen, vorzüglich getragener
Behang, vorzügliches Gebäude, korrekt in allen Teilen, raumgreifende
Bewegung."
- 31. Oktober 2015:
LCD-Wesenstest in Edemissen
(Niedersachsen)
Heute wurde Aurelio ex Chelsea "Louis"
(Paulus ex Duria x Maxima ex Chelsea)
der Wesensrichterin Simone Metz zur Beurteilung vorgestellt und konnte
die Wesensüberprüfung mit einer sehr schönen
Beurteilung bestehen. Geführt wurde "Louis" von seinem
Eigentümer Andreas Filler.
"Der 13 Monate alte arbeitsfreudige Rüde hat
eine gute Bindung zu seinem Führer. Die Arbeitsanlagen sind ausgeprägt
bis sehr ausgeprägt. Der Rüde hat ein mittleres Temperament und zeigt
sich führig. Bei Fremden verhält er sich freundlich und sicher. In der
Kreisprobe ist er etwas vorsichtig. Selbständig, interessiert und sicher
untersucht er die Umweltreize des Parcours. Der Rüde ist sicher beim
Schuß und hat gute Wesenseigenschaften."
- 29. Oktober 2015:
Auf HD & ED untersucht und wesensgetestet
Der komplette Z-Wurf (Cosadolce Signed
And Sealed x Quieta ex Chelsea) ist mittlerweile auf HD und ED
untersucht und durch den vom LCD bestellten Gutachter ausgewertet:
Zelos ex Chelsea:
HD: B 2 / C 1 und ED-Grad: 0/0
Zenith ex Chelsea: HD: A 2 / A 2 und
ED-Grad: 0/0
Zeno ex Chelsea: HD: A 2 / A 2 und
ED-Grad: 0/0
Zephyrus ex Chelsea: HD: A 1 / A 1 und ED-Grad:
0/0
Zeus ex Chelsea: HD: A 2 / B 2 und
ED-Grad: 0/0
Zion ex Chelsea: HD: A 2 / A 2 und
ED-Grad: l/0
Zewana ex Chelsea: HD: A 2 / A 2 und
ED-Grad: 0/0
Zinnia ex Chelsea: HD: A 1 / A 1 und
ED-Grad: 0/0
Außerdem wurden bereits 7 der 8 Hunde
aus diesem Wurf erfolgreich zum LCD- bzw. DRC-Wesenstest
geführt. Ich danke meinen Welpenkäufern, dass sie alle ihre Hunde haben
untersuchen lassen. Neben der Gewissheit, den aktuellen
Gesundheitszustand bezüglich der Gelenke des eigenen Hundes zu kennen,
haben sie damit auch aktiv meine Zucht möglichst gesunder, wesensfester
Labrador-Retriever unterstützt. Dafür danke ich Allen ganz herzlich!
- 20. Oktober 2015:
Foto-Shooting
Auf der Fotoseite der
C's habe ich ein paar neue Bilder
veröffentlicht :-)
- 17. Oktober 2015:
DRC-Wesenstest der BZG Berlin-Brandenburg
Die Hündin Zinnia ex Chelsea
(Cosadolce Signed And Sealed x Quieta ex Chelsea) besteht
heute den Wesenstest des DRC mit einer sehr schönen
Beurteilung durch den Richter Klaus Karrenberg. Geführt wurde
Zinnia von ihrer Eigentümerin Helga Eisenhardt. :-)
- 04. Oktober 2015:
LCD-Wesenstest in 55425 Waldalgesheim
Heute fand in 55425 Waldalgesheim ein LCD-Wesenstest
statt, bei dem 9 Hunde aus meiner Zucht der erfahrenen Wesensrichterin
Claudia Pelzer zur Beurteilung vorgestellt wurden.
Aus dem Z-Wurf
(Cosadolce Signed And Sealed x Quieta ex Chelsea):
Zephyrus ex Chelsea "Jakob"
Zelos ex Chelsea "Lenno"
Zenith ex Chelsea "Sammy"
Zeus ex Chelsea "Lucky"
Zeno ex Chelsea "Paul" &
Zewana ex Chelsea "Kiwa"
Aus dem W-Wurf (A Sense Of Pleasure's I'm A
Joker x Diva ex Chelsea):
W-Numerus lll ex Chelsea "Wotan"
Aus dem A-ll-Wurf (Paulus ex Duria x
Maxima ex Chelsea):
Assisi ex Chelsea "Eni" &
Avellino ex Chelsea "Lino"
Alle 9 Hunde haben den Test mit sehr
schönen Beurteilungen bestanden.
Ganz besonders habe ich mich darüber
gefreut, das alle Hunde mit ihren Menschen zu schönen Teams
zusammengewachsen sind. Einige der "ex Chelsea's" sind damals erst im
Alter von mehreren Monaten in ihr neues Zuhause gezogen, aber es hat
sich mal wieder gezeigt das es sich lohnt, auf die passenden Menschen zu
den jeweiligen jungen Hunden zu warten. Es war ein sehr schöner Tag bei
optimalen Temperaturen für Mensch und Hund auf einem traumhaft schönen
Gelände. Ich danke Allen dafür das sie gekommen sind und denke es war
für alle Beteiligten ein rundum gelungener und interessanter Tag. Hier
geht's zum Gruppenfoto
- 03. Oktober 2015:
VPS des JGV Nassau e.V.
Sirius ex Chelsea
(Fameflair XXL x Diva ex Chelsea) besteht, geführt von
seinem Eigentümer KD Schüßler, die anspruchsvolle
Verbandsprüfung nach dem Schuss
(VPS o.l.E.) in den Revieren Westernohe, Westerburg und Schwabsburg
unter den Richtern Joachim Jantos (Obmann), Martin Kaiser und Harald
Maus. Waidmannsheil, lieber KD. Das habt ihr wirklich toll gemacht!
- 21. September 2015:
Der A-ll-Wurf hat Geburtstag
Heute vor genau einem Jahr brachte meine Hündin
Maxima ihren Wurf nach
Paulus ex Duria, meinen zweiten
A-Wurf, in einer komplikationslosen Geburt auf die Welt. Ich
grüße alle
Eigentümer der A's ganz herzlich und wünsche
Aurelio "Louis", Avellino "Lino",
Aventino, Arona, Asinara, Assisi, Augusta
"Gusta"und Aversa "Selma" einen wunderschönen Herbsttag
mit ein paar extra Leckerlis. Als Wichtigstes steht nun erst mal die
Röntgenuntersuchung der Hüft- und Ellenbogengelenke an, für die
ich allen ganz feste die Daumen drücke für gute Ergebnisse. Bei der
Auswahl eines für diese Untersuchung geeigneten Tierarztes bin ich sehr
gerne behilflich.
- 20. September 2015: Geburtstag
Maximas Welpen haben das Licht der Welt erblickt!
Ich freue mich sehr über 2 schwarze und
2 gelbe Rüden, sowie über 3 schwarze
und 1 gelbe Hündin. Ein neunter Welpe, ein
kleiner gelber Rüde, hat die schwierige Reise nach draußen leider nicht
geschafft.
Maximas Uterus war sehr gefüllt und dadurch stark gedehnt, so dass keine
Muskelkontraktionen mehr möglich waren. In Folge dessen blieben dann
auch die zur Austreibung der Welpen zwingend erforderlichen Wehen aus.
So entschied ich mich zusammen mit meinem Tierarzt zu einem
Kaiserschnitt - der Erste in meiner Zucht nach gut 7 Jahren und 16
Würfen.
Maxima hat soweit
erstmal alles gut überstanden und auch die Welpen haben die erste Nacht
gut hinter sich gebracht. Mein Dank geht an den Chirurgen
Dr.
Friedemann Reichert, an Tierärztin
Gabriele Flöck für die spontane Bereitstellung ihrer Praxisräume und
die Anästhesie sowie an die vielen spontanen Helfer beim Entgegennehmen
der Welpen aus dem OP.
Erste Bilder gibt es
hier
Update 22.09.2015:
Der mit 280 g Geburtsgewicht kleinere der beiden schwarzen Rüden hat die
kritischen ersten Stunden nach der Geburt leider nicht überlebt und ist
in den frühen Morgenstunden des 22.09. friedlich bei mir eingeschlafen.
Er hatte, vermutlich durch in die Lunge aspiriertes Fruchtwasser, eine
schwere Lungenentzündung entwickelt.
- 19. September 2015: Jagdlich brauchbar
Während ich auf die Geburt von Maximas Welpen warte, besteht
Silva ex Chelsea (Fameflair XXL x Diva ex Chelsea)
heute bei der Kreisjägerschaft Ennepe-Ruhr die jagdliche
Brauchbarkeitsprüfung auf Niederwild §6 und auf Schalenwild §7
der BPO Nordrhein-Westfalen. Geführt wurde Silva von
ihrem Eigentümer Dietmar Lober. Waidmannsheil, toll gemacht!

Silva ex Chelsea
Foto: Sabine Otto
- 13. September 2015: LCD-SRA in
Hasselroth-Neuenhaßlau
Auf der Spezial-Rassehunde-Ausstellung des LCD in
Hasselroth-Neuenhaßlau konnte meine Phila ex Chelsea
die Gebrauchshundeklasse mit V1 und
der Anw. Dt. Ch. VDH gewinnen. Zusätzlich erhielt
Phila auch das LCD-CAC Res.
Richterin Gerda Groeneweg (NL) sagte über Phila:
"6 year old yellow. Very good type. Feminine head with kind
expression. Good pigmentation. Very well angulated front and rear. Good
forechest. Well developed body. Good bone and feet. Good coat and
ottertail. Nice colour. Moves very well and keeps her straight topline.
Well presented."

Auch Philas Sohn Xanthos wurde
heute ausgestellt und erhielt eine vorzügliche Bewertung
und einen schönen Richterbericht.
- 11. September 2015: Gelenk-Check
Heute begleitete ich Zion ex Chelsea
"Chicco" (Cosadolce Signed And Sealed x Quieta ex Chelsea) in die
Vet.-Med.-Uniklinik in Giessen, wo seine Hüft- und Ellenbogengelenke auf
HD und ED untersucht wurden. Ich freue mich für "Chicco", das er mit der
Beurteilung HD: A / A und ED-Grad: 0/1
sehr gute Voraussetzungen hat, gesund und munter durchs Leben gehen zu
können.
Auch Zelos ex Chelsea "Lenno" und
Zeus ex Chelsea "Lucky" wurden bereits geröntgt, auf
die Auswertung durch den Gutachter müssen wir allerdings noch etwas
warten...
- 09. September 2015: Bonitas auf dem
OP-Tisch
Nachdem meine mittlerweile gut 12 Jahre alte Hündin
Bonitas alle typischen Anzeichen für eine Pyometra (eitrige
Gebärmutterentzündung) zeigte, beschloss ich, sie umgehend operieren
(kastrieren) zu lassen. Kurzfristig bekamen wir einen OP-Termin in der
Praxis Dres. Blendinger in Hofheim-Wallau. Bonitas hat
soweit erst mal alles gut überstanden und darf sich nun in aller Ruhe
von dem Eingriff erholen.

Bonitas einen Tag post-OP
- 29. August 2015:
DRC-Schnupper-Workingtest "Im Outlet 2015"
Die Hündin Xyris ex Chelsea "Mia", Wurfschwester
zu meinem Rüden Xanthos, hat heute
an ihrem ersten (inoffiziellen) Workingtest in der
Schnupperklasse teilgenommen und konnte diesen mit der Bewertung
vorzüglich erfolgreich beenden. Geführt wurde
"Mia" von ihrer Eigentümerin Stefanie Damrau. Herzlichen Glückwunsch zu
diesem ersten schönen Erfolg mit Mia! :-)

- 28. August 2015:
Durchblick
Sirius ex Chelsea
(Fameflair XXL x Diva ex Chelsea) war heute zur routinemäßigen
Untersuchung der Augen auf erbliche Erkrankungen und wurde von Frau Dr.
Birgit Koerschgen mit PRA, RD und HC frei befundet.
Damit ist
Sirius auch weiterhin uneingeschränkt
zuchttauglich und steht geeigneten Hündinnen als Deckpartner
zur Verfügung.
- 27. August 2015:
Vaterfreuden
In der LCD-Zuchtstätte 'Fernajacks' von Ferny Herkes &
Jean-Jacques Kohn sind heute in einer komplikationslosen Geburt 1 gelber
Rüde und 7 gelbe Hündinnen gesund zur Welt gekommen. Stolzer Vater der
Welpen ist mein Rüde Xanthos ex Chelsea,
der den Welpen auch seine schöne dunkelgelbe Fellfarbe mitgegeben hat.
Ich freue mich sehr über diese gute Nachricht und wünsche Ferny &
Jacques eine schöne Aufzuchtzeit und für die Welpen alles Gute für die
Zukunft.

Fernajacks E-Wurf
Vater: Xanthos ex Chelsea
- 23. August 2015:
Xanthos' Nachkommen in Bildern
Xanthos' Nachkommen "vom
Wallhäuser Weg" wurden von der Fotografin
Nicola Kassat
wunderschön in Szene gesetzt. Die Bilder können Sie
hier ansehen.

- 17. August 2015:
Gesunde Gelenke
Auch von Zenith ex Chelsea
"Sammy" (Cosadolce Signed And Sealed x Quieta ex Chelsea) liegt das
offizielle Röntgengutachten der Hüft- und Ellenbogengelenke seit heute
vor: HD: A 2 / A 2 und ED-Grad: 0 / 0.
Ich freue mich sehr über diese gute Nachricht und sende viele Grüße an
Sammys Eigentümer nach Luxembourg.
- 27. Juli 2015:
HD/ED-Röntgenauswertung
Mit Zewana ex Chelsea
"Kiwa" (Cosadolce Signed And Sealed x Quieta ex Chelsea) wurde der
zweite Hund aus meinem Z-Wurf geröntgt und mit
super Ergebnissen durch den Gutachter Dr. B. Tellhelm ausgewertet:
HD: A 2 / A 2 und ED-Grad: 0 / 0
- 26. Juli 2015:
Umzug in den hohen Norden
Der kleine Burano ex Chelsea heißt jetzt "Fiete"
und wird zukünftig im hohen Norden Deutschlands das Leben von seinen
neuen Zweibeinern bereichern. Geplant ist für ihn eine Ausbildung zum
Rettungshund in der
BRH-Staffel
Holstein
Ich freue mich sehr, für "Klein-Fiete"
ein so schönes Zuhause gefunden zu haben. Und es bestätigt mich darin
das es sich lohnt, auf die für die einzelnen Welpen passenden Menschen
auch mal länger zu warten :-)

- 23. Juli 2015:
Neue Wurfplanung online
Meine Hündin
Maxima wurde heute von dem schönen
Rüden Mallorn's Silver Surfer gedeckt.
- 19. Juli 2015:
Clubschau des RCL in Mertert/Luxembourg
Heute morgen machte ich mich mit meinem
Xanthos auf den Weg nach
Mertert/Luxembourg, um ihn auf der dort stattfindenden Clubschau des
'Retriever Club Luxembourg' vorzustellen. Unter der Richterin Heather
Wiles-Fone (UK) erhielt Xanthos die Bewertung vorzüglich 4
und folgenden Bericht:
"Yellow male, presented in very good coat and
condition. Lovely well shaped head with dark pigmentation. Deep through
the chest and body. Excellent spring of rib. Strong bones. Well muscled
hind-quarters. Moved with drive from behind and stretch in front. Very
typical of the breed."
Es war ein schöner Tag mit netten Labradorfreunden,
perfekt organisiert von Ferny Herkes und ihrem Team sowie einer sehr
freundlichen Richterin. Wir kommen gerne wieder :-)
- 19. Juli 2015:
Geburtstag und Geburtstag
Meine Hündin Diva ex Chelsea (Melicmark Louis T
Duck x Bonitas ex Chelsea) feiert heute ihren 10. Geburtstag
(Geburtstagsfoto wird nachgereicht ;-) Diva ist die
weltbeste Welpen-Oma die man sich nur wünschen kann und ich hoffe, sie
noch viele Jahre gesund und munter bei mir haben zu dürfen. Divas noch
lebenden Wurfgeschwistern wünsche ich ebenfalls weiterhin alles Gute und
bin in Gedanken bei denen, die schon gegangen sind.
Gleichzeitig wurden heute die ersten Nachkommen
meines Rüden Xanthos in der
LCD-Zuchtstätte 'vom Wallhäuser Weg' geboren. Ich freue mich sehr über 2
Rüden (schwarz) und eine Hündin (gelb) und wünsche der Züchterin Ruth
Weber alles Gute für diesen kleinen aber feinen Wurf. Auf die
Entwicklung der ersten
Xanthos-Kinder bin ich auf jeden Fall sehr gespannt und werde
sie weiter verfolgen.
- 17. Juli 2015:
Sirius' Nachzucht
Nachdem nun alle Hunde aus Sirius' erstem Wurf
auf HD und ED untersucht wurden, habe ich die Ergebnisse alle auf seiner
Seite veröffentlicht. Schade das eine
einseitige mittlere HD dabei ist, aber umso mehr freuen wir uns über 6 x
Hüftgelenke im zuchttauglichen Bereich und noch dazu, und das ist noch
viel wichtiger, alle 7 Nachkommen aus dieser Verpaarung mit unserem
Sirius sind ED-frei! Zusätzlich wurden bei 4 von 7 Hunden aus dem Wurf
auch die Augen auf erbliche Erkrankungen untersucht und auch hier sind
alle Hunde komplett gesund.
Ich denke, wir können mit den ersten
Nachzuchtergebnissen von unserem Sirius insgesamt
wirklich sehr zufrieden sein. :-)
Ein herzliches Dankeschön in die
Schweiz an die Züchterin Erika Geiser für 100% HD/ED-geröntgte Hunde
dieses Wurfes und natürlich auch ein großes Danke an die Eigentümer der
7 Sirius-Kinder und weiterhin viel Spaß und Erfolg mit den tollen
Hunden!
- 08. Juli 2015:
Gesundes Gangwerk
Dank Poststreik wurde unsere Geduld auf eine harte Probe gestellt,
aber was lange währt wird endlich gut: Mit Zephyrus ex Chelsea
"Jakob" (Cosadolce Signed And Sealed x Quieta ex Chelsea) wurde der
erste Hund aus meinem Z-Wurf geröntgt und mit
besten Ergebnissen durch den Gutachter Dr. B. Tellhelm ausgewertet:
HD: A 1 / A 1 und ED-Grad: 0 / 0
Damit steht Jakobs weiterer Ausbildung
zum Rettungshund in der BRH-Rettungshundestaffel Saar
diesbezüglich nichts im Wege und ich freue mich darauf, in Zukunft noch
viel von ihm zu hören! :-)
- 20. Juni 2015:
LCD-Work & Show 2015
Bei der diesjährigen Work & Show-Veranstaltung des LCD hatte
Yellow ex Chelsea (Dancing Dreamweaver v/d Weeward x
Maxima ex Chelsea) sein Workingtest-Debut und konnte in
der Schnupperklasse mit dem Prädikat bestanden den Tag
beschließen. Herzlichen Glückwunsch an das erfolgreiche Team Annemie &
Yellow! Ich freue mich auf *mehr* von Euch! :-)

Foto: Jürgen Lamberti
- 05. Juni 2015:
BHP des DRC in Trebbin (Brandenburg)
Die Hündin Zinnia ex Chelsea (Cosadolce Signed
And Sealed x Quieta ex Chelsea)
besteht, geführt von ihrer Eigentümerin Helga
Eisenhardt, die Begleithundeprüfung Teil A+B (BHP-A/B)
des DRC trotz erschwerter Bedingungen (Zinnia war in der Standhitze) mit
guten 66 Punkten. Bewertet wurde das Team von Richter
Hans-Joachim Hahn. Herzlichen Glückwunsch nach Berlin und viel Spaß
weiterhin mit Zinnia! :-)
- 29. Mai 2015:
Neue Seite: Xanthos on Shows
Nachdem ich meinen Xanthos
bereits ein paar Mal ausgestellt und noch ein paar weitere Shows
gemeldet habe, hat Xanthos nun seine eigene
Showseite bekommen. Die großen Aussteller
werden wir sicher nicht werden, aber auf dieser Seite werde ich
zukünftig alle seine Bewertungen und
Richterberichte veröffentlichen. :-)
- 24. Mai 2015:
Internationale Rassehunde-Ausstellung in
Saarbrücken
Nachdem Xeno ex Chelsea gestern auf einer
jagdlichen Arbeitsprüfung seine gute Nase unter Beweis stellen konnte,
fuhr ich heute mit Wurfbruder Xanthos
(Creekwater Surf Scoter x
Phila ex Chelsea)
nach Saarbrücken, um
ihn dort auf der großen Intern. Rassehunde-Ausstellung zu zeigen. Zu
meiner großen Freude erreichte Xanthos in der
Gebrauchshundeklasse den 1. Platz und erhielt
seine ersten Anwartschaft auf den Dt. Champion
VDH unter Richterin Gisela Werner (D):
"Typvoller, anatomisch korrekter Rüde mit bestem
Haar, der in sehr guter Kondition vorgeführt wird; im Stand perfekt; in
der Bewegung fliessend; Rute etwas fröhlich getragen; sehr gute
Präsentation."
- 23. Mai 2015:
Vereinsschweissprüfung des LCD
Xeno ex Chelsea (Creekwater
Surf Scoter x Phila ex Chelsea) besteht heute, geführt
von seinem Eigentümer Stephan Simon, die Vereinsschweissprüfung
des LCD in Linsingen. Damit hat Xeno im Alter von
gerade mal zwei Jahren neben der Langschleppenprüfung auf die Distanzen
800 m/ 1200 m/ 1500 m, der JEP/S mit Lautnachweis (Hessen) und der JP/R
des DRC eine weitere jagdliche Prüfung erfolgreich abgelegt. Ein
herzliches WMH an Stephan und Xeno!!!
Nebenbei ist heute auch der erste
Welpe aus meinem aktuell liegenden Wurf in sein neues Zuhause umgezogen
und ich freue mich sehr, das auch Briona ex Chelsea zum
Jagdbegleiter ihres neuen Eigentümers ausgebildet wird und später
entsprechend jagdlich arbeiten darf.
- 08. Mai 2015:
Tolle Neuigkeiten von Sirius' Nachzucht in der
Schweiz
Mit der Hündin 'Gleam of Light Jaïba
Ujyumi-Jayana', genannt Yumi, wurde der erste Nachkomme von unserem
Rüden Sirius untersucht und mit
HD: A/A, ED: 0/0 und
Schulter-OCD: frei befundet. Außerdem wurden Yumis
Augen untersucht und sind zum jetzigen Zeitpunkt ebenfalls
frei von erblichen Erkrankungen.
Wir freuen uns sehr mit der Züchterin und Eigentümerin
von Yumi, Erika Geiser, Kennel 'Gleam of Light' (SKG/FCI), und wünschen
ihr mit Yumi für die Zukunft weiterhin alles Gute. :-)
- 02. Mai 2015:
Spezial-Rassehunde-Ausstellung des LCD in Börsborn
Mein Xanthos konnte heute
auf der SRA in Börsborn in einer starken
Gebrauchshundeklasse einen vorzüglichen 3. Platz
unter Richterin Jackie Hodge (GB) erreichen. Mein Dank geht erneut an
Jacques für das schöne Vorführen von Xanthos. Im
Richterbericht steht:
"Gentle masculine head; good eye-shape and pigment;
good neck into reasonable front; good topline and tailset; well muscled
hindquarters; open coated; moves very easily!"

- 26. April 2015:
Der Z-Wurf hat Geburtstag
Heute vor genau einem Jahr brachte meine
Quieta ihren ersten Wurf nach
Cosadolce Signed And Sealed, meinen
Z-Wurf, in einer komplikationslosen Geburt auf
die Welt. Ich
grüße alle
Eigentümer der Z's ganz herzlich und wünsche
Zelos "Lenno", Zenith "Sammy", Zeno
"Paul", Zephyrus "Jakob", Zeus
"Lucky", Zion "Chicco", Zewana
"Kiwa" und Zinnia einen wunderschönen Frühlingstag mit
ein paar extra Leckerlis.
- 25. April 2015:
JP/R des DRC in Linsingen/Hessen
Nachdem vor Kurzem schon mein
Xanthos die Jagdliche Jugendprüfung für Retriever (JP/R)
erfolgreich bestanden hat, wurde heute auch sein Wurfbruder Xeno
ex Chelsea erfolgreich über diese jagdliche Anlagenprüfung
geführt.
Xeno zog vor
gut einem Jahr im Alter von 10 Monaten in sein neues Zuhause und hat
bereits neben der JP/R auch die jagdliche Brauchbarkeitsprüfung mit
Schweiss inkl. Lautnachweis (Hessen), sowie die Langschleppenprüfung auf
die Distanz von 800 und 1200 m bestanden.
Ich freue mich über so viel
Engagement und wünsche Stephan gemeinsam mit Xeno für
die Zukunft weiterhin viel WMH!
- 18. April 2015:
Eine Kerze für Ursa...

Ursa ex Chelsea
(Oliver od
Himalájského Cedru x Maxima ex Chelsea)

*
06.12.2011
t
18.04.2015
Ursa
starb in der Nacht von Freitag auf Samstag lt. Angaben der Besitzer an
einer Vergiftung. Mir fehlen die Worte. Es ist einfach nur schlimm.
Ursa
durfte nur 3 Jahre und 4 Monate alt werden. Meine Gedanken sind bei
URSA.
- 18. April 2015:
Spezial-Rassehundeausstellung in Eberbach
Xanthos wurde heute das
erste Mal auf einer Ausstellung gezeigt und erhielt in der
Offenen Klasse eine
vorzügliche Bewertung von der Richterin Rosemarie Wild (CH).

- 04. April 2015:
Klasse Gebrauchshund
Aufgrund seiner in der vergangenen Woche bestandenen
jagdlichen Prüfung wurde meinem
Xanthos das
FCI-Working-Certificate
zuerkannt. Dieses Working-Cert. berechtigt Xanthos, auf Ausstellungen in
der Gebrauchshundeklasse zu starten.
- 28. März 2015:
JP/R des DRC in Schrecksbach (Hessen)
Mein Xanthos hat heute die 'Jagdliche
Jugendprüfung für Retriever' (JP/R) des DRC erfolgreich
bestanden. Seine jagdlichen Anlagen wurden durchweg mit *sehr
gut* (7 Prüfungsfächer) und *gut* (2
Prüfungsfächer) bewertet. Die Zensurentafel mit der genauen Verteilung
der Punkte befindet sich auf seiner
Seite. Dafür das ich mit Xanthos nur 4 x vorab für
die Prüfung trainiert habe, großes Danke! an dieser Stelle an Karin, KD
und Annette, hat Xanthos alles wirklich sehr gut
gemacht und ich bin einmal mehr stolz auf diesen tollen Hund!
- 21. März 2015:
Aurelio zieht aus...
Heute ist nun auch Aurelio ex Chelsea (Paulus ex Duria
x Maxima ex Chelsea) in sein neues Zuhause umgezogen. Ich wünsche
Aurelio alles erdenklich Gute und seinen neuen
Eigentümern viel Freude und Erfolg bei der Ausbildung zum
Jagdgebrauchshund. Auf seine weitere Entwicklung bin ich sehr gespannt.

- 17. März 2015:
Philas Welpen sind geboren
In einer komplikationslosen Geburt hat meine
Phila heute 10 gesunden
Welpen das Leben geschenkt. Ich freue mich sehr über
2 gelbe und 3 schwarze Rüden
sowie 4 gelbe und 1 schwarze Hündin.
Erste Fotos folgen in Kürze...

- 11. März 2015:
Kardiologische Untersuchung
Die heutige Herzuntersuchung bei meinem
Xanthos ex Chelsea durch den
Kardiologen Dr. Ralph T. Wendt ergab keinen Befund, das heißt,
Xanthos' Herz ist rundum gesund. Ich freue mich!!
- 05. Februar 2015:
Ein Foto-Update von meinem Xanthos
Von meinem Rüden
Xanthos ex Chelsea, 21 Monate alt,
gibt es auf seiner Seite ein aktuelles Foto.

Xanthos mit 7 Wochen...
Xanthos mit 6 Monaten

Xanthos mit 21 Monaten
25. Januar 2015:
Jagdliche Prüfungen erfolgreich abgelegt
Nachdem Xeno ex Chelsea am
15.10.2014 anlässlich einer Jagd den Lautnachweis
bescheinigt bekommen hat und am 31.10.2014 erfolgreich über die
'Jagdliche Brauchbarkeitsprüfung mit Schweiss' (Hessen) geführt
wurde, konnte Xeno am 23. bzw. 25.01.2015 auch die
800-m bzw. 1200-m-Langschleppenprüfung
erfolgreich bestehen. Geführt wurde Xeno
von seinem Eigentümer Stephan Simon. WMH an das Team!
17./18. Januar 2015:
Aktuelles zur neuen Wurfplanung
Phila ex
Chelsea wurde gestern und heute mit dem schönen Rüden
Faithful Paw's Brave Heart verpaart. Wenn alles planmäßig verläuft,
erwarte ich vielversprechende gelbe und
schwarze Welpen Mitte März.
01. Januar 2015:
Rückblick und Ausblick
Das Jahr 2014 hat sich verabschiedet
und es ist an der Zeit, mal wieder zurück zu blicken. Meine Hündin
Quieta ex Chelsea hatte ihren ersten Wurf mit 8
gesunden Welpen nach 'Cosadolce Signed And Sealed'. Den zweiten Wurf
meines Kennels brachte Maxima ex Chelsea am 21.09.2014
komplikationslos nach 'Paulus ex Duria' zur Welt. Auch hier durfte ich
mich über 8 gesunde Welpen freuen, von denen ich aktuell noch für 2
schwarze Rüden und eine gelbe Hündin geeignete, retrieverbegeisterte
Menschen suche.
Gute Nachrichten erreichten mich in
2014 vor allem aus dem gesundheitlichen Bereich: Am 18.05.2014 wurde
mein X-Wurf aus Phila ex Chelsea
nach 'Creekwater Surf Scoter' ein Jahr alt. Nachdem der gesamte Wurf auf
HD und ED untersucht wurde, kann ich mich mit den Eigentümern der
X-Wurf-Hunde über einen komplett gesunden Wurf freuen: 6 x HD:
A/A, 6 x ED: 0/0. Besser geht es nicht!!! Aus dem
Y-Wurf (Dancing Dreamweaver v/d Weeward x
Maxima ex Chelsea) sind zwischenzeitlich 5 von 7 Hunde
auf HD und ED untersucht und auch hier bislang alle Ergebnisse im
zuchttauglichen Bereich.
Mit Meinem
Xanthos ex Chelsea bin ich sehr
froh, erstmals einen ganz tollen Rüden behalten zu haben. Er hat
wirklich ALLES, was ich von einem Top-Labrador-Retriever erwarte: 100%
gesund (HD: A2/A2, ED: 0/0, EIC-frei, HNPK-frei, prcd-PRA-frei,
CNM-frei, SD-2-frei und auch alle Wurfgeschwister auf HD und ED
untersucht und gesund), traumhafte, sanfte, labradortypische
Wesenseigenschaften und mit seinem vorzüglichen Formwert einfach
wunderschön. Ich möchte ihn im Herbst mit meiner Quieta ex
Chelsea verpaaren und bin schon sehr gespannt auf die erste "ex
Chelsea x ex Chelsea"-Verpaarung. Geplant ist außerdem, Xanthos
im Frühjahr auf der JP/R des DRC zu führen und ihn im Frühjahr/Sommer
auch ein paar Mal auszustellen.
Phila ex
Chelsea soll mit ihrer nächsten Läufigkeit gedeckt werden. Hier
steht der Deckrüde für diesen Wurf allerdings noch nicht 100%ig fest.
Sehr gefreut habe ich mich darüber, das
im schweizer Kennel "Gleam Of Light" am 01. April 2014 die ersten Welpen
nach Sirius ex Chelsea geboren
wurden. Ich werde die weitere Entwicklung der Welpen mit verfolgen und
danke der Züchterin Erika Geiser für das Vertrauen in unseren
Sirius.
Auch in 2014 wurden wieder viele "ex
Chelsea's" sehr erfolgreich auf Prüfungen geführt: Unter anderem bestand
Vita ex Chelsea die JP/R des DRC mit fantastischen 262
Punkten und auch W-Numerus IV ex Chelsea konnte diese
jagdliche Anlagenprüfung erfolgreich bestehen. Die JEP/S bestanden
Utilitas und Vita, die Dummy-A die
Hündinnen Quaerita und Ursa. Dazu
kommen noch einige bestandene Begleithundeprüfungen und natürlich viele
bestandene Wesensteste. 1000 Dank an meine Welpenkäufer, die so
engagiert und konsequent mit ihren Hunden zusammen im Team arbeiten.
Leider gab es in 2014 auch einige
traurige Momente. Am 10. September musste ich von meiner geliebten
Honey (Alflasker I Have A Dream) Abschied nehmen. Ihr
folgten im November ihr Sohn Eros und im Dezember ihre
Tochter Eos. Mit Aurea ex Chelsea
starb die erstgeborene gelbe Hündin meiner Zucht im Alter von gut 13
Jahren. Aus dem F-Wurf traten Famosa und Faunus
ihre letzte Reise an und aus dem I-Wurf hat sich Investigo
für immer verabschiedet.
Bedanken möchte ich mich vor allem bei
meinen Welpenkäufern, die mir und meinen Hunden zum wiederholten Mal das
Vertrauen ausgesprochen und einen weiteren "ex Chelsea" in ihre Familie
aufgenommen haben. So zog zum Beispiel Yellow als 3.
"ex Chelsea" zu Annemie und Axel nach Dormagen und Zephyrus
als 4. "ex Chelsea" zu Magret und Tissy ins Saarland. Aber auch denen
die ihren ersten "ex Chelsea" ihr Eigen nennen dürfen möchte ich ganz
herzlich für das mir entgegengebrachte Vertrauen danken.
Ich bin nun sehr gespannt auf das Jahr
2015. Für das Röntgen der Z-Wurf-Hunde im April und der A-(ll)-Wurf-Hunde
im September drücke ich allen feste die Daumen für gute Ergebnisse und
sehe dann hoffentlich viele am 04. Oktober zum Wesenstest wieder.
Liebe Grüße,
Sylvia & das "ex Chelsea"-Rudel im Januar 2015
- 24.
Dezember 2014:
Gesundes Gangwerk
Mit dem HD/ED-Röntgenbefund von Yamuna ex Chelsea
"Greta" (Dancing Dreamweaver v/d Weeward x Maxima ex Chelsea) erreichte
mich heute eine schöne Weihnachtsüberraschung.
Ich freue mich sehr mit den Besitzern der Hündin über HD: A1/A1
und ED-Grad: 0/0.
Damit ist jetzt der 5. von 7 Hunden aus meinem
Y-Wurf auf HD und ED untersucht und die Röntgenbilder durch den
Gutachter des LCD ausgewertet worden. Vielen Dank dafür an dieser Stelle
an meine Welpenkäufer.
- 07. Dezember 2014:
BHP des DRC in Gevenbroich
Die Hündin W-Numerus VII ex Chelsea
"Emma" (A Sense Of Pleasure's I'm A Joker x Diva ex Chelsea)
besteht, geführt von ihrer Eigentümerin Julia Fürstenau,
die Begleithundeprüfung Teil A (BHP-A) des DRC mit
guten 58 Punkten. Bewertet wurde das Team von Richter Christian Goertz.
Herzlichen Glückwunsch und viel Spaß bei der weiteren Ausbildung von
Emma in der tiergestützten Pädagogik!
- 29. November 2014:
Horse & Dog Trail - ein Erfahrungsbericht
In der aktuellen Clubzeitung des LCD e.V. ist ein schöner
Bericht von Daniela
Hildebrand über ihre Erfahrungen mit W-Numerus IV ex Chelsea
"Oskar" (A Sense Of Pleasure's I'm A Joker x Diva ex Chelsea) beim
Horse & Dog Trail-Training. Viel Spaß beim Lesen :-)
- 04. November 2014:
Röntgenergebnis
Ich freue mich, das auch Yellow ex Chelsea, wie
bereits zuvor seine 3 Wurfgeschwister, von Gutachter Dr. B. Tellhelm
eine Auswertung der Hüft- und Ellenbogengelenke im zuchttauglichen
Bereich erhalten hat. Somit steht neben seinem Dasein als geliebter
Familienbegleithund auch Yellows Karriere im Dummysport nichts im Weg.
:-)
- 01. November 2014:
DRC-Formwert in Calw
Nachdem Vita ex Chelsea "Vesta" (Devonshires Not
Your Average Joe x Phila ex Chelsea) im Frühjahr die JP/R des DRC mit
262 Punkten bestanden hat (11 Punkte für die Führigkeit!) und am
19.10.2014 erfolgreich auf der jagdlichen Brauchbarkeitsprüfung des
Saarlandes (JEP/S) geführt wurde, bekam "Vesta" heute durch die
VDH-Zuchtrichterin Petra Bannach die höchste Formwertnote
vorzüglich bescheinigt:
"Sehr typvolle, harmonisch und
insgesamt vorzüglich aufgebaute Hündin mit vielen Vorzügen,
beeindruckendes Verhalten, flüssige, raumgreifende Bewegung, typisches
Haar mit schöner Otterrute."

Vita
& Vesta ex Chelsea
- 26. Oktober 2014:
Welpen-Update
Z-Wurf: Alle 8 Hundekinder aus dem
Z-Wurf vom 26.04.2014 sind nun in ihre neue Heimat
umgezogen: Zwei sind in Rheinland-Pfalz geblieben, zwei wohnen jetzt in
Hessen, zwei im Saarland, ein Hundemädchen lebt in Berlin und Zenith
sagte "Goodbye Deutschland" und wohnt nun in Luxemburg. Ich wünsche
allen Z's ein langes und erfülltes Retrieverleben und
den Besitzern viel Freude mit den kleinen "ex-Chelsea's" in der
kommenden Zeit.
- 25. Oktober 2014:
Abschied von einem ganz besonderen "ex Chelsea"
Aurea ex Chelsea
(Fameflair Monty Python x Ginny vom Alstätter-Moor)

*
20.06.2001
t
25.10.2014
Aurea
war die erste gelbe Hündin, die vor 13 Jahren und 4 Monaten als Tochter
meiner Stammhündin Chelsea (Ginny vom Alstätter-Moor)
in meiner kleinen Zucht geboren wurde... draussen im Garten direkt in
meine Hand. Nach einem erfüllten Leben als geliebter Familienbegleithund
hat Aurea nun nach kurzer Krankheit ihre letzte große
Reise angetreten. Ich danke Birgit Dietz und ihrer Familie für alles,
was sie für Aurea getan haben. Mach's gut, mein
Mädchen...
- 25. Oktober 2014:
DRC-Formwert
Ursa ex Chelsea
(Oliver od
Himalájského Cedru x Maxima ex Chelsea) wurde von der Formwert-Richterin
H. Assenmacher-Feyel ein sehr guter Formwert
bescheinigt.
- 20. Oktober 2014:
Zuchtzulassung
Mein Xanthos ex Chelsea
erhält die Zulassung zur Zucht ohne Auflagen und steht
somit ab sofort ausgewählten Hündinnen als Deckrüde zur Verfügung. Alle
Infos zu Xanthos finden Sie auf seiner
Seite

- 19. Oktober 2014:
Jagdlich brauchbar
Vita ex Chelsea "Vesta" (Devonshires Not Your
Average Joe x Phila ex Chelsea) besteht
die saarländische Jagdeignungsprüfung mit Schweiss
(JEP/S). Erfolgreich geführt wurde Vesta von ihrer Eigentümerin Almuth
Gasper. Waidmannsheil zum brauchbaren Jagdhund, liebe Almuth!
- 18. Oktober 2014:
LCD-Wesenstest
in Mehlingen
Xyris ex Chelsea "Mia" (Creekwater
Surf Scoter x Phila ex Chelsea) hat heute, geführt von ihrer
Eigentümerin Stefanie Damrau, den LCD-Wesenstest mit
einer sehr schönen Beurteilung bestanden:
"Die 17 Monate alte,
lebenslustige Hündin, mit hoher Ausdauer, sehr guter
Unterordnungsbereitschaft zeigte heute eine sehr gute Bindung zu ihrer
Führerin. Für fremde Menschen interessiert sie sich und tritt ihnen
aufgeschlossen entgegen. Die jagdlichen Anlagen wie Beute-, Bring- und
Spürtrieb sind ausgeprägt vorhanden. Den Parcours untersuchte sie
selbstständig und sicher. Hier zeigte sie ihren Beutetrieb mit viel
Ausdauer und Beständigkeit. Die Hündin war beim Schuss sicher und
unerschrocken. Eine Hündin mit viel Lebensfreude, die sehr gut zu ihrer
Führerin passt." (Richter: Bernhard
Straub)
Damit ist jetzt der komplette
X-Wurf sowohl auf HD und ED untersucht, als
auch zum Wesenstest geführt worden. Ein riesen Dankeschön
dafür an meine Welpenkäufer!!!
- 17. Oktober 2014:
Röntgentermin
Heute hatte Yellow ex Chelsea
(Dancing Dreamweaver v/d Weeward x Maxima ex Chelsea) seinen
wichtigen Termin zum Röntgen der Hüft- und
Ellenbogengelenke in der Praxis von Dr. J. Diel in Meerbusch.
Wir müssen jetzt zwar noch die endgültige Auswertung des LCD-Gutachters
abwarten, aber die Vorab-Prognose von Dr. Diel war schon mal sehr
vielversprechend. Vielen Dank liebe Annemie, das Du Yellow hast
untersuchen lassen. Nun warten wir gespannt auf das Endergebnis :-)
- 13. Oktober 2014:
Augenuntersuchung durch Dr. U. Baab in
Alzey
Xanthos
ex Chelsea
ist frei von den erblichen Augenerkrankungen Katarakt
(HC), Retinadysplasie (RD) und Retinadegeneration (PRA). Damit
erfüllt Xanthos nun alle Voraussetzungen für die Zulassung zur Zucht.
- 07. Oktober 2014:
Foto-Update Y-Wurf
Heute habe ich zwei sehr schöne
Bilder der knapp 15 Monate alten Hündin Yamuna ex Chelsea
"Greta" (Dancing Dreamweaver v/d Weeward x Maxima ex Chelsea) gemailt
bekommen, die ich den Besuchern meiner Homepage nicht vorenthalten
möchte. Vielen Dank dafür an Gretas Eigentümer Familie Spohr.

- 01. Oktober 2014:
Gentest-Ergebnisse
Und wieder gibt es erfreuliche Neuigkeiten von meinem
Xanthos. Ich habe zwei weitere
Genteste in Auftrag gegeben, deren Ergebnisse heute
kamen:
SD-2 (Skeletal Dysplasia-2): Genotyp: N/N
(frei)
CNM (Centronuclear Myopathy): Genotyp: N/N
(frei)
Damit ist Xanthos ex Chelsea neben
prcd-PRA, EIC und HNPK
nun auch genetisch frei von SD-2 und
CNM.
- 28. September 2014:
LCD-Formwertbeurteilung in Knittlingen
Heute habe ich meinen Rüden Xanthos
der Formwertrichterin Vanessa Malkmus zur Beurteilung vorgestellt und
freue mich sehr, das Xanthos mit der höchsten
Formwertnote vorzüglich bewertet wurde. Damit erfüllt
Xanthos nun alle Voraussetzungen für die
Zulassung zur Zucht im LCD.
- 21. September 2014:
Der A-Wurf (II) erblickt das Licht der Welt
In einer unkomplizierten Geburt brachte meine Hündin
Maxima ihren Wurf nach dem Rüden
Paulus ex Duria zur Welt. Ich freue mich sehr über 2
schwarze Rüden, 1 gelben
Rüden und 5 gelbe
Hündinnen.
- 16. September 2014:
Ausflug zum Altrheinsee
Heute machte ich einen schönen Ausflug zu einem Badesee mit
herrlich klarem Wasser. Mit dabei waren neben Bella,
Phila, Vesta und Xanthos
auch die beiden Wurfgeschwister Zenith und Zion
aus dem Z-Wurf. Vor Ort trafen wir dann noch
Barbara mit Summa ex Chelsea und Michael & Heidi mit
Zelos ex Chelsea "Lenno". Alle, insbesondere die Hunde,
hatten sehr viel Spaß und Zelos, Zenith
und Zion haben alle drei eindrucksvoll ihre
Wasserfreude unter Beweis gestellt und ihr "Seepferdchen bestanden". Ein
paar schöne Fotos von dem Ausflug gibt es
hier zu sehen.
- 13. September 2014:
Röntgenbefund
Ich freue mich über die gute Auswertung der Röntgenbilder von
Hüft- und Ellenbogengelenken der Hündin Ylva ex Chelsea
(Dancing Dreamweaver v/d Weeward x Maxima ex Chelsea): HD: B2/B2
und ED-Grad: 0/0.
- 10. September 2014:
Niemals geht man so ganz... ein kleiner Teil bleibt
hier
HONEY
(Alflasker I Have A Dream)
*
11.06.2003
t
10.09.2014
Honeys Seite
- 08. September 2014:
Röntgenauswertung X-Wurf
Auch die Gelenke von Xiphia ex Chelsea "Pppa"
wurden durch den Gutachter Dr. B. Tellhelm mit HD: A2/A2
und ED-Grad: 0/0 beurteilt. Damit ist
nun der gesamte X-Wurf auf HD und ED untersucht
und ich freue mich sehr, das alle Hunde diesbezüglich top gesund
sind. Ein großes Dankeschön an dieser Stelle an meine
Welpenkäufer für die gute Aufzucht der "ex Chelseas" und für die
Bereitschaft, die Hunde wie vereinbart untersuchen zu lassen.
-
05.
September 2014:
Gesunde Gelenke
Heute wurden die Hüft- und Ellenbogengelenke von Xanta ex
Chelsea "Nuria"
(Creekwater Surf Scoter x Phila ex Chelsea)
in Giessen auf HD und ED untersucht und die Röntgenbilder von dem
Gutachter Dr. B. Tellhelm direkt auch ausgewertet. Ich freue mich mit
Nurias Eigentümerin Noel Joppien über HD: A/A und
ED-Grad: 0/0.
Damit sind auch die Gelenke des 5.
untersuchten Hundes aus meinem X-Wurf HD und ED frei.
:-)
- 30. August 2014:
LCD-Wesenstest in 49143 Bissendorf
Nachdem wir von Yuma ex Chelsea (Dancing
Dreamweaver v/d Weeward x Maxima ex Chelsea) vor ein paar Tagen schon
sein sehr gutes Röntgenergebnis der Hüft- und Ellenbogengelenke erhalten
haben, hat er heute, geführt von seinem Eigentümer Dr. Gregor Kampmann,
den
LCD-Wesenstest unter der Richterin Simone Metz mit einer
schönen Beurteilung bestanden. Herzlichen Glückwunsch!
- 26. August 2014:
Gelenk-Check
Meine oberste Priorität bei der Zucht von Labrador-Retrievern
liegt neben dem rassetypischem Wesen und der Optik vor allem bei der
Gesundheit. Um nachhaltig gesunde Hunde züchten zu
können reicht es nicht aus das nur die Elterntiere eines Wurfes gesund
sind, wichtig ist auch zu wissen wie sich die Zuchthunde vererben.
Hierzu bin ich auf die Kooperationsbereitschaft meiner Welpenkäufer
angewiesen, in dem sie ihre "ex Chelsea's" mit einem Jahr auf
Hüftgelenksdysplasie und Ellenbogengelenksdysplasie untersuchen lassen.
Heute freue ich mich, die ersten beiden offiziellen
Röntgenauswertungen von Hunden aus meinem Y-Wurf
(Dancing Dreamweaver v/d Weeward x Maxima ex Chelsea) durch den
Gutachter Dr. B. Tellhelm bekanntgeben zu können:
Yuma ex Chelsea: HD: A 2 / A 2,
ED-Grad: 0 / 0
Yara ex Chelsea: HD: A 2 / A 2, ED-Grad: 0 / 0
Hoffen wir nun auf ähnlich gute Ergebnisse bei den 5
Wurfgeschwistern. :-)
-
16. August 2014:
Brauchbarer Jagdhund
Heute erhielt ich erfreuliche Post aus dem Süden Deutschlands von
Maya Fürstenau-Sharp und ihrer Hündin Utilitas ex Chelsea
"Serra"
(Oliver od
Himalájského Cedru x Maxima ex Chelsea):
"Serra hat heute mit Bravour die
Brauchbarkeitsprüfung beim Bayerischen Jagdverband für
die allgemeine Nachsuche auf Niederwild und Schalenwild
bestanden. Zu meiner Freude hat sie besonders auf
der Schweissfährte den Richtern gezeigt, was für ein hervorragender
Allrounder der Labrador bei der Jagd ist. Einfach top!"
Ganz herzlichen Glückwunsch und Waidmannsheil an das
erfolgreiche Team!
- 11. August 2014:
Gesundes Gangwerk
Aus meinem X-Wurf
(Creekwater Surf Scoter x Phila ex Chelsea)
liegt nun auch die Röntgenauswertung von Xyris ex
Chelsea vor. Ihre Gelenke wurden von dem Gutachter Dr. B.
Tellhelm mit
HD: A 2 / A 2
und ED-Grad: 0/0 beurteilt.
- 22. Juli 2014:
Neue Wurfplanung
Meine Hündin Maxima ex Chelsea wurde
heute von dem schönen Rüden
Paulus ex Duria gedeckt. Durch meine regelmäßigen Besuche in meiner
Funktion als Zuchtwartin des LCD bei Paulus'
Eigentümern kenne ich Paulus schon von Welpenalter an. Mittlerweile hat
er sich zu einem stattlichen Rüden entwickelt und ich bin auf die Welpen
aus dieser Verpaarung sehr gespannt.

-
21. Juli 2014:
Gesunde Gelenke
Aus meinem X-Wurf
(Creekwater Surf Scoter x Phila ex Chelsea)
liegt nun auch die Röntgenauswertung von Xenia ex
Chelsea vor. Ihre Gelenke wurden von dem Gutachter Dr. B.
Tellhelm mit
HD: A 2 / A 2
und ED-Grad: 0/0 beurteilt.
- 20. Juli 2014:
Der Y-Wurf hat Geburtstag
Heute vor genau einem Jahr brachte meine
Maxima ihren zweiten Wurf nach
Dancing Dreamweaver v.d. Weeward, meinen
Y-Wurf, in einer komplikationslosen Geburt auf
die Welt. Ich
grüße alle
Eigentümer der Y's ganz herzlich und wünsche
Yellow, Ypsilon, Yukon
"Apollo", Yuma, Yara "Nelly",
Yamuna "Greta" und Ylva einen wunderschönen
Sommertag mit ein paar extra Leckerlis und bei den heißen Temperaturen
vielleicht auch einer Abkühlung im Wasser.
- 19. Juli 2014:
Badespaß am Rhein
Quieta und
Xanthos verbrachten gestern mit mir
ein paar schöne Stunden am Rhein. Dabei hatte ich auch die Kamera mit
dabei und es sind ein paar nette
Bilder entstanden.
- 13. Juli 2014:
'Zinnia ex Chelsea' ist nun Hauptstadt-Hund
Mein kleines schwarzes Mädchen hat sich heute auf die weite Reise
in die Hauptstadt gemacht. Bis zum Frankfurter Hauptbahnhof habe ich die
Kleine noch begleitet, bis sie mit ihrer neuen Eigentümerin in den ICE
in Richtung Berlin eingestiegen ist. Die 100 km Autofahrt bis zum FF/M-Hbf
verliefen völlig ruhig und auch auf dem belebten Frankfurter
Bahnhofsgelände blieb Zinnia absolut sicher und
entspannt. Und das, obwohl dies Zinnias erster Ausflug
außerhalb meines Grundstücks war. Ihre Rute trug sie stets waagerecht
mit leichter Tendenz nach oben, selbst als der ICE einfuhr blieb sie
völlig unbeeindruckt. Nun wünsche ich Zinnias neuer
Eigentümerin ganz viel Freude mit dem kleinen Hundekind und viel Spaß
beim Dummytraining in der BZG Berlin-Brandenburg des DRC.

- 13. Juli 2014:
Abrichtelehrgang des Bayerischen Jagdverbandes
Utilitas ex Chelsea "Serra" besteht
heute die Abschlußprüfung des Abrichtelehrgangs des
Bayerischen Jagdverbandes im 1. Preis. Geführt wurde
"Serra" von ihrer Eigentümerin Maya Fürstenau-Sharp. Herzlichen
Glückwunsch und Waidmannsheil an das erfolgreiche Team senden die ex-Chelsea's
aus Oberwesel!
-
05. Juli
2014:
Inoffizielle Ausstellung ("Pfostenschau") der BZG 5
des DRC in Ingelheim
Heute besuchte ich mit meinem
Xanthos ex Chelsea eine inoffizielle Ausstellung, sehr gut
organisiert von der BZG 5 des DRC in Ingelheim/Rhein, um mal eine erste
objektive Bewertung von Xanthos zu erhalten. Der sehr
erfahrene und äußerst freundliche Zuchtrichter Josef Fertig sagte über
Xanthos folgendes:
"Im Ganzen noch jugendlich, vorzügliche
Proportionen , hochtypischer Kopf, braune Augen, vorzügliches
Kopfmodell, korrekte Behänge, Hals trocken, ausgesprochen deutliche
Vorbrust, kräftige Knochen, vorzügliche Vor- und Hinterhandwinkelung,
mittelhartes Haar, viel Unterwolle, Otterrute, mittleres bis dunkles
Rot, Wesen einwandfrei, schwung- und kraftvolles Gangwerk."
V2 - vorzüglich 2. Platz in der Jugendklasse der Rüden

Ich habe mich über Xanthos'
tolle Beurteilung sehr gefreut (und Xanthos sich über
sein neues Dummy, farblich abgestimmt zur blauen Schleife :-)
- 29. Juni 2014:
Z-Wurf-Update
Die Zeit verging wie im Flug, denn
Quietas Welpen sind bereits 9 Wochen
alt. Vergangenen Samstag wurden alle acht Welpen tierärztlich
untersucht, geimpft und gechippt und am letzten Dienstag hat die
sogenannte Wurfabnahme durch die LCD-Zuchtwartin Tamara Büttner
stattgefunden. Die ersten Hundekinder sind auch bereits in ihr neues
Zuhause umgezogen und ich freue mich über die durchweg positiven ersten
Rückmeldungen.
- 14. Juni 2014:
LCD-Wesenstest in Karbach/Hunsrück
Bei optimalen Temperaturen für Mensch und Hund fand heute der
Wesenstest >>
Gruppenfoto << für Hunde aus meinem X- und
Y-Wurf statt. Ich habe mich sehr gefreut, das
ausnahmslos alle angetretenen Hunde mit ihren Besitzern zu schönen Teams
zusammengewachsen sind und alle mit schönen Beurteilungen bestanden
haben.
Aus dem
X-Wurf (Creekwater Surf Scoter x Phila ex
Chelsea) wurden
mein Xanthos ex Chelsea
"Sante"
Xanta ex Chelsea "Nuria"
Xenia ex Chelsea "Susi" und
Xiphia ex Chelsea "Pippa" zur Wesensbeurteilung
vorgestellt, aus dem
Y-Wurf (Dancing Dreamweaver v/d Weeward x
Maxima ex Chelsea) stellten sich
Yukon ex Chelsea "Apollo"
Yara ex Chelsea "Nelly"
Yamuna ex Chelsea "Greta" und
Ylva ex Chelsea der Prüfung.
Mein ganz herzlicher Dank geht an Claudia Pelzer für die
kompetente und faire Beurteilung der Hunde, an KD Schüßler für die
Übernahme des organisatorischen Teils der Prüfung und an Barbara Reitzel
für das wie immer tolle und reichhaltige Büffet. Und nicht zu vergessen
geht auch ein besonders großer Dank an Franz Mallmann, der uns seit
vielen Jahren sein schönes Gelände für Wesensteste zur Verfügung stellt.
DANKE!
- 14. Juni 2014:
Rettungshundeprüfung des BRH
 |
Zum wiederholten Mal besteht
Helva ex Chelsea "Johanna" (Kindly American Eagle v/d
Weeward x Bonitas ex Chelsea), dieses Mal geführt von Magret Koch, die
Rettungshundeprüfung-Fläche des BRH. Meinen ganz
herzlichen Glückwunsch zu diesem schönen Erfolg!
Ganz besonders freue ich mich, das in Kürze neben
Helva ex Chelsea "Johanna" und Marius ex
Chelsea "Samuel" bei Magret und Theresia ein weiterer "ex
Chelsea" einziehen wird. Auch der Neuzugang wird
selbstverständlich zum Rettungshund bei der
Rettungshundestaffel Saar des BRH ausgebildet werden.
|
- 08. Juni 2014:
LCD-Formwert in Winden/Westerwald
Heute habe ich meine Hündin Vesta ex Chelsea (Devonshires
Not Your Average Joe x Phila ex Chelsea) der Richterin Tanja Nordhues
zur Formwertbeurteilung vorgestellt. Vesta erhielt die
höchste Formwertnote vorzüglich mit der Bemerkung:
"Harmonisch aufgebaute,
großrahmige Hündin von vorzüglichem Typ."
Damit erfüllt Vesta nun alle
Voraussetzungen für die Zulassung zur Zucht. Bevor sie allerdings das
erste Mal belegt wird, ist für den kommenden Herbst erst mal noch die
'Jagdliche Brauchbarkeitsprüfung' geplant.
- 02. Juni 2014:
Gentest-Ergebnis
Ich habe Xanthos ex Chelsea
auf
EIC testen lassen: Xanthos ist
reinerbig (homozygot) für das normale Gen. Er trägt damit nicht die
Mutation, die als ursächlich für den Exercise Induced Collapse (EIC)
beschrieben wurde = EIC-N/N (frei)
- 23. Mai 2014:
Gesundes Gangwerk
Am vergangenen Montag wurden
Xanthos ex Chelsea und Xeno ex Chelsea in der Vet.-Med-Uniklinik
in Giessen geröntgt und die Hüften der beiden Rüden mit
HD: A/A beurteilt, die Ellenbogen
beidseitig mit ED-Grad: 0. Ich freue mich riesig für
meinen Xanthos und natürlich auch für Stephan & Moni
Simon mit ihrem Xeno!!!
- 18. Mai 2014:
Der X-Wurf wird heute 1 Jahr alt
Kaum zu glauben aber
wahr: Der X-Wurf (Creekwater Surf Scoter x
Phila ex Chelsea) feiert heute bereits seinen ersten Geburtstag.
Auf diesem Wege grüße ich alle Eigentümer der Hunde aus dem
X-Wurf ganz herzlich. Lieber Xeno, liebe
Xanta
(Nuria), Xenia (Susi), Xiphia (Pippa)
und Xyris (Mia), laßt Euch heute schön feiern und
bestimmt gibt es auch ein extra-Leckerli für jeden von Euch. :-)
Xanthos lebt ja noch bei mir in Oberwesel und wird
heute mit einem ganz besonders schönen Spaziergang verwöhnt werden :-)

Xanthos an seinem 1. Geburtstag
- 12. Mai 2014:
Neues aus der Wurfkiste
Quietas Welpen sind bereits zwei Wochen alt.
Allen geht es gut und sie haben ihr Geburtsgewicht
mittlerweile verdoppelt. Die ersten Welpen haben auch
die 1000 g-Marke bereits überschritten. Mutter Quieta
macht ihren Job, nach anfänglicher leichter Irritation was sie mit
diesen kleinen Würmchen nun anfangen soll, sehr gut. Zwischendurch
draußen ein paar Dummys apportieren geht aber immer :-) Neue Fotos
finden Sie hier
- 11. Mai 2014:
LCD-Wesenstest in Hasselroth
Ursus ex Chelsea "Lui"
(Oliver od
Himalájského Cedru x Maxima ex Chelsea) besteht heute
mit einer sehr schönen Beurteilung den Wesenstest des
LCD unter Richterin Claudia Pelzer. Ich bedanke mich ganz herzlich bei
Luis Eigentümerin Tanja Zimmermann für das Vorstellen von Lui zur
rassespezifischen Wesensüberprüfung. Damit haben
bereits 9 von 10 Hunde des U-Wurfes den Wesenstest erfolgreich
bestanden. Nur die Hündin
Unitas ex Chelsea "Nele" fehlt noch...
- 11. Mai 2014:
Formwertbeurteilung des DRC in Grevenbroich-Neurath
Quaerita ex Chelsea "Cindy"
(Beechcroft's American Style x Alflasker I Have A Dream) wird von der
Richterin Dagmar Winter mit der Formwertnote sehr gut
beurteilt.
- 04. Mai 2014:
Arbeitsprüfung mit Dummys des DRC in
Grevenbroich-Neurath
Quaerita ex Chelsea "Cindy"
(Beechcroft's American Style x Alflasker I Have A Dream) besteht
die Arbeitsprüfung mit Dummys in der Anfängerklasse (APD/R-A)
unter Richter Stephan Steidl mit 68 von 80
Punkten
(20/20/12/16) und damit der Gesamtnote sehr gut.
Bereits am 07.09.2013 hat
Quaerita ex Chelsea "Cindy" die Begleithundeprüfung,
ausgerichtet vom Retriever-Förder-Verein Aachen e.V. (DVG/VDH), unter
Richter Stephan Schega bestanden. Geführt wurde "Cindy" beide Male von
ihrer Eigentümerin Christiane Lehmler. Herzlichen Glückwunsch!
- 26. April 2014:
Der Z-Wurf ist da!
Eigentlich rechnete ich schon gestern (Freitag) mit der Geburt
von Quietas erstem Wurf, aber warum Traditionen
brechen? Der Großteil meiner Würfe wurde an einem Wochenende geboren und
so schloss sich Quieta ihrer Verwandtschaft nahtlos an.
Um 21:12 Uhr erblickte der erste gelbe Rüde das Licht der Welt und ihm
folgten in regelmäßigen Abständen weitere 5 Jungs und 2 Mädchen. Nach
einem völlig komplikationslosen Geburtsverlauf ist mein Z-Wurf
seit der Geburt des letzten Welpen um 00:45 Uhr nun komplett und ich
begrüße ganz herzlich 4 gelbe und 2
schwarze Rüden sowie 2 schwarze Hündinnen.
Alle 8 Welpen haben gute Geburtsgewichte (zwischen 330
und 430 g) und waren von der ersten Sekunde an fit und munter. Ich hoffe
nun auf ein weiterhin gesundes Heranwachsen und bin auf die weitere
Entwicklung der Kleinen sehr gespannt.

- 26. April 2014:
JP/R des DRC in Vianden (Luxembourg)
Vita ex Chelsea "Vesta" (Devonshires Not Your
Average Joe x Phila ex Chelsea) besteht
heute, geführt von ihrer Eigentümerin Almuth Gasper, die
Jagdliche Jugendprüfung für Retriever (JP/R) mit
hervorragenden 262 Punkten (Führigkeit 11 Pkt., alle
anderen Fächer 10 Punkte). Richter war Edmund Sagawe. Tolles Ergebnis,
ich freue mich sehr!

Begleithundeprüfung
(BHP) Teil A + B des DRC
Ursa ex
Chelsea (Oliver od Himalájského Cedru x Maxima ex Chelsea)
besteht die
Begleithundeprüfung Teil A + B des DRC mit tollen 79
von 80 Punkten und damit der Gesamtbewertung vorzüglich.
Geführt wurde Ursa von ihrer Eigentümerin Barbara Ziech,
Richter der Prüfung war Peter Hilbert. Super gemacht, ganz herzlichen
Glückwunsch!

- 21. April 2014:
Quieta und der erwartete Z-Wurf
Die letzte Trächtigkeitswoche hat begonnen und voller Spannung
erwarte ich Quietas ersten Wurf, meinen
Z-Wurf, nach Cosadolce Signed And
Sealed. Quieta geht es bestens, ihr Appetit ist nach wie vor
riesig und auch Dummys werden mit ungebrochener Begeisterung apportiert.
Sobald die Welpen geboren sind, werde ich an dieser Stelle berichten :-)

- 05. April 2014:
DRC-Wesenstest in Herzogenaurach
Utilitas ex Chelsea "Serra" besteht
mir Bravour den Wesenstest des DRC unter Richterin
Brigitte Weber. Serra lebt erst seit 2,5 Monaten bei
ihrer jetzigen Eigentümerin und ich freue mich ganz besonders, das den
Beiden trotz der kurzen Zeit bereits eine sehr gute, vertrauensvolle
Bindung zueinander bescheinigt wurde.
- 01. April 2014:
Erste Welpen nach 'Sirius ex Chelsea'
Im schweizer Kennel "Gleam of Light" sind die ersten Welpen nach
Sirius ex Chelsea geboren worden. Ich freue mich zusammen mit
Sirius' Eigentümern Karin & KD Schüßler und der Züchterin Erika Geiser
über 4 gesunde Rüden und 3 ebenso gesunde Hündinnen und hoffe auf ein
problemloses Heranwachsen der Kleinen.
- 30. März 2014:
Arbeitsprüfung mit Dummys des DRC in Rimbach
Ursa ex
Chelsea (Oliver od Himalájského Cedru x Maxima ex Chelsea)
besteht die Arbeitsprüfung mit Dummys in der Anfängerklasse (APD/R-A)
des DRC unter Richterin Petra Beringer mit 61 Punkten
(17/19/5/20). Geführt wurde Ursa von ihrer Eigentümerin
Barbara Ziech. Ganz herzlichen Glückwunsch zu diesem Erfolg!
- 29. März 2014:
JP/R des DRC in Nentershausen
W-Numerus IV ex Chelsea "Oskar" (A Sense of
Pleasure's I'm A Joker x Diva ex Chelsea) besteht
heute, geführt von seiner Eigentümerin Daniela Hildebrand, die
Jagdliche Jugendprüfung für Retriever (JP/R) des DRC unter
Richter Manfred Pauels. Herzlichen Glückwunsch!
Wiederholungsprüfung für
Rettungshundeteams des Malteser Hilfsdienst e.V. (MHD)
Ebenfalls besteht heute
Hector ex Chelsea (Kindly American Eagle v/d Weeward x Bonitas
ex Chelsea) die Rettungshund-Wiederholungsprüfung im
Bereich Trümmer. Mit dieser Leistung darf das
Rettungshundeteam Jutta Sagert & Hector auch weiterhin
die Bezeichnung "Geprüftes Rettungshundeteam nach DIN 13050"
führen. Tolle Leistung, herzlichen Glückwunsch!
- 22. März 2014:
SRA des LCD in Neustadt
W-Numerus IV ex Chelsea "Oskar" (A Sense of
Pleasure's I'm A Joker x Diva ex Chelsea) wurde heute auf der
Spezial-Rassehundeausstellung des LCD in Neustadt ausgestellt, erhielt
in einer großen Jugendklasse von Richterin Yvonne
Jaussi (CH) die Bewertung vorzüglich
und kam unter die besten 6 Hunde seiner Altersgruppe. Vielen Dank an
Frank Röhrig für das professionelle Vorstellen von Oskar:
"Sehr kräftiger 17 Monate alter
Rüde von korrekter Größe. Maskuliner Kopf mit mäßigem Stopp. Vorzügliche
Halslänge. Vorzüglich gewinkelte Vorhand. Vorzügliche Brusttiefe,
kräftige Lende, sehr hoch angesetzte und hoch getragene Rute. Korrekt
gewinkelte Nachhand, bewegt sich fließend mit sehr viel Schub. Sehr gut
vorgeführt"

- 11. März 2014:
Gentest-Ergebnis
Sirius ex Chelsea wurde per
Gentest auf Retinale Dysplasie/Okulo-Skeletale-Dysplasie
(RD/OSD) mit dem Ergebnis N/N (frei) getestet
(OptiGen). Damit ist Sirius auf alle für uns
zuchtrelevanten Krankheiten, für die Genteste entwickelt wurden,
untersucht. Als Deckpartner steht er für geeignete Hündinnen zur
Verfügung.
- 08. März 2014:
Neue Fotos von Xanthos
Ich habe zwei neue Fotos von Xanthos ex Chelsea
auf seiner
eigenen Seite eingestellt.

- 04. März 2014:
Sirius wird erstmals Vater
Anfang Februar hat
Sirius ex Chelsea die Hündin 'Yarthkin's
Lemon', genannt Sanjya, gedeckt und heute kam die positive SMS aus der
Schweiz, das Sanjya tragend ist. Somit erwarten wir mit Spannung
Sirius' erste Welpen im schweizer Kennel "Gleam Of Light"
(SKG/FCI).
- 24./25. Februar 2014:
Neue Wurfplanung
Meine Quieta ex Chelsea wurde
von dem Rüden
Cosadolce Signed and Sealed gedeckt.
- 23. Februar 2014:
LCD-Wesenstest
in Frankfurt-Nied
Mein Xeno ex Chelsea (Creekwater
Surf Scoter x Phila ex Chelsea) hat heute unter Richter Bernhard Straub
den LCD-Wesenstest mit einer sehr schönen Beurteilung
bestanden.
"Der 9 Monate alte, neugierige Rüde mit mittlerem Temperament, guter
Ausdauer, immer an allem interessiert, zeigte heute eine gute Bindung.
Fremde Menschen findet er spannend und geht auf alle zu. Die Kreisprobe
fand er ok. Den Parcours untersuchte er ebenfalls mit großer Neugierde
und Interesse. Sein Beutetrieb ist sehr ausgeprägt, dieses zeigte er
über den ganzen Testverlauf. Bring- und Spürtrieb sind ausgeprägt
vorhanden. Der Rüde war beim Schuss sicher und unerschrocken. Ein Rüde,
der sehr schöne jagdliche Anlagen gezeigt hat."
- 19. Februar 2014:
Augenuntersuchung durch Dr. Stefan Kindler
in Wiesbaden
Phila ex
Chelsea und
Quieta ex Chelsea sind frei
von den erblichen Augenerkrankungen Katarakt, Retinadysplasie (RD) und
Retinadegeneration (PRA). Damit steht dem geplanten Zuchteinsatz von
Quieta nichts mehr im Wege. Mit Phila
plane ich einen Wurf im Herbst diesen Jahres.
- 14. Februar
2014:
Gentest-Ergebnis
Sirius ex Chelsea wurde per
Gentest auf Degenerative Myelopathie (DM) mit dem
Ergebnis N/N (frei) getestet.
- 21. Januar
2013:
Kardiologische Untersuchung
Die heutige Herzuntersuchung von
Sirius ex Chelsea durch den
Kardiologen Dr. Ralph T. Wendt ergab keinen Befund, das heißt, Sirius
Herz ist rundum gesund und somit steht seinem ersten Deckeinsatz in den
kommenden Tagen nichts im Wege.
- 13. Januar
2013:
Röntgenauswertungen des W-Wurfes
Alle acht auf HD und ED geröntgten Hunde aus Divas letztem Wurf,
meinem W-Wurf, sind mit sehr guten Ergebnissen
durch den Gutachter Dr. B. Tellhelm ausgewertet worden:
W-Numerus I ex Chelsea "Zorro":
HD: A 2 / A 2 ED: 0/0
W-Numerus II ex Chelsea "Milow":
HD: A 2 / A 2 ED: 0/0
W-Numerus III ex Chelsea "Wotan":
HD: A 2 / A 2 ED: 0/0
W-Numerus IV ex Chelsea "Oskar"
HD: A 1 / A 2 ED: 0/0
W-Numerus V ex Chelsea "Remo":
HD: A 2 / A 2 ED: 0/0
W-Numerus VI ex Chelsea "Dusty":
HD: C 1 / C 1 ED: 0/0
W-Numerus VII ex Chelsea "Emma":
HD: A 2 / B 1 ED: 0/0
W-Numerus VIII ex Chelsea "Wilma"
HD: A 2 / A 2 ED: 0/0
Aus meinem V-Wurf (Devonshires Not Your Average Joe x Phila ex Chelsea)
erhielt ich ebenfalls den letzten noch ausstehenden Röntgenbefund:
Votivus ex
Chelsea "Charley":
HD: A 2 / A 2 ED: 0/0
Ich danke meinen Welpenkäufern ganz herzlich dafür, das auch bei diesen
Würfen 100 % der Hunde auf HD + ED untersucht wurden!
- 22. Dezember 2013:
Abschied von Dulcor ex Chelsea
"Buddy"

*
19.07.2005
t
22.12.2013
Dulcor ex Chelsea "Buddy" (Melicmark Louis T Duck x
Bonitas ex Chelsea) war ein Bruder meiner
Diva und damit ein Sohn von Bonitas. Schweren
Herzens musste Familie Bittmann ihn heute nach kurzer, schwerer
Krankheit gehen lassen.
Liebe Verena, ich danke Dir und
Deinen Eltern ganz herzlich für alles, was Ihr für Buddy getan habt. Er
hatte bei Euch ein erfülltes Leben, das nur leider viel zu kurz war. Ich
hatte Euch noch viele weitere schöne Jahre gemeinsam mit Buddy
gewünscht. Leider kam alles anders. Ich bin unendlich traurig.
- 23. November
2013:
LCD-Formwert in Wermelskirchen
Die schöne Hündin Unesca ex Chelsea (Oliver od
Himalájského Cedru x Maxima ex Chelsea) wurde heute zur
Formwertbeurteilung
vorgestellt und von Richterin Tanja Nordhues mit vorzüglich
bewertet.

- 14. November 2013:
Utilitas ex Chelsea "Serra" ist eingezogen
Utilitas ex Chelsea "Serra" (Oliver od
Himalájského Cedru x Maxima ex Chelsea) ist heute aufgrund
gesundheitlicher Probleme der bisherigen Eigentümerin in mein Rudel
zurück gekommen. Ein schönes Foto von ihr gibt es
hier
- 12. November
2013:
Fotoshooting mit Numquam ex Chelsea "Monty"
Bei dem Fotoshooting für den 'Royal Canin'-Kalender 2014 sind ein
paar schöne Bilder
von Numquam ex Chelsea "Monty" entstanden. Viel Spaß
beim ansehen :-)
- 26. Oktober
2013:
Begleithundeprüfung (BHP) Teil A + B des DRC in
Villingendorf
Severa ex Chelsea "Bonnie" (Fameflair XXL x Diva
ex Chelsea) besteht, geführt von ihrer Eigentümerin Petra Jucho, die
BHP (A+B) des DRC mit 69 von 80 Punkten
und der Bewertung sehr gut. Richterin der Prüfung war
Petra Beringer. Ganz herzlichen Glückwunsch liebe Petra, das habt Ihr
toll gemacht!
-
07. Oktober 2013:
Der W-Wurf wird ein Jahr alt!
Und schon wieder ist ein ganzes Jahr rum und der
W-Wurf (A Sense Of Pleasure's I'm A Joker x Diva ex Chelsea) darf
seinen ersten Geburtstag feiern. Auf diesem Wege grüße ich alle
Eigentümer der W's ganz herzlich und hoffe, der
Geburtstag der nun nicht mehr ganz so Kleinen wird gebührend gefeiert.
Als Wichtigstes steht nun die Röntgenuntersuchung der
Hüft- und Ellenbogengelenke an, für die ich allen ganz feste die Daumen
drücke für gute Ergebnisse. Ein paar der Hunde aus dem W-Wurf
habe ich ja vergangene Woche beim Wesenstest wiedergesehen. Alle anderen
die noch einen Wesenstest
mit ihrem Hund absolvieren müssen bitte ich, sich selbstständig um einen
freien Platz zu kümmern. Liebe W's, laßt Euch heute
schön feiern und bestimmt gibt es auch ein extra-Leckerli für jeden von
Euch :-)
- 05. Oktober 2013: BLP (Bringleistungsprüfung)
des LCD in Vreden
Nachdem Sirius vergangenes
Jahr vorgelegt hat, konnte nun auch Wurfschwester Silva ex
Chelsea (Fameflair XXL x Diva ex Chelsea), geführt von seinem
Eigentümer Dietmar Lober, die BLP des LCD mit
274 Punkten erfolgreich bestehen. Richterobmann dieser Prüfung
war Wolfgang Schöning. Waidmannsheil, lieber Dietmar. Ich freue mich
wirklich sehr über die "ex Chelsea"-Besitzer, die mit ihren Hunden so
toll arbeiten.
- 29. September 2013: LCD-Wesenstest in Karbach
Wie schon im Frühjahr habe
ich auch in diesem Herbst einen LCD-Wesenstest
organisiert und mich sehr über das Wiedersehen mit 8 Hunden aus meiner
Zucht gefreut.
Aus dem U-Wurf
(Oliver od Himalájského Cedru x Maxima ex Chelsea) nahmen
Umbra ex Chelsea "Maggie" und
Urania ex Chelsea "Maxi" teil,
aus dem V-Wurf (Devonshires Not Your Average
Joe x Phila ex Chelsea)
Vitalis ex Chelsea "Pablo"
Votivus ex Chelsea "Charley" und
Victoria ex Chelsea "Frieda".
Aus dem W-Wurf (A Sense Of Pleasure's I'm A
Joker x Diva ex Chelsea) stellten sich
W-Numerus I ex Chelsea "Zorro"
W-Numerus V ex Chelsea "Remo" und
W-Numerus VII ex Chelsea "Emma" der Wesensüberprüfung.
Alle 8 von Wesensrichterin Frau Claudia
Pelzer beurteilten Hunde konnten den Wesenstest mit ihnen absolut
gerecht werdenden Beurteilungen bestehen. Insbesondere bei den 4
Hündinnen hat mir die Mensch-Hund-Beziehung sehr gut gefallen. Bei den
Rüden waren einige mitten in der Pubertät und zeigten, das sie eine
klare, liebevolle aber konsequente Führung benötigen, um sich weiterhin
in die richtige Richtung entwickeln zu können. Ich würde mich sehr
freuen, wenn die vielen Tipps die mit an die Hand gegeben wurden,
zukünftig umgesetzt würden. Bei Fragen dürfen Sie mich natürlich auch
weiterhin jederzeit kontaktieren.
Erschreckt hat mich der
Ernährungszustand mehrerer Rüden. Es darf nicht sein das Tierärzte
Labradore als vom Gewicht her optimal bezeichnen, die eindeutig stark
untergewichtig sind. Bitte bedenken Sie das Labrador-Retriever aus
Linien in denen ich züchte kräftig gebaute Hunde sind. Das was sie an
Substanz im ersten Lebensjahr nicht aufbauen konnten, werden sie nie
wieder aufholen können. Labradore aus meiner Zucht sollten substanzvoll
und harmonisch aussehen, ohne dabei fett zu sein. Kann man auf den
Rippen "Klavier spielen" und beim über den Rücken streichen jeden
einzelnen Wirbel fühlen, ist das ein deutliches Indiz dafür, das der
betreffende Hund eindeutig zu dünn ist und mehr Futter benötigt.
Deutliches Untergewicht bei einem Junghund in der Wachstumsphase ist
mindestens genauso schädlich für eine gesunde Entwicklung, auch in Bezug
auf das Knochen- und Gelenkwachstum, wie deutliches Übergewicht! Wenn
Sie unsicher bezüglich des Gewichts ihres Labradors sind können Sie
jederzeit bei mir vorbeikommen. Ich schaue mir Ihren Hund gerne an und
gebe Ihnen Tipps. Aber bitte verlassen Sie sich nicht blind auf
Tierärzte und Hundetrainer, die in der Regel keine Ahnung vom
Rassestandard des Labrador-Retrievers haben.
- 14. September 2013: LCD-Wesenstest in Flieden
W-Numerus IV ex Chelsea "Oskar" (A Sense Of
Pleasure's I'm A Joker x Diva ex Chelsea) wurde heute als erster Hund
meines W-Wurfes zum Wesenstest des LCD
geführt und konnte diesen unter Richterin Simone Metz mit einer schönen
Beurteilung bestehen: "Insgesamt ein freudiger und
temperamentvoller Rüde mit guter Unterordnungsbereitschaft und
Führigkeit. Er ist aufmerksam beim Schuss." Herzlichen Glückwunsch!
- 09. September 2013: Jagdlich brauchbar
Der Rüde W-Numerus I ex Chelsea "Zorro" (A Sense Of
Pleasure's I'm A Joker x Diva ex Chelsea) besteht die
Jagdeignungsprüfung (JEP) des Bundeslandes Hessen mit gerade
mal 11 Monaten als jüngster Prüfungsteilnehmer. Glückwunsch!
- 01. September 2013: Arbeitsprüfung mit Dummys (APD/R-A) des
DRC in Wiesbaden
Helios ex Chelsea
"Heli"
(Kindly American Eagle v/d Weeward x Bonitas ex Chelsea) besteht
die APD/R-A des DRC mit sehr guten 70 von 80 Punkten unter
Richterin Betty Schwieren. Geführt wurde 'Heli' von Peter Jost. Ich
gratuliere dem Team ganz herzlich zu diesem schönen Erfolg!
-
31. August 2013:
Begleithundeprüfung (dhv) in Külz/Hunsrück
Primus ex Chelsea "Paul" (Devonshires Stash x
Diva ex Chelsea) besteht heute, geführt von Achim
Rusche, die Begleithundeprüfung des dhv. Richter der
Prüfung war Karlheinz Schuck. Ganz herzlichen Glückwunsch zu dieser
Leistung an das erfolgreiche Team.
- 18. August
2013: LCD-Wesenstest in Trier
Unica ex Chelsea "Lotta" (Oliver od Himalajskeho
Cedru x Maxima ex Chelsea) besteht heute den
LCD-Wesenstest unter Wesensrichter Bernhard Straub in Trier.
Ich bedanke mich ganz herzlich bei Wolfgang und Ariane Dietrich dafür,
das sie ihre Lotta zur rassespezifischen Wesensbeurteilung vorgestellt
haben und wünsche ihnen weiterhin viel Spaß mit dieser schönen Hündin.
- 20. Juli 2013: Maximas Welpen sind geboren...
Einen Tag nach dem 8. Geburtstag ihrer Mutter Diva hat meine Maxima
souverän und instinktsicher ihre Welpen nach
Dancing Dreamweaver v/d Weeward
zur Welt gebracht. Ich freue mich über 7 gesunde Welpen
(4 gelbe Rüden, 2 schwarze
Hündinnen und eine gelbe Hündin) und hoffe
auf eine gesunde Entwicklung der Kleinen in den kommenden Wochen.

-
9. Juli 2013: Gesunde Gelenke
Zwei weitere Auswertungen der Röntgenbilder der Hüft- und
Ellenbogengelenke durch den Gutachter liegen mir seit heute vor:
Vitalis ex Chelsea "Pablo": HD: B1/B1
und ED: 0/0
Vita ex Chelsea "Vesta": HD: A2/A2 und
ED: 0/0
Beide Hunde sind aus der Verpaarung Devonshires Not
Your Average Joe x Phila ex Chelsea.
-
30. Juni 2013: DRC-Wesenstest in Luxemburg
Vita ex Chelsea (Devonshires Not Your Average
Joe x Phila ex Chelsea) besteht heute unter Richter
Klaus Karrenberg den DRC-Wesenstest mit einer sehr
schönen Beurteilung. Geführt wurde die Hündin von ihrer Eigentümerin
Almuth Gasper.
- 09. Juni 2013:
Der V-Wurf wird ein Jahr alt!
Und schon wieder ist ein ganzes Jahr rum und der
V-Wurf (Devonshires Not Your Average Joe x Phila ex Chelsea) darf
seinen ersten Geburtstag feiern. Auf diesem Wege grüße ich alle
Eigentümer der V's ganz herzlich.
- 05. Juni 2013:
Ein ganz besonderer Tag: Der B-Wurf wird heute 10 Jahre alt
Vor vor genau 10 Jahren erblickte nach einer langen Nacht, die am
Morgen mit einem Kaiserschnitt endete, mein B-Wurf
das Licht der Welt! Aus diesem Wurf habe ich damals Bella
und
Bonitas bei mir behalten. Aus Bonitas' erstem Wurf behielt ich
wiederum Diva, die sich in jeder Hinsicht als
außergewöhnlich gute Vererberin bewiesen hat. Auch meine jetzigen
Zuchthündinnen, die Diva-Töchter Maxima
und
Phila, gehen somit auf
Bonitas zurück,
so dass diese Ausnahmehündin meine kleine Zucht auch heute noch
maßgeblich beeinflusst.

Leider habe ich von
vielen Hunden aus dem B-Wurf schon länger keine
Rückmeldungen mehr bekommen, hoffe aber, dass es allen mit ihren nun 10
Jahren noch gut geht und ihr Geburtstag gebührend gefeiert wird. Über
ein kurzes Feedback wie es den B-Wurf-Hunden geht, würde ich mich sehr
freuen. Die Mutter dieses Wurfes,
Ginny vom Alstätter-Moor "Chelsea", mussten wir leider im
September 2012 mit 14,5 Jahren gehen lassen. Auch
Bellinus ex Chelsea "Paul" ging leider bereits im Juli
2012 seinen Geschwistern voraus...
- 01. Juni
2013:
"MERA Retriever Working Tour" 2013
Silva ex Chelsea (Fameflair XXL x Diva ex
Chelsea) besteht heute, geführt von ihrem Eigentümer Dietmar Lober,
ihren ersten offiziellen Workingtest-A in Den Heyberg/Kevelaer
mit guten 71 von 100 Punkten.
Gleichzeitig wird
Libertas ex Chelsea "Kate" auf der 8. Labrador
Retriever Club Show in Belgien in der Offenen Klasse
ausgestellt und unter starker Konkurrenz mit excellent 3
bewertet. Richterin war Gerda Groeneweg (NL).
- 21. Mai
2013:
Erwarteter Wurf nach Tank x Maxi
Meine Hündin Maxima ex Chelsea
wurde heute von dem Rüden
Dancing Dreamweaver v/d Weeward
gedeckt.
Maxima hat sich in ihrem ersten Wurf nach
Oliver od Himalajskeho Cedru bislang hervorragend vererbt.
Heute erhielt ich die Röntgenauswertungen der Hüft- und
Ellenbogengelenke von
Ursus ex Chelsea:
HD: A1/A1 und ED: 0/0 und
Unica ex Chelsea:
HD: A2/A2 und ED: 0/0
Damit sind mittlerweile 9 (von 10) Hunde aus dem
U-Wurf auf HD und ED untersucht worden und alle
sind gesund!
- 18. Mai
2013:
Philas Welpen sind da!
In einer nahezu komplikationslosen Geburt
brachte meine Phila heute nachmittag 6 gesunde Welpen
zur Welt: Einen schwarzen und einen gelben Rüden sowie eine schwarze und
drei gelbe Hündinnen. Ein weiterer schwarzer Rüde mit einem
Geburtsgewicht von 540 g war zu groß und somit dauerte seine Geburt zu
lange. Er hat die Reise hinaus ans Licht leider nicht rechtzeitig
geschafft . Phila tat sich mit seiner Geburt sehr schwer, gab aber nicht
auf und so konnte er zwar nur tot, aber dennoch ohne jegliche
medizinische Hilfe den doch sehr engen Geburtskanal verlassen. Ich freue
mich nun über die 6 gesunden Welpen und hoffe auf eine gute und gesunde
Entwicklung der neuen "ex Chelsea's". Erste Fotos gibt es
hier

- 15. Mai
2013:
Phila am 56. Trächtigkeitstag
Die letzte Trächtigkeitswoche hat begonnen
und voller Spannung erwarte ich Philas zweiten Wurf, meinen
X-Wurf, nach Creekwater Surf Scoter.
Phila geht es bestens, ihr Appetit ist nach wie vor riesig und sie geht
mit mir noch auf kleinere Spaziergänge, wobei das Tempo schon stark
nachgelassen hat... :-)

- 25. April
2013:
Augenuntersuchung durch Dr. A. Schieszler
in Wiesbaden
Maxima ex Chelsea und
Summa ex Chelsea sind frei von den erblichen
Augenerkrankungen Katarakt, Retinadysplasie (RD) und Retinadegeneration
(PRA). Damit steht einem geplanten Zuchteinsatz von Maxima
nichts mehr im Wege. Summa ist zwar kastriert und wird
somit nicht in die Zucht gehen, ich danke ihrer Eigentümerin Barbara
Reitzel aber sehr dafür, das sie Summa trotzdem hat untersuchen lassen.
- 15. April 2013: Röntgenauswertung
U-Wurf: 7. von 10
Uranus ex Chelsea "Cliff" (Oliver od Himalajskeho Cedru x
Maxima ex Chelsea) hat, wie seine 6 bereits untersuchten Wurfgeschwister
aus dem U-Wurf, ebenfalls gesunde Hüft- und
Ellenbogengelenke:
HD: A2/A2 und ED: 0/0.
- 13. April 2013:
DRC-Wesenstest in Groß Parin/Schleswig-Holstein
Titan ex Chelsea "Toni"
(Devonshires Stash x Alflasker I Have A Dream) wurde heute im hohen
Norden auf einem Wesenstest des DRC
vorgestellt und hat diesen mit einer schönen Beurteilung
bestanden. Abschließende Bemerkung auf dem WeT-Protokoll: "Ein
lebensfroher, aktiver Rüde."
Richterinnen dieses Tests waren Anja Ballwieser und Sabine Lamm.
Herzlichen Glückwunsch an die Eigentümer und vielen Dank für das
Vorstellen von Toni auf dieser Wesensüberprüfung.
- 13. April 2013: LCD-Wesenstest in
Karbach/Hunsrück
Ich habe mich sehr gefreut, folgende Hunde aus meiner Zucht heute
anlässlich des Wesenstests wiedergesehen zu
haben:
Aus dem U-Wurf
(Oliver od Himalajskeho Cedru x Maxima ex Chelsea):
Unicus ex Chelsea "Bruno"
Uranus ex Chelsea "Cliff"
Ursa ex Chelsea und
Unesca ex Chelsea "Luna",
aus dem
T-Wurf
(Devonshires Stash x Alflasker I Have A Dream):
Theia ex Chelsea "Rosa" und
Thoosa ex Chelsea "Lenja",
aus dem V-Wurf (Devonshires Not Your Average
Joe x Phila ex Chelsea):
Vagabundus ex Chelsea "Einstein"
und aus dem
S-Wurf
(Fameflair XXL x Diva ex Chelsea):
Summa ex Chelsea.
Zudem habe auch ich meine Vesta ex Chelsea der
Wesensrichterin Frau Claudia Pelzer vorgestellt und um es vorweg zu
nehmen: Alle Labradore konnten mit ihnen gerecht werdenden Beurteilungen
den Test bestehen. Mehrere Hunde haben sich so toll gezeigt, das ich sie
am liebsten direkt in mein Auto gepackt und mitgenommen hätte... ;-) Die
Bewertungen der Hunde im Einzelnen sind bereits mit der
LCD-Datenbank verlinkt und damit für Interessierte einsehbar.
Ich bedanke mich ganz herzlich bei meinen Welpenkäufern für ihr Kommen,
bei Claudia Pelzer für das faire beurteilen der vorgestellten Hunde und
die vielen Tipps die sie jedem Hundeführer mit auf den Weg gegeben hat
und schlussendlich bei Karin Schüßler für die Übernahme der
Sonderleitung was mir ermöglichte, auch selbst einen Hund auf diesem
Wesenstest führen zu können. Es war ein schöner und interessanter Tag,
insbesondere weil er mir die Möglichkeit bot, mehrere Wurfgeschwister
aus unterschiedlichen Würfen im Vergleich sehen zu können. Ich fand, das
alle Hunde mit ihren Eigentümern zu schönen Teams zusammengewachsen sind
und würde mich sehr freuen, wenn die bislang gute Arbeit mit den Hunden
auch in Zukunft weitergeführt wird.
- 05. April 2013:
Gentest-Ergebnis
Diva ex Chelsea wurde mit dem Ergebnis
Genotyp: N/N (frei) auf
HNPK getestet. Das bedeutet, das über
den Erbgang auch meine beiden Diva-Töchter
Maxima ex Chelsea und
Phila ex Chelsea HNPK-frei
sind.
-
21. März 2013:
Neue Wurfplanung
Meine Hündin Phila wurde heute
in Holland von
Creekwater Surf Scoter
gedeckt.
-
20. März 2013:
Klares Gangwerk
Die Hüft- und Ellenbogengelenke von Unitas ex Chelsea
"Nele" (Oliver od Himalajskeho Cedru x Maxima ex Chelsea)
wurden mit hervorragenden Ergebnissen durch den Gutachter Dr.
B. Tellhelm ausgewertet: HD: A1/A1 und ED: 0/0.
Weiterhin wurde auf dem Gutachten
LÜW (Lumbosakrale Übergangswirbel) Grad: 0
vermerkt.
Unitas war im Alter von 12 Wochen Model für das Hundefutter der
"Fressnapf"-Eigenmarke "Premiere" und lebt heute in Köln.

- 05. März 2013:
Zuchtzulassung
Sirius ex Chelsea erhält seine
Zuchtzulassung im LCD ohne Auflagen und ist aufgrund seiner
abgelegten Prüfungen tauglich für die 'Jagdliche Leistungszucht'.

- 03. März
2013:
Auf dem Weg zum geprüften Rettungshund
Pan ex Chelsea
(Devonshires Stash x Diva ex Chelsea) hat heute
die Grundausbildung zum Flächensuchhund
der "Freien Rettungshundestaffel Elmstein e.V. " mit der Bewertung
vorzüglich
erfolgreich abgeschlossen. Geführt wurde Pan von seinem
Eigentümer Alexander Kirchberger. Meine ganz herzlichen Glückwünsche an
das Team!
- 26. Februar
2013:
Halbzeit
Urania ex Chelsea "Maxi": HD: A2/A2
und ED: 0/0
Desweiteren wurde auf dem Gutachten
LÜW (Lumbosakrale Übergangswirbel) Grad: 0
vermerkt.
Damit sind mittlerweile fünf der zehn U-Wurf
-Hunde (Oliver od Himalajskeho Cedru x Maxima ex Chelsea) geröntgt und
mit sehr guten Ergebnissen durch den LCD-Gutachter ausgewertet worden.
- 20. Februar
2013:
Röntgenuntersuchung
Auch Umbra ex Chelsea "Maggie" (Oliver od
Himalajskeho Cedru x Maxima ex Chelsea) hat gesunde Hüft- und
Ellenbogengelenke: HD: A2/A2 und ED: 0/0.
Ich danke Familie Scheulen dafür, das sie ihre Hündin haben untersuchen
lassen und freue mich mit ihr über diese guten Auswertungen durch Dr. B.
Tellhelm.
- 08. Februar 2013:
Röntgenuntersuchung
Die Hüft- und Ellenbogengelenke von Ursa ex Chelsea
wurden mit hervorragenden Ergebnissen durch den Gutachter Dr.
B. Tellhelm ausgewertet: So freue ich mich mit den Besitzern von
Ursa über HD: A2/A2 und ED: 0/0.
- 29. Januar
2013:
Liebe, die im wahrsten Sinne des Wortes unter die
Haut geht...

Rhenus ex Chelsea
zog damals im Alter von bereits 6 Monaten in sein neues Zuhause nach
München. Manchmal dauert es zwar etwas länger bis man als Züchter die
passenden Menschen für seine Hunde findet, aber schlussendlich hat sich
das Warten auf die perfekt zu den Hunden passenden Menschen bislang
immer gelohnt. Danke Sybille für alles was Du für Rhenus tust und das Du
mich via Telefon und E-Mails regelmäßig an seinem schönen Leben
teilhaben lässt.
J
-
22. Januar 2013:
Gesunde Gelenke
Unicus ex Chelsea "Bruno" (Oliver od
Himalajskeho Cedru x Maxima ex Chelsea) wurde als zweiter Hund aus
meinem
U-Wurf auf HD und ED untersucht und von dem
LCD-Gutachter Dr. B. Tellhelm mit HD: B1/B1 und
ED: 0/0
ausgewertet. Ich freue mich sehr über das sehr gute Ergebnis
und bedanke mich bei den Eigentümern von "Bruno" ganz herzlich dafür,
das sie ihren Hund wie zugesagt haben untersuchen lassen.
-
12. Januar 2013:
Fotoshooting für die 'Fressnapf Tiernahrungs
GmbH': Das Ergebnis
Anfang März des vergangenen Jahres waren mehrere meiner Hunde für
ein Fotoshooting in Köln gebucht. Unitas ex Chelsea,
damals 13 Wochen alt, ist nun auf den Dosen des Junior-Futters der
"Fressnapf"-Eigenmarke "Premiere" zu sehen, meine
Phila ex Chelsea ziert die neuen Dosen des Senior-Futters. Und
so sieht das wie ich finde sehr gelungene Ergebnis nun aus:
Bilder
-
07. Januar 2013:
Klares Gangwerk
Unesca ex Chelsea "Luna" (Oliver od Himalajskeho
Cedru x Maxima ex Chelsea) wurde als erster Hund aus meinem
U-Wurf auf HD und ED untersucht und von dem
LCD-Gutachter Dr. B. Tellhelm mit HD: A1/A1 und
ED: 0/0
ausgewertet. Besser geht's nicht :-)
Rückblick auf das Jahr
2012
Insgesamt gesehen war das Jahr 2012
für mich, meine Hunde und meine Zucht ein gutes Jahr. Der komplette
S- und der T-Wurf aus dem Jahr 2011
wurde bis auf den noch ausstehenden Röntgentermin von Thalia auf
HD und ED untersucht und in der Gesamtheit gesehen mit
überdurchschnittlich guten Ergebnissen durch den LCD-Gutachter Dr. B.
Tellhelm ausgewertet.
Alle Hunde aus meiner Zucht die zum
Wesenstest geführt wurden, haben diesen auch mit sehr
schönen Beurteilungen bestanden. Neben
Begleithundeprüfungen wurden diverse von mir gezüchtete
Labradore erfolgreich auf jagdlichen Prüfungen geführt. Zu nennen sind
hier unter anderem die Jagdliche Brauchbarkeitsprüfung mit
lebender Ente, auf der die Hündin Gemina ex Chelsea
"Alba" im Alter von bereits 6 Jahren erfolgreich geführt wurde. Auch
meine
Quieta ex Chelsea bestand die JEP mit Schweiss,
ebenso wie Sirius ex Chelsea, der im Anschluss an die
JEP im Alter von nur 20 Monaten auch die Bringleistungsprüfung
(BLP) im DRC bestehen konnte. Silva ex Chelsea wurde
bei der Jagdlichen Jugendprüfung für Retriever des LCD
als bester Hund des Tages mit dem höchsten Prädikat sehr gut
bewertet und Wurfschwester Summa ex Chelsea bestand die
JP/R im DRC. Hector ex Chelsea ist nun
neben seiner Schwester Helva ex Chelsea "Johanna" und
Marius ex Chelsea "Samuel" der 3. geprüfte
Rettungshund aus meiner Zucht. Bereits seit Januar 2012 darf
sich Kallias ex Chelsea geprüfter Therapiehund
nennen und Ferny konnte mit Libertas ex Chelsea "Kate"
die Ausbildung zum Schulhund in Luxemburg erfolgreich
abschliessen.
Auf diesem Wege möchte ich mich bei
all meinen Welpenkäufern für ihr Vertrauen in mich und meine Hunde
bedanken. Besonderer Dank geht an alle "ex Chelsea"-Besitzer, die ihre
Hunde der Rasse entsprechend ausbilden und sich auch nicht scheuen, sich
als Team mit ihrem Hund unter Prüfungsbedingungen den Richterbewertungen
zu stellen. Dabei geht es manchmal weniger um das Bestehen einer
Prüfung, sondern viel mehr um den Willen etwas mit seinem Hund zu
erreichen und eine objektive Einschätzung zu bekommen, wo man mit seinem
Hund ausbildungsmäßig steht.
Auf Ausstellungen
waren die "ex Chelsea's" in 2012 weniger vertreten, aber die Hunde die
ausgestellt wurden, wurden fast immer mit der höchsten Formwertnote
vorzüglich bewertet. In 2013 sind ein paar mehr Shows
in Planung, auf denen ich meine Phila und auch ihre
Tochter, meine kleine Nachwuchshündin Vesta ex Chelsea,
ausstellen möchte.
Phila ex Chelsea
hatte ihren ersten Wurf nach 'Devonshires Not Your Average Joe', ihre
Mutter Diva ex Chelsea ihren
letzten Wurf nach 'A Sense Of Pleasure's I'm A Joker'. Es hat sich
für mich abermals bestätigt das es absolut im Sinne der Welpen ist, sie
erst dann abzugeben, wenn man Menschen für sie gefunden hat, die
wirklich perfekt zu ihnen passen. So habe ich aus Divas Wurf noch ein
paar Welpen bei mir, die sicherlich mit mir zusammen ins neue Jahr 2013
"rutschen" werden. In 2013 werde ich aber bestimmt bald das passende
Zuhause auch für diese kleinen "ex Chelsea's" finden und solange das
nicht der Fall ist, bleiben sie wohlbehütet bei mir in meinem Rudel.
Leider gab es auch ein paar traurige
Nachrichten: Aus meinem A-Wurf aus dem Jahr 2001 verstarben
Aktaion ex Chelsea "Theo" und Argos ex Chelsea
"Tom", aus dem B-Wurf (2003) verstarb Bellinus ex Chelsea
"Paul". Die Mutter von Theo, Tom und Paul war meine
erste Labradorhündin Chelsea (Ginny vom Alstätter-Moor),
die ihren Söhnen im Alter von 14 Jahren und 5 Monaten am 10.09.2012
folgte. Ich danke den Eigentümern von Theo, Tom und Paul, das sie ihren
Hunden über die vielen Jahre ein so schönes Zuhause gegeben haben. Und
ich danke natürlich auch Barbara Reitzel, bei der meine alte Chelsea die
letzten 4 Jahre ihres Lebens ihren Ruhestand geniessen durfte und bis
zum Schluss geliebt und bestens versorgt wurde. Danke!
Mit
Maxima ex Chelsea, Phila ex Chelsea
und Quieta ex Chelsea habe
ich drei wirklich vorzügliche selbstgezüchtete Hündinnen, mit denen ich
mit Zuversicht und Hoffnung im Jahr 2013 neue Pläne angehen kann...
mal schauen, was das neue Jahr an Überraschungen für uns bereithalten
wird... !
Allen Freunden der Labradors
ex Chelsea und allen Besuchern meiner Homepage wünsche ich alles Gute
für das neue Jahr 2013.
Ihre/Eure Sylvia im Dezember 2012
- 13. Dezember
2012:
Es gibt ein wunderschönes
Foto von W-Numerus V ex Chelsea "Remo",
fotografiert von seinem neuen Eigentümer Wolfram Plettscher. Vielen Dank
für das tolle Bild!!
- 12. Dezember
2012:
LCD-Formwertbeurteilung in Düsseldorf
Silva ex Chelsea (Fameflair XXL x Diva ex Chelsea)
wurde heute von Frau H. Assenmacher-Feyel mit der Formwertnote
sehr gut beurteilt.
-
07. Dezember 2012:
Auf der W-Wurf-Seite sind seit heute Fotos
der einzelnen Welpen zu sehen. Ich habe mir zwar Mühe gegeben, aber es
war nicht ganz einfach, die schwarzen Welpen bei den recht schlechten
Lichtverhältnissen zu fotografieren.
-
06. Dezember 2012:
Der U-Wurf wird ein Jahr alt...
Vor genau einem Jahr wurden Maximas erste Welpen
völlig komplikationslos geboren. Maxima überraschte mich damals
mit 10 wunderschönen, gesunden Welpen und läutete damit die 5.
Generation "ex Chelsea's" ein. Auf diesem Wege möchte ich alle Besitzer
eines Hundes aus dem U-Wurf ganz herzlich grüßen und
hoffe, alle am 13. April 2013 zum Wesenstest
wieder zu sehen.
Auch das Röntgen der Hüft- und Ellenbogengelenke steht
nun bei allen 10 Hunden an und ich drücke ganz feste beide Daumen für
gute Ergebnisse. Bei der Auswahl eines geeigneten Tierarztes für diese
wichtige Untersuchung bin ich Ihnen selbstverständlich gerne behilflich.
Bitte sprechen Sie mich diesbezüglich einfach an...
- 28. November 2012:
Klares Gangwerk
Auch die Hündin Theia ex Chelsea "Rosa" (Devonshires
Stash x Alflasker I Have A Dream) wurde auf HD/ED untersucht und von dem
Gutachter Dr. B. Tellhelm wie ihre 5 Wurfgeschwister mit HD: A/A
und ED: 0/0
ausgewertet.
Nun fehlt nur noch die Röntgenuntersuchung der Hündin Thalia
und ich hoffe, das sie bald folgen wird...
- 14. November 2012:
Gentest-Ergebnis
Sirius ex Chelsea wurde auf
Skeletale Dysplasie - SD-2 mit dem Ergebnis N/N
(frei) getestet (Laboklin).
- 10. November 2012:
Röntgenuntersuchung
Nun liegen mir auch die offiziellen Auswertungen der
Röntgenbilder von Hüft- und Ellenbogengelenken der Hündin Thoosa
ex Chelsea "Lenja" vor: Ich freue mich sehr über HD:
A2/A2 und ED: 0/0. Desweiteren wurde auf dem Gutachten
LÜW (Lumbosakrale Übergangswirbel) Grad: 0
vermerkt.
-
03. November 2012:
LCD-Formwertbeurteilung in Altrip
Bei der heutigen LCD-Formwertbeurteilung
wurde
Sirius ex Chelsea
von Richterin Gisela Werner mit vorzüglich
bewertet und erfüllt damit nun alle Voraussetzungen für die Zulassung
zur Leistungszucht im LCD bzw. 'Jagdlichen Leistungszucht' im DRC.
Pan ex Chelsea (Devonshires Stash x Diva ex Chelsea)
wurde heute ebenfalls zur Formwertbeurteilung vorgestellt und von Frau
Werner mit sehr gut bewertet.
-
28. Oktober 2012:
Rettungshundeteam-Prüfung in Hochdorf
Hector ex Chelsea hat heute gemeinsam mit seiner
Eigentümerin Jutta Sagert die
Rettungshundeteam-Prüfung
in der Prüfungssparte Flächensuche des
Malteser Hilfsdienst e.V. erfolgreich bestanden und darf damit die
Bezeichnung "Geprüftes Rettungshundeteam nach DIN 13050" führen. Damit
ist Hector nach Helva ex Chelsea
"Johanna" der zweite geprüfte Rettungshund aus meinem H-Wurf (Kindly
American Eagle v.d. Weeward x Bonitas ex Chelsea).
Ich freue mich sehr über diese Leistung und gratuliere dem Team ganz
herzlich!
-
28. Oktober 2012:
JP/R (DRC) in Schifferstadt
Nachdem Sirius gestern in Schifferstadt schon die BLP erfolgreich
bestanden hat, habe ich heute Wurfschwester Summa ex Chelsea
im gleichen Revier zur JP/R geführt. Zwar haben wir
noch ein paar Baustellen an denen wir weiter konsequent arbeiten müssen,
aber letztendlich konnte
Summa die jagdliche Jugendprüfung unter den
erfahrenen Richtern Inga Gottwald, Edmund Sagawe und Gorch-Peter Nolte
mit einem für mich zufriedenstellenden Ergebnis in einem sehr schönen
Revier bestehen. Ich danke Summas Eigentümerin Barbara Reitzel dafür,
dass sie mir Summa für diese Prüfung zur Verfügung
gestellt hat.

Foto: Sigrid Flory
-
27. Oktober 2012:
BLP (DRC) in Schifferstadt
Sirius ex Chelsea wurde heute
im Alter von nur 20 Monaten von seinem Eigentümer K.D. Schüßler
erfolgreich zur Bringleistungsprüfung des DRC geführt.
Von den insgesamt 9 an diesem Tag zur Prüfung angetretenen Teams konnten
nur 2 Hundeführer mit ihren Hunden die Prüfung in dem anspruchsvollen
Gelände bei Schnee und Regen bestehen. Unter den Richtern Inga Gottwald
sowei Helga und Gorch-Peter Nolte erhielt Sirius gute
261 Punkte. Waidmannsheil, lieber KD. Die "... ex
Chelsea's" sind sehr stolz auf Euch!
-
21. Oktober 2012:
Langschleppenprüfung 800 m in Karbach/RLP
Kronos ex Chelsea
"Lucca" und
Sirius ex Chelsea
beweisen Finderwillen und Ausdauer und bestehen somit die vereinsinterne
Langschleppenprüfung über 800 m der
Kreisgruppe Rhein-Hunsrück des Landesjagdverbandes Rheinland-Pfalz.
-
20. Oktober 2012:
Begleithundeprüfung des VDH
Nachdem Helios ex Chelsea "Heli" vergangenen
Sonntag von Peter Jost zu seinem ersten kleinen Workingtest-Erfolg
geführt wurde, bestanden die beiden heute die
Begleithundeprüfung des VDH. Helios' Training musste aufgrund
gesundheitlicher Probleme immer wieder unterbrochen werden und so freue
ich mich umso mehr, das der unermüdliche Einsatz von Helis Besitzern nun
endlich auch von Erfolg gekrönt wird. Meine herzlichen Glückwünsche an
das Team!
-
14. Oktober 2012:
DRC-Workingtest 'Rheingau-Trophy' in Wiesbaden
Helios ex Chelsea "Heli" startete beim 1.
Workingtest der DRC-BZG 8 in Wiesbaden in der
Schnupperklasse und konnte diese, geführt von seinem Eigentümer
Peter Jost, mit einem sehr guten Ergebnis bestehen.
-
13. Oktober 2012:
Jagdliche Brauchbarkeit
Sirius ex Chelsea
(Fameflair XXL x Diva ex Chelsea)
hat heute die Jagdeignungsprüfung (JEP)
erfolgreich bestanden und erhielt damit die
Bescheinigung des Landes Hessen über die Brauchbarkeit von
Jagdhunden. Geführt wurde Sirius von seinem Eigentümer
Klaus-Dieter Schüßler. Herzlichen Glückwunsch und viel Waidmannsheil für
die Zukunft!

-
07. Oktober 2012:
Black is beautiful: Der W-Wurf ist geboren
Das Ergebnis einer langen, schlaflosen Nacht: Diva hat, wie ich es von
ihr bei ihren vorangegangenen Würfen kannte, auch dieses Mal völlig
komplikationslos und instinktsicher ihren letzten Wurf nach 'A Sense Of
Pleasure's I'm A Joker' zur Welt gebracht. Ich freue mich sehr über 6
gesunde Rüden und 3 ebenso gesunde und muntere Hündinnen.
Diva hat sich als spitzen Zuchthündin erwiesen und geht nach der
Aufzucht ihrer letzten Welpen in ihren wohlverdienten (Zucht-)
Ruhestand.
-
06. Oktober 2012:
Rettungshundeprüfung des BRH (Trümmer)
Nachdem Marius ex Chelsea "Samuel" (Beechcroft's American Style
x Diva ex Chelsea) bereits vor einiger Zeit die Rettungshundeprüfung
(Fläche) des BRH bestanden hat, legt er nun auch die
Rettungshundeprüfung (Trümmer) erfolgreich ab. Geführt wurde
"Samuel" von seiner Eigentümerin Magret Koch. Ganz herzlichen
Glückwunsch zu dieser tollen Leistung an das erfolgreiche Team!
-
30. September 2012:
DPE/R (LCD) in Elze, Richterin: Eva Berg (DRC)
Fides ex Chelsea (Rosefair For Pleasure x Bonitas ex Chelsea)
besteht, geführt von ihrer Eigentümerin Christa Knigge, die
Dummy-Prüfung für Einsteiger
des LCD.
Herzlichen Glückwunsch an das erfolgreiche Team.
- 25.
September 2012: Die Hüft- und Ellenbogengelenke des Rüden Titan
ex Chelsea "Toni" (Devonshires Stash x Alflasker I Have A Dream)
wurden von Gutachter Dr. B. Tellhelm, ebenso wie seine 3 bislang
untersuchten Geschwister, mit HD: A/A und ED: 0/0
ausgewertet. Ich freue mich sehr darüber und schicke auf diesem Weg
viele Grüße an Familie Marzahl in den hohen Norden.
Time To Say Good Bye
CHELSEA
(Ginny vom Alstätter-Moor)

*
23.04.1998
t
10.09.2012
Chelsea werde ich in
Kürze eine eigene Seite auf meiner Homepage widmen, auf der ich das was
sie mir und für meine Zucht bedeutet hat, niederschreiben werde.
- 08./09.
September 2012:
JEP/S beim Landesjagdverband NRW
Gemina ex Chelsea "Alba" (Mallorn's Diesel x Bella ex Chelsea)
hat an diesem Wochenende die Jagdliche Brauchbarkeitsprüfung
auf Niederwild und Schalenwild in Nordrhein-Westfalen bei der
Kreisjägerschaft Dortmund e.V. erfolgreich bestanden.
Waidmannsheil und viele Grüße nach Dortmund an Heike Thomae und Frank
Montag mit Alba J
- 28. August
2012:
Durchblick & Klares Gangwerk
Die Untersuchung auf
erbliche Augenerkrankungen bei
Sirius ex Chelsea
(Fameflair XXL x Diva ex Chelsea)
ergab keinen Befund, d.h. er ist zum jetzigen Zeitpunkt unter anderem
HC, RD und PRA frei.
Von Talos ex Chelsea (Devonshires Stash x Alflasker I Have A
Dream) liegen mir seit heute die offiziellen Röntgenauswertungen der
Hüft- und Ellenbogengelenke vor:
HD: A1/A1 und ED: 0/0
F
besser geht's nicht J
- 26. August
2012:
JEP/S beim Landesjagdverband Rheinland-Pfalz
Meine Hündin
Quieta ex Chelsea
hat heute
die Jagdeignungsprüfung mit Schweiss (JEP/S) bestanden und
erhielt damit die Bescheinigung über die Brauchbarkeit von Jagdhunden
nach § 36 LJagdG RLP. Ich bedanke mich ganz herzlich bei den Ausbildern
und Richtern der Kreisgruppe Rhein-Hunsrück des Landesjagdverbandes
Rheinland-Pfalz e.V. für ihren unermüdlichen Einsatz rund um die
Ausbildung und die Durchführung der Prüfung.
- 08. August
2012: Erwartete Welpen nach Joker und Diva
Meine Hündin Diva ex Chelsea wurde heute von dem schönen und
äußerst erfolgreichen Rüden A Sense Of Pleasure's I'm A Joker
gedeckt.
- 06. August
2012: Gesunde Hüft- und Ellenbogengelenke
Nach ihrer Schwester 'Talis' liegen mir seit heute auch von der Hündin
Themis ex Chelsea (Devonshires Stash x Alflasker I Have A Dream)
die offiziellen Röntgenauswertungen der Hüft- und Ellenbogengelenke vor:
Ich freue mich sehr über HD: A2/A2 und
ED: 0/0.
Aus diesem Wurf wurde auch Talos ex Chelsea bereits geröntgt, die
offiziellen Gutachten stehen allerdings hier noch aus...
- 21. Juli 2012:
DRC-Wesenstest in Duisburg: Richter: Uwe Görlas
Silva ex Chelsea (Fameflair XXL x Diva ex Chelsea) besteht,
geführt von ihren Eigentümern Heike & Dietmar Lober, den
DRC-Wesenstest
mit einer wirklich sehr schönen Beurteilung:
"Insgesamt eine
sichere und führige Hündin mit einem großen Arbeitspotential, die in
jeder Situation gut belastbar ist."
- 16. Juli 2012:
Gesunde Hüft- und Ellenbogengelenke
Von der Hündin Talis ex Chelsea (Devonshires Stash x Alflasker
I Have A Dream) liegen mir seit heute die offiziellen
Röntgenauswertungen der Hüft- und Ellenbogengelenke vor: HD: A1/A1
und ED: 0/0.
- 10. Juli 2012:
Abschied von 'Bellinus ex Chelsea'
Bellinus ex Chelsea 'Paul' (Coco Loco's Porsche x Ginny vom
Alstätter-Moor) war ein Bruder meiner beiden Hündinnen Bella und Bonitas
und lebte zusammen mit seinem Neffen Romulus ex Chelsea 'Sam' auf
der schönen Insel Rügen. Krankheitsbedingt durfte 'Paul' leider nur 9
Jahre alt werden. Es tut mir sehr leid! Auch wenn 'Sam' die Lücke die
'Paul' hinterläßt nicht schließen kann hoffe ich, das er den Schmerz
über diesen Verlust wenigstens ein bisschen erträglicher machen kann.
Meinen herzlichen Dank an Bettina Steindor und Rüdiger Croonen für
alles, was Sie für Paul getan haben.

*
05.06.2003
t
10.07.2012
- 07. Juli 2012:
Formwertbeurteilung in Flieden bei Fulda
Meine Hündin
Quieta ex Chelsea
(Beechcroft's American Style x Alflasker I Have A Dream) wurde heute von
der sehr netten Richterin Gisela Werner mit vorzüglich
bewertet. Damit erfüllt Quieta nun alle Voraussetzungen für die
Zulassung zur Zucht im LCD, soll aber wenn ich es trotz "Welpenstress"
zeitlich schaffe, im Herbst erstmal noch die jagdliche
Brauchbarkeitsprüfung ablegen, bevor ich 2013 den ersten Wurf mit ihr
plane.
- 06. Juli 2012:
Der Gentest auf Narkolepsie ergab, das Phila
ex Chelsea
(Devonshires Stash x Diva ex Chelsea) reinerbig für das intakte Gen ist =
Genotyp N/N (frei).
- 01. Juli 2012:
LCD-SRA in Stolberg
Libertas ex Chelsea "Kate" (Tapeatom Born A Star x Alflasker I
Have A Dream) wurde in der qualitativ sehr gut besetzten 'Offenen
Klasse' von Richterin Mairi Brown (UK) mit V3 bewertet und
erhielt einen excellenten Richterbericht:

"Very nice
yellow bitch, lovely head and expression. Presented in excellent
condition. Good balanced with good backend. A nice type of a bitch who
moves well."
- 23. Juni 2012:
Begleithundeprüfung des VdH Dreieich-Offenthal
Melissa ex Chelsea (Beechcroft's American Style x Diva ex
Chelsea) hat heute, geführt von ihrer Eigentümerin Ilona Schiffel, die
BHP des VDH in Dreieich-Offenthal erfolgreich bestanden.
Richterin der Prüfung war Ingeborg Klingeberger. Dem Team meine
herzlichen Glückwünsche zu diesem schönen Erfolg!
- 20. Juni 2012:
Der A-Wurf wurde vor 11 Jahren geboren
Die zwei Hündinnen aus meinem A-Wurf, Althaia und
Aurea, werden heute 11 Jahre alt. Ich wünsche beiden
Hündinnen weiterhin alles Gute und noch eine schöne, lange, gemeinsame
Zeit mit ihren Familien.
Unvergessen sind Aktaion "Theo" und Argos
"Tom", die leider beide dieses Jahr verstorben sind.

Auf dem Foto sieht man Althaia
ex Chelsea 'Thaia' mit ihrer Besitzerin Heidi Pietsch bei ihrem
letzten Start im Obedience im Frühjahr 2011:
"Mit Charme, Fleiß und ganz viel Spaß haben wir es sogar in die
schwierigste Obedience-Klasse geschafft und sind kleine Meisterschaften
mitgelaufen."
Vielen Dank für die E-Mail und das
schöne Foto.
- 12. Juni 2012:
Wie die Zeit vergeht...
Mein
T-Wurf
wird heute schon 1 Jahr alt! Auf diesem Wege möchte ich alle
Besitzer der T's mit ihren Hunden ganz herzlich Grüßen und wünsche für
die anstehende Röntgenuntersuchung der Hüft- und
Ellenbogengelenke alles Gute. Bei der Auswahl eines geeigneten
Tierarztes für diese Untersuchung bin ich gerne behilflich. Sprechen Sie
mich hierzu einfach an. Bitte denken Sie auch an den Wesenstest,
sofern Ihr Hund diesen noch nicht durchlaufen hat. Termine hierzu finden
Sie auf den Homepages des LCD und des DRC.
- 09. Juni 2012:
Der V-Wurf ist geboren...
Phila
(Devonshires Stash x Diva ex Chelsea) hat heute in einer
komplikationslosen Geburt völlig instinktsicher 7 gesunden Welpen nach
Devonshires Not Your Average Joe
das Leben geschenkt. Ich freue mich sehr über 4 Rüden und 3
Hündinnen.
- 31. Mai 2012:
Abschied
Nach kurzer, schwerer Erkrankung hat Argos ex Chelsea
"Tom" (Fameflair Monty Python x Ginny vom Alstätter-Moor) kurz vor seinem
11. Geburtstag seine letzte Reise angetreten. "Tom" durfte an der Seite
von Basileia ex Chelsea "Leia" ein schönes Leben als
vielgeliebter Familienbegleithund führen und war nicht zuletzt auch für
mich etwas ganz Besonderes, war er doch der erste Rüde, der in meiner
kleinen Zucht geboren wurde.
- 06. Mai 2012:
Begleithundeprüfung A + B des DRC in Lübeck
Rheia ex Chelsea "Annie" (Special Friend's Jumping Jack Flash x
Bonitas ex Chelsea) besteht heute, geführt von ihrer Eigentümerin
Christina Heyde, die BHP A + B
des DRC mit guten 66 von 80 Punkten. Richter der Prüfung war Josef Gleis.
Herzlichen Glückwunsch!
- 05. Mai 2012:
Augenuntersuchung
Die Augen der Hündin Palatina ex Chelsea wurden heute durch Dr.
F. C. Stades als PRA/RD/HC
frei begutachtet.
- 29. April
2012: LCD-SRA in Bad Soden
In einer mit 12 Hündinnen großen 'Offenen Klasse' die qualitativ sehr
stark besetzt war, kam meine Phila ex Chelsea (Devonshires Stash
x Diva ex Chelsea) mit der Bewertung excellent in die Auswahl der
besten 6 Hündinnen unter Richterin Marlene Hepper (UK).

"Pretty head and
expression; excellent pigmentation; good neck and front; good bone; deep
chest; short coupled; strong quarters; moves well."
Sirius ex
Chelsea (Fameflair XXL x Diva ex Chelsea) wurde das erste Mal
ausgestellt und erhielt in der mit 18 Rüden sehr stark besetzten
Jugendklasse unter Richterin Verena Neuburger aus der Schweiz
ebenfalls die Bewertung vorzüglich und einen schönen
Richterbericht.
- 28. April
2012: LCD-Wesenstest in Karbach
Folgende fünf Labradore aus meiner Zucht wurden heute über den
LCD-Wesenstest
geführt und haben alle mit schönen Beurteilungen bestanden:
Aus dem
R-Wurf
(Special Friend's Jumping Jack Flash x Bonitas ex Chelsea):
Remus ex Chelsea,
aus dem
S-Wurf
(Fameflair XXL x Diva ex Chelsea):
Sirius ex Chelsea
&
Severa ex Chelsea
und aus dem
T-Wurf
(Devonshires Stash x Alflasker I Have A Dream):
Talis ex Chelsea
&
Themis ex Chelsea
Beurteilt wurden die Hunde von Claudia Pelzer, bei der ich mich ganz
herzlich für ihr Kommen und das faire Richten bedanke. Leider konnten
mehrere Hündinnen wegen Läufigkeit nicht teilnehmen, aber für sie werden
wir sicher Ersatztermine finden.
J
- 22. April
2012: Begleithundeprüfung B des GRC in Gelsenkirchen
Silva ex Chelsea besteht die BHP-B des GRC mit 19 von 24
Punkten und der daraus resultierenden Gesamtnote gut. Richterin
der Prüfung war Susanne Loos.
Dummyprüfung-A
mit Schuss des GRC in Gelsenkirchen
Silva ex Chelsea besteht am selben Tag auch die DP-A mit
Schuss des GRC mit guten 23 von 30 Punkten. Richterin der Prüfung
war auch hier Susanne Loos. Geführt wurde Silva auf beiden
Prüfungen von ihrem Eigentümer Dietmar Lober.
- 17. April
2012: Gesunde Hüft- und Ellenbogengelenke
Silvanus ex Chelsea: HD: A2/A2, ED: 0/0
(Fameflair XXL x Diva ex Chelsea)
Quinta ex Chelsea : HD: B2/B2, ED: 0/0
(Beechcroft's American Style x Alflasker I Have A Dream)
Damit ist auch der Q-Wurf komplett auf HD und ED untersucht, vom
S-Wurf
fehlt nur von der Hündin Stella noch die offizielle Auswertung
durch den Gutachter.
- 14. April
2012: JP/LR in Venne-Ostercappeln bei Osnabrück
Sirius ex Chelsea (Fameflair XXL x Diva ex Chelsea) besteht,
geführt von K.-D. Schüßler, die JP/LR (Jagdliche Jugendprüfung für
Labrador Retriever) mit dem Prädikat *gut*.
Auszug aus dem Richterbericht:
"Der Hund stellt bei seiner sehr guten selbständigen Arbeit seinen
hohen Finderwillen bei effektivem Nasengebrauch unter Beweis."
Auch Silva ex Chelsea wurde heute auf dieser JP/LR geführt
und mit dem bei dieser Prüfung höchsten Prädikat *sehr gut*
beurteilt. Damit wurde Silva nicht nur sehr gut bewertet, sondern
konnte am Ende, geführt von ihrem Eigentümer Dietmar Lober, auch als
tagesbester Hund nach Hause fahren!
Auszug aus dem Richterbericht:
"Freudige Hündin mit einem schönen Arbeitsstil, temporeich,
arbeitswillig mit großer Führigkeit.
Richter der Prüfung waren Wolfgang Schöning, Marlen Meier und Andreas
Rimkeit.
Beiden
erfolgreichen Teams meine herzlichen Glückwünsche und Danke für das
Vorstellen der beiden Hunde auf dieser jagdlichen Anlagenprüfung!
- 11. April
2012: Der V-Wurf wird erwartet
Meine Hündin
Phila ex Chelsea
wurde am 11. April von dem amerikanischen Rüden Devonshires Not Your
Average Joe gedeckt. Wenn alles planmäßig verläuft, erwarte ich
Philas ersten Wurf um den 13. Juni 2012. Nähere Infos zu der Verpaarung
folgen in Kürze...
- 17. März 2012:
Vom jagdlichen Training in Karbach mit Sirius, Silva und
Phila ex Chelsea gibt es eine
Fotoseite.
Vielen Dank an Heike Lober für die vielen schönen Bilder.
- 14. März 2012:
Bei schönem Frühlingswetter habe ich heute endlich auch von der kleinen
Utilitas schöne Fotos machen können. Siehe
hier
- 06. März 2012:
Fotoshooting in Köln
Ein etwas anderer Tag im Leben meines Rudels fand heute in Köln statt,
denn Diva,
Phila
und drei mittlerweile 13 Wochen alte Welpen aus meinem aktuellen
U-Wurf
waren für ein Werbe-Fotoshooting einer großen Fachmarktkette für
Heimtierbedarf gebucht. Diva, Phila und die drei Welpen zeigten sich von
ihrer besten Seite und nun warten wir gespannt ab, ob meine Hunde
demnächst einige Produkte des Konzerns zieren werden... es war auf jeden
Fall ein schöner Tag in einer angenehmen Atmosphäre, den wir bei Bedarf
jederzeit wiederholen würden.
- 03. März 2012:
Begleithundeprüfung beim RFV e.V. Aachen (DVG/dhv/VDH)
Pales ex Chelsea "Molly"
(Devonshires Stash x Diva ex Chelsea) besteht, geführt von ihrer
Eigentümerin Uschi Buresch, die BHP beim Retriever-Förder-Verein
e.V. Aachen.
Herzlichen Glückwunsch!

- 03. März 2012:
Formwert in Dülmen
Palatina ex Chelsea "Ina"
(Devonshires Stash x Diva ex Chelsea) wird von Richterin Tanja Nordhues
mit der Formwertnote 'sehr gut' bewertet.
- 01. März 2012:
Gesunde Gelenke + Gentestergebnisse
Quarta ex Chelsea "Luna": HD: B2/B2, ED: 0/0
(Beechcroft's American Style x Alflasker I Have A Dream)
Severa ex Chelsea "Bonnie": HD: A2/A2, ED: 0/0
(Fameflair XXL x Diva ex Chelsea)
Quieta ex Chelsea: EIC: N/N (frei)
(Beechcroft's American Style x Alflasker I Have A Dream)
Phila ex Chelsea: EIC: N/EIC (Träger)
(Devonshires Stash x Diva ex
Chelsea)
- 25. Februar
2012:
Spezial-Rassehunde-Ausstellung in Obernkirchen (LCD)
Libertas ex Chelsea "Kate" (Tapeatom Born A Star x Alflasker I
Have A Dream) wurde in der mit 9 Hündinnen gut besetzten 'Offenen
Klasse' von Mr. Shaun Williamson mit vorzüglich auf den
zweiten Platz gesetzt und erhielt eine Res. Anwartschaft auf
den VDH-Ch.
In der mit 15 Hündinnen sehr großen Zwischenklasse wurde Rheia ex
Chelsea "Annie" (Special Friend's Jumping Jack Flash x
Bonitas ex Chelsea) ausgestellt und erhielt eine vorzügliche
Bewertung.
Bei der
anschließenden LCD-Formwertbeurteilung
wurde Rheia ex Chelsea von Richterin Tanja Nordhues ebenfalls mit
vorzüglich
bewertet und erfüllt nun alle Voraussetzungen für die Zulassung zur Zucht.

- 13. Februar
2012:
Gesundes Gangwerk
Drei Hunde aus meinem
S-Wurf
(Fameflair XXL x Diva ex Chelsea) trafen sich heute in der
veterinärmedizinischen Uniklinik in Giessen zum Röntgen der Hüft- und
Ellenbogengelenke und wurden wie folgt ausgewertet:
Sirius ex Chelsea: A2/A2, ED: 0/0
Silva ex Chelsea: A2/B2, ED: 0/0
Summa ex Chelsea: A2/B1, ED: 0/0
- 07. Februar
2012:
Der S-Wurf wird ein Jahr alt
Die Nachkommen von Fameflair XXL x Diva ex Chelsea
werden heute ein Jahr alt. Für die anstehende Röntgenuntersuchung wünsche
ich alles Gute und hoffe, alle am 28.04.2012 zum Wesenstest wieder zu
sehen. Bis dahin viele Grüße an die Besitzer von Silvanus "Shadow",
Sirius, Severa "Bonnie", Silva und Stella. Summa lebt ja hier bei mir
und erhält heute natürlich auch ein Extra-Verwöhnprogramm
J
- 31. Januar
2012: Maximas Welpen sind nun schon 8 Wochen alt und sind zu
wunderschönen, kleinen Persönlichkeiten herangewachsen. Gestern hatten
sie Besuch vom Tierarzt, der sie untersucht, geimpft und den Microchip
implantiert hat. Anschließend fand die sogenannte Wurfabnahme durch eine
Zuchtwartin des LCD's statt, die uns bescheinigte, dass zum jetzigen
Zeitpunkt alle Welpen ohne zuchtausschließende Fehler sind. Ich freue
mich sehr, dass Maximas erster Wurf sich so toll entwickelt hat!
- 21. Januar
2012:
Abschied
Aktaion ex Chelsea "Theo" (Fameflair Monty Python x Ginny vom
Alstätter-Moor) begleitete 10,5 Jahre lang Stephie & Michael Kerger auf
allen Wegen. "Theo" wurde nicht nur erfolgreich auf Prüfungen geführt
(u.a. BLP m.l.E. mit 341 Pkt.), sondern durfte als Jagdgebrauchshund im
regelmäßigen jagdlichen Einsatz ein ausgefülltes, schönes Retrieverleben
führen. Am 21. Januar 2012 trat "Theo" krankheitsbedingt seine letzte
große Reise an. Vielen Dank an Stephie und Michael für alles, was Ihr
für "Theo" getan habt.
- 14. Januar
2012:
Geprüfter Therapiehund
Kallias ex Chelsea 'Kalli' (Dual's Hope Xerox x Bella ex
Chelsea) hat zusammen mit seiner Eigentümerin Yvonne Hoffmann die
umfangreiche Ausbildung zum Therapiebegleithund erfolgreich
abgeschlossen und darf sich nun geprüfter Therapiehund nennen.
Das habt Ihr gut gemacht, liebe Yvonne!
- 08. Januar
2012:
Mittlerweile sind Maximas Welpen schon gute 4 Wochen alt. Die
ersten Besucher waren zwischenzeitlich hier und wurden neugierig von den
Kleinen in Augenschein genommen. Bei allen Welpen ist schon absehbar,
das sie korrekte Scherengebisse bekommen werden und bei den Rüden sind
jeweils schon beide Hoden tastbar. Das bedeutet, das bislang bei keinem
der Welpen zuchtausschließende Fehler zu erkennen sind.
Für meine
süße
Thalia habe ich zwischenzeitlich ein schönes Zuhause gefunden. Da
sie zu einem unkastrierten Rüden ziehen wird, bleibt sie noch ein paar
Tage bei mir, bis ihre gerade begonnene erste Läufigkeit vorüber ist.
Anschließend wird sie das Leben von Familie Langsfeldt und Milo
bereichern.
- 07. Januar
2012:
Show in Hoogstraten/Belgien, Richter: Julia Lewis (UK)
Optima ex Chelsea "Angel" wurde von ihrer Eigentümerin Mariska
de Laat ausgestellt und erhielt von Julia Lewis eine
vorzügliche Bewertung und den 4. Platz. "Angel" lebt im
holländischen Kennel
Of Angelsfantasy.

- 24. Dezember
2011: Maximas Welpen
sind nun schon 19 Tage alt und entwickeln sich sehr, sehr schön.
Pünktlich zu Weihnachten habe ich heute bestes, frisches Rinderhack
gekauft und die Kleinen erstmals damit angefüttert. Ich würde sagen, sie
waren mit meiner Weihnachtsüberraschung sehr zufrieden
J
- 21. Dezember
2011: Auch die letzte Röntgenauswertung von einem Hund aus
meinem
R-Wurf
(Special Friend's Jumping Jack Flash x Bonitas ex Chelsea) liegt seit
heute vor: Roma ex Chelsea
"Pypy":
HD: A2/A2,
ED: 0/0. Damit ist Bonitas' letzter Wurf komplett auf HD und
ED untersucht und alle Hunde mit besten Ergebnissen ausgewertet worden.
Ein schöner Abschluß für Bonitas' "Zuchtkarriere". Den Eigentümern der
R's wünsche ich viel Spaß und Erfolg bei den weiteren Plänen mit ihren
Hunden und bedanke mich ganz herzlich dafür, das alle ihre Zusagen die
Hunde röntgen zu lassen, eingehalten haben.
- 19. Dezember
2011: Seit heute liegt auch das Ergebnis der Röntgen-Untersuchung
von Hüft-und Ellenbogengelenken der Hündin Quaerita ex Chelsea (Beechcroft's
American Style x Alflasker I Have A Dream) vor: HD: A2/A2,
ED: 0/0 *freu*
- 06. Dezember
2011: Der U-Wurf, oder: Maximas Welpen sind geboren!
Meine
Maxima ex Chelsea
(Beechcroft's American Style x Diva ex Chelsea) hat vergangene Nacht
innerhalb von nur vier Stunden völlig komplikationslos 10 gesunden
Welpen nach Int. Ch. mit Working-Certificat, Oliver od
Himalajskeho Cedru, das Leben geschenkt. Ich freue mich sehr über 3
gelbe Rüden, 4 gelbe Hündinnen und 3 schwarze Hündinnen.
- 03. Dezember
2011: DRC-Clubschau in Kassel
Nach langer Ausstellungspause besuchte ich mit
Phila ex Chelsea
die diesjährige DRC-Clubschau in Kassel. Phila wurde
in der Zwischenklasse von der dänischen Richterin Lene Johannsen mit 'vorzüglich'
bewertet und erhielt einen schönen Richterbericht:
Nearly 2 years
old bitch of very nice type, size and lovely expression. Good neck,
enough angulation front and rear; short coupled with good depth, good
topline, strong bones, good feet and coat. Soundmover with good drive.

Bei dieser
Gelegenheit nutzte ich auch das Angebot, die Augen meiner Hunde
untersuchen zu lassen. Ich freue mich über
Phila ex Chelsea: PRA/RD/HC frei
Quieta ex Chelsea: PRA/RD/HC frei
Untersuchender Tierarzt war Jens Knudsen aus Dänemark.
- 23. November 2011: Gesunde Hüft-und Ellenbogengelenke auch bei
Rapida ex Chelsea "Romy":
HD: A2/A2,
ED: 0/0 und
Rhenus ex Chelsea: HD: A2/A2,
ED: 0/0 *freu*
(Special Friend's Jumping Jack Flash x Bonitas ex Chelsea)
- 23. Oktober
2011: BRH-Rettungshundeprüfung in Morbach
Marius ex Chelsea 'Samuel' (Beechcroft's American Style x Diva
ex Chelsea) besteht heute die
Rettungshunde-Flächenprüfung A
mit der Gesamtnote 'gut' unter Leistungsrichterin Evelyn Vöhl.
Geführt wurde 'Samuel' von seiner Eigentümerin Magret Koch von der
BRH-Rettungshundestaffel Saar e.V.
Damit ist
'Samuel' neben Helva ex Chelsea 'Johanna' der zweite geprüfte
Rettungshund aus meiner Zucht im Saarland. Tolle Leistung, herzlichen
Glückwunsch, liebe Magret!
- 22. Oktober
2011: JP/R des DRC in Braunfels-Philippstein /Hessen
Heute verbrachte ich mit meiner
Phila ex Chelsea
einen sehr schönen Prüfungstag in Braunfels-Philippstein, den wir
erfolgreich mit dem Bestehen der 'Jagdlichen Jugendprüfung' des
DRC mit 260 Pkt. abschliessen konnten. Richter der Prüfung waren
Claudia Schaper (DRC), Theo Juli (JGHV) und Arthur Grölz (JGHV).
Ein schönes Gruppenfoto gibt es
hier
- 02. Oktober
2011: Nachtrag zum 5. Workingtest 'Lake and Land'
Mit gerade mal knapp 8 Monaten und als jüngste Teilnehmerin startete
Silva ex Chelsea, geführt von Dietmar Lober, beim Workintest 'Lake
and Land' in der Schnupperklasse und erreichte mit 91/100 Punkten
einen beachtlichen 3. Platz von 24 Startern. Glückwunsch zu
diesem schönen Erfolg an das Team!

- 14./15. Okt.
2011:
Bundessieger- und Nationale Ausstellung in Dortmund
Optima ex Chelsea 'Angel' wurde an beiden Tagen ausgestellt und
konnte die 'Offene Klasse' der Hündinnen auf der Nationalen
Ausstellung unter Richterin Mrs. Harris (AUS) mit der Bewertung V1 +
Anw. Dt. Ch.VDH gewinnen, nachdem sie am Vortag auf der Budessieger-Ausstellung
von Mr. Rawlinson (UK) mit V4 platziert wurde. Well done, Mariska!

- 10. Oktober
2011: Klares Gangwerk auch bei Remus ex Chelsea (Special
Friend's Jumping Jack Flash x Bonitas ex Chelsea). Bei der heutigen
Röntgenuntersuchung wurden die Gelenke von Remus von dem LCD-Gutachter
Dr. Tellhelm mit HD: A1/A1
und ED: 0/0 beurteilt. Besser geht's nicht. *freu*
Remus
zog als letzter Rüde des R-Wurfes mit knapp 9 Monaten in sein neues
Zuhause ganz in meiner Nähe. Vielen Dank liebe Ute und lieber Klaus, das
"unser" Remus bei Euch ein so schönes Zuhause gefunden hat
J
- 07. Oktober
2011: Meine
Maxima ex Chelsea
(Beechcroft's American Style x Diva ex Chelsea) erhielt am 18.09.2011
die Zulassung zur Zucht ohne Auflagen und wurde heute von dem
Int. Ch. mit Working-Certificat, Oliver od Himalajskeho Cedru,
gedeckt.
- 01. Oktober
2011:
VPS - Verbandsprüfung nach dem Schuss
Kronos ex Chelsea
"Lucca" besteht mit einer sehr guten Leistung die Verbandsprüfung
nach dem Schuss (VPS) beim Jagdgebrauchshundverein Nassau e.V.
unter den Richtern J. Jantos, I. Lemp und B. Fries, sowie dem
Sonderrichter Schweiss, Manfred Bördner.
Waidmannsheil, lieber K.D.
- 13. Sept. 2011: Auch von
Rhamses ex Chelsea "Mounty"
(Special Friend's Jumping Jack Flash x Bonitas ex Chelsea)
liegt seit heute das offizielle Röntgenergebnis vor:
HD: A1/A1
und ED: 0/0
- 09. Sept. 2011:
Die Röntgenbilder der Hüft- und Ellenbogengelenke des Rüden Romulus
ex Chelsea "Sam" (Special Friend's Jumping Jack Flash x Bonitas ex
Chelsea) wurden von dem Gutachter Dr. B. Tellhelm mit HD:
A2/A2
und ED: 0/0 ausgewertet. Ich freue mich sehr darüber, danke den
Eigentümern von Sam für das wiederholte Vertrauen in mich und meine
Hunde und schicke viele liebe Grüße auf die Insel Rügen.
- 09. Sept. 2011:
Arbeitsprüfung mit Dummys (APD/R-A) des DRC in Sigmaringen
Nachtrag: Bereits am 16.07.2011 bestand die Hündin Octas ex Chelsea
"Tamina"
(Bradston's Up Up And Away x Bonitas ex Chelsea), geführt von ihrer
Eigentümerin Ariane Mett,
die APD/R-A des DRC mit vorzüglichen 78 von 80 Pkt.
Richterin der Prüfung war Petra Beringer. Glückwunsch zu diesem schönen
Ergebnis!
- 01. September
2011: Der Rüde Hector ex Chelsea (Kindly American Eagle v/d
Weeward x Bonitas ex Chelsea) hat als einer von vier Hunden an einer
wissenschaftlich begleiteten Studie zur Früherkennung von Lungenkrebs
beim Menschen teilgenommen. Dabei wurde herausgefunden, dass Hunde
anhand des Geruchs der Atemluft eines Menschen herausselektieren können,
ob eine Person an Lungenkrebs leidet oder nicht. Über die Erfolge dieser
Studie und dabei natürlich auch über 'Hector' wurde nun erneut mehrfach
in den Medien berichtet:
BILD Stuttgart 19.08.2011
Regio-TV 30.08.2011
- 17. August
2011:
Auf der Seite von
Kronos ex Chelsea
'Lucca' habe ich ein paar aktuelle Bilder eingestellt.
-
11. August 2011: Nachdem mein
T-Wurf
vergangene Woche tierärztlich untersucht, geimpft und gechippt wurde sowie
die sog. Wurfabnahme durch einen LCD-Zuchtwart stattgefunden hat, sind
am letzten Wochenende bereits die ersten Welpen in ihr neues Zuhause
umgezogen.
-
06. August 2011: CACIB Ludwigshafen
Libertas ex Chelsea "Kate" (Tapeatom Born A Star x Alflasker I
Have A Dream) wird in der 'Offenen Klasse' mit vorzüglich
bewertet und auf den 3. Platz gesetzt.

-
04. August 2011:
Mein
T-Wurf
wurde heute tierärztlich untersucht, geimpft und gechippt. Anschließend
fand die sog. Wurfabnahme durch einen LCD-Zuchtwart statt der mir
bescheinigte, dass alle Welpen zum jetzigen Zeitpunkt ohne erkennbare,
zuchtausschließende Fehler sind. Damit können die ersten Welpen ab
kommenden Sonntag in ihr neues Zuhause umziehen.
-
03. August 2011:
Pan ex Chelsea (Devonshires
Stash x Diva ex Chelsea) besteht, geführt von Alex Kirchberger, mit
einem sehr guten Ergebnis den VDH-Hundeführerschein. Herzlichen
Glückwunsch!
-
22. Juni 2011: Die Hündin Rheia ex Chelsea "Annie" wurde
heute als erster Hund meines
R-Wurfes
geröntgt und die Hüft- und Ellenbogengelenke von dem Gutachter Dr. B.
Tellhelm mit HD: A1/A1
und ED: 0/0 ausgewertet. Liebe Tina, ich freue mich sehr mit Dir
und wünsche Dir bei all Deinen Zukunftsplänen mit Annie alles Gute!
-
20. Juni 2011: Ein besonderer Tag: 10 Jahre *Labradors ex
Chelsea*
Heute vor genau 10 Jahren erblickte in einer langen und aufregenden
Nacht der erste Wurf meiner kleinen Zucht das Licht der Welt! Leider
habe ich schon länger keine Rückmeldungen mehr bekommen, hoffe aber,
dass es allen 4 Hunden des
A-Wurfes
mit ihren nun 10 Jahren noch gut geht und ihr Geburtstag gebührend
gefeiert wird. Die Mutter von Aktaion "Theo", Argos "Tom",
Althaia "Thaia" und Aurea, Ginny vom Alstätter-Moor
"Chelsea", erfreut sich mit ihren mittlerweile 13 Jahren noch bester
Gesundheit (abgesehen von kleinen Alterswehwehchen). Ich hoffe, sie hat
all ihre guten Gene an ihre Nachkommen weitergegeben. Über ein kurzes
Feedback wie es den A-Wurf-Hunden geht, würde ich mich sehr freuen.
-
18. Juni 2011:
LCD-Wesenstest in Karbach/Hunsrück
Auch diesen Sommer fand ein LCD-Wesenstest in Karbach statt, den
alle elf vorgestellten Hunde aus meiner Zucht erfolgreich bestanden
haben. Aus dem
Q-Wurf
(Beechcroft's American Style x Alflasker I Have A Dream) wurden
Quietulus ex Chelsea
"Fernando"
Quaerita ex Chelsea
"Cindy"
Quarta ex Chelsea
"Luna"
meine
Quieta ex Chelsea
und
Quinta ex Chelsea
vorgestellt, aus dem
R-Wurf
bestanden
Rhamses ex Chelsea
"Mounty"
Rhenus ex Chelsea
Rapida ex Chelsea
"Romy"
Rheia ex Chelsea
"Annie" und
Roma ex Chelsea
"PyPy" die Wesensüberprüfung auf rassetypische Eigenschaften. Außerdem
hat aus dem
N-Wurf
die Hündin
Novitas ex Chelsea
"Lizzi" den Wesenstest mit einer schönen Beurteilung bestanden.
Richterin der Prüfung war Claudia Pelzer, bei der ich mich ganz herzlich
für ihr Kommen und das faire Richten bedanke. Ein
weiterer Dank geht an meine Welpenkäufer für ihr Kommen. Ich habe mich
sehr über das Wiedersehen gefreut und ganz besonders auch darüber, dass
ausnahmslos alle Hunde eine wirklich schöne, vertrauensvolle Bindung zu
ihren Besitzern aufgebaut haben.
-
12. Juni 2011:
Honeys letzte Welpen, oder: Der T-Wurf wurde geboren
Während einer komplikationslosen Geburt brachte meine dänische Hündin
Honey ihre letzten Welpen (2 gelbe Rüden, 5 gelbe Hündinnen) zur Welt,
nachdem sie im Anschluss an diesen Wurf altersmäßig aus der Zucht
ausscheidet und ihren wohlverdienten Ruhestand geniessen dürfen wird.
Vater der Welpen ist der Top-Vererber
Devonshires Stash,
der auch schon Vater meines
P-Wurfes
ist und somit auch Vater meiner wundervollen
Phila..
Weitere Infos finden Sie
hier
-
02. Juni 2011:
LCD-Formwertbeurteilung in Bad Soden
Meine Hündin
Phila ex Chelsea (Devonshires
Stash x Diva ex Chelsea) wurde heute mit der höchsten Formwertnote *vorzüglich*
bewertet. Richterin war Frau H. Assenmacher-Feyel. Damit erfüllt Phila
nun alle Grundvoraussetzungen für die Zulassung zur Zucht und ich freue
mich sehr darüber, ist Phila doch in jeder Hinsicht ein Labrador, der
meinem Zuchtziel sehr, sehr nahe kommt.

-
01. Juni 2011:
Die ersten beiden Hunde aus meinem
Q-Wurf
(Beechcroft's American Style x Alflasker I Have A Dream) wurden heute in
der Uniklinik in Giessen auf HD und ED geröntgt und durch den Gutachter
Dr. B. Tellhelm wie folgt ausgewertet:
Quietulus ex Chelsea: "Fernando": HD: A1/A1
und ED: 0/0 und meine
Quieta ex Chelsea: HD: A2/B1 und ED: 0/0
J
-
29. Mai 2011:
Begleithundeprüfung der BRH-Rettungshundestaffel Saar
Marius ex Chelsea "Samuel" (Beechcroft's American Style x Diva
ex Chelsea)
hat
heute mit seiner Führerin Magret Koch die Begleithundeprüfung
des BRH erfolgreich abgelegt und somit die erste Hürde für die
angestrebte Rettungshundeprüfung geschafft.
Begleithundeprüfung
(BHP) Teil A des DRC in Nottuln
Bereits am 08.05.2011 hat auch Palatina ex Chelsea
"Ina" (Devonshires Stash x Diva ex Chelsea) die BHP (Teil A) des
DRC unter Richter Christian Görtz bestanden.
Beiden Teams
gratuliere ich ganz herzlich zu ihren Erfolgen!
-
17. Mai 2011: Ein besonderer Tag, denn mein
Q-Wurf
und somit auch meine Quieta
wird heute ein Jahr alt. Ich grüße auf diesem Wege alle Besitzer
eines Hundes aus dem Q-Wurf ganz herzlich und hoffe, dass es allen gut
geht.
Einige
werde ich ja am 18. Juni zum Wesenstest wiedersehen. Auch
das Röntgen der Hüft- und Ellenbogengelenke steht nun an. Bei der
Auswahl eines geeigneten Tierarztes für diese Untersuchung bin ich Ihnen
gerne behilflich. Sprechen Sie mich einfach an...
-
07./08. Mai 2011: BRH-Rettungshundeprüfung im Saarland
Helva ex Chelsea "Johanna" (Kindly American Eagle v.d. Weeward
x Bonitas ex Chelsea) besteht am Samstag die Wiederholungsprüfung zum
Rettungshund Fläche A und am Sonntag ihre Prüfung zum Rettungshund
Trümmer A. Geführt wurde "Johanna" an beiden Tagen von Magret Koch.
Meine
herzlichen Glückwünsche an das erfolgreiche Team!
-
30. April 2011:
SRA in Bad Soden, Richterin: Mrs. Jean Allen (GB)
Rheia ex Chelsea "Annie" (Special Friend's Jumping Jack Flash x
Bonitas ex Chelsea) wurde heute von ihrer Eigentümerin Tina Heyde das
erste mal ausgestellt und erhielt in einer mit 11 Hündinnen gut
besetzten Jugendklasse eine vorzügliche Bewertung:
"well made baby. Kind head, good reach of neck. Good top line &
tailset. Moved around the ring nicely - Excellent"

-
29. April 2011: Jagdliche Jugendprüfung des DRC in Wipperfürth
Numquam ex Chelsea "Monty" (Sheabourne's Finigan Rainbow x Bella ex
Chelsea) besteht heute erfolgreich die JP/R des DRC.
Geführt wurde Monty von seinem Eigentümer K.-D. Schüßler. Mein
herzliches Waidmannsheil, lieber KD!
-
19. April 2011: Auch die letzten beiden HD-/ED-Auswertungen von
Hunden aus meinem
P-Wurf
(Devonshires Stash x Diva ex
Chelsea)
liegen seit heute vor:
Pagana ex Chelsea "Ana": HD: A2/A2 und ED: 0/0
Pales ex Chelsea "Molly": HD: A2/A1 und ED: 0/0
Damit
sind alle 10 Hunde des Wurfes auf HD und ED untersucht und durch den
Gutachter Dr. B. Tellhelm ausgewertet worden. Ein großes Dankeschön
dafür an meine Welpenkäufer, die damit nicht nur für sich selbst Klarheit
über den Zustand der Hüft- und Ellenbogengelenke ihres Hundes haben,
sondern auch aktiv meine Zucht (hoffentlich) gesunder Hunde
unterstützen.
-
12. April 2011:
Alflasker I Have A Dream 'Honey' wurde heute von Devonshires
Stash gedeckt.
-
06. April 2011: Die Augenuntersuchung von
Alflasker I Have A Dream 'Honey' und
Maxima
ex Chelsea
ergab, dass beide Hündinnen zum heutigen Zeitpunkt frei
von HC, RD und PRA
sind. Somit steht den weiteren Wurfplanungen nichts im Wege.
Honey
wird in Kürze ihren letzten Wurf nach Devonshires Stash haben
und Maximas ersten Wurf plane ich für Herbst/Winter 2011. Weitere
Infos folgen...
-
31. März 2011:
Die offizielle HD/ED-Auswertung von Palatina ex Chelsea "Ina"
(Devonshires Stash x Diva ex Chelsea) ist da:
HD: A2/A2 und ED: 0/0.
-
12. März 2011: Wesenstest des DRC in Böblingen
Perseus ex Chelsea "Bolle" (Devonshires Stash x Diva ex
Chelsea)
besteht mit einer sehr schönen Beurteilung den DRC-Wesenstest.
Richterin des Tests war Frau Brigitte Weber. Ich freue mich sehr darüber
und schicke auf diesem Wege herzliche Grüße in den Süden an Fam.
Bullinger.
Zwischenzeitlich habe
ich auch für Remus ein geeignetes Zuhause gefunden. Er ist
bereits umgezogen und ich freue mich über die ersten positiven
Rückmeldungen J
-
26. Februar 2011:
Show in Hoogstraten/Belgien, Richter: R. Stafford (GB)
In einer mit 12 Hündinnen stark besetzten Zwischenklasse erhielt
Optima ex Chelsea "Angel" von Richard Stafford eine exzellente
Bewertung. "Angel" lebt im holländischen Kennel
of Angelsfantasy

-
07. Februar 2011: S-Wurf (Fameflair XXL x Diva ex Chelsea)
Vergangene Nacht brachte Diva völlig instinktsicher 6
gesunde Welpen zur Welt. Ich freue mich sehr über 1 schwarzen und
1 gelben
Rüden sowie 1 schwarze
und 3 gelbe
Hündinnen.

-
04. Februar 2011: Show in Eindhoven/NL, Richter: Mr. Rutten (NL)
Optima ex Chelsea erreichte heute einen sehr guten 3. Patz
in der Zwischenklasse.

-
24. Januar 2011: Die offizielle HD/ED-Auswertung von Phoenix ex
Chelsea "Eddy" (Devonshires
Stash x Diva ex Chelsea) ist da:
HD: A2/A2 und ED: 0/0.
-
06. Januar 2011: Heute wurde Pius ex Chelsea in der
Uni-Klinik in Giessen geröntgt und mit HD: A1/A2 und ED: 0/0
ausgewertet.
-
03. Januar 2011: Drei Hunde aus meinem
P-Wurf
(Devonshires Stash x Diva ex Chelsea) wurden heute in der Vet.-Uniklinik
Giessen geröntgt und wie folgt durch den Gutachter Dr. B. Tellhelm
ausgewertet:
Pan ex Chelsea: HD: A2/A2 und ED: 0/0
Pollux ex Chelsea: HD: A2/A2 und ED: 0/0
und meine
Phila ex Chelsea:
HD: A2/B1 und ED: 0/0
J
-
19. Dezember 2010:
Ein besonderer Tag, denn mein
P-Wurf
und somit auch meine
Phila
wird heute ein Jahr alt. Ich grüße auf diesem Wege alle Besitzer
der P's ganz herzlich und hoffe, dass es allen gut geht.

-
19. Dezember 2010: Dog-Show 2010 Brüssel (Belgien)
Optima ex Chelsea (Bradston's
Up Up And Away x Bonitas ex Chelsea) wird erstmals in der Zwischenklasse
ausgestellt und erhält die Bewertung vorzüglich/excellent
und den 3. Platz. Richter war Jef Verrees (Belgien). Optima lebt im
holländischen Kennel
of Angelsfantasy
-
08./09. Dezember 2010:
Bei Schneegestöber und glatten Strassen machte ich mich dennoch auf
den weiten Weg Richtung Norden, um meine Hündin
Diva ex Chelsea
von dem Rüden
Ch. Fameflair XXL
belegen zu lassen. Famelair XXL, genannt 'Ello', hatte bereits im
Jahr 2008 einen sehr schönen Wurf mit Divas Halbschwester
Fides ex Chelsea
was mich schlussendlich dazu bewogen hat, diesen Rüden auch in meiner
Zucht für Diva einzusetzen. 'Ello' hat traumhaft schöne
Wesenseigenschaften, entspricht optisch genau meinem Typ den ich züchten
möchte und hat sich dazu noch exzellent, insbesondere auch was die
Gesundheit betrifft, weitervererbt.
-
04. Dezember 2010: Begleithundeprüfung (VDH) in Schwedelbach
Kleio ex Chelsea (Dual's Hope Xerox x Bella ex Chelsea) besteht,
geführt von ihrem Besitzer Wolfgang Thomas, die BHP (VDH). Meine
herzlichen Glückwünsche an das erfolgreiche Team!
-
21. November 2010: Show in Kortrijk (Belgien)
Optima ex Chelsea (Bradston's
Up Up And Away x Bonitas ex Chelsea) wird in der Jugendklasse
ausgestellt und erhält die Bewertung vorzüglich/excellent
und den 2. Platz. Richter war Nenad Davidovic (Serbien). Well done,
Mariska!

-
20. November 2010: Workingtest 'Schwaben Trophy' (LCD) bei
Seelbach/BW
Katerina ex Chelsea 'Lina' (Dual's Hope Xerox x Bella ex
Chelsea) hat, geführt von ihrer Eigentümerin Petra Jucho, ihren ersten
Workingtest-A bestanden.
-
16. November 2010:
Aus dem
N-Wurf (Sheabourne's
Finigan Rainbow x Bella ex Chelsea)
liegt nun auch das Röntgenergebnis des Rüden Nigellus ex
Chelsea
"Neo" vor: HD: A2/A2 und ED: 0/0. Damit ist auch der gesamte
N-Wurf geröntgt worden. Mein herzliches Dankeschön dafür an meine
Welpenkäufer.
-
30.Oktober 2010: Arbeitsprüfung mit Dummys (APD/R-A) des DRC in
Rottweil
Katerina ex Chelsea "Lina" (Dual's Hope Xerox x Bella ex
Chelsea) hat die APD/R-A des DRC mit 76 von 80 Pkt. und
der Gesamtnote vorzüglich als tagesbester Hund bestanden. Geführt
wurde "Lina" von ihrer Eigentümerin Petra Jucho. Richter der Prüfung war
Detlef Henrich. Meine herzlichen Glückwünsche, liebe Petra. Das habt Ihr
super gemacht!! J
-
22.Oktober 2010: Auf der
P-Wurf-Seite
sind die einzelnen Wesenstestbeurteilungen nun verlinkt. Außerdem gibt es
ein
Gruppenfoto
mit den 7 Hunden des P-Wurfes die am Wesenstest teilgenommen haben,
zusammen mit Ur-Großmutter Chelsea, die an diesem Tag als Besucherin
vorbeischaute.
-
16.Oktober 2010: Bundessiegerausstellung in Dortmund
Optima ex Chelsea "Angel"
(Bradston's Up Up And Away x Bonitas ex Chelsea)
wurde in einer sehr großen Klasse von Dan Ericsson (Schweden) mit
excellent/vorzüglich bewertet.
-
10. Oktober 2010: Jagdliche Jugendprüfung des DRC in Braunfels
Heute führte ich meine Hündin Maxima ex Chelsea auf der JP/R
des DRC in Braunfels. Maxima hat sich genau so gezeigt wie ich sie kenne
und konnte die Prüfung letztendlich mit 250 Punkten als
tagesbester Hund bestehen. J
Verbandsprüfung nach dem Schuss (VPS) bei Garlstedt
Auch
Juventas ex Chelsea "Zinnia"
(Oliver od Himalajskeho Cedru x Diva ex Chelsea)
war am heutigen Tag erfolgreich und konnte mit ihrer Führerin Katinka de
Waal die VPS (Verbandsprüfung nach dem Schuss) mit lebender Ente
mit 182 Pkt. im 1. Preis bestehen. Mein herzliches
Waidmannsheil und viele Grüße nach Wedel/Schleswig-Holstein.
-
09. Oktober 2010: LCD-Wesenstest in Karbach/Hunsrück
Bei schönem Herbstwetter fand heute ein LCD-Wesenstest in Karbach
statt, den alle acht vorgestellten Hunde aus meiner Zucht erfolgreich
bestanden haben. Aus dem N-Wurf
(Sheabourne's Finigan Rainbow x Bella ex Chelsea) wurde
Nigellus ex
Chelsea "Neo"
vorgestellt, aus dem P-Wurf (Devonshires
Stash x Diva ex
Chelsea) haben
Pan ex Chelsea
Pius ex Chelsea
Primus ex Chelsea "Paul"
Pagana ex Chelsea "Ana"
Palatina ex Chelsea "Ina"
Pales ex Chelsea "Molly" und meine
Phila ex Chelsea teilgenommen und bestanden.
Richterin der Prüfung war Claudia Pelzer, der ich ebenso wie meinen
Welpenkäufern ganz herzlich für ihr Kommen danke.
Jagdliche Brauchbarkeitsprüfung (JEP) in Hessen
Numquam ex Chelsea "Monty" hat heute die JEP
mit sehr guten Leistungen bestanden und ist somit nun brauchbarer
Jagdhund im Sinne des Landesjagdgesetzes von Hessen. Geführt wurde Monty
von seinem Eigentümer K.D. Schüssler. Mein herzliches Waidmannsheil dem
erfolgreichen Team!
-
29. September 2010: LCD-Wesenstest in Elze
Phoenix ex Chelsea (Devonshires Stash x Diva ex Chelsea)
besteht den LCD-Wesenstest mit einer schönen
Beurteilung. Richterin war Frau Irmelin Barckhausen.
-
27. September 2010: Ein weiteres Röntgengutachten eines Hundes aus
meinem N-Wurf
(Sheabourne's Finigan Rainbow x
Bella ex Chelsea)
liegt seit heute vor:
Nero ex Chelsea "Mitch": HD: A2/A2 und ED: 0/0. Ich
freue mich sehr darüber und schicke auf diesem Wege viele Grüße nach
Sprockhövel.
-
26. September 2010: Jagdliche Brauchbarkeitsprüfung mit
Schweiss
Meine Hündin Maxima ex Chelsea (Beechcroft's American Style x Diva
ex Chelsea) besteht die jagdliche Brauchbarkeitsprüfung (JEP/S)
des Landes Rheinland-Pfalz.
-
05. September 2010: Show: Clubmatch NLV in Nijmegen/NL
Optima ex Chelsea (Bradston's
Up Up And Away x Bonitas ex Chelsea) gewinnt die mit 27 Hündinnen
sehr stark besetzte Jugendklasse mit excellent 1. Richterin war
Viviane De Cuyper-Boesmans:
"15 month old bitch
of really nice type; feminine head with good proportion; good neck going
to a good topline; perfect tail; good angulation back and front; good
chest and good coat and presentation movement is correct."

-
04. September 2010: Maxima ex Chelsea wurde per Gentest auf EIC
(Exercise Induced Collapse) mit dem Ergebnis Genotyp: N/N
(frei) getestet.
- 24.
August 2010:
Aus dem O-Wurf (Bradston's
Up Up And Away x Bonitas ex Chelsea) liegt nun auch das
Röntgenergebnis der Hündin Octas ex Chelsea
"Tamina" vor: HD: A2/A2 und ED: 0/0. Damit ist der gesamte
O-Wurf geröntgt und erfolgreich zum Wesenstest geführt worden. Ein
herzliches Dankeschön dafür an meine Welpenkäufer.
Aus
dem N-Wurf
(Sheabourne's Finigan Rainbow x
Bella ex Chelsea)
liegt ebenfalls ein weiteres Ergebnis der Röntgenuntersuchung vor:
Nemus ex Chelsea:
HD: A2/A2 und ED: 0/0. Die Augenuntersuchung von
Nemus ergab, dass der Rüde zum heutigen Zeitpunkt frei
von HC, RD und PRA
ist.
-
20. August 2010: Weil es so schön ist,
hier
das derzeitige Startseiten-Foto nochmals in voller Größe
J
Vielen Dank an
Franz Wendling
für diese gelungene Aufnahme meiner Phila.
-
14. August 2010: Hector ex Chelsea (Kindly American Eagle v.d.
Weeward x Bonitas ex Chelsea) hat den Rettungshunde-Eignungstest
der Malteser-Rettungshundestaffel Rottenburg bestanden.
Hector
gehört zu den vier Hunden die erfolgreich an der Lungenkrebsstudie
teilgenommen haben, zu der aktuell ein Artikel in den
'Stuttgarter
Nachrichten'
veröffentlicht wurde.
-
12. August 2010:
Im saarländischen 'Öffentlichen Anzeiger' erschien ein
Artikel
über einen Workshop im Rahmen des Kinderferienprogramms der
Rettungshundestaffel Saar. In dieser Staffel sind unter anderem Helva
ex Chelsea "Johanna" und Marius ex Chelsea
"Samuel" aktiv. Samuel ist auch auf dem Foto in dem Artikel zu sehen.
-
11. August 2010:
Auch Onyx ex Chelsea (Bradston's
Up Up And Away x Bonitas ex Chelsea) wurde zwischenzeitlich
geröntgt und ausgewertet:
HD: A2/A2 und ED: 0/0, genauso wie ihr
Bruder Orpheus ex Chelsea: HD: A2/A2 und ED: 0/0
-
04. August 2010: Good News From Holland!
Heute erreichte mich die HD- und ED-Auswertung der Hündin Optima ex
Chelsea "Angel" (Bradston's Up Up And Away x
Bonitas ex Chelsea):
HD: A, ED: 0/0. Ich freue mich sehr, dass "Angel" damit alle
Voraussetzungen für die Zucht in Holland erfüllt und wünsche Mariska &
Arie viel Erfolg für die weiteren Pläne mit dieser schönen Hündin.

-
30. Juli 2010: Nachtrag: Der Rüde Kratos ex Chelsea (Dual's
Hope Xerox x Bella ex Chelsea) bestand bereits am 10.10.2009 die JEP
(Schweiß), ausgerichtet vom LJV, Kreisgruppe Pirmasens-Zweibrücken.
Geführt wurde Kratos von seinem Eigentümer Gerd Rothhass. Mein
herzliches Waidmannsheil und vielen Dank für den gestrigen
Überraschungsbesuch, über den ich mich sehr gefreut habe.
- 20. Juli 2010:
In der ZDF-Talkshow „Natürlich Steffens“ trat u.a. Uwe Friedrich als
Gesprächsgast zum Thema „Faszination Hundenase“ auf. Herr Friedrich
sprach gemeinsam mit Dr. Rainer Ehmann über die Lungenkrebs-Studie, für
die er vier Hunde erfolgreich ausgebildet hat. Einer dieser vier
Lungenkrebs-Erkennungshunde ist 'Hector ex Chelsea',
ein Sohn meiner Bonitas.
-
29. Juni 2010: Schon wieder...
Keine vier Wochen nach dem tragischen Tod von Osiris ist am 22.06.2010
schon wieder ein Hund aus meiner Zucht, Kalypso ex Chelsea "Kalli",
durch ein Auto angefahren worden. Er erlag wenig später seinen
schwersten inneren Verletzungen. "Kalli" durfte nur 2 Jahre und 4 Monate
alt werden...
Mir
fehlen die Worte und mir bleibt nur zu mahnen, die Gefahr durch Autos
für unsere Hunde nicht zu unterschätzen!!

-
26. Juni 2010:
Bei heißen Sommertemperaturen fand heute ein LCD-Wesenstest in
Karbach statt, den alle acht vorgestellten Hunde aus meiner Zucht
erfolgreich bestanden haben. Aus dem N-Wurf
(Sheabourne's Finigan Rainbow x Bella ex Chelsea) wurden
Nero ex
Chelsea "Mitch" und
Naias ex
Chelsea
"Bella"
vorgestellt, aus dem O-Wurf (Bradston's Up Up
And
Away x Bonitas ex
Chelsea) haben
Octavius ex Chelsea "Tavo"
Orion ex Chelsea "Oskar"
Orpheus ex Chelsea
Onyx ex Chelsea "Sunny" und
Optima ex Chelsea "Angel" teilgenommen und bestanden.
Octas ex Chelsea "Tamina" bekam eine besonders schöne Beurteilung:
Die 13 Monate alte, lebhafte Hündin hat eine ausgezeichnete Bindung zu
ihrer Führerin. Mit Fremdpersonen wird begeistert gespielt. Mit der
gleichen Begeisterung wird auch apportiert! Auf dem Parcours untersucht
sie neugierig, flott und stets souverän. Sie ist schusssicher. Insgesamt
eine Hündin die alle erwünschten Wesenseigenschaften hat und dem
Standard sehr nahe kommt!
Mein herzlicher Dank geht an die Wesensrichterin Frau Ina Nellessen
für ihr Kommen und die vielen hilfreichen Tipps, die sie den
Hundeführern teilweise mit auf den Weg gegeben hat. Über eine Umsetzung
der Tipps würde ich mich sehr freuen! Natürlich bedanke ich mich auch
ganz herzlich bei meinen Welpenkäufern, die größtenteils weite Anfahrten
in Kauf genommen haben, um an diesem Tag mit dabei sein zu können!
-
25. Juni 2010: Zwei Röntgengutachten von Hunden aus meinem N-Wurf
(Sheabourne's Finigan Rainbow x
Bella ex Chelsea)
liegen seit heute vor:
Naias ex Chelsea "Bella": HD: A2/A2 und ED: 0/0
Novitas ex Chelsea "Lizzi": HD: A2/A2 und ED: 0/0
-
20. Juni 2010: Show in Turnhout (Belgien)
Heute wurde Optima ex Chelsea "Angel"
(Bradston's Up Up And Away x Bonitas ex Chelsea) von Mariska in Belgien
ausgestellt und von Mrs. Heather Wiles-Fone (England) in einer stark
besetzten Jugendklasse mit einem schönen Richterbericht mit excellent
bewertet.

-
15. Juni 2010: Das erste Röntgengutachten eines Hundes aus meinem
O-Wurf (Bradston's Up Up
And Away x Bonitas ex Chelsea)
liegt seit heute vor: Orion ex Chelsea: HD: A2/A2 und ED: 0/0
-
13. Juni 2010:
Rettungshundeprüfung des BRH im Saarland
Helva ex Chelsea "Johanna" (Kindly American Eagle v.d.
Weeward x Bonitas ex Chelsea) besteht die Hauptprüfung Fläche
des 'BRH - Bundesverband Rettungshunde e.V.' mit der Gesamtnote 'sehr
gut'. Geführt wurde die Hündin von ihrer Eigentümerin Theresia
Luxenburger. Ganz herzlichen Glückwunsch an das erfolgreiche Team! Ich
bin sehr stolz auf diese Leistung, ist "Johanna" damit doch der erste
geprüfte Rettungshund aus meiner Zucht!
-
LCD-Wesenstest in Kaiserslautern
Numquam ex Chelsea "Monty" besteht, geführt von seinem
Eigentümer K.-D. Schüßler, mit einer schönen Beurteilung den
LCD-Wesenstest. Richterin war Brigitte Weber.
Na mal ehrlich: Hat einer an diesem Ergebnis gezweifelt?
J
-
Int. Dogshow in Lommel (Belgien)
Optima ex Chelsea (Bradston's Up Up And Away x Bonitas ex Chelsea)
wurde von Richterin Viviane De Cuyper-Boesmans mit excellent 2
bewertet. Well done, Mariska J
-
10. Juni 2010:
In einer völlig komplikationslosen Geburt brachte Bonitas
heute morgen innerhalb von nur 3 Stunden ihre 7 Welpen (4 Rüden, 3
Hündinnen) nach Special Friend's Jumping Jack Flash zur Welt.
-
04. Juni 2010: Die Augenuntersuchung von
Kronos ex Chelsea
"Lucca" und
Numquam ex Chelsea "Monty" ergab, dass beide Rüden zum
heutigen Zeitpunkt frei von HC, RD und PRA
sind.
-
30. Mai 2010: Wie die Zeit vergeht... Heute werden die Hunde aus dem
N-Wurf (Sheabourne's Finigan Rainbow x Bella ex Chelsea) und dem
O-Wurf (Bradston's Up Up And Away x Bonitas ex Chelsea)
ein Jahr alt, wozu ich ganz herzlich gratuliere und allen N's
und O's und den dazugehörigen Familien weiterhin alles Gute und viel
Freude miteinander wünsche.
Leider
gibt es auch traurige Nachrichten zu vermelden: Vier Tage vor seinem 1.
Geburtstag starb Osiris ex Chelsea durch einen tragischen
Zusammenstoß mit einem Auto. Liebe Caro, lieber Tobi, mir fehlen immer
noch die Worte, hatte ich Osiris doch noch zwei Tage zuvor nach längerer
Zeit wiedergesehen und mich an seiner fröhlichen, freundlichen Art
erfreut. Ich wünsche Euch beiden, dass der Schmerz über den Verlust bald
nachlässt und der Erinnerung an die schönen Momente mit Osiris weicht.

-
17. Mai 2010: In einer lang andauernden aber letztendlich
komplikationslosen Geburt brachte meine Hündin
Honey (Alflasker I Have A Dream) meinen Q-Wurf mit sechs
gesunden Welpen nach Beechcroft's American Style auf die Welt:
zwei
gelbe
Rüden sowie zwei
gelbe
und zwei
schwarze Hündinnen. Ein gelber Rüde wurde leider tot geboren.
-
25. April 2010: Clubshow in Bennekom/NL
In einer mit 91 Hündinnen sehr stark besetzten Jugendklasse schaffte
es Optima ex Chelsea "Angel" (Bradston's Up Up And Away x Bonitas
ex Chelsea) unter die besten 16 und wurde mit vorzüglich/excellent
bewertet. Richter war G. Johnson /UK.
Gleichzeitig wurde auch eine Augenuntersuchung angeboten die ergab, das
Angel's Augen am heutigen Tag frei von allen zuchtrelevanten erblichen
Krankheiten sind.
-
24. April 2010: APD/R-A des LCD in Wachendorf/NRW
Geführt von seinem Eigentümer Klaus-Dieter Schüßler besteht
Kronos ex Chelsea
"Lucca" die 'Arbeitsprüfung mit Dummys für Retriever - A' (APD/R-A)
mit 58 von 80 Punkten und der Gesamtnote gut. Richter war Thomas
Dötsch.
Liebe Karin, lieber K-D, ein herzliches Dankeschön für Euer
Engagement für 'Lucca' und 'Monty' und ganz herzlichen Glückwunsch zur
bestandenen Dummy-A-Prüfung J
-
23. April 2010: Mit Chelsea (Ginny vom Alstätter-Moor) fing
alles an... sie ist meine älteste Hündin und gleichzeitig als Mutter von
Bella & Bonitas, Großmutter von Diva und Urgroßmutter von meiner
Nachwuchshündin Maxima auch die Strammhündin und Namensgeberin meiner
Zucht. Zwischenzeitlich ist sie über den aktuellen Nachwuchs im Kennel 'Diana's
Action' sogar schon Ur-Urgroßmutter. Am heutigen Tag wird Chelsea schon
stolze 12 Jahre alt und genießt ihren wohlverdienten Ruhestand
bei bester Gesundheit in Wiesbaden bei Barbara, wo sie von ganzem Herzen
geliebt und verwöhnt wird und mit ihr schöne Urlaube am Meer und in den
Bergen verbringen darf.
-
18. April 2010: BHP Teil A (LCD) in Linsengericht:
Kronos ex Chelsea
"Lucca" besteht die Begleithundeprüfung (BHP) mit 68 von
70 Punkten und der Gesamtnote vorzüglich. Geführt wurde "Lucca"
von seinem Eigentümer K.-D. Schüßler. Richter der Prüfung war Antonio
Imparato.
Arbeitsprüfung mit Dummies für Retriever (APD/R) des DRC
Genius ex Chelsea "Buddy" (Mallorn's Diesel x Bella ex Chelsea)
besteht die APD/R-A in Oftersheim mit 62 von 80 Punkten.
Geführt wurde Buddy von seiner Eigentümerin Sabine Hascher. Richterinnen
waren Petra Beringer und Betty Schwieren.
Ganz
herzlichen Glückwunsch an die beiden erfolgreichen Teams!
-
10. April 2010:
Formwertbeurteilung in Bonn:
Meine Maxima ex Chelsea (Beechcroft's American Style x Diva ex
Chelsea) wurde heute mit der höchsten Formwertnote 'vorzüglich'
bewertet. Richterin war Frau Dagmar Winter:
"Sehr gut aufgebaute Hündin , korrekt geschnittener Kopf, sanfter
Ausdruck. Insgesamt sehr gut ausgef. Gebäude, korrekte Winkelungen d.
Vor- und Hinterhand - bewegt sich sehr gut."

-
08./09. April 2010: Meine Hündin
Bonitas ex Chelsea
wurde von dem gelben Rüden
Special Friend's Jumping Jack Flash
gedeckt. Wenn alles nach Plan verläuft, erwarte ich Bonitas' letzten
Wurf mit gelben und schwarzen Welpen um den 11. Juni 2010.
Aufgrund der abgelegten Prüfungen beider Elterntiere wird der Wurf unter
die Jagdliche Zucht des LCD fallen.
-
06. April 2010:
Auch von dem Rüden Melas ex Chelsea (Beechcroft's American
Style x Diva ex Chelsea) liegt seit heute das Röntgengutachten der
Hüften und Ellenbogen vor:
HD: B1/B1 und ED: 0/0 !!!
Damit ist nun der gesamte
M-Wurf
durchgeröntgt und alle Hunde mit sehr guten Ergebnissen im zuchttauglichen
Bereich.
J
-
31. März 2010: Die aktuelle Augenuntersuchung von Bonitas ex
Chelsea und Maxima ex Chelsea ergab, dass beide
Hündinnen am heutigen Tag frei von HC, RD und PRA
sind.
-
22. März 2010: Von dem Rüden Miles ex Chelsea (Beechcroft's
American Style x Diva ex Chelsea) liegt nun das offizielle
Röntgengutachten der Hüften und Ellenbogen vor: HD: A2/A2, ED: 0/0
!!!
-
21. März 2010:
Meine
Hündin Alflasker I Have A Dream "Honey" wurde gestern und heute
von Beechcroft's American Style "Solo" gedeckt. "Solo" ist auch
der Vater von meinem
M-Wurf,
dessen bislang vorliegende Nachzuchtergebnisse mich überzeugt haben, mit
ihm den richtigen Deckpartner für "Honey" gefunden zu haben. Wenn alles
gut läuft, erwarte ich
gelbe
und schwarze Welpen aus dieser vielversprechenden Verpaarung um den
17. Mai 2010.
-
14. März 2010: Osiris ex Chelsea
(Bradston's
Up Up And Away x Bonitas ex Chelsea) besteht heute mit einer schönen
Beurteilung den LCD-Wesenstest in Oberursel. Richter war Mario
Nauke.
-
07. März 2010: Show in Groningen/NL
Optima ex Chelsea (Bradston's Up Up And Away x Bonitas ex
Chelsea) wurde von Zuchtschaurichterin Anja Verbeek (NL) mit 'excellent'
bewertet:
"9
month old yellow bitch, nice head with sweet expression; good female
type; nice topline; tail a little low; good voor- and back hand, good
bones and good feet; nice deep body with good ribs; soft coat; nice tail;
movement good; nice character."

-
04. März 2010: Helva ex Chelsea
"Johanna" (Kindly American
Eagle v.d. Weeward x Bonitas ex Chelsea)
besteht
die Vorprüfung zum Rettungshund (Fläche) im BRH. Geführt wurde die
Hündin von ihrer Eigentümerin Theresia Luxenburger.
-
01. März 2010:
Auch von Magna ex Chelsea (Beechcroft's American Style x Diva ex
Chelsea) liegt seit heute der offizielle Röntgenbefund der Hüft- und
Ellenbogengelenke vor: HD: B2/B1 und ED: 0/0.
-
20. Februar 2010: Formwert in Obernkirchen:
Kronos ex Chelsea
"Lucca" (Dual's Hope Xerox x Bella ex Chelsea) wurde von der
FW-Richterin Gisela Werner mit vorzüglich bewertet und erfüllt
damit nun alle Voraussetzungen für die (Leistungs-) Zucht im LCD und im
DRC.
Ausstellung in Obernkirchen:
Numquam ex Chelsea "Monty" (Sheabourne's Finigan Rainbow x Bella ex
Chelsea) wurde mit 'vielversprechend' und dem 3. Platz bewertet.
Richterin war Caron Morton (GB).
-
13. Februar 2010: Divas Welpen sind mittlerweile 8 Wochen alt
und haben sich zu typvollen, kleinen Labrador-Retrievern entwickelt.
Heute fand die vorgeschriebene Wurfabnahme durch die LCD-Zuchtwartin
Frau Petra Lehnen statt, die meine Welpen als "sehr zufrieden,
verspielt und machen einen äußerst robusten und gesunden Eindruck"
beschrieb. Außerdem sind zum jetzigen Zeitpunkt alle Welpen ohne
äußerlich erkennbare Fehler und uns wurde "ein sehr schön
gleichmäßiger Wurf" bescheinigt.
J
Mein herzliches Dankeschön geht an Frau Lehnen dafür, dass sie so
kurzfristig für die witterungsbedingt verhinderte, eigentlich
vorgesehene Zuchtwartin eingesprungen ist.
-
09. Februar 2010:
Auch von der Hündin Marina ex Chelsea (Beechcroft's American
Style x Diva ex Chelsea) liegt nun das Röntgenergebnis von Hüfte und
Ellenbogen vor:
HD: A2/A2 und ED: 0/0. Ich freue mich sehr mit Steffi &
Helmut Konjetzky und schicke viele Grüße nach Bochum.
-
06. Februar 2010:
Show in Eindhoven/NL
Optima ex Chelsea (Bradston's Up Up And Away x Bonitas ex
Chelsea) wird in der mit 9 Hunden sehr gut besetzten Jüngstenklasse
erneut auf den zweiten Platz gesetzt mit der Bewertung vv2. Richter
war Mr. Kips aus Luxemburg:
"8 Monate alte, sehr schöne Hündin. Schöner Kopf, lieber Ausdruck. Gute
Hals-Rücken-Linie, gute Vorbrust. Vor- und Hinterhandwinkelung gut. Gute
Pfoten, sehr gutes Gangwerk."

-
16. Januar 2010: Marina ex Chelsea "Mable" besteht
heute mit einer sehr schönen Beurteilung den LCD-Wesenstest in
Wachendorf. Richterin war Ina Nellessen.
Damit
haben jetzt alle 8 Hunde aus meinem M-Wurf (Beechcroft's
American Style x Diva ex Chelsea) den Wesenstest mit Bravour
bestanden.
-
09. Januar 2010: Show in Hoogstraten/Belgien:
Optima ex Chelsea (Bradston's Up Up And Away x Bonitas ex Chelsea)
erhält in der Jüngstenklasse die Bewertung vv2 durch Richter
Fillip Johnsson (Schweden). Well done, Mariska & Angel!

-
28. Dezember 2009:
Kurz vor dem Jahreswechsel erreichte mich das dritte Röntgenergebnis
eines Hundes aus meinem M-Wurf (Beechcroft's American Style x
Diva ex Chelsea):
Marius ex Chelsea "Samuel": HD: B1/B 2 und ED: 0/0
Ich freue mich sehr, denn damit steht seiner weiteren Ausbildung zum
Rettungshund nichts entgegen.
-
19. Dezember 2009: Meine Hündin Diva
hat heute in den frühen Morgenstunden völlig komplikationslos ihre
10 Welpen nach Devonshires Stash zur Welt gebracht. Ich
freue mich nun sehr auf die Aufzucht der 6 Rüden und 4 Hündinnen meines
P-Wurfes.
-
12. Dezember 2009: Maior ex Chelsea "Tom" (Beechcroft's American
Style x Diva ex Chelsea) besteht heute, geführt von seiner
Eigentümerin Gaby Timpe, den LCD-Wesenstest in Osnabrück.
Richter war Ruggiero Calfa. Ganz herzliche Glückwünsche nach Bielefeld!
-
12. Dezember 2009:
DRC-Clubschau in Kassel:
Numquam ex Chelsea "Monty" (Sheabourne's Finigan Rainbow x
Bella ex Chelsea) gewinnt die Jüngstenklasse mit vv1 und einer
sehr schönen Beurteilung durch Richterin Dagmar Winter:
"Sehr
vielversprechender kleiner Rüde, sehr gut geschnittener Kopf, top
Ausdruck, sehr gute Halslänge, schräge Schulter, top Gebäude, vorzügl.
Winkelungen, sehr schöne Katzenpfoten, top Otterrute, bewegt sich sehr
gut."
Ein
Sohn von Fides ex Chelsea, 'Diana's Action Immo', wird direkt
hinter Monty mit vv2 platziert.
Montys
Halbbruder Kronos ex Chelsea "Lucca" (Dual's Hope Xerox x Bella
ex Chelsea) wird in der Gebrauchshundeklasse mit der Bewertung SG4
platziert.
-
05.Dezember 2009:
Meine Nachwuchshündin Maxima ex Chelsea
besteht mit einer sehr schönen Beurteilung den DRC-Wesenstest in
Ingelheim. Richterin war Frau Brigitte Weber:
"Eine sanfte, sichere Hündin mit sehr schönem Bezug zu Menschen."
-
29. November 2009: BHP (A+B) des DRC in Magstadt:
Katerina ex Chelsea "Lina" (Dual's Hope Xerox x Bella ex
Chelsea), geführt von ihrer Besitzerin Petra Jucho, besteht mit 68 von
80 Punkten die BHP (Teil A+B) des DRC. Richter der Prüfung war
Frank Kienle.
Ebenso hat die Hündin Helva ex Chelsea "Johanna" (Kindly
American Eagle v.d. Weeward x Bonitas ex Chelsea) heute mit ihrer
Führerin Theresia Luxenburger die Begleithundeprüfung im BRH
erfolgreich abgelegt und somit die erste Hürde für die angestrebte
Rettungshundeprüfung geschafft.
Herzlichen Glückwunsch
den beiden erfolgreichen Teams!
- Ich habe auch mal wieder die
Fotogalerie
aktualisiert und werde sie auch zukünftig regelmäßig mit schönen mir
zugeschickten Bildern erweitern. Über weitere Fotos von Hunden aus
meiner Zucht würde ich mich sehr freuen, allerdings sollten sie für eine
Veröffentlichung auf der HP von hoher Auflösung und Qualität sein.
-
20. November 2009:
Arbeitsprüfung mit Dummys (APD/R):
Nachdem Nicole Demuth mit ihrer Hündin Juno ex Chelsea
"Luna" gestern die BHP (Teil A) des LCD erfolgreich bestanden hat,
legen die beiden heute nach und bestehen in Bollendorf die
Arbeitsprüfung mit Dummys-A mit 73 Pkt. und der Bewertung 'vorzüglich'.
Richter war Michael Renner.
Meine ganz herzlichen Glückwünsche an das erfolgreiche Team nach
Luxemburg!
-
19. November 2009: BHP Teil A in Aach:
Nicole Demuth besteht mit ihrer Hündin Juno ex Chelsea
(Ch. Oliver od Himalajskeho Cedru x Diva ex Chelsea) unter
Richter Michael Renner die BHP (Teil A) des LCD.
-
18. November 2009:
Die ersten beiden Hunde aus meinem M-Wurf, Maxima und
Melissa ex Chelsea, wurden heute in der Vet-Uniklinik in Giessen
geröntgt und beide durch den Gutachter Dr. B. Tellhelm mit HD: A1/A1
und ED: 0/0 ausgewertet. Ich freue mich sehr mit Ilona Schiffel
über die hervorragenden Ergebnisse unserer beiden schönen schwarzen
Mädels J
-
16. November 2009:
Mein M-Wurf (Beechcroft's American Style x Diva ex Chelsea)
wird heute ein Jahr alt, wozu ich ganz herzlich gratuliere. Ich
wünsche allen M's und ihren Familien weiterhin alles Gute und viel
Freude miteinander!
Auf
diesem Wege möchte ich auch Barbara ganz herzlich grüßen. Heute vor
genau einem Jahr, am Tag der Geburt meines M-Wurfes, zog meine
Chelsea
zu Barbara und ihren zwei Terriern nach Wiesbaden und darf dort ihren
Ruhestand in vollen Zügen genießen. Liebe Barbara, ich danke Dir für
alles, was Du für "unsere" Chelsea tust.
-
31. Oktober 2009:
Bringleistungsprüfung (BLP) in Zeven:
Kronos ex Chelsea "Lucca" (Dual's Hope Xerox x Bella ex
Chelsea) hat im Alter von nur 20 Monaten die BLP des LCD in Zeven
mit 304 von 310 Punkten erfolgreich bestanden. Geführt wurde
"King-Lucca" von seinem Eigentümer K.-D. Schüßler. Mein
allerherzlichstes Waidmannsheil dem super Team
J
Formwert in Neckarbischofsheim:
Jason ex Chelsea (Ch.
Oliver od Himalajskeho Cedru x Diva ex Chelsea)
wurde von der FW-Richterin Dagmar Winter mit vorzüglich bewertet.
Genius ex Chelsea "Buddy" (Mallorn's Diesel x Bella ex Chelsea)
erhielt die Formwertnote sehr gut.
Des
weiteren besteht Lupus ex Chelsea "Lenny" (Tapeatom Born A Star x
Alflasker I Have A Dream) erfolgreich die
Begleithundeprüfung. Auch hierzu ganz herzlichen Glückwunsch!
-
27. Oktober 2009: Für alle die es interessiert was aus dem kleinen
Osiris ex Chelsea (Bradston's Up Up And Away x Bonitas ex Chelsea)
mal werden soll, erschien heute ein netter
Artikel
über ihn in der
WAZ (Mülheim).
-
18. Oktober 2009:
Soeben erreichte mich die schöne Nachricht, dass die Hündin Famosa
ex Chelsea "Fiska" (Rosefair For Pleasure x Bonitas ex Chelsea)
heute die jagdliche Brauchbarkeitsprüfung mit Schweiss und lebender
Ente (JEP/S m.l.E.) in Gehlenberg/Niedersachsen erfolgreich
bestanden hat. Geführt wurde "Fiska" von ihrem Eigentümer Gerd Linn. Ein
herzliches Waidmannsheil auf die Insel Baltrum!
-
08. Oktober 2009:
Die Untersuchung auf
erbliche Augenerkrankungen bei
meinen beiden Hündinnen Alflasker I Have A Dream "Honey" und
Diva ex Chelsea war
wieder o.b.B., d.h.: HC, RD
und PRA frei.
-
04. Oktober 2009:
Show in Zwolle/NL: In der Babyklasse konnte
Optima ex Chelsea "Angel" einen vielversprechenden 2. Platz
belegen und bekam einen schönen Richterbericht von der englischen
Richterin Mrs. Coddington. Well done, Mariska & Angel!
-
25. September 2009: Juventas ex Chelsea "Zinnia"
(Ch. Oliver od Himalajskeho
Cedru x Diva ex Chelsea)
wurde heute in Springe mit der Formwertnote vorzüglich
bewertet und erfüllt damit nun alle Voraussetzungen für die Zuchtzulassung
ohne Auflagen im LCD. Richterin war Gisela Werner.
-
23. September 2009:
Nachdem Kalypso ex Chelsea
"Kalli" (Dual's Hope Xerox x Bella ex Chelsea) am vergangenen Sonntag den
Wesenstest erfolgreich bestand, erreichte mich heute auch die Auswertung
des HD-/ED-Röntgens: HD: B1/A2
und ED-Grad: 0/0. Liebe Gisela, lieber Tony, ich danke Euch das
Ihr Kalli habt untersuchen lassen und freue mich sehr über das wirklich
sehr gute Ergebnis! J
Damit ist nun auch der K-Wurf komplett HD/ED durchgeröntgt.
-
20. September 2009:
Heute fand ein LCD-Wesenstest in Karbach/Hunsrück statt, auf
dem die folgenden sieben Hunde aus unterschiedlichen Würfen meines
Kennels der DRC-Wesensrichterin Ditlinde Ruh zur Beurteilung vorgestellt
wurden:
Aus dem K-Wurf
(Dual's Hope Xerox x Bella ex Chelsea):
Kalypso ex Chelsea
"Kalli"
Aus dem L-Wurf (Tapeatom Born A Star x Alflasker I Have A Dream):
meine Luna ex Chelsea
Aus dem M-Wurf (Beechcroft's American Style x Diva ex Chelsea):
Marius ex Chelsea "Samuel"
Melas ex Chelsea "Cayenne"
Miles ex Chelsea "Paul"
Magna ex Chelsea "India" und
Melissa ex Chelsea "Mela"
Alle Hunde haben den Wesenstest bestanden!
In Wachendorf fand ebenfalls ein LCD-Wesenstest statt, zu dem
die Hündin Juventas ex Chelsea "Zinnia"
(Ch. Oliver od Himalajskeho Cedru x Diva ex Chelsea)
von ihrer Besitzerin Katinka de Waal geführt wurde. Auch Zinnia hat die
Wesensüberprüfung erfolgreich bestanden.
-
19. September 2009: Kronos ex Chelsea "Lucca" (Dual's Hope Xerox x
Bella ex Chelsea) besteht die JEP
(Jagdeignungsprüfung) des Landes Hessen und gilt somit als nachweislich
brauchbarer Jagdhund. Geführt wurde "Lucca" von seinem Besitzer K.-D.
Schüßler. Waidmannsheil!
-
16. August 2009: Libertas ex Chelsea "Kate" besteht mit 62 von 70
Punkten die BHP (Teil A) des LCD. Richter der Prüfung war Frank
Hartmann. Ganz herzlichen Glückwunsch an Ferny, Jacques & Kate!
-
11. August 2009:
Gestern hatte Lupus ex Chelsea "Lenny" (Tapeatom Born A Star x
Alflasker I Have A Dream) seinen Termin zur HD/ED- Röntgenuntersuchung
in der Uniklinik in Giessen und ich freue mich sehr, dass seine Gelenke
mit HD: A1/A1 und ED-Grad 0/0 ausgewertet wurden. Heute
wurde dann mit Livius ex Chelsea
"Leo" der letzte noch fehlende Hund meines L-Wurfes auf HD und ED geröntgt
und durch Dr. Tellhelm mit HD: A2/A2 und ED-Grad: 0/0
ausgewertet. Ein herzliches Dankeschön an meine Welpenkäufer des
L-Wurfes, dass alle ihre Hunde haben untersuchen lassen.
-
11. Juli 2009: Libertas ex Chelsea "Kate" (Tapeatom Born A Star x
Alflasker I Have A Dream) hat heute als einer der jüngsten Teilnehmer
die JEP
in Luxemburg bestanden. Meinen ganz herzlichen Glückwunsch an die
Eigentümer und Führer der Hündin, Ferny Herkes & Jean-Jacques Kohn!
-
30. Mai 2009: Bella & Bonitas haben heute nacheinander völlig
komplikationslos ihre Welpen auf die Welt gebracht. Den Anfang machte
gegen 9 Uhr morgens Bella und wölfte instinktsicher 5/2 schwarze Welpen
nach
Sheabourne's Finigan Rainbow,
gefolgt von Bonitas mit 4/4 Welpen nach
Bradston's Up Up And Away. Um
22:20 Uhr waren beide Geburten abgeschlossen und dank meiner
instinktsicheren Mädels war keinerlei tierärztliche Hilfe notwendig.
Weitere Infos finden Sie auf den jeweiligen Seiten des
N-Wurfes
und des
O-Wurfes.
-
24. Mai 2009:
Bei der heutigen Formwertbeurteilung des DRC in Gelsenkirchen
wurde die Hündin Iuventa ex Chelsea "Isa" (Mallorn's Rising Storm
x Bella ex Chelsea) mit der höchsten Formwertnote
vorzüglich bewertet. Richterin war Dagmar Winter:
"Kräftige, gut entwickelte Hündin von sehr schönem Typ. Korrekt
geschnittener Kopf, freundlicher Ausdruck. Kräftiger Hals, schräge
Schulterlage. Tiefer, korrekt geformter Brustkorb. Schöne Front,
korrekte Winkelungen d. Vor- und Hinterhand. Top Fellanlage, schöne
Otterrute. Flüssiges, raumgreifendes Gangwerk."
-
09. Mai 2009: Libertas ex Chelsea
(Tapeatom Born A Star x Alflasker I Have A Dream) wurde auf
der CACIB in Saarbrücken in der Jugendklasse mit V2 und dem
CAC res. platziert. Herzlichen Glückwunsch!!
-
18./19. April 2009:
Am 18. April bestand die Hündin Juventas ex Chelsea "Zinnia",
geführt von ihrer Besitzerin Katinka de Waal, in der Nähe von
Ahrendsburg (Schleswig-Holstein) die jagdliche Jugendprüfung für
Retriever (JP/R) des DRC mit sehr guten 246 Punkten.
Am 19.
April wurde dann Kronos ex Chelsea "Lucca" von K.D. Schüßler in
den Revieren rund um Abtweiler/Meddersheim (RLP) zur JP/R
geführt und konnte die Prüfung mit ebenfalls sehr guten 244 Punkten
bestehen. Ich war als Zuschauer mit dabei und habe mich ganz
besonders über die 11 Punkte am Wasser gefreut
J
-
20. März 2009: Fides ex Chelsea
"Frida" warf in den frühen Morgenstunden problemlos 11 schwarze
Welpen (8/3) nach 'Carpenny Scenario' im LCD-Kennel 'Diana's Action'
von Christa Knigge. Ganz herzlichen Glückwunsch zu diesem schönen Wurf
und alles Gute für die kommenden acht Wochen der Aufzucht!
-
28. Februar 2009:
Alle 10 gemeldeten Hunde aus meiner Zucht haben heute den
LCD-Wesenstest mit wirklich schönen Wesensbeurteilungen erfolgreich
bestanden. Wenn man den Namen des jeweiligen Hundes anklickt, gelangt
man zu der zusammenfassenden Wesensbeurteilung des einzelnen Hundes.
Aus dem K-Wurf (Dual's Hope Xerox x Bella ex Chelsea) wurden
Kallias ex Chelsea
"Kalli"
Kratos ex Chelsea
Kronos ex Chelsea
"Lucca"
Katerina ex Chelsea
"Lina" &
Kleio ex Chelsea
vorgestellt, aus dem L-Wurf (Tapeatom Born A Star x Alflasker I
Have A Dream) gingen
Labros ex Chelsea
"Johnny"
mein
Lavinius ex Chelsea
"Vino"
J
Livius ex Chelsea
"Leo"
Lupus ex Chelsea
"Lenny" &
Libertas ex Chelsea
"Kate" an den Start.
Beurteilt wurden die Hunde von Ina Nellessen, bei der ich mich ganz
herzlich für ihr Kommen und das faire Richten bedanke. Ein
weiterer Dank geht an meine Welpenkäufer für ihr Kommen. Ich habe mich
sehr über das Wiedersehen gefreut und ganz besonders auch darüber, dass
ausnahmslos alle Hunde eine wirklich schöne, vertrauensvolle Bindung zu
ihren Besitzern aufgebaut haben. Ein großes Dankeschön geht zum Schluss
noch an Annette Reisinger, die netterweise die Sonderleitung übernommen
hat und mir so ermöglichte, meinen Vino auf dem Wesenstest zu führen.
-
22. Februar 2009: Janus ex Chelsea "Paco" (Ch.
Oliver od Himalajskeho Cedru x Diva ex Chelsea)
hat heute den
LCD-Wesenstest in Westkirchen bestanden. Richter war Mario
Nauke. Herzlichen Glückwunsch an die Besitzer und vielen Dank für das
Vorstellen von "Paco" zu diesem Termin.
-
15. Januar 2009: Canis ex Chelsea
"Dusty" ist im LCD zur Zucht zugelassen worden.
- 02. Januar 2009:
Zum Jahresbeginn gleich ein paar gute Neuigkeiten: Nun liegen auch die
letzten beiden Röntgen-Gutachten aus der Uniklinik Giessen von
Hunden aus meinem J-Wurf (Ch. Oliver od Himalajskeho Cedru x
Diva ex Chelsea) vor und ich freue mich sehr darüber, dass alle Hunde
aus Divas erstem Wurf komplett HD- und ED-frei sind:
Janus ex Chelsea: HD: A1/A1 und ED: 0/0
Jason ex Chelsea: HD: A2/A2 und ED: 0/0
Jovinus ex Chelsea: HD: A2/A2 und ED: 0/0
Jasis ex Chelsea: HD: A2/A2
und ED: 0/0
Juno ex Chelsea: HD: A2/B1
und ED: 0/0
Juventas ex Chelsea: HD: A2/A2 und ED: 0/0
Ich bedanke mich bei
meinen Welpenkäufern für 100% Röntgenquote. Die hervorragenden
Ergebnisse der Untersuchungen stimmen mich zuversichtlich, dass Divas
gerade liegender zweiter Wurf ebenso gesund heranwachsen wird und
bestätigt mich in meinem Entschluss, eine Hündin aus Divas zweitem Wurf,
meinem M-Wurf, als Zukunftshoffnung für die Weiterzucht in meinem Kennel
zu behalten.
- 17. Dezember
2008: Zwei Labradore aus meiner Zucht wurden heute in Köln der
VDH-Zuchtrichterin Frau Assenmacher-Feyel zur Formwertbeurteilung
vorgestellt. Beide Rüden:
Canis ex Chelsea "Dusty"
(Dual's Hope Xerox x Ginny vom Alstätter-Moor) und
Heros ex Chelsea "Anton"
(Kindly American Eagle v.d. Weeward x Bonitas ex Chelsea) wurden mit
der höchsten Formwertnote *vorzüglich* bewertet.

- 15. Dezember
2008: Die Untersuchung auf erbliche Augenerkrankungen bei Heros
ex Chelsea (Kindly American Eagle v.d. Weeward x Bonitas ex Chelsea)
ergab keinen Befund, d.h. er ist derzeit HC, RD und PRA frei
- 20. November
2008: Erfreuliche Nachrichten aus der Schweiz: Die Hüften &
Ellenbogen von Jasis ex Chelsea, einer Tochter meiner Diva aus
ihrem ersten Wurf vom letzten Jahr, wurden mit HD: A2/A2 und
ED: 0/0
ausgewertet.
- 16. November
2008: Diva hat heute in den frühen Morgenstunden völlig
komplikationslos 8 gesunde, vitale Welpen nach Beechcroft's American
Style geboren. Ich bin stolz darauf, mit meiner Diva eine solch
schöne und instinktsichere Hündin zu haben. Die Farb- und
Geschlechterverteilung hätte ausgeglichener nicht ausfallen können: 4
Rüden (2 schwarz, 2 gelb)
und 4 Hündinnen (ebenfalls 2 schwarz, 2
gelb).
- 11. November
2008:
Zwei weitere Röntgenergebnisse liegen seit heute vor: Aus dem
J-Wurf (Ch. Oliver od Himalajskeho Cedru x Diva ex Chelsea):
Juventas ex Chelsea: HD: A2/A2 und ED: 0/0 und aus
meinem I-Wurf (Mallorn's Rising Storm x Bella ex Chelsea):
Iason ex Chelsea: HD: B2/A2 und ED: 0/0
- 02. November
2008: Die Hündin Juventas ex Chelsea 'Zinnia' (Oliver od
Himalajskeho Cedru x Diva ex Chelsea) hat heute die jagdliche
Brauchbarkeitsprüfung (JEP) für die Nachsuche auf Niederwild (außer
Rehwild) des Landes Schleswig-Holstein erfolgreich bestanden.
Geführt wurde sie von ihrer Eigentümerin Katinka de Waal. Herzlichen
Glückwunsch!
- 28. Oktober 2008:
Ein trauriger Tag! Ennius ex Chelsea 'Elias' ist für immer
eingeschlafen. Vor wenigen Monaten erkrankte 'Elias' an
Lymphdrüsenkrebs. Trotz dieser niederschmetternden Diagnose hatte
'Elias' aber seine Lebens- und Arbeitsfreude nicht verloren und bestand
mit seiner Besitzerin am 27. September noch die schwere Vorprüfung zum
Rettungshund (Fläche) mit der Note 'gut'. Zur in diesem Monat geplanten
Hauptprüfung sollte es nicht mehr kommen. Trotz bester medizinischer
Betreuung ist 'Elias' kurz vor seinem dritten Geburtstag für immer
eingeschlafen. Ich bin unendlich traurig und in Gedanken bei Magret &
Theresia, die 'Elias' -wenn es auch viel zu kurz war- ein schönes
Labradorleben ermöglicht haben.

- 16. Oktober 2008:
Vergangenes Jahr im November zog Isis ex Chelsea mit damals knapp 5
Monaten in den hohen Norden nach Hamburg. Es ist mir damals
schwergefallen diese tolle Hündin ziehen zu lassen, aber man kann ja
nicht alle behalten... ;-) Heute erhielt ich das Röntgenergebnis:
HD: A1/A1 und ED: 0/0 und bedanke mich ganz herzlich bei
Torsten Hirte und seiner Familie für die gute weitere Aufzucht "meiner"
Isi ;-)
- 12. Oktober 2008:
Heute erhielt ich ein Foto eines wunderschönen kleinen Rüden aus
Fides ex Chelsea "Frida" nach 'Fameflair XXL', gezüchtet im
LCD-Kennel 'Diana's Action' von Christa Knigge.
- 22. September
2008: Der J-Wurf (Oliver od Himalajskeho Cedru x Diva ex
Chelsea) wird heute ein Jahr alt! Meinen herzlichsten Glückwunsch
an die ersten Ur-Enkel meiner Stammhündin Chelsea und auf diesem Wege
viele Grüße an die Eigentümer von Janus, Jason, Jovinus, Jasis, Juno und
Juventas.
- 15. September
2008: Nun liegt auch das Röntgen-Ergebnis von Heros ex Chelsea
"Anton" vor: HD: A2/A2 und ED: 0/0.
(Kindly American Eagle v.d. Weeward x Bonitas ex Chelsea).
Damit ist nun der gesamte H-Wurf komplett auf HD/ED untersucht und ich
bedanke mich ganz herzlich bei meinen Welpenkäufern dafür, dass sie alle
ihre Hunde haben röntgen lassen. Vielen Dank!
- 14. September
2008: Iuventa ex Chelsea "Isa" hat heute die BHP/R
des DRC, geführt von Ekkehardt Meyer, erfolgreich bestanden.
Richter der Prüfung war Matthias Branscheidt. Meinen herzlichen
Glückwunsch nach Dortmund!
- 09. September
2008: Gute Nachrichten: Zwei weitere Röntgenergebnisse sind da:
Helva ex Chelsea "Johanna": HD: A2/A2 und ED: 0/0
(Kindly American Eagle v.d. Weeward x Bonitas ex Chelsea)
&
Ianus ex Chelsea: ebenfalls HD: A2/A2 und ED: 0/0
(Mallorn's Rising Storm x Bella ex Chelsea)
- 09. August 2008: Faunus ex Chelsea
(Rosefair For Pleasure x Bonitas ex Chelsea) hat heute, geführt
von seinem Eigentümer Stephan Simon, die jagdliche Brauchbarkeitsprüfung
mit Schweiss (JEP/S) des Landes Hessen bestanden. Dem
erfolgreichen Team ein kräftiges Waidmannsheil!
- 7. August 2008:
Heute kamen mehrere Röntgenbefunde der Hüften und Ellenbogen von Hunden
aus meinem H- und I-Wurf:
Hector ex Chelsea: HD: A2/A2 und ED: 0/0.
(Kindly American Eagle v.d. Weeward x Bonitas ex Chelsea)
Ich freue mich sehr für Hector und seine Eigentümerin Jutta Sagert.
Iuventa ex Chelsea "Isa": HD: A2/A2
und ED: 0/0
(Mallorn's Rising Storm x Bella ex Chelsea)
Auch hier freue ich mich sehr über die Ergebnisse und wünsche Familie
Meyer aus Dortmund weiterhin viel Spaß & Erfolg bei der weiteren
Ausbildung von Isa.
Invicta ex Chelsea
"Ella": HD: A2/A2
und ED: 0/0
Weiterhin viel Spaß mit Ella & viele Grüße nach Luxemburg!
- 16. Juli 2998:
Das erste Röntgengutachten eines Hundes aus dem I-Wurf (Mallorn's
Rising Storm x Bella ex Chelsea) liegt vor: Iovis ex Chelsea "Neo":
HD: A1/A1 und ED: 0/0.
- 12. Juli 2008:
Drei Hunde aus meinem I-Wurf (Mallorn's Rising Storm x Bella ex
Chelsea):
Iason ex Chelsea "Nero"
Iuventa ex Chelsea "Isa" &
Isis ex Chelsea
sowie zwei Hunde aus meinem J-Wurf (Oliver od Himalajskeho Cedru x Diva ex
Chelsea):
Jason ex Chelsea &
Jovinus ex Chelsea
haben am heutigen Samstag am LCD-Wesenstest
in Karbach teilgenommen und erfolgreich bestanden. Wesensrichterin
war Frau Ditlinde Ruh aus dem DRC, die alle Hunde fair und kompetent
beurteilt hat. Ich habe mich wirklich sehr über das Kommen aller
"ex-Chelsea"-Besitzer gefreut und bedanke mich ganz herzlich bei allen
für die bisherige gute Aufzucht "meiner" Hunde.
- 17. Juni 2008:
Auch die HD-/ED-Beurteilung von Horus ex Chelsea (Kindly American
Eagle v.d. Weeward x Bonitas ex Chelsea) liegt seit heute vor: HD:
A1/A2 und ED: 0/0 *freu*
- 10. Juni 2008:
Ein weiteres Röntgenergebnis eines Hundes aus meinem H-Wurf
erreichte mich heute: Hilaria ex Chelsea: HD: A1/A1 und ED: 0/0.
Ich freue mich sehr mit Familie Schmid!
- 31. Mai 2008:
Juno ex Chelsea (Oliver od Himalajskeho Cedru x Diva ex Chelsea)
hat heute, geführt von ihrer Eigentümerin Nicole Demuth, den
LCD-Wesenstest in Mertert/Luxemburg bestanden. Richterin war an
diesem Tag Frau Eva Ebeling. Meinen ganz herzlichen Glückwunsch an das
erfolgreiche Team!
- 05. Mai 2008:
Honey hat heute ihre Welpen nach Ch. 'Tapeatom Born A Star' zur Welt
gebracht: Leider nicht völlig komplikationslos da Welpe Nr. 3 verkantet
lag und den Ausgang für die weiteren Welpen versperrte, aber trotz des
notwendig gewordenen Kaiserschnittes geht es Honey und den verbliebenen
6 Welpen (4 Rüden, 2 Hündinnen) den Umständen entsprechend sehr gut.
- 13. April 2008:
Genius ex Chelsea "Buddy" hat heute gemeinsam mit seiner
Führerin Sabine Hascher die BHP (Teil A + B) des DRC mit 63 von
80 Punkten erfolgreich bestanden. Herzlichen Glückwunsch an das
erfolgreiche Team!!
- 05./06. April
2008:
Der gesamte H-Wurf (Kindly American Eagle v.d. Weeward x
Bonitas ex Chelsea):
Hector ex Chelsea
Helios ex Chelsea
Heros es Chelsea "Anton"
Horus ex Chelsea
Helva ex Chelsea "Johanna"
Hera ex Chelsea &
Hilaria ex Chelsea "Cita"
sowie 5 Hunde aus meinem I-Wurf (Mallorn's Rising Storm x Bella ex
Chelsea):
Ianus ex Chelsea
Investigo ex Chelsea "Tigo"
Iovis ex Chelsea "Neo"
Invicta ex Chelsea "Ella" &
Iuno ex Chelsea "Thea"
und Jasis ex Chelsea aus dem J-Wurf (Oliver od Himalajskeho
Cedru x Diva ex Chelsea) haben an diesem Wochenende am LCD-Wesenstest
teilgenommen und erfolgreich bestanden.
- 05. März 2008:
Meine Hündin Alflasker I Have A Dream "Honey" wurde gestern und
heute von dem Rüden Tapeatom Born A Star "Leo" gedeckt.
Wenn alles klappt, erwarte ich Anfang Mai Honeys zweiten Wurf...
- 27. Februar 2008:
Mein K-Wurf ist geboren! Bella hat heute Nachmittag in einer
komplikationslosen Geburt ihre Welpen nach 'Dual's Hope Xerox' zur Welt
gebracht. Ich freue mich sehr über 3 schwarze und
3 gelbe Rüden sowie 2 gelbe Hündinnen.
Bella hat die Geburt hervorragend gemeistert und kümmert sich nun
liebevoll um ihren Nachwuchs.
- 16. Februar 2008:
Ich bekam einen schönen Anruf von Christa Knigge, die heute früh mit
ihrer Hündin
Fides ex Chelsea "Frida" erfolgreich einen 70-kg-Keiler nachgesucht
hat. Gut gemacht, Ihr zwei & Waidmanns Heil!
- 14. Januar 2008:
Basileos ex Chelsea "Buddy" war heute zur jährlichen
Augenuntersuchung bei Dr. Saers in Duisburg. Die Untersuchung ergab
keinen Befund, d.h. PRA, RD und HC frei. Damit steht "Buddy" auch
weiterhin geeigneten Hündinnen als Deckrüde zur Verfügung.
- 25. November
2007: Der Rüde Ennius ex Chelsea "Elias" hat heute mit seiner
Führerin Magret Koch die Begleithundeprüfung erfolgreich abgelegt
und somit die erste Hürde für die angestrebte Rettungshundeprüfung im
kommenden Jahr geschafft. Herzlichen Glückwunsch an das Team!
- 20. Oktober 2007:
Basileos ex Chelsea
"Buddy" hat heute, geführt von seinem Eigentümer Ulrich Küppers, die
Bringleistungsprüfung (BLP) des LCD mit 307 Punkten
(von 310) als Suchensieger erfolgreich bestanden. "Buddy" ist damit
tauglich für die 'Jagdliche Leistungszucht' im LCD und DRC.
Meinen allerherzlichsten Glückwunsch dem erfolgreichen Team!!!
- 04. Oktober 2007:
Nun liegt mir endlich auch das letzte noch ausstehende
HD/ED-Röntgenergebnis meines F-Wurfes vor: Famosa ex Chelsea
"Fiska" aus der Verpaarung 'Rosefair For Pleasure' x 'Bonitas ex
Chelsea': HD: A2/A2 und ED: 0/0. Somit ist "Fiska" voll
belastbar und ich wünsche dem Eigentümer weiterhin alles Gute und viel
Erfolg bei der jagdlichen Ausbildung der Hündin.
- 22. September 2007: Der
J-Wurf ist geboren! In den frühen Morgenstunden hat meine Hündin
'Diva ex Chelsea' sieben gesunde Welpen komplikationslos zur Welt
gebracht. Ich freue mich über 3 gelbe
Rüden
und 4 gelbe Hündinnen nach 'Ch.
Oliver od Himalajskeho Cedru'.
Spezialzuchtschau des LCD in Vlotho: Richter: A. Lavelle, GB (Crosscroyde):
Fides ex Chelsea
"Frida" gewinnt die stark besetzte Zwischenklasse mit V 1 und
erhält ihre erste Anw. Dt. Ch. VDH. Mein Dank geht an die
Eigentümerin der Hündin, Christa Knigge, für das hervorragende
Vorstellen von "Frida".

- 14. September 2007: Ein
erfreuliches Röntgenergebnis erreichte mich heute von der Hündin
Flavia ex Chelsea (Rosefair For Pleasure x Bonitas ex Chelsea):
HD: A1/A1 und ED: 0/0
- 11. September 2007:
Nachdem vor 9 Tagen schon Basileos ex Chelsea "Buddy" und Gloria ex
Chelsea "Perry" die jagdliche Brauchbarkeitsprüfung mit Schweiss mit
Bravour bestanden haben, hat heute auch Eros ex Chelsea
mit seinem Führer Timo Werner (Fameflair Vintage Wine x Alflasker I Have A
Dream) die JEP/S im Landkreis Alzey-Worms/RLP erfolgreich
bestanden.
- 02. September 2007:
Basileos ex Chelsea
"Buddy", routiniert geführt von Ulrich Küppers, und Gloria ex
Chelsea "Perry", hervorragend geführt von ihrem jungen Führer Nico
Bauer, haben die JEP/S (Jagdliche Brauchbarkeitsprüfung mit
Schweiss) erfolgreich bestanden und sind nun brauchbare
Jagdhunde im Sinne des § 25, Abs. 1 des Landesjagdgesetzes
Rheinland-Pfalz. Meinen herzlichen Glückwunsch an die beiden
erfolgreichen Teams!
- 29. August 2007: Fides ex
Chelsea "Frida" (Rosefair For Pleasure x Bonitas ex Chelsea) wurde
heute bei der Formwertbeurteilung von Frau Assenmacher-Feyel mit der
Formwertnote vorzüglich bewertet und erfüllt nun alle
Voraussetzungen für die Zulassung zur Zucht. "Frida" lebt bei Christa
Knigge im LCD-Kennel: "Dianas Action" und ich wünsche Dir, liebe
Christa, weiterhin viel Erfolg und alles Gute für Deine Zuchtpläne mit
"unserem Fridchen".
- 25./26. August 2007: Ein
erfolgreiches Wochenende für Basileos ex Chelsea "Buddy" und
seinen Führer Ulrich Küppers beim LCD-Work & Show 2007: Am
Samstag erreichte das Team mit 74 von 100 Punkten einen guten 9. Platz
von 20 Startern in der Fortgeschrittenenklasse des Workingtests, am
Sonntag dann auf der Show in der 'Offenen Klasse' den 2. Platz mit
Res. Anw. Dt.Ch. VDH. Richterin war Frau K. Kamlah. Im Endergebnis
erreichten Ulrich und Buddy damit einen hervorragenden 3. Platz
in der Gesamtwertung Work & Show 2007!!
- 07. August 2007: Alle
sechs Hunde aus meinem G-Wurf (Mallorn's Diesel x Bella ex
Chelsea) wurden auf HD und ED geröntgt und die Gelenke mit
hervorragenden Ergebnissen durch den LCD-Gutachter Dr. Tellhelm
ausgewertet:
Geminus ex Chelsea "Henry": HD: A2/A2 und ED: 0/0
Genius ex Chelsea
"Buddy": HD: A2/A2 und ED: 0/0
Genius' Augenuntersuchung auf HC, RD und PRA war ohne Befund.
Galba ex Chelsea "Lütte": HD: A2/A2 und ED: 0/0
Gemina ex Chelsea "Alba": HD: A1/A2 und ED: 0/I
Gloria ex Chelsea "Perry": HD: A1/A1 und ED: 0/0
Gratia ex Chelsea "Gracie": HD: A1/A1 und ED: I/0
Ich freue mich sehr für die Eigentümer dieser sechs Hunde und hoffe, in
Zukunft noch viel von/über "Henry", "Buddy", "Lütte", "Alba",
"Perry" und "Gracie" zu hören :-)
- 22./23. Juli 2007: Meine
Diva ex Chelsea "Diva" wurde in Holland von dem Rüden
Oliver od Himalajskeho Cedru
"Ricky" gedeckt. Da Ricky nicht nur mit Ausstellungserfolgen glänzen kann,
sondern wie meine Diva auch erfolgreich auf Arbeitsprüfungen geführt
wurde, fällt der Wurf unter die Jagdliche Zucht des LCD.
- 19. Juli 2007: Die Hunde
aus dem D-Wurf werden heute zwei Jahre alt!!! Unglaublich, wie
schnell die Zeit vergeht!!! Meine Diva hat sich zu einer
wunderschönen, jagdlich sehr passionierten Hündin entwickelt und ich bin
froh, sie damals aus diesem Wurf behalten zu haben. Mit Diva habe ich
eine gute Basis für die Weiterzucht und freue mich auf ihren ersten Wurf
im kommenden Herbst.
- 08. Juli 2007: Galba ex
Chelsea "Lütte" hat heute gemeinsam mit ihrer Führerin Sigrid
Born die BHP (Teil A + B) des DRC mit 62 von 80 Punkten
erfolgreich bestanden. Herzlichen Glückwunsch!
- 29./30. Juni 2007: Die
H-Wurf-Welpen sind in ihr neues Zuhause umgezogen
w
Bilder
- 23. Juni 2007: Meine
Hündin Bella ex Chelsea hat in der Nacht auf den 24. Juni
komplikationslos acht gesunde Welpen nach Mallorn's Rising Storm
auf die Welt gebracht. Ich freue mich über 4 schwarze Rüden sowie
4 schwarze Hündinnen.
- 19. Juni 2007: Die heutige
Augenuntersuchung der Hündin Fides ex Chelsea
"Frida" auf die erblichen Augenerkrankungen HC, RD und PRA
war ohne Befund.
- 03. Juni 2007: Basileos ex
Chelsea "Buddy" erreichte heute zusammen mit seinem Führer Ulrich
Küppers beim Workingtest Ruhr in der Klasse F 67 von 100
Punkte mit dem Prädikat 'gut'. Insgesamt konnten an diesem Tag nur 16
der 48 gestarteten Teams die Aufgaben ohne Nullrunde erarbeiten.
Herzlichen Glückwunsch Ulrich & Buddy, das habt Ihr super gemacht!!
- 30. Mai 2007: Von
Ferox ex Chelsea "Noah" liegt nun das offizielle Röntgenergebnis aus
der Uniklinik Giessen vor: HD: A1/A1 und ED: 0/0. Des
weiteren ist der Rüde frei von den erblichen Augenerkrankungen HC, RD
und PRA.
- 19. Mai 2007: Diva ex Chelsea
wurde heute von Frau K. Kamlah mit der Formwertnote vorzüglich
bwertet. Damit erfüllt Diva nun alle Voraussetzungen für die Zulassung
zur Jagdlichen- bzw. Standard-Zucht im LCD.
- 13. Mai 2007: Im Alter
von knapp 22 Monaten hat meine Hündin Diva ex Chelsea
Spursicherheit und Finderwillen bewiesen und die Langschleppenprüfung
über 800 m erfolgreich bestanden. Ausgerichtet wurde diese
Prüfung von der Kreisgruppe Rhein-Hunsrück des Landesjagdverbandes
Rheinland-Pfalz.
- 08. Mai 2007: Eine gute Nachricht erreichte mich heute aus München:
Fortuna ex Chelsea "Kira", eine Hündin aus der Verpaarung 'Rosefair
For Pleasure' x 'Bonitas ex Chelsea', hat am 05.05.2007 den
DRC-Wesenstest in Rott mit einer schönen Beurteilung erfolgreich
bestanden. Richterin war Frau Dr. Dörte Plenge-Hellhoff.
- 03. Mai 2007: Meine
Hündin Bonitas ex Chelsea hat heute vier schwarze Rüden und drei
gelbe Hündinnen nach Kindly American Eagle v.d. Weeward in drei
Stunden 15 Minuten komplikationslos auf die Welt gebracht. Ich freue
mich sehr über diesen Wurf und bin sehr gespannt auf die weitere
Entwicklung dieser Welpen!
- 24. April 2007: Meine
Hündin Bella ex Chelsea wurde heute in Dänemark von dem
vielversprechenden, jungen Rüden Mallorn's Rising Storm gedeckt.
- 21. April 2007: Die Hündin
Fides ex Chelsea "Frida" hat heute in Bergkamen die JP/R
(Jagdliche Jugendprüfung für Retriever) des DRC erfolgreich
bestanden. Herzlichen Glückwunsch an das erfolgreiche Team Christa
& Frida!
- 16. April 2007: Das erste
Röntgengutachten eines Hundes aus meinem F-Wurf (Rosefair For Pleasure x
Bonitas ex Chelsea) liegt nun vor: Ich freue mich riesig mit Christa
Knigge (LCD/FCI-Kennel: 'Dianas Action') über das super
Röntgenergebnis von Fides ex Chelsea "Frida", deren Gelenke in
der Uniklinik Giessen mit HD: A2/A2 und ED: 0/0 beurteilt
wurden.
- 31. März 2007: Famosa ex
Chelsea "Fiska" hat heute, geführt von ihrem Eigentümer Gerd
Linn, die Frühjahrszuchtprüfung für 'Deutsch Kurzhaar' - Derby
l - als einziger Labrador unter zahlreichen 'Deutsch Kurzhaar' mit
sehr guten Leistungen erfolgreich bestanden. Herzlichen
Glückwunsch auf die Insel!!
- 17. März 2007: Nachdem am
vergangenen Samstag schon Basileos ex Chelsea "Buddy" erfolgreich auf
der Langschleppe geführt wurde, haben heute meine
Bonitas ex Chelsea und aus dem C-Wurf Annemie Demmers Canis ex
Chelsea "Dusty" die Langschleppenprüfung (800 m),
ausgerichtet vom JGHV Nassau e.V., mit Erfolg bestanden.
- 10. März 2007: Basileos ex
Chelsea "Buddy" hat heute, geführt von seinem Besitzer Ulrich
Küppers, die vereinseigene Langschleppenprüfung (800 m)
des JGV Hubertus Wesel erfolgreich bestanden. Herzlichen Glückwunsch!
- 03./04. März 2007:
Insgesamt haben an diesem Wochenende 8 Junghunde aus meinem F- und
G-Wurf, Faunus,
Ferox, Flavius,
Genius, Galba, Gemina,
Gloria und Gratia, den LCD-Wesenstest
mit sehr schönen Beurteilungen bestanden. Richterin war Frau Andrea
Rüter. Ich bedanke mich ganz herzlich bei allen meinen Welpenkäufern
für's Kommen, haben sie doch teilweise wirklich weite Anfahrten in Kauf
genommen, um heute mit dabei sein zu können. Ich habe mich sehr über das
Wiedersehen gefreut!! Vielen Dank!
- 01./02. März 2007: Meine
Hündin Bonitas ex Chelsea wurde von dem gelben Rüden Dt.Jgd.
Ch. Kindly American Eagle v.d.Weeward
gedeckt.
- 16. Februar 2007: Aus dem
ersten Wurf von Honey (Fameflair Vintage Wine x Alflasker I Have A Dream)
sind bereits 6 der 7 Hunde auf HD und ED geröntgt worden, von 5 Hunden
liegt mittlerweile auch das offizielle Gutachten aus Giessen vor:
Edomus ex Chelsea: HD: B1/B1, ED: 0/0
Ennius ex Chelsea: C1/C1, ED: 0/0
Eon ex Chelsea: A2/A2, ED: 0/0
Ennia ex Chelsea A1/A1, ED: 0/0
Eremita ex Chelsea: A1/A1, ED: 0/0
Ich freue mich mit den Eigentümern dieser Hunde über diese wirklich sehr
guten Gesundheitsergebnisse!!!
- 27. Januar 2007: Die
Hündin Eremita ex Chelsea "Mita" hat heute den LCD-Wesenstest
in Oberursel mit einer schönen Beurteilung bestanden. Richter war
Mario Nauke.
- 29. Oktober 2006:
Ennia ex Chelsea "Enya" hat heute den DRC-Wesenstest mit
einer schönen Beurteilung erfolgreich bestanden. Richter war Uwe
Görlas.
- 25. Oktober 2006: Basileos ex Chelsea "Buddy" hat seit heute die
Zuchtzulassung im LCD ohne Auflagen. Alle Infos zu "Buddy" finden
Sie hier
- 21. Oktober 2006: Meine
Hündin Diva ex Chelsea hat heute die Jagdeignungsprüfung mit
Schweiss (JEP/S) des Landes Rheinland-Pfalz erfolgreich
bestanden. Ebenfalls erfolgreich bestanden hat diese Prüfung die
Hündin 'Ena von Brandewind', die von mir jagdlich ausgebildet und auch
auf der Prüfung geführt wurde.
Gute Nachrichten auch aus
Luxemburg: Der Rüde Geminus ex Chelsea "Henry" hat heute den
LCD-Wesenstest mit einer hervorragenden Beurteilung durch
Wesensrichter Mario Nauke bestanden. Herzliche Glückwünsche von
mir an Elisabeth und Paul nach Luxemburg!!
- 20. Oktober 2006:
Mittlerweile sind 4 der 6 D -Wurf-Hunde geröntgt, von denen auch
bereits die offiziellen Beurteilungen durch Dr. Tellhelm, Klinik
für Kleintiere der Justus-Liebig-Universität Giessen, vorliegen:
Dominus ex Chelsea: HD: A 2 / A 1 und
ED-Grad: 0/0
Draco ex Chelsea: HD: B 2 / B 2 und ED-Grad: 0/0
Dulcor ex Chelsea: HD: A 2 / A 2 und ED-Grad: 0/0
Diva ex Chelsea: HD: A 2 / B 1 und ED-Grad: 0/0
J
- 18. Oktober 2006: Canis ex
Chelsea "Dusty" wurde heute von Frau Assenmacher-Feyel mit der
Formwertnote vorzüglich bwertet. Damit erfüllt er alle
Voraussetzungen für die Zulassung zur Zucht.
- 07. Oktober 2006: Fides ex
Chelsea "Frida" hat heute mit einer wunderschönen Beurteilung den
LCD-Wesenstest in Lemgo bestanden. Richter war Mario Nauke,
der "Frida" ausgeprägte labradortypische Anlagen und ein sanftes
labradortypisches Wesen bescheinigte.
- Fotoshooting mit Mareike
Rohlf am 27.08.2006: Fides ex Chelsea hat eine extra Seite mit
einer
Fotogalerie
bekommen.
- 15. August 2006: Basileos ex
Chelsea
"Buddy" hat heute zusammen mit seinem Führer Ulrich Küppers in Fontaine au
Pire (Frankreich) die Epreuve B bestanden und ist dadurch nun
startberechtigt für die Teilnahme an französischen Field Trials.
- 09. Juli 2006: Traurige
Nachrichten aus Dortmund: Euandros ex Chelsea "Janni" ist heute
durch ein Auto angefahren und tödlich verletzt worden. Er war auf der
Stelle tot. Aus diesem traurigen Anlass heraus möchte ich nochmals an
alle meine Welpenkäufer appellieren, gut auf ihre Hunde aufzupassen. Es
kann soooo schnell etwas passieren... ein unachtsamer Moment...
Kleiner Janni, wo auch immer Du
jetzt bist, ein Teil von Dir ist fest in meinem Herzen.
- 18. Juni 2006: Bei dem
Workingtest 'Niederrhein Open' in Viersen erreichten Basileos ex
Chelsea "Buddy" und sein Führer Ulrich Küppers in der A-Klasse sehr
gute 84 von 100 Punkten.
Meinen herzlichsten Glückwunsch!!!
- 27./28. Mai 2006: Dieses
Wochenende haben alle 10 gemeldeten Hunde aus meiner Zucht den
LCD-Wesenstest in Karbach mit sehr schönen Wesensbeurteilungen
bestanden: Aus meinem D-Wurf
sind dies:
Dominus ex Chelsea
Draco ex Chelsea
Dulcor ex Chelsea &
Diva ex Chelsea
aus meinem E-Wurf:
Edomus ex Chelsea
Ennius ex Chelsea
Eon ex Chelsea
Eros ex Chelsea
Euandros ex Chelsea &
Eos ex Chelsea
Richterin war Frau Andrea Rüter, bei der ich mich ganz herzlich für
ihr Kommen und das Beurteilen "meiner" Hunde bedanken möchte.
Ein weiterer Dank geht an meine Welpenkäufer, die teilweise weite
Anreisen in Kauf genommen haben, um an diesem Wochenende mit dabei sein
zu können. Vielen Dank!!
- 30. April 2006:
Aufgrund der Klasseneinteilung nach Alter starteten Basileos ex Chelsea
und sein Führer Ulrich Küppers beim internen Workingtest des RTT
erstmals in der Fortgeschrittenenklasse und erreichten mit 58/80
Punkten einen hervorragenden 3. Platz von 12 Startern. Die
Richter waren Patricia Ford (GB), Paul Ford (GB) und Louis Reynders (B).
- 22.April 2006:
Basileos ex Chelsea ist heute mit seinem Führer Ulrich Küppers in
As/Belgien
beim Workingtest in der Initiate-Klasse gestartet und belegte mit
80/100 Punkten den 24. Platz von 52 Startern. Herzlichen
Glückwunsch!!!
- 01. April 2006:
Bella e. C. hat in der Nacht vom 01. auf den 2. April 6
gesunden Welpen das Leben geschenkt: 2 Rüden (1 x schwarz,
1 x gelb) und 4 Hündinnen (2 x
schwarz, 2 x gelb). Weitere Infos zu
meinem G-Wurf finden Sie hier:
G-Wurf
- 24. März 2006: Der
F-Wurf ist da!! Bonitas brachte heute Nachmittag innerhalb von
3 Stunden und 15 Minuten 8 Welpen nach Rosefair For Pleasure
zur Welt. Leider ist eine kleine schwarze Hündin drei Wochen nach der
Geburt verstorben. Ich freue mich nun über 2 schwarze und
1 gelben Rüden, sowie 1 schwarze
und 3 gelbe
Hündinnen. Weitere Infos zu diesem Wurf finden Sie
hier:
F-Wurf.
- 06. Januar 2006: Nach
Bonitas wurden auch meine Hündinnen Bella ex Chelsea und
Alflasker I Have A Dream "Honey" mit dem Ergebnis: Genotyp N/N
auf
CN-Myopathie
(Erbliche Myopathieform beim Labrador Retriever) getestet. Das
bedeutet, alle meine Zuchthündinnen sind reinerbig für das
intakte Gen und somit keine Tröger der CNM.
- 18. November 2005: Honey (Alflasker
I Have A Dream) hat heute 8 gelbe Welpen (5 Rüden/3 Hündinnen) nach
Fameflair Vintage Vine zur Welt gebracht.
- 06. November 2005: Gute
Neuigkeiten von Cita ex Chelsea: Die Hüftgelenke wurden vom
LCD-Gutachter mit HD: A2/A2 beurteilt, die Ellenbogengelenke mit
ED-Grad 0/0. Auf der Int. Zuchtschau Hannover und der an die Show
anschließenden Formwertbeurteilung wurde Cita mit vorzüglich
bewertet. Richterin war Frau K. Kamlah.
- 05. November 2005: Basileos ex
Chelsea "Buddy" und sein Führer und Besitzer Ulrich Küppers haben
heute in Siegen die Arbeitsprüfung m. Dummies für Retriever (APD/R)
des
DRC in der Klasse A,
gerichtet von Ronald Pfaff, mit 64 von 80 Punkten erfolgreich
bestanden. Herzlichen Glückwunsch!!
- 18. Oktober 2005: Das
Testergebnis des
Optigen - prcd Mutation Test for PRA von
Honey (Alflasker I Have A Dream) lautet normal/clear. Das
bedeutet, Honey ist reinerbig für das intakte Gen und
somit
kein Träger des für die PRA verantwortlichen Gens.
- 11. Oktober 2005: Bonitas ex
Chelsea wurde mit dem Ergebnis: Genotyp N/N auf CN-Myopathie
(Erbliche Myopathieform beim Labrador Retriever) getestet. Das
bedeutet, Bonitas ist reinerbig für das intakte Gen und
somit kein Tröger der CNM.
- 17./18. September 2005:
Meine Hündin Alflasker I Have A Dream "Honey" wurde dieses
Wochenende von dem gelben Rüden Fameflair Vintage Wine gedeckt.
Wenn alles klappt, erwarte ich einen rein gelben Wurf um den 18.
November.
- 17. September 2005: Aktaion ex
Chelsea (Theo) hat heute in Elchesheim die BLP mit lebender Ente
des LCD mit voller Punktzahl (341 P. !!) bestanden.
Glückwunsch an Theo und seinen Besitzer und Führer Michael Kerger zu
dieser wirklich tollen Leistung!!
- 10. September 2005: Meine
Hündin Bella ex Chelsea hat heute die JEP/S erfolgreich
bestanden und somit ihre jagdliche Brauchbarkeit unter Beweis gestellt.
- 12. August 2005: Das
Röntgen-Gutachten von Canis ex Chelsea (Dusty) ist da: Die
Hüftgelenke
wurden beidseits mit A1 beurteilt, die Ellenbogengelenke bds. mit
ED-Grad: 0.
- 19.Juli 2005: Bonitas ex
Chelsea hat heute früh innerhalb von 2 Stunden und 5 Minuten sieben
gesunden Welpen das Leben geschenkt. Der Vater der Welpen ist der
dänische Rüde Ch. Melicmark Louis T Duck.
- 03. April 2005: Canis ex Chelsea "Dusty" hat den DRC-Wesenstest
in Viersen mit einer sehr schönen Beurteilung erfolgreich bestanden.
Wesensrichterin war Frau Ditlinde Ruh.
- 30. Januar 2005: Cita ex
Chelsea hat heute den LCD-Wesenstest in Sontra-Heyerode,
gerichtet von Frau Marion Krause, erfolgreich bestanden.
- 15. Januar 2005: Bonitas ex
Chelsea und Alflasker I Have A Dream "Honey" wurden heute bei
der Formwertbeurteilung mit der Formwertnote vorzüglich bewertet
(Richterin : B. Ting)
- 13. Dezember 2004: Das
Testergebnis des
Optigen - prcd Mutation Test for PRA von Chelsea
(Ginny vom Alstätter-Moor) lautet OptiGen A1 (frei)
- 01. November 2004: Auch
das Röntgengutachten von Basileia ex Chelsea "Leia" ist nun da:
Ihre Gelenke wurden mit HD: A2/A2 und ED-Grad: 0/0
beurteilt. Bis auf den Rüden Boreas ex Chelsea "Robin" ist nun der
gesamte B-Wurf geröntgt und ausgewertet und ich hoffe, dass Robin
irgendwann doch noch folgen wird.
- 25. September 2004: Bacchus ex
Chelsea "Buck" hat die BHP A des DRC in Odenheim, gerichtet
von Manfred Grub, mit 52 von 60 Punkten bestanden. Herzlichen
Glückwunsch!!
- 18. September 2004: Bonitas ex
Chelsea hat die JP/R des DRC in Wächtersbach, gerichtet von
Frau Dr. Ursula Friedrich, mit 215 P. bestanden.
- 12. September 2004: Bonitas ex
Chelsea und Alflasker I Have A Dream "Honey" haben die
JEP/S erfolgreich bestanden und sind nun brauchbare
Jagdhunde im Sinne des § 25, Abs. 1 des Landesjagdgesetzes
Rheinland-Pfalz.
- 26. August 2004: Drei
weitere
Röntgen-Gutachten sind da:
Balux ex Chelsea "Balu": HD: A2/A2, ED: 0/0
Bacchus ex Chelsea "Buck": HD: A2/A2, ED: 0/0
Basileos ex Chelsea
"Buddy": HD: A2/A2, ED: 0/0
- 31. Juli 2004: Canis &
Cita ex Chelsea, die beiden vielversprechenden Welpen meines
C-Wurfes, sind heute zu ihren neuen Besitzern nach Dormagen (Canis)
und Sontra-Heyerode (Cita) umgezogen. Die Zwei sind zu erfahrenen
Retrieverführern gegangen, werden jagdlich sowie im Dummybereich
ausgebildet werden und ich hoffe, in Zukunft viel positives von ihnen zu
hören. Weiterhin hoffe ich natürlich, dass sie sich schön nach unseren
Wünschen entwickeln werden und dass sie den hohen Ansprüchen ihrer neuen
Besitzer gerecht werden.
- 22. Juni 2004: Die
offiziellen Röntgen-Gutachten meiner drei Youngsters sind da!! Die Hüft-
und Ellenbogengelenke wurden von Dr. Tellhelm, Klinik für Kleintiere der
Justus-Liebig-Universität Giessen, wie folgt beurteilt:
Bella ex Chelsea: HD: A2/A2, ED-Grad: 0/0
Bonitas ex Chelsea: HD: A2/A2, ED-Grad: 0/0
Alflasker I Have A Dream "Honey": HD: B1/A2, ED: 0/0
Drei sehr erfreuliche Untersuchungsergebnisse meiner
Nachwuchs-Hündinnen, die neben der jagdlichen Ausbildung auf einen
späteren Einsatz in der Zucht hoffen lassen!
- 05. Juni 2004: Chelsea hat
heute zwei gesunden, schwarzen Welpen das Leben geschenkt: Ein Rüde:
Canis ex Chelsea, und eine Hündin: Cita ex Chelsea.
- 01./02. Mai 2004: Sieben
Junghunde aus meinem B-Wurf haben an diesem Wochenende den Wesenstest
in Gumbsheim/ Waldalgesheim erfolgreich bestanden. Auch
Alflasker I Have A Dream "Honey" hat am Wesenstest teilgenommen und
bestanden. Beurteilt wurden die Hunde souverän und kompetent von
Frau Anna Goos. Es war sehr schön zu sehen, dass es "meinen Kleinen" so
gut geht. Vielen Dank an alle fürs Kommen!!
- 04.04.04:
Chelsea
wurde heute von Dual's Hope Xerox gedeckt.
- 20. März 2004: CACIB Nürnberg:
Das erste Mal ausgestellt wurde Alflasker I Have A Dream -"Honey"
in der Jugendklasse mit vorzüglich
bewertet (Richterin: K. Kamlah)
- 05.Dezember 2003: Die
Untersuchung auf erbliche Augenerkrankungen bei Chelsea (Ginny
vom Alstätter-Moor) war o.b.B., d.h.: HC, RD und PRA frei
- 11. Oktober 2003: Theo
(Aktaion ex Chelsea) hat heute die Dummy-Prüfung-A des
DRC in Backnang, gerichtet von Wolfgang Vergiels, erfolgreich
bestanden.
- 07. August 2003: Eine
kleine, dänische Nachwuchs-Hoffnung ist heute bei uns eingezogen:
Alflasker I Have A Dream (DK-CH & Dt. VDH-CH Coco Loco's Porsche x
DK-CH Alflasker Ejlif Aggi). Vielen Dank an Elna & Gunnar Holm Jensen,
dass sie mir die kleine Hündin anvertraut haben.
-19.Juli 2003: Theo (Aktaion
ex Chelsea) hat heute die jagdliche
Brauchbarkeitsprüfung des LJV Baden-Württemberg in Dettenhausen bei
Tübingen mit voller Punktzahl (136 P.) als Suchensieger
bestanden. Herzlichen Glückwunsch!!!
- 05. Juni 2003: Der
B-Wurf erblickt das Licht der Welt: Chelsea (Ginny vom
Alstätter-Moor) hat heute 3 gelbe und 2 schwarze Rüden,
sowie 2 gelbe und eine schwarze Hündin
nach Coco Loco's Porsche geboren und kümmert sich nun
instinktsicher um 8 muntere, gesunde Welpen...
- 16. Mai 2003: Ein langes
Ausbildungsjahr ging heute zu Ende und ich bin erleichtert und froh, die
Jägerprüfung
im LJV Rheinland-Pfalz erfolgreich bestanden zu haben. Dies ermöglicht
mir nun unter anderem die uneingeschränkte Ausbildung und Führung meiner
Hunde auf jagdlichen Prüfungen. Wir freuen uns darauf...
- 01.April 2003: Chelsea
(Ginny vom Alstätter-Moor) wurde in Dänemark von Coco Loco's Porsche
gedeckt. Nun hoffen wir auf gelbe und schwarze Welpen Anfang Juni!!
- 06. Februar 2003: Ich freue
mich, in Kürze mit den Labradors ex Chelsea ins eigene Haus im Grünen
nach 55430 Oberwesel-Engehöll umzuziehen. Zur Zeit steht die Renovierung im
Vordergrund, denn der mit Chelsea geplante Wurf wird bereits in den neuen
vier Wänden das Licht der Welt erblicken...
- 10. November 2002: Aurea ex
Chelsea
erhielt heute von der Richterin Frau Kamlah die Formwertbeurteilung sehr
gut und erfüllt damit alle Vorraussetzungen für die Zulassung zur Zucht.
- 07. September 2002:
Ein weiteres Röntgen-Gutachten ist da: Die Hüfte von Argos ex
Chelsea (Tom) wurde mit HD: A 2, die Ellbogen mit
ED-Grad: I
beurteilt.
- 25. August 2002:
Chelsea (Ginny vom Alstätter-Moor) und Aurea ex Chelsea haben
ihre jagdliche Brauchbarkeit unter Beweis gestellt und die JEP/S
erfolgreich bestanden.
- 10. August 2002:
Die ersten beiden Röntgen-Ergebnisse sind da: Die Hüfte der gelben Hündin
Aurea ex Chelsea
wurde von Dr. Tellhelm, Universität Giessen, mit HD: A 2, die
Ellbogen beidseits mit ED Grad 0 (frei) beurteilt. Die Hüfte der
schwarzen Hündin Althaia ex Chelsea wurde ebenfalls mit HD: A 2,
die Ellbogen bds. mit ED Grad: 0
bewertet. Zwei tolle Ergebnisse, über die ich mich sehr gefreut habe!!
- Juli 2002: Mit
Chelsea und ihrer Tochter Aurea nehme ich derzeit am Vorbereitungskurs zur
im August stattfindenden jagdlichen Brauchbarkeitsprüfung (JEP/S)
teil. Aurea zeigt hervorragende, außerordentlich ausgeprägte Arbeitsanlagen
und es macht Spaß mit ihr zu trainieren. Vielen Dank an Birgit Dietz, dass
sie mir die Hündin für die Ausbildung und die anschließende Prüfung zur
Verfügung stellt.
- 14. April 2002:
Der gesamte
A-Wurf hat heute den LCD-Wesenstest, gerichtet von Eva Ebeling,
erfolgreich
bestanden.
- 26. Januar 2002
Aktaion ex Chelsea (Theo) belegte in der Jüngstenklasse der
DRC-Spezialzuchtschau in Herrenberg den 3. Platz.
- 9. Dezember
2001:
Grosse Wiedersehensfreude beim Treffen aller vier Welpen
meines A-Wurfes in Waldalgesheim. Die fast 6 Monate alten Junghunde
entwickeln sich hervorragend und ich habe mich sehr über das Kommen aller
Hunde mit ihren zufriedenen Besitzern gefreut.
- 13. Oktober
2001: Nach einem langen Prüfungstag in Wachendorf habe ich mit
Chelsea (Ginny vom Alstätter-Moor) die Dummy-Prüfungen Kl. A
und F erfolgreich bestanden.
|